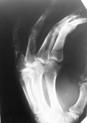
Пол пациента: Женский пол Тип патологии: Травма Область исследования: Скелетно-мышечная система Методы исследования: Rg Мужчина 38 лет, с травмой кисти направлен для исключения перелома........ пардон за качество ) https://radiomed.ru/sites/default/files/styles/case_slider_image/public/user/16833/20121211_095016.jpg?itok=cQfG31Hk ID:25089 Ср, 12/12/2012 - 14:42 #1 Катенёв Валенти... Не на сайте Был на сайте: 7 лет 3 недели назад Зарегистрирован: 22.03.2008 - 22:15 Публикации: 54876 Снимок конечно не фонтан, но предположить можно энхондрому. Ср, 12/12/2012 - 14:46 #2 Mihail63 Не на сайте Был на сайте: 9 лет 9 часов назад Зарегистрирован: 20.11.2012 - 10:31 Публикации: 154 Перелома не вижу +1 за энхондрому проксимальной фаланги 5 пальца Ср, 12/12/2012 - 19:44 #3 И.Бондаренко Не на сайте Был на сайте: 18 часов 48 минут назад Зарегистрирован: 13.09.2011 - 22:55 Публикации: 9206 Патологическмий перелом основной фаланги. Ср, 12/12/2012 - 20:38 #4 Сан Саныч1 Не на сайте Был на сайте: 11 месяцев 3 недели назад Зарегистрирован: 07.06.2010 - 21:17 Публикации: 2114 А что насчет болезни имени простого русского мужика Реклингхаузена? Хочешь сделать что-то нормально - сделай это сам! Ср, 12/12/2012 - 20:58 #5 Наталия Васильевна Не на сайте Был на сайте: 5 лет 9 месяцев назад Зарегистрирован: 25.09.2011 - 09:02 Публикации: 754 Или гигантоклеточная с переломом основания. Ср, 12/12/2012 - 23:03 #6 Special.K Не на сайте Был на сайте: 8 лет 10 месяцев назад Зарегистрирован: 09.08.2012 - 23:08 Публикации: 479 Наталия Васильевна wrote: Или гигантоклеточная с переломом основания. я в заключении написал именно так. перелом проксимального эпифиза основной фаланги и подозрение на новообразование (дифф. диагноз с ГКО). Ср, 12/12/2012 - 23:10 #7 vasyablack Не на сайте Был на сайте: 12 лет 3 недели назад Зарегистрирован: 22.03.2012 - 23:38 Публикации: 53 1.энхондрома 2.киста Чт, 13/12/2012 - 19:15 #8 НБ Не на сайте Был на сайте: 11 лет 5 месяцев назад Зарегистрирован: 07.11.2012 - 19:55 Публикации: 84 Костная киста, патологический перелом. Н.Б. Пт, 14/12/2012 - 17:17 #9 Брысковский Дмитрий Не на сайте Был на сайте: 9 месяцев 2 недели назад Зарегистрирован: 08.11.2011 - 11:00 Публикации: 187 пункция в помощь исследователю) None are more hopelessly enslaved than those who falsely believe they are free
Снимок конечно не фонтан, но предположить можно энхондрому.
Перелома не вижу
+1 за энхондрому проксимальной фаланги 5 пальца
Патологическмий перелом основной фаланги.
А что насчет болезни имени простого русского мужика Реклингхаузена?
Хочешь сделать что-то нормально - сделай это сам!
Или гигантоклеточная с переломом основания.
я в заключении написал именно так. перелом проксимального эпифиза основной фаланги и подозрение на новообразование (дифф. диагноз с ГКО).
1.энхондрома
2.киста
Костная киста, патологический перелом.
Н.Б.
пункция в помощь исследователю)
None are more hopelessly enslaved than those who falsely believe they are free