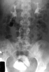
Загадка

Пол пациента: 
Тип патологии: 
Область исследования: 
Методы исследования: 

Попал мне тут в руки один "шедевр"

Качество снимков не особое, но не в этом суть)))

Так вот вопрос - а в чем она?

 

  • https://radiomed.ru/sites/default/files/styles/case_slider_image/public/user/2667/foto023.jpg?itok=197vSMsv
  • https://radiomed.ru/sites/default/files/styles/case_slider_image/public/user/2667/msptmt_i.jpg?itok=103imRRa
ID:22988
Катенёв Валентин Львович аватар
Не на сайте
Был на сайте: 7 лет 2 недели назад
Зарегистрирован: 22.03.2008 - 22:15
Публикации: 54876

Вариант 1 - фистула

Катенёв Валентин Львович аватар
Не на сайте
Был на сайте: 7 лет 2 недели назад
Зарегистрирован: 22.03.2008 - 22:15
Публикации: 54876

Вариант 2.

Внутривенная урография произведена после исследования пищеварительной трубки.

Видать не просто так обзорный отсутствует...

Катенёв Валентин Львович аватар
Не на сайте
Был на сайте: 7 лет 2 недели назад
Зарегистрирован: 22.03.2008 - 22:15
Публикации: 54876

Вариант 3.

Теоретически допустимо, что один из мочеточников открывается в прямую кишку, такие случаи в литературе описаны.

НТ аватар
Не на сайте
Был на сайте: 8 лет 11 месяцев назад
Зарегистрирован: 20.09.2009 - 20:59
Публикации: 10

Скорее, вариант 2, он более жизненный. Но №1 мне тоже нравится. cheeky

Катенёв Валентин Львович аватар
Не на сайте
Был на сайте: 7 лет 2 недели назад
Зарегистрирован: 22.03.2008 - 22:15
Публикации: 54876

А, ведь из всех вариантов, возможен (конечно теоретически) еще и четвертый...

stovbav аватар
Не на сайте
Был на сайте: 2 года 2 месяцев назад
Зарегистрирован: 20.12.2009 - 17:28
Публикации: 7066

Валентин Львович, логика у вас - железная, так оно и было - исследование ЖКТ за два дня до этого, вот что может быть, когда урологи настаивают проводить исследование БЕЗ ОБЗОРНОЙ, а так то -  и сам на первом этапе о фистуле "размечтался", но не там то было...ларчик открылся просто))))

Катенёв Валентин Львович аватар
Не на сайте
Был на сайте: 7 лет 2 недели назад
Зарегистрирован: 22.03.2008 - 22:15
Публикации: 54876

Катенёв Валентин Львович wrote:

А, ведь из всех вариантов, возможен (конечно теоретически) еще и четвертый...

Хороший и поучительный случай Уважаемый Виктор Григорьевич! По большому счету, все случаи, представлемые Вами, случаи из практики, всегда интересны, поучительны и имеют свою "изюминку".

Спасибо за случай!

Если у коллег есть желание, то предлагаю обсудить, конечно теоретически и четвертый вариант.

Вариант имеет под собой определенную подоплёку, но наблюдался мною в далекие 80-е годы прошлого столетия у маленького ребенка, возраст сейчас точно не помню, но примерно в районе 1 года.

И.Бондаренко аватар
Не на сайте
Был на сайте: 3 дня 13 часов назад
Зарегистрирован: 13.09.2011 - 22:55
Публикации: 9206

Хорошее наблюдение. И поучительное.

stovbav аватар
Не на сайте
Был на сайте: 2 года 2 месяцев назад
Зарегистрирован: 20.12.2009 - 17:28
Публикации: 7066

Но есть еще одна загадка....темы родственные, потом - в этой же ветке.

Вопрос - что бы это значило? Анамнеза не будет. С анамнезом тут и разгадывать нечего))))

Приложения: 
y1_-_kopiya.jpgy3_-_kopiya.jpg
olle аватар
Не на сайте
Был на сайте: 9 лет 8 месяцев назад
Зарегистрирован: 07.10.2011 - 21:25
Публикации: 136

Честно скажу- не знаю что это frownsurprise

Петрович аватар
Не на сайте
Был на сайте: 7 лет 2 месяцев назад
Зарегистрирован: 22.03.2009 - 01:13
Публикации: 3908

Петрович тоже чешет репу: не видал такого. Похоже, как бы водорастворимый контраст в свободной брюшной полости, либо суспензия бария в ней.

А другой проекции нет ли?

Неоднозначно всё

stovbav аватар
Не на сайте
Был на сайте: 2 года 2 месяцев назад
Зарегистрирован: 20.12.2009 - 17:28
Публикации: 7066

Петрович wrote:

.... не видал такого. Похоже.....контраст в свободной брюшной полости......суспензия бария в ней.

А другой проекции нет ли?

Есть, но плохонькая....(исследование не мое, имею - что имею....), но анамнез из первых рук.

Приложения: 
y2_-_kopiya.jpg
Петрович аватар
Не на сайте
Был на сайте: 7 лет 2 месяцев назад
Зарегистрирован: 22.03.2009 - 01:13
Публикации: 3908

Можно ещё предположить затёк контраста в забрюшинное пространство … свищ, полость в клетчатке.

Неоднозначно всё

stovbav аватар
Не на сайте
Был на сайте: 2 года 2 месяцев назад
Зарегистрирован: 20.12.2009 - 17:28
Публикации: 7066

Петрович wrote:

.... затёк контраста в забрюшинное пространство … ..

Прямая причина?

Петрович аватар
Не на сайте
Был на сайте: 7 лет 2 месяцев назад
Зарегистрирован: 22.03.2009 - 01:13
Публикации: 3908

Ну, уж помолчу)). Пусть другие выскажутся.

Неоднозначно всё

Катенёв Валентин Львович аватар
Не на сайте
Был на сайте: 7 лет 2 недели назад
Зарегистрирован: 22.03.2008 - 22:15
Публикации: 54876

Пока варианта два.

1. Рвзрыв мочевого пузыря.

2. Если травмы не было, то есть вопрос - это мужчина, или женщина?

olle аватар
Не на сайте
Был на сайте: 9 лет 8 месяцев назад
Зарегистрирован: 07.10.2011 - 21:25
Публикации: 136

А мне кажется, что разрыв кишкиsurprise

stovbav аватар
Не на сайте
Был на сайте: 2 года 2 месяцев назад
Зарегистрирован: 20.12.2009 - 17:28
Публикации: 7066

olle wrote:

А мне кажется, что разрыв кишкиsurprise

1.Это женщина.

2. Да - это разрыв кишки.

3. Осталось указать причину....

olle аватар
Не на сайте
Был на сайте: 9 лет 8 месяцев назад
Зарегистрирован: 07.10.2011 - 21:25
Публикации: 136

Возможно экстремальные утехи и игрища.

stovbav аватар
Не на сайте
Был на сайте: 2 года 2 месяцев назад
Зарегистрирован: 20.12.2009 - 17:28
Публикации: 7066

olle wrote:

Возможно экстремальные утехи и игрища.

Тогда зачем там барий?)))

olle аватар
Не на сайте
Был на сайте: 9 лет 8 месяцев назад
Зарегистрирован: 07.10.2011 - 21:25
Публикации: 136

А шут его знает! laughdevil

stovbav аватар
Не на сайте
Был на сайте: 2 года 2 месяцев назад
Зарегистрирован: 20.12.2009 - 17:28
Публикации: 7066

Конечно, мне легче всего назвать причину. Но ведь Вы подошли так близко. Неужели никогда не было опасения, что это может произойти? Ведь это дамоклов меч, висящий над каждым из рентгенологов......

olle аватар
Не на сайте
Был на сайте: 9 лет 8 месяцев назад
Зарегистрирован: 07.10.2011 - 21:25
Публикации: 136

А может кишка лопнула при ирригоскопии, произведённой уж очень агрессивно?surprise Я этого всегда страшно боялась, особенно у детей!crying

stovbav аватар
Не на сайте
Был на сайте: 2 года 2 месяцев назад
Зарегистрирован: 20.12.2009 - 17:28
Публикации: 7066

olle wrote:

А может кишка лопнула при ирригоскопии, произведённой уж очень агрессивно?surprise Я этого всегда страшно боялась, особенно у детей!crying

Мне нечего добавить....кроме того, что уже проведен ряд оперативных вмешательств...

olle аватар
Не на сайте
Был на сайте: 9 лет 8 месяцев назад
Зарегистрирован: 07.10.2011 - 21:25
Публикации: 136

женщину жалко, и рентгенолога....sad

stovbav аватар
Не на сайте
Был на сайте: 2 года 2 месяцев назад
Зарегистрирован: 20.12.2009 - 17:28
Публикации: 7066

В моей практике было нечто похожее...лет десять назад....женщине после ирригоскопии через час стало хуже...была прооперирована. Но там была опухоль на протяжении до 20,0 см с признаками распада...и эта микроперфорация была вполне обьяснима...просто она ускорила оперативное вмешательство. Но чтобы так - ...не видел и не слышал никогда до этого случая. По данным литературы - "возможна перфорация, как правило измененной толстой кишки...". 

olle аватар
Не на сайте
Был на сайте: 9 лет 8 месяцев назад
Зарегистрирован: 07.10.2011 - 21:25
Публикации: 136

Спасибо, очень поучительно! yes

Наталия Васильевна аватар
Не на сайте
Был на сайте: 5 лет 8 месяцев назад
Зарегистрирован: 25.09.2011 - 09:02
Публикации: 754

Поэтому и вводить надо медленно и аккуратно-во-первых ничего мелкого не пропустишь, а во-вторых спать будешь более-менее спокойно. А я всегда не зря этого боялась....

Игорь Иванович аватар
Не на сайте
Был на сайте: 3 года 9 месяцев назад
Зарегистрирован: 23.01.2010 - 14:56
Публикации: 3695

У одного коллеги был тоже неприятный случай (это когда ирриго в темном кабинете, наконечник стекляный, и был надколот. Или его тюкнули уже непосредственно перед). До перфорации не дошло, но порезы были. А ну ка розочкой?

Игорь Иванович аватар
Не на сайте
Был на сайте: 3 года 9 месяцев назад
Зарегистрирован: 23.01.2010 - 14:56
Публикации: 3695

stovbav wrote:

... урологи настаивают проводить исследование БЕЗ ОБЗОРНОЙ...

А сколько конкрементов "заливаются" контрастом и не диагностируются. А чего проще - сделай обзорную, и режимы скорректируешь заодно.

stovbav аватар
Не на сайте
Был на сайте: 2 года 2 месяцев назад
Зарегистрирован: 20.12.2009 - 17:28
Публикации: 7066

Игорь Иванович wrote:

stovbav wrote:

... урологи настаивают проводить исследование БЕЗ ОБЗОРНОЙ...

А сколько конкрементов "заливаются" контрастом и не диагностируются. А чего проще - сделай обзорную, и режимы скорректируешь заодно.

Вот и я о том же, Игорь Иванович))))

Петрович аватар
Не на сайте
Был на сайте: 7 лет 2 месяцев назад
Зарегистрирован: 22.03.2009 - 01:13
Публикации: 3908

stovbav wrote:
Игорь Иванович wrote:
stovbav wrote:
... урологи настаивают проводить исследование БЕЗ ОБЗОРНОЙ...

А сколько конкрементов "заливаются" контрастом и не диагностируются. А чего проще - сделай обзорную, и режимы скорректируешь заодно.

Вот и я о том же, Игорь Иванович))))

А кто ж им дал право в рентген кабинете настаивать? Стоять там позволили и того уж довольно.

Неоднозначно всё

Helios аватар
Не на сайте
Был на сайте: 7 месяцев 2 недели назад
Зарегистрирован: 06.08.2010 - 15:16
Публикации: 4417

Какие-то урологи неправильные.

Как-то подрабатывая в одной из клиник нашего города была свидетелем того, как у пациента развился анафилактический шок на Ультравист.Вспомнила свою боевую терапевтическую молодость , приняла меры, буквально "выгрызла" анестезиолога  из реанимации ( не хотела идти, пришлось немного сгустить краски).После этого устроила небольшой скандальчик  зав.хирургическим отделением и урологу, который  до этого случая не удосуживался присутствовать ( хотя бы ) при проведении исследования.После всего уролог бежал впереди медицинской сестры в кабинет.

В нашем учреждении врачи сами приходят после того, как мы им отзвонимся  после проведения обзорной урограммы, еще стойку за собой  принесут, чтобы медсестре с укладкой не так тяжко было.

Петрович аватар
Не на сайте
Был на сайте: 7 лет 2 месяцев назад
Зарегистрирован: 22.03.2009 - 01:13
Публикации: 3908

Мы в милость божию больше верим, чем в полезность уролога во время урографии и не призываем последнего.

Однако, биологическая проба на препарат за час до исследования проводится неукоснительно. И на «вражеской» территории. Так что Бог милует.

Неоднозначно всё

olle аватар
Не на сайте
Был на сайте: 9 лет 8 месяцев назад
Зарегистрирован: 07.10.2011 - 21:25
Публикации: 136

Скажите, а есть ли документ, предписывающий обязательное проведение пробы до внутривенного введения контраста?

Петрович аватар
Не на сайте
Был на сайте: 7 лет 2 месяцев назад
Зарегистрирован: 22.03.2009 - 01:13
Публикации: 3908

Когда-то был. Потом вроде отменили…, но при этом забыли отменить аллергические реакции. Проба страхует Вас и вашего пациента от крупных неприятностей. Нужен ли Вам специальный докУмент, предписывающий разумное поведение? Мне кажется, Человек стал Разумным задолго до изобретения документооборота.

Встречный вопрос: а есть ли документ, предписывающий обязательное присутствие уролога во время урографии?

В случае неадекватного отношения заинтересованных лиц к пробе, в/в урография должна быть записываема в лист назначений или лист ожидания (а тем более выполняться) ТОЛЬКО ПОСЛЕ появления в истории болезни (амбулаторной карте) записи врача, назначившего в/в урографию, об отсутствии противопоказаний к в/в введению соответствующего препарата и отмене на этом основании биологической пробы. Ну и можно тогда пригласить врача назначившего, стать соучастником Процесса. Для начала процесса в/венного введения назначенного препарата.

Неоднозначно всё

stovbav аватар
Не на сайте
Был на сайте: 2 года 2 месяцев назад
Зарегистрирован: 20.12.2009 - 17:28
Публикации: 7066

Петрович wrote:

...... можно тогда пригласить врача назначившего, стать соучастником Процесса. Для начала процесса в/венного введения назначенного препарата.

Именно для этого его и приглашаем))), остальные вопросы - отсроченые снимки, прицельные , томография/зонография - только доводим до ведома по ходу дела или потом, в протоколе.

Вообще, по жизни, следую правилу, которому меня учил мой учитель, Зеров Константин Львович, требуй, чтобы при проведении сложных исследований или исследований тяжелым больным присутствовал и лечащий врач (иногда это житзненно необходимо, да и требуется не так уж и часто)

Катенёв Валентин Львович аватар
Не на сайте
Был на сайте: 7 лет 2 недели назад
Зарегистрирован: 22.03.2008 - 22:15
Публикации: 54876

olle wrote:

Скажите, а есть ли документ, предписывающий обязательное проведение пробы до внутривенного введения контраста?

На это "забили".

Раньше, в далекие времена, даже страшно вспомнить, в упаковке с контрастными веществами (мы тогда пользовались в основном верографином) вместе с основными ампулами, по 20.0 были маленькие, именно для проведения пробы на чувствительность к препарату (не к йоду, а именно к препарату). Потом те маленькие ампулки исчезли...

А, почему "забили", какие мнения будут?

Любовь С. аватар
Не на сайте
Был на сайте: 9 лет 5 месяцев назад
Зарегистрирован: 23.12.2010 - 01:58
Публикации: 2324

Проведение пробы есть сенсибилизация. Поэтому сейчас редко где сохранилась эта практика. Рекомендации европейских спецов по контрастам категорически не рекомендуют подобные пробы. Стоит ли к ним прислушиваться, пока нет приказа свыше - выбор индивидуален. 

Если нет реакции при проведении пробы - совершенно не значит, что не будет анафилаксии на введение обычной дозы. Так что риск есть в любом случае, и как считают европейские лучевые диагносты, при проведении проб риск больше. 

http://www.esur.org/contrast.media.51.0.html

Где-то есть и на русском.

"Предоставляя весь смысл и совершенство в распоряжение одного только Бога, вы избавляете себя от бездны хлопот." Джон Уитборн.

Любовь С. аватар
Не на сайте
Был на сайте: 9 лет 5 месяцев назад
Зарегистрирован: 23.12.2010 - 01:58
Публикации: 2324

Пример: в инструкции к омнипаку, который применяется для контрастирования в КТ (и не только) : "Не рекомендуется проводить предварительное тестирование индивидуальной чувствительности с использованием малых доз препарата, ввиду риска возникновения тяжелых реакций гиперчувствительности." 

"Предоставляя весь смысл и совершенство в распоряжение одного только Бога, вы избавляете себя от бездны хлопот." Джон Уитборн.

Любовь С. аватар
Не на сайте
Был на сайте: 9 лет 5 месяцев назад
Зарегистрирован: 23.12.2010 - 01:58
Публикации: 2324

Последнее громкое дело в Москве с летальным исходом от анафилактического шока при контрастной КТ - там на счёт предварительной пробы в итоге было сказано немало, суть такова: в инструкции не рекомендуется, и потому поведение врача, не проведшего пробу, сочли в этом аспекте верным. Материалы дела доступны в инете.

"Предоставляя весь смысл и совершенство в распоряжение одного только Бога, вы избавляете себя от бездны хлопот." Джон Уитборн.

Любовь С. аватар
Не на сайте
Был на сайте: 9 лет 5 месяцев назад
Зарегистрирован: 23.12.2010 - 01:58
Публикации: 2324

 

Инструкция к урографину:  http://health.mail.ru/drug/urographin/

"Тест-пробы

Не рекомендуют оценивать чувствительность с помощью небольшой тест-дозы контрастного средства, т.к. это не позволяет предсказать возникновение реакции. Более того, определение чувствительности само по себе иногда приводит к серьезным и даже летальным реакциям гиперчувствительности."

"Предоставляя весь смысл и совершенство в распоряжение одного только Бога, вы избавляете себя от бездны хлопот." Джон Уитборн.

Любовь С. аватар
Не на сайте
Был на сайте: 9 лет 5 месяцев назад
Зарегистрирован: 23.12.2010 - 01:58
Публикации: 2324

Кажется, были где-то указания о том, что проведение кожных проб разрешено только врачу-аллергологу... но память уже не девичья: где это было, и каким образом было озвучено - не помню.

"Предоставляя весь смысл и совершенство в распоряжение одного только Бога, вы избавляете себя от бездны хлопот." Джон Уитборн.

Петрович аватар
Не на сайте
Был на сайте: 7 лет 2 месяцев назад
Зарегистрирован: 22.03.2009 - 01:13
Публикации: 3908

Любовь С. wrote:
Проведение пробы есть сенсибилизация.
У нас биологическая проба на препарат проводится за 1 час до исследования. А сколько времени требуется для развития сенсибилизации? Вспоминаем патофизиологию. Вы её сдавали на два десятилетия позже меня.

Любовь С. wrote:
Рекомендации европейских спецов по контрастам категорически не рекомендуют подобные пробы.
Покажите, пожалуйста, пальчиком, ГДЕ ЭТО категорически? Ваша и моя ссылки внизу.

Любовь С. wrote:
Если нет реакции при проведении пробы - совершенно не значит, что не будет анафилаксии на введение обычной дозы. .
Вероятность, однако, снижается. И радикально, поскольку проба – внутривенная!

 

Любовь С. wrote:
Так что риск есть в любом случае, и как считаю европейские лучевые диагносты, при проведении проб риск больше. 
А пробы-то рискованные заблаговременные проводятся как раз на «вражеской» территории (где средства неотложной помощи обязаны быть) вдали от мирного отделения лучевой диагностики.

Любовь С. wrote:
http://www.esur.org/contrast.media.51.0.html

Где-то есть и на русском.

Тута есть!)

 http://www.esur.org/Contrast-media.51.0.html?&lang=ru&no_cache=1#g_section_0_cover

Неоднозначно всё

Петрович аватар
Не на сайте
Был на сайте: 7 лет 2 месяцев назад
Зарегистрирован: 22.03.2009 - 01:13
Публикации: 3908

#40 , #41 , #42 , #43   —  Досужие рассуждения на уровне ток-шоу  —  не рассматриваю. Количество в качество НЕ перешло)).

Неоднозначно всё

Любовь С. аватар
Не на сайте
Был на сайте: 9 лет 5 месяцев назад
Зарегистрирован: 23.12.2010 - 01:58
Публикации: 2324

Кто и с кем спорил? Я не дискутировала. 

 Единственный совет тем, кто имеет дело с контрастом: прочитайте инструкцию к препарату, вот и всё).

"Предоставляя весь смысл и совершенство в распоряжение одного только Бога, вы избавляете себя от бездны хлопот." Джон Уитборн.

Катенёв Валентин Львович аватар
Не на сайте
Был на сайте: 7 лет 2 недели назад
Зарегистрирован: 22.03.2008 - 22:15
Публикации: 54876

Любовь С. wrote:

Проведение пробы есть сенсибилизация.

И, Вы совершенно правы Прелестная Любочка!

Катенёв Валентин Львович аватар
Не на сайте
Был на сайте: 7 лет 2 недели назад
Зарегистрирован: 22.03.2008 - 22:15
Публикации: 54876

Любовь С. wrote:

 Единственный совет тем, кто имеет дело с контрастом: прочитайте инструкцию к препарату, вот и всё).

Но, также стоит помнить, что порой, имеют место быть, так называемые "поздние реакции"..., а там все намного сложнее и плачевнее.

Наталия Васильевна аватар
Не на сайте
Был на сайте: 5 лет 8 месяцев назад
Зарегистрирован: 25.09.2011 - 09:02
Публикации: 754

Любовь С. wrote:

Если нет реакции при проведении пробы - совершенно не значит, что не будет анафилаксии на введение обычной дозы. 

Двумя руками "за", потому как на собственной шкуре испытала такое побочное "действо" от внутривенного введения при совершенно отрицательной пробе. Той самой маленькой ампулой по 2,0.

Петрович аватар
Не на сайте
Был на сайте: 7 лет 2 месяцев назад
Зарегистрирован: 22.03.2009 - 01:13
Публикации: 3908

Теоретические основы медицины здесь прочно забыты.

Неоднозначно всё