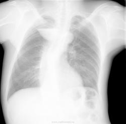
Как ни старайся, а верхушка не воздушна... Всё-таки на мой взгляд, это менее похоже на уровень жидкости, не хватает воздуха над ним. Барий нужен, несомненно. Но пока я за осумкованный плеврит.
Такой плеврит на верхушке - это редкость...да и клиника бы была...и какой никакой анамнез...а так - он ведь с профосмотра...а к дисфагии легкой степени, очевидно, давно привык
Такой плеврит на верхушке - это редкость...да и клиника бы была...и какой никакой анамнез...а так - он ведь с профосмотра...а к дисфагии легкой степени, очевидно, давно привык
Здравствуйте Виктор Григорьевич!
Конечно, Вы правы. Но мы погрязшие в томографии, и именно в томографии верхушек, и именно в стандартных (фтизных) срезах, довольно часто встречаемся с апикальным осумкованным, или с "самим", или с его исходом.
Чрезвычайно интересно...но где же боковая?...ведь сразу же масса вопросов отпадет...
Думаю дифференциальный ряд должен включать - частично дренированый абсцесс верхушки, осумкованый плеврит; дивертикул пищевода.
Необходимо - правая боковая проекция; возможно рентгеноскопия с контрастированием пищевода.
Болезни ног: виды, симптомы, причины, профилактика и лечение
мне кажется это не дивертикул пищевода, скорее осумкованный плеврит, только в таком месте я не встречала его
Не настаиваю, но большой Ценкеровский дивертикул дном может и сюда доставать...
Болезни ног: виды, симптомы, причины, профилактика и лечение
Как ни старайся, а верхушка не воздушна... Всё-таки на мой взгляд, это менее похоже на уровень жидкости, не хватает воздуха над ним. Барий нужен, несомненно. Но пока я за осумкованный плеврит.
Боковая проекция необходима, но и с ней, возможно не все вопросы снимутся! Ну, и клинико-лабораторные данные конечно нужны.
Первая мысль была про дивертикул пищевода, но смутил тяж к плевре. Нужно боковую проекцию и барий
Рентгеновы лучи никогда не ошибаются. Ошибаемся мы, переводя их на свой язык
Увы лаборант упустила пациента, так что жду его появления за заключением, там и бок отснимем.
Лаборант - лох. Лаборант должен знать регламент. Кое-что лаборант обязан, и "зреть".
Валентин Львович не "лошите" лаборантов!!!
очень любопытно, что же это все таки,,,,,хм.......
А как нам всем любопытно.....
Болезни ног: виды, симптомы, причины, профилактика и лечение
Похоже на плеврит.
Такой плеврит на верхушке - это редкость...да и клиника бы была...и какой никакой анамнез...а так - он ведь с профосмотра...а к дисфагии легкой степени, очевидно, давно привык
Болезни ног: виды, симптомы, причины, профилактика и лечение
Здравствуйте Виктор Григорьевич!
Конечно, Вы правы. Но мы погрязшие в томографии, и именно в томографии верхушек, и именно в стандартных (фтизных) срезах, довольно часто встречаемся с апикальным осумкованным, или с "самим", или с его исходом.
Конечно, в данном случае, не апикальный, по предположить межсегментарный, с некоторой натяжкой можно...
А на боковой может выплыть и "позвонковый интерес"...
+1 за осумкованный плеврит ...
--------------
"Просто, по видимости, не видеть логики в очевидных вещах - это тоже одно из свойств некоторых умов, наряду с грустными думами о свойствах ума других." © Vega 08/10/2011
тем более что междолевые нередко расологаются весьма аномально....
Виктор.
В этом месте часто проходит добавочная междолевая борозда доли непарной вены, вероятно осумкованный плеврит именно там.
+1 за плеврит в доле v. azygos
Рентгеновы лучи никогда не ошибаются. Ошибаемся мы, переводя их на свой язык