Внутригрудные лимфоузлы, наболевший вопрос

Пол пациента: 
Тип патологии: 
Область исследования: 
Методы исследования: 

 

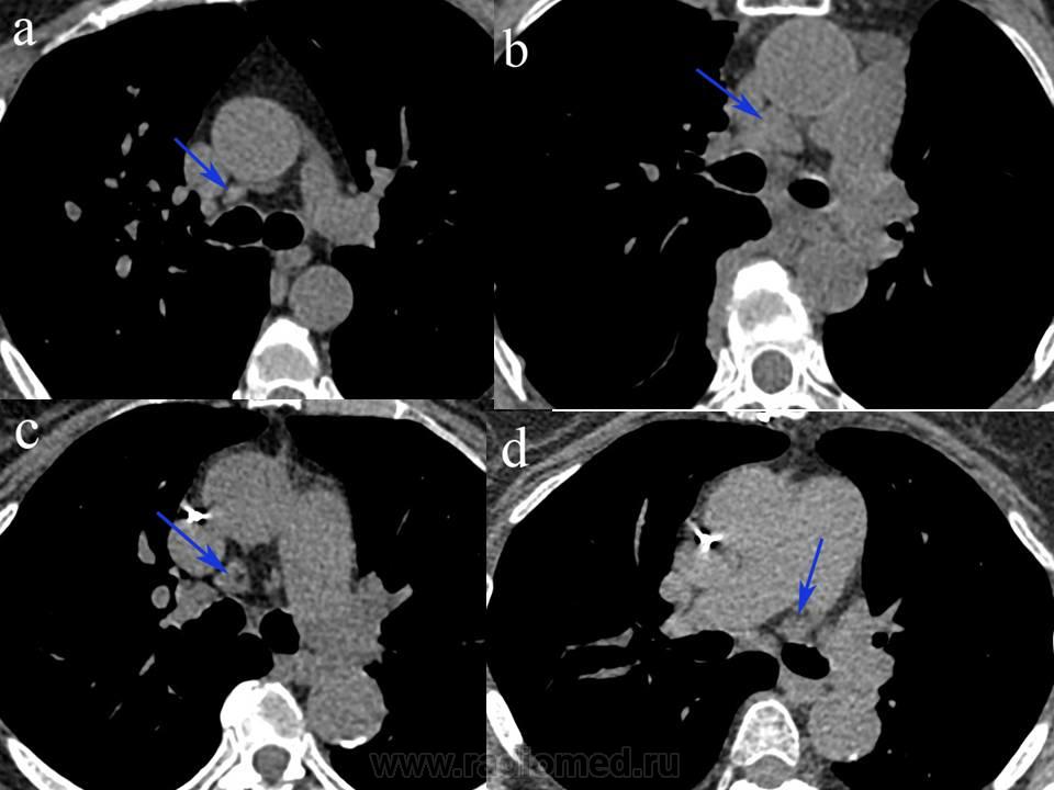
Очень интересует мнение коллег. Как вы считаете, к какой  группе  принадлежат  эти лимфоузлы? (расположены сразу ниже уровня бифуркации, у передней стенки главных бронхов) -  название группы, номер группы по классификациям  Mountain 1997   и  IASLC 2009.

 

Ссылки на официальные статьи:

Классификация Mountain, 1997   http://thorax.xqhospital.com.cn:8050/uploadfile/2008/12/2/20081202045009.pdf

Классификация  IASLC, 2009   http://journals.lww.com/jto/Fulltext/2009/05000/The_IASLC_Lung_Cancer_Staging_Project__A_Proposal.4.aspx

                                                     http://www.radiologyassistant.nl/en/p4646f1278c26f/mediastinum-lymph-node-map.html

ID:38536
koriatus аватар
Не на сайте
Был на сайте: 3 года 1 неделя назад
Зарегистрирован: 14.06.2010 - 01:49
Публикации: 452

Очень очень интересная тема. 

По новой классификации IASLC показаынные лимфоузлы будут корневыми (N10). Хотя очень хочется отнести их нижним паратрахеальным (N4). Но если строго следовать границам IASLC то это корневые лимфоузлы.

Есть ли разница? Ну, минимум в целую стадию. Ведь пораежение N4 это минимум IIIA стадия.

Андрей Юрьевич аватар
Не на сайте
Был на сайте: 1 неделя 2 дня назад
Зарегистрирован: 16.11.2008 - 22:16
Публикации: 18098

Большое спасибо Dr. Alexx за предоставленные ссылки, но неужели вы думаете, что мы (на этом сайте) разрешим противоречия этих классификаций?

Андрей Юрьевич

Dr.Alexx аватар
Не на сайте
Был на сайте: 11 лет 1 месяц назад
Зарегистрирован: 24.12.2011 - 01:35
Публикации: 26

Андрей Юрьевич wrote:

Большое спасибо Dr. Alexx за предоставленные ссылки, но неужели вы думаете, что мы (на этом сайте) разрешим противоречия этих классификаций?

Возможно, совсем маленькая надежда на это была, а в целом - просто хотелось услышать мнение разных рентгенологов. Я сам работаю в торакальном центре, и вот, вдруг заметил, что у нас (рентгенологов) нет единого мнения по этому вопросу. У торакальных хирургов тоже нет однозначного решения, они все знают классификацию Mountain, про последний вариант  классификации 2009г - скорее что-то слышали, хотя именно по ней в основном и мыслят. А те самые узлы, которые я отметил стрелкой, часть специалистов (рентгенологи, эндоскописты и хирурги)вообще  назвали бифуркационными.

 

Андрей Юрьевич аватар
Не на сайте
Был на сайте: 1 неделя 2 дня назад
Зарегистрирован: 16.11.2008 - 22:16
Публикации: 18098

Сам пользуюсь классификацией из радассистента, IASLC lymph node map 2009, хотя приведенная вами японская классификация (в силу своей восточной лаконичности) импонирует мне больше. Но я - не критерий, а только пользователь. Тем более, что у вас в торакальном центре разночтения.

Андрей Юрьевич

koriatus аватар
Не на сайте
Был на сайте: 3 года 1 неделя назад
Зарегистрирован: 14.06.2010 - 01:49
Публикации: 452

Тоже пользуюсь iaslc 2009 Удобная. Четко понятно где какие группы лимфоузлов. Все современные рекомендации по стадированию (отечественные тоже) для онкологов/торакальных хирургов основана на ней. Различие в определении 4 группы и 10 , которая будет влиять на стадирование уже есть.

Все таки надо стараться разговаривать со всем миром на одном языке... Потому что наше стадирование часто лелается на обум... А от этого зависит и вся статистика.... Хотя не так давно читал интервью Александра Харитоновича Трахтенбнрга - известного торакального хирурга, по поводу классификаций и значимости их в прогнозе... Иногда люди с одинпковой стадией могут иметь соаершенно разный прогноз.. Так что думаю это классификация не первая и уж точно не последняя... http://www.oncology.ru/legend/trakhtenberg/

P.S. На интервью натолкнулся совершенно соучайно... Заинтересовался биографией доктора... Всем советую почитать... Доктор-Легенда!

Андрей Юрьевич аватар
Не на сайте
Был на сайте: 1 неделя 2 дня назад
Зарегистрирован: 16.11.2008 - 22:16
Публикации: 18098

Доктор Кориатус,  а различия в трактовке  7 и 10 групп?

Приложения: 
fig_1a.jpgfig_4d.jpg

Андрей Юрьевич

koriatus аватар
Не на сайте
Был на сайте: 3 года 1 неделя назад
Зарегистрирован: 14.06.2010 - 01:49
Публикации: 452

Это тоже. Это отмечено в статье.. Отличия есть...

Но, в принципе, классификации лимфоузлов шеи и медиастинальных лимфоузлов понятны.

Мне вот сложнее с Японской классификацией внутрибрюшных лимфоузлов.  Иногда возникают проблемы с тем к какой группе принадлежамт какие лимфоузлы. Да и все никак не сяду кардинально выучить эти лимфоузлы.. А это тоже важно.. Вот бы такое руководство по лимфоузлам брюшной полости как по медиатинальынм лимфоузлам на Radiologyassistant

Хорошая статья:

http://pubs.rsna.org/doi/pdf/10.1148/rg.261055078

А воообещ по лимфоузлам читал вот эту книгу (лежит на моем файлобменнике), не знаю правда как долго... так что качайте :) Правда медиатинальные лимфоузлы там еще предыдщей классификации (книга 2008 года).

http://yadi.sk/d/1sDRt91oShmqP

Андрей Юрьевич аватар
Не на сайте
Был на сайте: 1 неделя 2 дня назад
Зарегистрирован: 16.11.2008 - 22:16
Публикации: 18098

Да, эта книга мне известна, скачал у вас еще раньше, за что большое спасибо.

Андрей Юрьевич

Dr.Alexx аватар
Не на сайте
Был на сайте: 11 лет 1 месяц назад
Зарегистрирован: 24.12.2011 - 01:35
Публикации: 26

Андрей Юрьевич wrote:

Доктор Кориатус,  а различия в трактовке  7 и 10 групп?

1-я картинка (fig_1a.jpg) - это японская классификация Наруке, сейчас уже не используется

Dr.Alexx аватар
Не на сайте
Был на сайте: 11 лет 1 месяц назад
Зарегистрирован: 24.12.2011 - 01:35
Публикации: 26

.

Приложения: 
md1.jpgiaslc1.jpg
Dr.Alexx аватар
Не на сайте
Был на сайте: 11 лет 1 месяц назад
Зарегистрирован: 24.12.2011 - 01:35
Публикации: 26

а вот еще один графический вариант IASLC 2009

Приложения: 
iaslc4.jpg
Андрей Юрьевич аватар
Не на сайте
Был на сайте: 1 неделя 2 дня назад
Зарегистрирован: 16.11.2008 - 22:16
Публикации: 18098

Dr.Alexx wrote:

1-я картинка (fig_1a.jpg) - это японская классификация Наруке, сейчас уже не используется

Тогда, не вполне понял ваш топовый вопрос, коллега. Может не вполне врубаюсь, но мой вариант ответа, это 10 группа, бронхопульvональные л/у (так ведь кажется, перевели  на русский слово Hilar).

Кстати, может кто подскажет, почему в 6 группе так подчерковается, что это не только парараортальные (но и phrenic)  л/у?

Андрей Юрьевич

koriatus аватар
Не на сайте
Был на сайте: 3 года 1 неделя назад
Зарегистрирован: 14.06.2010 - 01:49
Публикации: 452

Различие именно между MD-ATS и IASLC классификациями в отношении 4 и 10 групп лимфоузлов (посмотрите на картинки). Например в приведенном в первом посте случае d - лимфоузел был бы 4L группы по MD-ATS , но по IASLC он 10 уровня. (корневой). Если бы было стадирование то разница была бы в целую стадию (не II а Ш), так как 4  = это уже N2. 

Различия между японской класиификацией (NARUTO) и ISLC тоже хватает. Непосредственно в отношении лимфоузлов это приведенные выше 7 и 10 уровни.

Почму - phrenic? Думаю имеют ввиду диафрагмальный нерв который там рядом проходит.

Dr.Alexx аватар
Не на сайте
Был на сайте: 11 лет 1 месяц назад
Зарегистрирован: 24.12.2011 - 01:35
Публикации: 26

Андрей Юрьевич wrote:

Dr.Alexx wrote:

1-я картинка (fig_1a.jpg) - это японская классификация Наруке, сейчас уже не используется

Тогда, не вполне понял ваш топовый вопрос, коллега. Может не вполне врубаюсь, но мой вариант ответа, это 10 группа, бронхопульvональные л/у (так ведь кажется, перевели  на русский слово Hilar).

Кстати, может кто подскажет, почему в 6 группе так подчерковается, что это не только парараортальные (но и phrenic)  л/у?

Да не... Вы все правильно поняли, просто я к картинкам придераюсь. Мое личное мнение полностью совпадает с другими коментариями: Mountain 4 vs 10 IASLC.

А обозначение  phrenic  действительно связано с близким расположением левого диафрагмального нерва (на передней поверхности дуги аорты)

Андрей Юрьевич аватар
Не на сайте
Был на сайте: 1 неделя 2 дня назад
Зарегистрирован: 16.11.2008 - 22:16
Публикации: 18098

Dr.Alexx wrote:
....Мое личное мнение полностью совпадает с другими коментариями: Mountain 4 vs 10 IASLC.

Может тогда стоит, чтобы не путаться, отправить класификацию Mountain, 1997 в раздел "История медицины", и не применять на практике?

Dr.Alexx wrote:
...А обозначение  phrenic  действительно связано с близким расположением левого диафрагмального нерва (на передней поверхности дуги аорты)

А не попадались ли вам, уважаемый коллега,  сообщения, каких размеров должные быть пораженные параоартальные лимфоузлы, чтобы возник паралич левого купола диафрагмы?

Тот же вопрос и по возвратному нерву при пораженных лимфоузлах аортопульмонального окна, если возможно.

Андрей Юрьевич

koriatus аватар
Не на сайте
Был на сайте: 3 года 1 неделя назад
Зарегистрирован: 14.06.2010 - 01:49
Публикации: 452

Андрей Юрьевич wrote:

Dr.Alexx wrote:
....Мое личное мнение полностью совпадает с другими коментариями: Mountain 4 vs 10 IASLC.

Может тогда стоит, чтобы не путаться, отправить класификацию Mountain, 1997 в раздел "История медицины", и не применять на практике?

Dr.Alexx wrote:
...А обозначение  phrenic  действительно связано с близким расположением левого диафрагмального нерва (на передней поверхности дуги аорты)

А не попадались ли вам, уважаемый коллега,  сообщения, каких размеров должные быть пораженные параоартальные лимфоузлы, чтобы возник паралич левого купола диафрагмы?

Тот же вопрос и по возвратному нерву при пораженных лимфоузлах аортопульмонального окна, если возможно.

Видно поражение не сильно зависит от размеров. У меня были случаи пареза гортани, вызываемой и увеличнными лимфоузлами  и аневризмами аорты, хотя лимфоузлы не сказать, что очень большие. А иногда смотришь лимфому где тотально все средостение забито конгломератами, а пареза нет...

Андрей Юрьевич аватар
Не на сайте
Был на сайте: 1 неделя 2 дня назад
Зарегистрирован: 16.11.2008 - 22:16
Публикации: 18098

Спасибо!

Андрей Юрьевич

Dr.Alexx аватар
Не на сайте
Был на сайте: 11 лет 1 месяц назад
Зарегистрирован: 24.12.2011 - 01:35
Публикации: 26

Андрей Юрьевич wrote:

Dr.Alexx wrote:
....Мое личное мнение полностью совпадает с другими коментариями: Mountain 4 vs 10 IASLC.

Может тогда стоит, чтобы не путаться, отправить класификацию Mountain, 1997 в раздел "История медицины", и не применять на практике?

Мне кажется, такое решение стоит принимать в консенсусе с торакальными хирургами и онкологами. Желательно,  чтобы наше заключение совпадало с их интраоперационными представленями о "N"  распространенности процесса.

Андрей Юрьевич аватар
Не на сайте
Был на сайте: 1 неделя 2 дня назад
Зарегистрирован: 16.11.2008 - 22:16
Публикации: 18098

Dr.Alexx wrote:

Андрей Юрьевич wrote:

Dr.Alexx wrote:
....Мое личное мнение полностью совпадает с другими коментариями: Mountain 4 vs 10 IASLC.

Может тогда стоит, чтобы не путаться, отправить класификацию Mountain, 1997 в раздел "История медицины", и не применять на практике?

Мне кажется, такое решение стоит принимать в консенсусе с торакальными хирургами и онкологами. Желательно,  чтобы наше заключение совпадало с их интраоперационными представленями о "N"  распространенности процесса.


А разве консенсус еще не достигнут?

Dr.Alexx wrote:

....У торакальных хирургов .......про последний вариант  классификации 2009г - скорее что-то слышали, хотя именно по ней в основном и мыслят. .....


Разве мыслить категориями классификации IASLC 2009, не означает отказаться от класификации Mountain, 1997?

Андрей Юрьевич

Сольвейг аватар
Не на сайте
Был на сайте: 3 года 5 месяцев назад
Зарегистрирован: 05.02.2013 - 20:25
Публикации: 2239

Торакальные хирурги лишь учитывают наше мнение и смотрят сами, -операбелен или нет больной, и как это сделать тактически. Мы лишь оцениваем( по любой классификации) какие лимфоузлы задействованы и есть ли прорастание в сосуды , и какие именно-это имеет значение.Тандем. По-большому счету, им все равно-написала я -" бифуркационные " по одной классификации, "бронхопульмональные"-по другой, смотрят САМИ, ну лишь уточняют, просят показать, как и что. Показываем. Вся проблема медицины-это разные классификации и "описательность ". Практика-совсем другое.Ну хоть ради праздника не ругайте!

koriatus аватар
Не на сайте
Был на сайте: 3 года 1 неделя назад
Зарегистрирован: 14.06.2010 - 01:49
Публикации: 452

Сольвейг wrote:
Торакальные хирурги лишь учитывают наше мнение и смотрят сами, -операбелен или нет больной, и как это сделать тактически. Мы лишь оцениваем( по любой классификации) какие лимфоузлы задействованы и есть ли прорастание в сосуды , и какие именно-это имеет значение.Тандем. По-большому счету, им все равно-написала я -" бифуркационные " по одной классификации, "бронхопульмональные"-по другой, смотрят САМИ, ну лишь уточняют, просят показать, как и что. Показываем. Вся проблема медицины-это разные классификации и "описательность ". Практика-совсем другое.Ну хоть ради праздника не ругайте!
Я согласен.. Вообще, чаще всего стадированием они занимаются сами... Причем иногда стадии совсем не совпадают с действительно тем, что есть радиологически... Но тут много и околомедицинских вопросов.... Если вы Вы понимаете о чем я.. Конечно в онкологии должна работать команда : онколог, радиолог, химиотерапевт .. И должны быть совместные консилиумы по стдироаанию и т.д. Но в жизни, к сожалению, все немного по другому. У нас как то все сами по себе.. И это грустно..

Сольвейг аватар
Не на сайте
Был на сайте: 3 года 5 месяцев назад
Зарегистрирован: 05.02.2013 - 20:25
Публикации: 2239

Я понимаю, о чем Вы...

Андрей Юрьевич аватар
Не на сайте
Был на сайте: 1 неделя 2 дня назад
Зарегистрирован: 16.11.2008 - 22:16
Публикации: 18098

koriatus wrote:
Я согласен.. Вообще, чаще всего стадированием они занимаются сами....

Ну, так и должно быть, вроде бы. Классификация клиническая и заниматься ею должны клиницисты.

Андрей Юрьевич

Сан Саныч1 аватар
Не на сайте
Был на сайте: 11 месяцев 3 недели назад
Зарегистрирован: 07.06.2010 - 21:17
Публикации: 2114

koriatus wrote:

Очень очень интересная тема. 

По новой классификации IASLC показаынные лимфоузлы будут корневыми (N10). Хотя очень хочется отнести их нижним паратрахеальным (N4). Но если строго следовать границам IASLC то это корневые лимфоузлы.

Есть ли разница? Ну, минимум в целую стадию. Ведь пораежение N4 это минимум IIIA стадия.

Коллега, по классификации IASLC эти узлы Не будут корневыми, т.к. цитата: Nodes in station 10 - 14 are all N1-nodes, since they are not located in the mediastinum.

Андрей Юрьевич был прав, вы же не разобравшись, сбиваете народ с толку.

Хочешь сделать что-то нормально - сделай это сам!

Butthead аватар
Не на сайте
Был на сайте: 8 лет 6 месяцев назад
Зарегистрирован: 03.08.2015 - 16:24
Публикации: 210

Сан Саныч1 wrote:

koriatus wrote:

Очень очень интересная тема. 

По новой классификации IASLC показаынные лимфоузлы будут корневыми (N10). Хотя очень хочется отнести их нижним паратрахеальным (N4). Но если строго следовать границам IASLC то это корневые лимфоузлы.

Есть ли разница? Ну, минимум в целую стадию. Ведь пораежение N4 это минимум IIIA стадия.

Коллега, по классификации IASLC эти узлы Не будут корневыми, т.к. цитата: Nodes in station 10 - 14 are all N1-nodes, since they are not located in the mediastinum.

Андрей Юрьевич был прав, вы же не разобравшись, сбиваете народ с толку.

Держите меня) Коллега Кориатус не нуждается в рекламе, едва ли ему есть ровня на этом сайте (я не в счет). 
Безосновательны ваши посылы в отношении сбивания с толку. Смотрите картинку. ТАМ у себя ребята порешать не могут, вопрос пока не решен однозначно, а вы тут штампы)))). Есть посыл, что в 8-й классификации это будут безусловно л/узлы группы N10. Готов к диспуту, мои наработки в отношении стадирования НМКРЛ к вашим услугам. Если есть чем крыть :)

 

Приложения: 
snimok_ekrana_2016-12-30_v_23.17.01.png
Сан Саныч1 аватар
Не на сайте
Был на сайте: 11 месяцев 3 недели назад
Зарегистрирован: 07.06.2010 - 21:17
Публикации: 2114

Про ровню/не ровню - это вопрос к уличным разборкам и мерянии длинами сами знаете чего. Кориатус для меня - просто форумчанин Кориатус.

Про "порешать ТАМ не могут", - попадались мне выписки больных из столичных больничек, в больничках другой столицы с них ржали аки кони. Сейчас даже звание академика еще ни о чем не говорит))) 

Я комментирую конкретную, действующую сегодня(не завтра, Карл), классификацию.

Возьму свои слова обратно, если ТС укажет уровень дуги в.Азигос.

С вашими наработками не знаком, выкладывайте, разбейте в пух этот кривой плод IASLC.

А пока это разговор с копипастой)))

Хочешь сделать что-то нормально - сделай это сам!

Butthead аватар
Не на сайте
Был на сайте: 8 лет 6 месяцев назад
Зарегистрирован: 03.08.2015 - 16:24
Публикации: 210

Сан Саныч1 wrote:

Про ровню/не ровню - это вопрос к уличным разборкам и мерянии длинами сами знаете чего. Кориатус для меня - просто форумчанин Кориатус.

Про "порешать ТАМ не могут", - попадались мне выписки больных из столичных больничек, в больничках другой столицы с них ржали аки кони. Сейчас даже звание академика еще ни о чем не говорит))) 

Я комментирую конкретную, действующую сегодня(не завтра, Карл), классификацию.

Возьму свои слова обратно, если ТС укажет уровень дуги в.Азигос.

С вашими наработками не знаком, выкладывайте, разбейте в пух этот кривой плод IASLC.

А пока это разговор с копипастой)))

Обвел слева л/у, который якобы не расположен в средостении, но группа  N10. 
И цитата: "10. Hilar nodes
These include nodes adjacent to the main stem bronchus and hilar vessels. 
On the right they extend from the lower rim of the azygos vein to the interlobar region. 
On the left from the upper rim of the pulmonary artery to the interlobar region".

Как они могут быть вне средостения, и в тоже время по ходу главных бронхов? Ответ: никак. Здесь ключевая фраза "...These include nodes adjacent to the main stem bronchus and hilar vessels". 

Из другого: "Hilar lymph nodes are those that are immediately adjacent to the main-stem bronchus and hilar vessels, including the proximal portions of the pulmonary veins and main pulmonary artery". Проксимальная порция ЛА располагается в т.ч. и в средостении. 

Приложения: 
snimok_ekrana_2016-12-31_v_9.36.10.pngsnimok_ekrana_2016-12-31_v_9.25.43.png