Пол пациента:
Тип патологии:
Область исследования:
Методы исследования:
- https://radiomed.ru/sites/default/files/styles/case_slider_image/public/user/12/2.201201010094.jpg?itok=55udGFwg
- https://radiomed.ru/sites/default/files/styles/case_slider_image/public/user/12/3.201201010096.jpg?itok=Pmo0hDA0
- https://radiomed.ru/sites/default/files/styles/case_slider_image/public/user/12/4.201201010098.jpg?itok=1Gir7DeS
- https://radiomed.ru/sites/default/files/styles/case_slider_image/public/user/12/5.201201010099.jpg?itok=X7qaqgv5
- https://radiomed.ru/sites/default/files/styles/case_slider_image/public/user/12/1.dscn2754a.jpg?itok=3tkZ0Ihd
- https://radiomed.ru/sites/default/files/styles/case_slider_image/public/user/12/2.dscn2756a.jpg?itok=YSiPBkS7
ID:36224
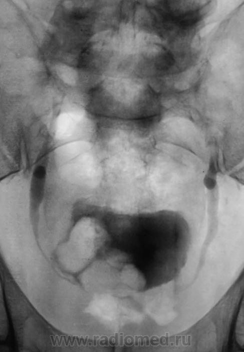
Мочевой пузырь с дефектами наполнения. А что на УЗИ?
"Слушай всех, прислушивайся к немногим, решай сам".©
Плюс мелкие интенсивные тени над 12 ребром слева, опять калькулезный панкреатит?
"Слушай всех, прислушивайся к немногим, решай сам".©
Интересно: в мочевом камни или образование?
Да, попал Катенёв Валентин Львович! Скопически урограммы делает уже
"Позитивное изображение образуется при рентгеноскопии."
"Слушай всех, прислушивайся к немногим, решай сам".©
Бусы не глотал
Почему скопически?
На CR-системе есть функция просмотра изображения, как в условиях негатива, так и в условиях позитива.
И, что писать в выводах исследования?
Я на цифре вообще могу как хош сделать :) Прям видео записываю и потом хочешь позитив, хочешь негатив и вообще в любое время пересмотреть можно и повыбирать что нравится.
Отстали Вы алкс от современного оборудования. .... а вот знаний кулечек мне бы не помешал :(
П.С. ну нету у меня кассет, нету!!! (вернее где-то есть, но я не помню где лежит)
...... еще бы в рентгенологии что-нибудь понимать.
"Слушай всех, прислушивайся к немногим, решай сам".©
Так и написали.
Пациент, уже в урологическом отделении ОКБ, готовится к операции.