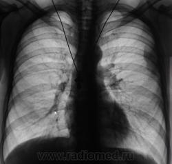
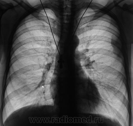
Ваше мнение уважаемые коллеги? Пациент направлен на рентгенографию ОГК.

Пол пациента: 
Тип патологии: 
Методы исследования: 

Ваше мнение уважаемые коллеги?  Пациент направлен на рентгенографию ОГК.

  • https://radiomed.ru/sites/default/files/styles/case_slider_image/public/user/12/2.P5310008.JPG?itok=sNk-jZZi
  • https://radiomed.ru/sites/default/files/styles/case_slider_image/public/user/12/3.P5310008a.jpg?itok=bQrr4FLa
  • https://radiomed.ru/sites/default/files/styles/case_slider_image/public/user/12/4.3.P5310008-1.jpg?itok=oiLFSytU
  • https://radiomed.ru/sites/default/files/styles/case_slider_image/public/user/12/5.P5310008-1a.jpg?itok=tKCwOEKG
  • https://radiomed.ru/sites/default/files/styles/case_slider_image/public/user/12/6.P5310009.JPG?itok=gaPK6BKV
ID:4313
Грицько Виталий аватар
Не на сайте
Был на сайте: 9 лет 3 недели назад
Зарегистрирован: 05.01.2010 - 14:06
Публикации: 1058

Навскидку хотел писать банальное осумкование но теперь сомнения.

Катенёв Валентин Львович аватар
Не на сайте
Был на сайте: 7 лет 1 месяц назад
Зарегистрирован: 22.03.2008 - 22:15
Публикации: 54876

Сомнения в чем? В наличии осумкования или в его отсутствии?

Грицько Виталий аватар
Не на сайте
Был на сайте: 9 лет 3 недели назад
Зарегистрирован: 05.01.2010 - 14:06
Публикации: 1058

Катенёв Валентин Львович wrote:

Сомнения в чем? В наличии осумкования или в его отсутствии?

В его банальности. В наличии не сомневаюсь, а надо?

Катенёв Валентин Львович аватар
Не на сайте
Был на сайте: 7 лет 1 месяц назад
Зарегистрирован: 22.03.2008 - 22:15
Публикации: 54876

Т.е. осумкование - банально? Я правильно понял?

Грицько Виталий аватар
Не на сайте
Был на сайте: 9 лет 3 недели назад
Зарегистрирован: 05.01.2010 - 14:06
Публикации: 1058

Для моего стационара да.

Катенёв Валентин Львович аватар
Не на сайте
Был на сайте: 7 лет 1 месяц назад
Зарегистрирован: 22.03.2008 - 22:15
Публикации: 54876

Да, у меня тоже сложилось смутное впечатление, что "это" осумкование. Правда, сделали томограммы.

Катенёв Валентин Львович аватар
Не на сайте
Был на сайте: 7 лет 1 месяц назад
Зарегистрирован: 22.03.2008 - 22:15
Публикации: 54876

Томограммы.

 

Приложения: 
11.P5310010.JPG12.P5310011.JPG13.P5310012.JPG14.P5310012a.jpg15.P5310013.JPG16.P5310013a.jpg
stovbav аватар
Не на сайте
Был на сайте: 2 года 3 месяцев назад
Зарегистрирован: 20.12.2009 - 17:28
Публикации: 7066

Нет, не банально.

Где ровные контуры? При чем тут волнистость? Почему как бы верхний край "надорван"? Почему нижний край плавно (без углов) переходит в костальную плевру?

В первую очередь - думаем о мезотелиоме, во второй - об осумковании...

Грицько Виталий аватар
Не на сайте
Был на сайте: 9 лет 3 недели назад
Зарегистрирован: 05.01.2010 - 14:06
Публикации: 1058

stovbav wrote:

Нет, не банально.

Где ровные контуры? При чем тут волнистость? Почему как бы верхний край "надорван"? Почему нижний край плавно (без углов) переходит в костальную плевру?

В первую очередь - думаем о мезотелиоме, во второй - об осумковании...

Поэтому и написал что сомневаюсь в банальности.

Катенёв Валентин Львович аватар
Не на сайте
Был на сайте: 7 лет 1 месяц назад
Зарегистрирован: 22.03.2008 - 22:15
Публикации: 54876

Да, подорвали Вы мою уверенность Виктор Григорьевич. И контур полицикличный, да местами и не четкий, да, и не ровный. Действительно, а вдруг мезотелиома? 

Катенёв Валентин Львович аватар
Не на сайте
Был на сайте: 7 лет 1 месяц назад
Зарегистрирован: 22.03.2008 - 22:15
Публикации: 54876

Вот, и Виталий Орестович засомневался.

А если мезотелиома, то сколько времени ей по возрасту - год, два или больше?

Грицько Виталий аватар
Не на сайте
Был на сайте: 9 лет 3 недели назад
Зарегистрирован: 05.01.2010 - 14:06
Публикации: 1058

Катенёв Валентин Львович wrote:

Вот, и Виталий Орестович засомневался.

А если мезотелиома, то сколько времени ей по возрасту - год, два или больше?

А архива нет? Что с клиникой?

stovbav аватар
Не на сайте
Был на сайте: 2 года 3 месяцев назад
Зарегистрирован: 20.12.2009 - 17:28
Публикации: 7066

Писал еще до томограмм...хотя они и не разубедили в обратном. А возраст, как по мне, непредсказуем...может и несколько лет...кто знает. Если есть архив можно прикинуть ретроспективно, когда уже можно было бы придраться. А если нет - увы...Но диагностическая пункция, как по мне, вполне логична, а точку отметить - под контролем УЗИ, заодно и структуру оценить (жидкость-не жидкость и т.д.)

Катенёв Валентин Львович аватар
Не на сайте
Был на сайте: 7 лет 1 месяц назад
Зарегистрирован: 22.03.2008 - 22:15
Публикации: 54876

В настоящее время пациент жалоб не предъявляет, чувствует себя очень хорошо. Только грустит, так как жена "спуталась" с другим, а он (пациент), говорит, что никому уже не нужен - упадническое настроение.

Катенёв Валентин Львович аватар
Не на сайте
Был на сайте: 7 лет 1 месяц назад
Зарегистрирован: 22.03.2008 - 22:15
Публикации: 54876

Архив конечно есть, и не малый. Сейчас обработаю изображения и выставлю.

stovbav аватар
Не на сайте
Был на сайте: 2 года 3 месяцев назад
Зарегистрирован: 20.12.2009 - 17:28
Публикации: 7066

Ну что же - пусть и дальше грустит, как по мне - его проблема не из самых сложных...наверное потому и связалась, что из "грустных".....

Наше дело дать своевременные и правильные рекомендации...или как говорил мой учитель - "вовремя прокукарекать, а там хоть и не рассветай"...шутка.....причем в сложных или необычных случаях заставлял часто брать историю, идти лично в отделение, находить лечащего врача или зава и "кукарекать" им прямо в уши...говаривал, что до написаного могут не скоро и дойти...."а кукарекать надо точно по расписанию"....

Катенёв Валентин Львович аватар
Не на сайте
Был на сайте: 7 лет 1 месяц назад
Зарегистрирован: 22.03.2008 - 22:15
Публикации: 54876

Снимки, 2 недели тому, перед отправлением пациента в "Главную областную тубарскую контору".

 

Приложения: 
1.P5310038.JPG2.P5310039.JPG
stovbav аватар
Не на сайте
Был на сайте: 2 года 3 месяцев назад
Зарегистрирован: 20.12.2009 - 17:28
Публикации: 7066

Ну это кардинально меняет суть дела....2 недели назад было другое...Шалят плевриты - то тут, то - там....

Следовательно - Виталий был прав (Виталий Орестович, снимаю шляпу!!!).

Катенёв Валентин Львович аватар
Не на сайте
Был на сайте: 7 лет 1 месяц назад
Зарегистрирован: 22.03.2008 - 22:15
Публикации: 54876

С учетом упорного течения, был заподозрен специфический плеврит. Вместе со снимками были произведена и томограммы.

 

Приложения: 
3.P5310040.JPG4.P5310041.JPG5.P5310042.JPG
Грицько Виталий аватар
Не на сайте
Был на сайте: 9 лет 3 недели назад
Зарегистрирован: 05.01.2010 - 14:06
Публикации: 1058

stovbav wrote:

Ну это кардинально меняет суть дела....2 недели назад было другое...Шалят плевриты - то тут, то - там....

Следовательно - Виталий был прав (Виталий Орестович, снимаю шляпу!!!).

Спасибо. Могу добавить что последний год отмечаем рост частоты плевритов.

Катенёв Валентин Львович аватар
Не на сайте
Был на сайте: 7 лет 1 месяц назад
Зарегистрирован: 22.03.2008 - 22:15
Публикации: 54876

В "Главной конторе" в последний раз был "установлен" туб. плеврит, были найдены "палки", официально было назначено специфическое лечение. Но до этого Главная контора отвергала специфический плеврит. Ниже приводятся снимки, с которыми ранее пациент направлялся в "тую" контору.

Катенёв Валентин Львович аватар
Не на сайте
Был на сайте: 7 лет 1 месяц назад
Зарегистрирован: 22.03.2008 - 22:15
Публикации: 54876

Вот снимки.

 

Приложения: 
1.P5310031.JPG2.P5310032.JPG3.P5310033.JPG4.P5310034.JPG5.P5310035.JPG6.P5310036.JPG7.P5310037.JPG
stovbav аватар
Не на сайте
Был на сайте: 2 года 3 месяцев назад
Зарегистрирован: 20.12.2009 - 17:28
Публикации: 7066

 Ситуация теперь полностью понятна.

Грицько Виталий аватар
Не на сайте
Был на сайте: 9 лет 3 недели назад
Зарегистрирован: 05.01.2010 - 14:06
Публикации: 1058

Валентин Львович, здравствуйте. А пункцию делали? И в чем нашли палки?

Катенёв Валентин Львович аватар
Не на сайте
Был на сайте: 7 лет 1 месяц назад
Зарегистрирован: 22.03.2008 - 22:15
Публикации: 54876

Здравствуйте Виталий Орестович!

Пункцию делали в ОПТД. В пунктате, и нашли "палки".

Грицько Виталий аватар
Не на сайте
Был на сайте: 9 лет 3 недели назад
Зарегистрирован: 05.01.2010 - 14:06
Публикации: 1058

Спасибо.А была пункция или видеоторакоскопия. У нас именно после нее подобные осумкования.

Катенёв Валентин Львович аватар
Не на сайте
Был на сайте: 7 лет 1 месяц назад
Зарегистрирован: 22.03.2008 - 22:15
Публикации: 54876

Была только пункция в обл. тубе, а перед этим у нас тоже пунктировали. но не исследовали...

Катенёв Валентин Львович аватар
Не на сайте
Был на сайте: 7 лет 1 месяц назад
Зарегистрирован: 22.03.2008 - 22:15
Публикации: 54876

Вот снимки после пункции (у нас).

 

Приложения: 
1.P5310029.JPG2.P5310030.JPG
Катенёв Валентин Львович аватар
Не на сайте
Был на сайте: 7 лет 1 месяц назад
Зарегистрирован: 22.03.2008 - 22:15
Публикации: 54876

А, вот снимки, перед пукцией.

Приложения: 
1.P5310027.JPG2.P5310028.JPG
DR.RAD аватар
Не на сайте
Был на сайте: 11 лет 9 месяцев назад
Зарегистрирован: 25.03.2009 - 18:22
Публикации: 805

3.P5310033.JPG 79.07 кб
4.P5310034.JPG
4.P5310034.JPG 80.62 кб

Валентин Львович, а какие это срезы?

Катенёв Валентин Львович аватар
Не на сайте
Был на сайте: 7 лет 1 месяц назад
Зарегистрирован: 22.03.2008 - 22:15
Публикации: 54876

3,4 - это 7 и 9 срезы.