Пол пациента:
Тип патологии:
Область исследования:
Методы исследования:
Взяли на контроль после флюорографии, сделали обзорный снимок и задумались, зачем вызвали?
Какие будут мнения уважаемые коллеги?
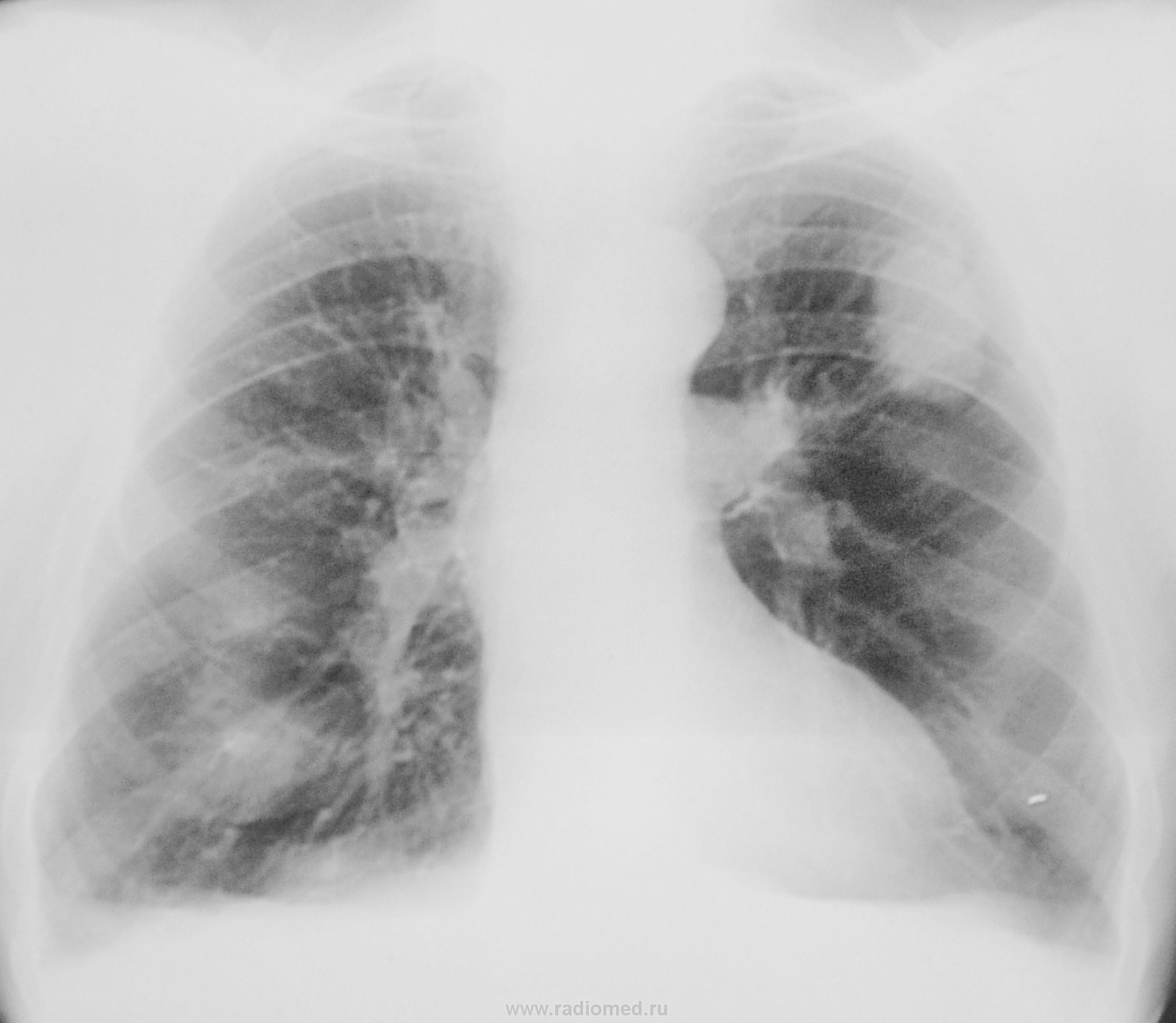
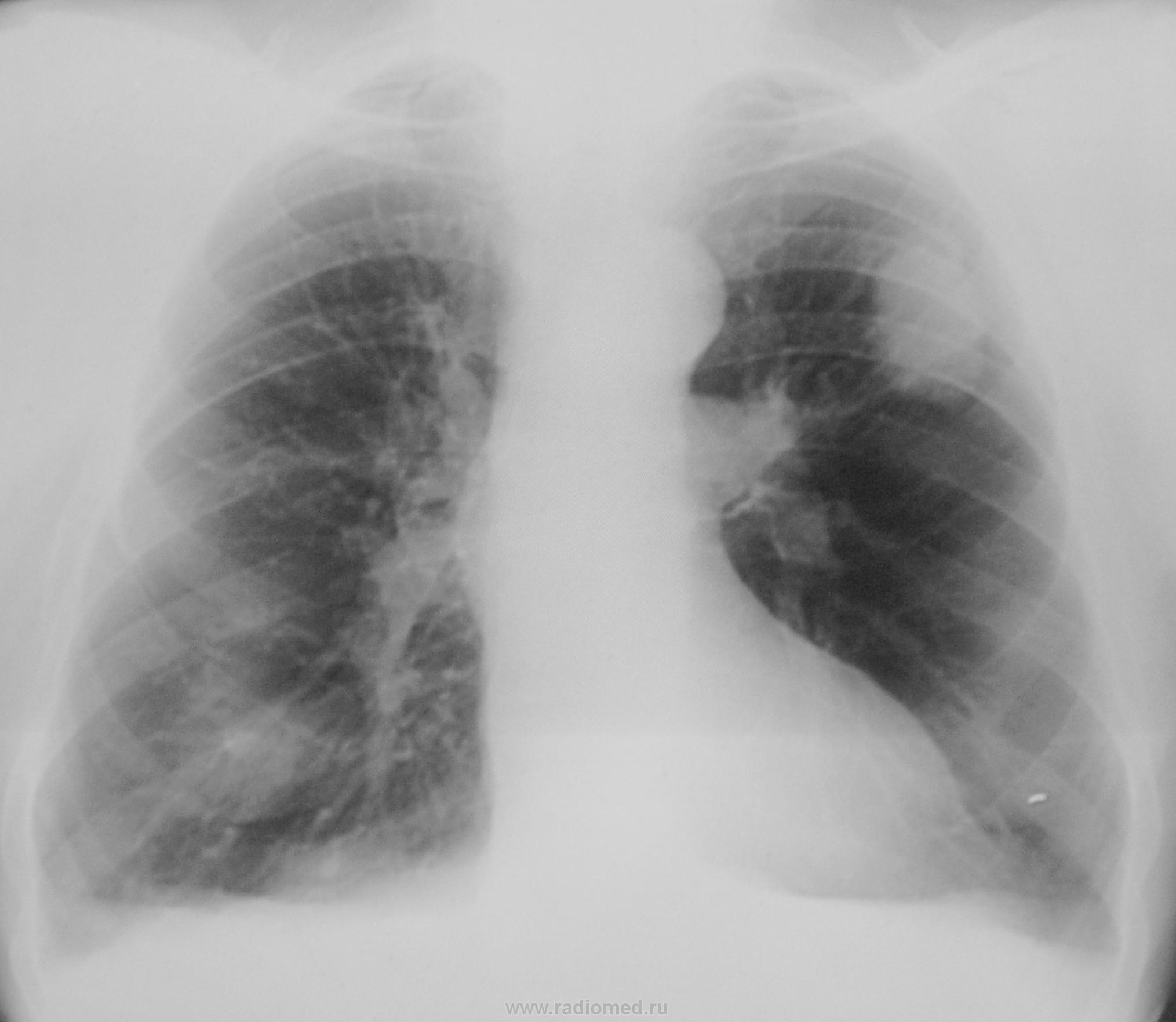
Нас смутили тенюхи слева на уровне 3 ребра. Посидели с коллегой фтизиатром, но фтизиатрического "возбуждения" не наступило. Был сотворен протокол, указаны те очаги и пациент был отпущен.
Прошел год, пациент прибыл на очередную флюшку, которая и была произведена. Было оценено, что "без динамики"
Но, прошел ровно год, и сегодня пациент был направлен на профилактическую флюорографию. Прибегает лаборант с флюорографа и зовет посмотреть…
точно похоже на ТВС слева в S3.
Прийди к Себе
левого легкого с метастазами в медиастинальные лимфатические узлы подумал я при первичном осмотре рисунков и составил план дообследования. С уважением Nik
Нас смутили тенюхи слева на уровне 3 ребра. Посидели с коллегой фтизиатром, но фтизиатрического "возбуждения" не наступило. Был сотворен протокол, указаны те очаги и пациент был отпущен.
Прошел год, пациент прибыл на очередную флюшку, которая и была произведена. Было оценено, что "без динамики"
видно сразу было. Оценил как неактивный очаг, так подобные очаги просматривались и справа, в верхушке слева. На последних флюшках стало изменений больше на уровне 3 ребра слева. Купол диафрагмы справа - не тот, что был. Моего очага, что то не видно. Бросался в глаза очень. Посмотрим, что дальше будет.
посмотреть боковой, а потом высказаться о диагнозе. Nik
Снимки.
Я думаю, что боковой Вас разочаровал..., меня , уж точно, разочаровал.
Томограммы.
1.Вполне пристойный боковой....
2. В очередной раз дилема...нашли ТОТ очаг...и дальше.... ЧТО ДЕЛАТЬ?...Верифицировать временем?...
Болезни ног: виды, симптомы, причины, профилактика и лечение
Такое впечатление, что то прошлое не имеет никакого отношения к тому, что мы видим сейчас. Даже если очаги были слева, то сейчас и тени другие, и стало их на порядок больше. Слева образование с не ровными бугристыми контурами, очень похоже на периферию, а справа их минимум две. Множественные некрасивые тени-с большей вероятностью МТS. Пациент-мужчина, что с толстой кишкой и предстательной железой?
Я думаю, что время, в этом случае, не будет верификатором.
А, что предложили бы Вы уважаемый Виктор Григорьевич?
Наталья Васильевна, так чего же на томограммах и намека нет на проблемы справа? Сдается мне, что то - игра теней. А вот периферический слева - тут не поспоришь. Уж больно он не похож на метастаз...
Болезни ног: виды, симптомы, причины, профилактика и лечение
Такенная "балябуха" из ничего до такой "гули" выросла за год?
ретенционная киста. Не лежит душа к раку. Но,следует не забывать о нем. Желательно услышать голоса наших специалистов по онкологии. Nikolas
Может Вы и правы. Но на мой взгляд, сурьёзности и солидности совсем в этой тени нет. Прямо глянуть в "фейс" содрогнуться можно о размеров "балябухи" и на "томках", более, или менее нормально отобразилась только на двух срезах (шаг томографирования - 2 см), а я ведь резать с семерки начал до пятнадцатого, и только на двух срезах тело тени получил, а на всех остальных срезах - или нет, или безконтурная муть...
О, как!
Интуиция это, или серьёзный расчет и холодный подсчет глубокоуважаемый Николай Арсеньевич?
уж очень оно похоже на периферический рак
морфологическая верификация диагноза. Какие доводы в пользу заполненной ретенционной бронхогенной кисты легкого были у меня? Излагаю. Я предположил кисту при поступлении на сайт рисунка №1. Заметил, что она напоминает "гроздь винограда", что описано было давно в русской литературе. После этого, я вернулся к рисунку №2 и обратил внимание на вытянутую двояковыпуклую форму тени по ходу бронха. Затем ещё раз просмотрел рисунок №3, где отчетливо видно уже две тени, напоминающие растянутые и заполненные мелкие бронхи. После этого внимание привлекли четкие контуры "грозди", неизмененный окружающий фон, однородная структура тени, а также локализация тени в субаксиллярном сегменте. Не увидел я и реакции регионарных лимфатических узлов к корне левого легкого. К рентгеновской картине добавил очень быстрый рост тени и то, что больной выявлен при проверочной флюорографии (значит болезнь протекает бессимптомно). Все эти признаки, вместе взятые, дали мне возможность предположить ретенционную бронхогенную кисту легкого. Не исключаю, что мое заключение не совсем точное. Вы, уважаемый Валентин Львович задали вопрос. Я на него Вам ответил. С уважением Nik.
1. Не о "сейчас" идет разговор, а о "тогда", когда впервые на этот очаг внимание обратили.
2. Как сейчас верифицировать - КТ, возможно с усилением.
3. Версия с кистой интресная, но пока не совсем убедительная.
Болезни ног: виды, симптомы, причины, профилактика и лечение
Спасибо за ответ!
Большое спасибо!
По всей видимости, уважаемые Виктор Григорьевич, мы не будем делать КТ, не все так просто и однозначно с КТ. Мы весьма оперативненько проконсультируем этого пациента, который, кстати, ни на, что не жалуется, вид его весьма здоров, в диагностическом отделении ОПТД, где имеются весьма большие диагностические возможности, а чтобы не отказали, возьмем, да и выставим ему "инфильтративный"..., ведь скиалогически в д/д ряду и он не может быть, вот так, сразу отвергнут, вот мы и воспользуемся этот благодатной возможностью...