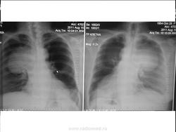
Загадочные кистовидные образования.

Пол пациента: 
Тип патологии: 
Область исследования: 
Методы исследования: 

Жалобы на одышку. Архив 6 мес назад без данных изменений. Из анамнеза Са МЖ.

Ваши мнения коллеги)

 

 

  • https://radiomed.ru/sites/default/files/styles/case_slider_image/public/user/5536/z_528e7069_0.jpg?itok=lBdv4oyx
ID:22267
Катенёв Валентин Львович аватар
Не на сайте
Был на сайте: 7 лет 1 месяц назад
Зарегистрирован: 22.03.2008 - 22:15
Публикации: 54876

Т.е. Вы хотите сказать, что "это" появилось в течение 6 месяцев?

Mitkampfer аватар
Не на сайте
Был на сайте: 11 лет 1 месяц назад
Зарегистрирован: 27.07.2010 - 07:43
Публикации: 1454

согласно архиву да

Не ограничивайте свою мысль

Живешь пока учишься

Ecrasez l’infame

Катенёв Валентин Львович аватар
Не на сайте
Был на сайте: 7 лет 1 месяц назад
Зарегистрирован: 22.03.2008 - 22:15
Публикации: 54876

В архиве снимки были перепутаны?

Mitkampfer аватар
Не на сайте
Был на сайте: 11 лет 1 месяц назад
Зарегистрирован: 27.07.2010 - 07:43
Публикации: 1454

не похоже...

Не ограничивайте свою мысль

Живешь пока учишься

Ecrasez l’infame

Катенёв Валентин Львович аватар
Не на сайте
Был на сайте: 7 лет 1 месяц назад
Зарегистрирован: 22.03.2008 - 22:15
Публикации: 54876

Травмы не было?

Mitkampfer аватар
Не на сайте
Был на сайте: 11 лет 1 месяц назад
Зарегистрирован: 27.07.2010 - 07:43
Публикации: 1454

неа.

Не ограничивайте свою мысль

Живешь пока учишься

Ecrasez l’infame

Евгений1313 аватар
Не на сайте
Был на сайте: 13 лет 3 недели назад
Зарегистрирован: 15.10.2010 - 19:13
Публикации: 808

За 6 месяцев это не могло вырасти...Что это? Что-то из средостения?

Kat аватар
Kat
Не на сайте
Был на сайте: 12 лет 7 месяцев назад
Зарегистрирован: 19.04.2011 - 19:10
Публикации: 365

1.  Mts (но лично мне пока еще не встречались mts таких размеров из МЖ, больше похоже на из ЖКТ)

2. Паразитарные кисты (если учитывать появление в течение 6 мес.)

Временно отсутствую на сайте...

stovbav аватар
Не на сайте
Был на сайте: 2 года 2 месяцев назад
Зарегистрирован: 20.12.2009 - 17:28
Публикации: 7066

Метастазы, как по мне....возникновение и рост метастазов находится под значительным влиянием эндогенных факторов. Молодой возраст, гормональные сдвиги в сторону гиперэстринизма, беременность и лактация, а возможно и нейротрофические влияния способствуют развитию метастазов. Несомненную роль в ускорении появления и роста метастазов могут оказать и экзогенные факторы: травма опухоли при массаже и неполноценной операции, ультрафиолетовое облучение и неоправданно длительное введение эстрогенных препаратов.....

Катенёв Валентин Львович аватар
Не на сайте
Был на сайте: 7 лет 1 месяц назад
Зарегистрирован: 22.03.2008 - 22:15
Публикации: 54876

Такую картинку могла дать и саркома лёгкого, но не за 5 месяцев. На мой взгляд, имела место "хрень" с архивом, или перепутали, или аналогичное...

Катенёв Валентин Львович аватар
Не на сайте
Был на сайте: 7 лет 1 месяц назад
Зарегистрирован: 22.03.2008 - 22:15
Публикации: 54876

Помеченная стрелками "полутень", также видна только в одной проекции

Приложения: 
1._poluten.z_377f8c0c_0.jpg
stovbav аватар
Не на сайте
Был на сайте: 2 года 2 месяцев назад
Зарегистрирован: 20.12.2009 - 17:28
Публикации: 7066

Саркома ...очень даже может быть...и размеры не последняя тому причина ....а вот полутень возможно появилась из за изменения уладки...

Катенёв Валентин Львович аватар
Не на сайте
Был на сайте: 7 лет 1 месяц назад
Зарегистрирован: 22.03.2008 - 22:15
Публикации: 54876

"Она" даже похожа на ту, которой Вы поделились со мной, что была презентована на известную Вам кафедру одним из курсантов.

stovbav аватар
Не на сайте
Был на сайте: 2 года 2 месяцев назад
Зарегистрирован: 20.12.2009 - 17:28
Публикации: 7066

Катенёв Валентин Львович wrote:

"Она" даже похожа на ту, которой Вы поделились со мной, что была презентована на известную Вам кафедру одним из курсантов.

 Я тоже о ней вспомнил...очень даже похожа...

Пожалуй из крупных шаровидных образования это третий случай за всю практику (кисты в расчет не берем))) )

Катенёв Валентин Львович аватар
Не на сайте
Был на сайте: 7 лет 1 месяц назад
Зарегистрирован: 22.03.2008 - 22:15
Публикации: 54876

Вот только автор случая, все на "архив" кивает, интригу тянет, а "котлетка" может и остыть...

stovbav аватар
Не на сайте
Был на сайте: 2 года 2 месяцев назад
Зарегистрирован: 20.12.2009 - 17:28
Публикации: 7066

Да, на этот "архив" стоило бы взглянуть...это многое прояснит...ведь если это саркома, то действительно, пяти месяцев для таких массивов маловато будет...

Mitkampfer аватар
Не на сайте
Был на сайте: 11 лет 1 месяц назад
Зарегистрирован: 27.07.2010 - 07:43
Публикации: 1454

Не затягиваю я) Случай для меня также загадочен.  А архив приносился пациенткой на 15 мин, на тот момент идеи выложить материал не было. Дальше за пациентку взялись онкологи. Надеюсь смогу отследить, что получится в результате.

А в н/доле левого легкого как по вашему что?

По плотности до сарком не дотягивают, но в этом могу ошибаться.

Не ограничивайте свою мысль

Живешь пока учишься

Ecrasez l’infame

Катенёв Валентин Львович аватар
Не на сайте
Был на сайте: 7 лет 1 месяц назад
Зарегистрирован: 22.03.2008 - 22:15
Публикации: 54876

Mitkampfer wrote:

Не затягиваю я) Случай для меня также загадочен.  А архив приносился пациенткой на 15 мин, на тот момент идеи выложить материал не было. Дальше за пациентку взялись онкологи. Надеюсь смогу отследить, что получится в результате.

А в н/доле левого легкого как по вашему что?

По плотности до сарком не дотягивают, но в этом могу ошибаться.

Плотность (для саркомы) по рентгенограмме? Вы серьёзно?

Kat аватар
Kat
Не на сайте
Был на сайте: 12 лет 7 месяцев назад
Зарегистрирован: 19.04.2011 - 19:10
Публикации: 365

на саркому можно было бы подумать.если бы не было такого же шарика в S9-10 cлева. А тень-"полутень" слева в в\поле более мягкой по интенсивности выглядит потому,что  и снимок с разворотом (и левое легкое чернее) и общее равномерное снижение пневматизации легочной ткани правого легкого- что-то (mts?) мешает норм. вентиляции на уровне правого главного бронха.

P.S. Ну это я так думаю)

Временно отсутствую на сайте...

stovbav аватар
Не на сайте
Был на сайте: 2 года 2 месяцев назад
Зарегистрирован: 20.12.2009 - 17:28
Публикации: 7066

Саркома может быть и из нескольких "шариков"...не забывайте об этом...

Kat аватар
Kat
Не на сайте
Был на сайте: 12 лет 7 месяцев назад
Зарегистрирован: 19.04.2011 - 19:10
Публикации: 365

из нескольких возможно, а когда они не связаны между собой ( в данном случае в средостении и слева в н\легочном поле) тоже о саркоме думать?

Временно отсутствую на сайте...

Mitkampfer аватар
Не на сайте
Был на сайте: 11 лет 1 месяц назад
Зарегистрирован: 27.07.2010 - 07:43
Публикации: 1454

честно говоря мысли Kat мне наиболее близки) со средостением бы поспорил правда)

Валентин Львович, имел ввиду интенсивность.

Не ограничивайте свою мысль

Живешь пока учишься

Ecrasez l’infame

stovbav аватар
Не на сайте
Был на сайте: 2 года 2 месяцев назад
Зарегистрирован: 20.12.2009 - 17:28
Публикации: 7066

Kat wrote:

из нескольких возможно, а когда они не связаны между собой ( в данном случае в средостении и слева в н\легочном поле) тоже о саркоме думать?

Могут быть и не связаны друг с другом...

Евгений1313 аватар
Не на сайте
Был на сайте: 13 лет 3 недели назад
Зарегистрирован: 15.10.2010 - 19:13
Публикации: 808

Довайте подумаем о закрытом абсцессе.Есть ли клиника ?

stovbav аватар
Не на сайте
Был на сайте: 2 года 2 месяцев назад
Зарегистрирован: 20.12.2009 - 17:28
Публикации: 7066

Евгений1313 wrote:

Довайте подумаем о закрытом абсцессе.Есть ли клиника ?

Тогда - абсцессах...ведь тенеобразований как минимум - два...и мне не дает покоя и третья тень, на которую указывал Валентин Львович....

stovbav аватар
Не на сайте
Был на сайте: 2 года 2 месяцев назад
Зарегистрирован: 20.12.2009 - 17:28
Публикации: 7066

1.Вот три случая саркомы легких...

2. Понимаю, что женщина 1954 года рождения...но что у нас с вопросом СПИДа?

Приложения: 
sinovialnaya_sarkoma_1.gifsinovialnaya_sarkoma_2.gifsinovialnaya_sarkoma3.gifsinovialnaya_sarkoma_4.jpgsinovialnaya_sarkoma_legkih.jpg
Mitkampfer аватар
Не на сайте
Был на сайте: 11 лет 1 месяц назад
Зарегистрирован: 27.07.2010 - 07:43
Публикации: 1454

все таки синовиомы ближе к суставам...чаще одиночны и менее однородны по структуре...

Не ограничивайте свою мысль

Живешь пока учишься

Ecrasez l’infame

stovbav аватар
Не на сайте
Был на сайте: 2 года 2 месяцев назад
Зарегистрирован: 20.12.2009 - 17:28
Публикации: 7066

(Вы на подписи к рисункам особо внимания не обращайте ...)

Единой общепризнанной классификации сарком легкого до настоящего времени не существует. Предложен ряд классификаций первичных сарком легкого, основанных на различных классификационных признаках. Одной из первых классификаций, учитывающей морфологические и клинико-рентгенологические критерии, охватывающие практически все формы сарком легких, является классификация Б.С. Бабашева, предложенная им в 1971 году (цит. по М.И. Лыткину, 1988). . 

В соответствии с ней выделяют следующие типы первичных саркомы легкого:

По характеру и форме роста опухоли:- шаровидная (периферическая, центральная);- инфильтративная (периферическая, центральная, перибронхиальная, параваскулярная);- эндобронхиальная (диффузная, полиповидная).

По гистологическим признакам:

- дифференцированные саркомы легких (ангиосаркома, хондросаркома, лимфосаркома, ретикулосаркома, лейомиосаркома и др.);

- недифференцированные саркомы легких (крупноклеточная, веретенообразоклеточная, полиморфно-клеточная);

- смешанная саркома легких (карциносаркома);

- первичная саркома плевры.

Клинико-рентгенологическая классификация первичных сарком легких (Бабашев Б.С., 1971)

ЛокализацияПатогенетическая характеристика
Периферическая шаровидная саркома легкихI стадия - местного инкапсулированного экспансивного роста.П стадия - осложнений, связанных с опухолевым ростом (периферический и центральный распад опухоли, компрессионные ателектазы, бронхоэктазы)Ш стадия - опухолевый рост переходит в инфильтративную стадию (прорастание опухоли в плевру, диафрагму, ребра, пищевод, перикард) и метастазирует в регионарные бронхопульмональные лимфатические узлы.IV стадия - кроме указанных выше местных проявлений имеются отдаленные метастазы.
Центральная саркома легких (шаровидная, полиповидная, пневмониеподобная)I стадия - местный ограниченный опухолевый процесс.II стадия - инфильтративный рост и деструкция опухоли, прорастание и закупорка бронха с последующим образованием ателектазов.III стадия -опухоль прорастает в органы средостения, имеются регионарные метастазы в лимфатические узлы средостения.IV стадия - обширное метастазирование в отдаленные органы, геморрагический плеврит.
Первичная саркома плевры 

Приведенная классификация охватывает практически все формы саркомы легких, включает различные критерии, что определяет ее практическое значение.Клиника и диагностика. Клиническая картина саркомы легкого практически не имеет специфических признаков и аналогична клиническим проявлениям рака легкого. Она во многом определяется размерами, характером и темпом роста опухоли (эндобронхиальный, перибронхиальный, внутрилегочный), характером метастазирования.

Катенёв Валентин Львович аватар
Не на сайте
Был на сайте: 7 лет 1 месяц назад
Зарегистрирован: 22.03.2008 - 22:15
Публикации: 54876

Kat wrote:

из нескольких возможно, а когда они не связаны между собой ( в данном случае в средостении и слева в н\легочном поле) тоже о саркоме думать?

Из нескольких "шариков", как говорит Катюша и один "огроменный" шар...

О, чем будем думать коллеги? Ни анамнеза, ни клиники, ни архива, ни "хрена" нет, остаётся

взять карты Таро...

Kat аватар
Kat
Не на сайте
Был на сайте: 12 лет 7 месяцев назад
Зарегистрирован: 19.04.2011 - 19:10
Публикации: 365

Синовиа́льная оболо́чка — внутренний слой суставной сумки или костно-фиброзного канала. Синовиальная оболочка выстилает всю поверхность суставной полости и связки, расположенные в суставе, за исключением хрящевых участков. 

Теоретически, синовиальная саркома возможна в грудной клетке, и я так понимаю,что на представленных Виктором Григорьевичем снимках, она растет именно из стенки гр.клетки?

Последний случай саркомы "Синовиальная саркома легких"- корректно ли название? 

И еще вопрос по метастазам: почему mts растут гораздо быстрее,чем первичная опухоль, ведь состоят они из одинаковых раковых клеток?

Спасибо.

Временно отсутствую на сайте...

Катенёв Валентин Львович аватар
Не на сайте
Был на сайте: 7 лет 1 месяц назад
Зарегистрирован: 22.03.2008 - 22:15
Публикации: 54876

Ваши случаи, уважаемый Виктор Григорьевич, в таком представлении убедительны, а вот главный

случай ветви вызывает у меня самые противоречивые чувства, а тут под боком "Доктор-шлягер" - 

Добрынин, еще про "синий туман" поёт...

Kat аватар
Kat
Не на сайте
Был на сайте: 12 лет 7 месяцев назад
Зарегистрирован: 19.04.2011 - 19:10
Публикации: 365

Катенёв Валентин Львович wrote:

 ни "хрена" нет, остаётся

взять карты Таро...

И раскинет она, и разложит 
Благородных своих королей. 

Временно отсутствую на сайте...

Катенёв Валентин Львович аватар
Не на сайте
Был на сайте: 7 лет 1 месяц назад
Зарегистрирован: 22.03.2008 - 22:15
Публикации: 54876

И, вот под влиянием Добрынина и "тойного" синего тумана, сам-собой напрашивается

паскудный вопрос о добропорядочности восходящего отдела грудной аорты. Ведь эта

тенюха, что на прямой, что на боковой очень интимно связана с тенью восходящей аорты, да и контура (самостоятельного) восходящего отдела не видно, даже не угадывается... - сплошной туман. Вопрос к автору - ТРАВМА ГРУДНОЙ КЛЕТКИ У ПАЦИЕНТА БЫЛА?

Катенёв Валентин Львович аватар
Не на сайте
Был на сайте: 7 лет 1 месяц назад
Зарегистрирован: 22.03.2008 - 22:15
Публикации: 54876

Kat wrote:

Катенёв Валентин Львович wrote:

 ни "хрена" нет, остаётся

взять карты Таро...

И раскинет она, и разложит 
Благородных своих королей. 

А. короли тут - мы, пользователи сайта. Вы Катюша, бузусловно - королева, хоть и в цилиндре, хотя в королевской короне, по всей видимости, была бы неотразима, цилиндр часть личика Вашего заслоняет...

stovbav аватар
Не на сайте
Был на сайте: 2 года 2 месяцев назад
Зарегистрирован: 20.12.2009 - 17:28
Публикации: 7066

А подписи к рисункам пришли из-за бугра...вместе с ними))))...это в ихней классификации такое есть...но и то - встречаются крайне редко...

Mitkampfer аватар
Не на сайте
Был на сайте: 11 лет 1 месяц назад
Зарегистрирован: 27.07.2010 - 07:43
Публикации: 1454

Катенёв Валентин Львович wrote:

Kat wrote:

из нескольких возможно, а когда они не связаны между собой ( в данном случае в средостении и слева в н\легочном поле) тоже о саркоме думать?

Из нескольких "шариков", как говорит Катюша и один "огроменный" шар...

О, чем будем думать коллеги? Ни анамнеза, ни клиники, ни архива, ни "хрена" нет, остаётся

взять карты Таро...

Есть ''шарики''.

Остается взять биопсию)

К сожалению по клинике редко можно поставить точный диагноз. А анамнез...часто больные не договаривают самого главного или попросту врут))))

Не ограничивайте свою мысль

Живешь пока учишься

Ecrasez l’infame

Катенёв Валентин Львович аватар
Не на сайте
Был на сайте: 7 лет 1 месяц назад
Зарегистрирован: 22.03.2008 - 22:15
Публикации: 54876

Беру вторую колоду карт, кинул, карты свидетельствуют о "пустых хлопотах" в плане онкологии...

Mitkampfer аватар
Не на сайте
Был на сайте: 11 лет 1 месяц назад
Зарегистрирован: 27.07.2010 - 07:43
Публикации: 1454

ох уж эти карты)) хорошо , что я не азартен)

Не ограничивайте свою мысль

Живешь пока учишься

Ecrasez l’infame

Катенёв Валентин Львович аватар
Не на сайте
Был на сайте: 7 лет 1 месяц назад
Зарегистрирован: 22.03.2008 - 22:15
Публикации: 54876

Карты-картами, что чётки для размышления. И, хоть матерно, и всячески ругают "скопию", но любой из "стариков", взял-бы этого клиента за экран, да и посмотрел, как ведет себя эта тенюха.

Mitkampfer аватар
Не на сайте
Был на сайте: 11 лет 1 месяц назад
Зарегистрирован: 27.07.2010 - 07:43
Публикации: 1454

согласен)

Не ограничивайте свою мысль

Живешь пока учишься

Ecrasez l’infame

Kat аватар
Kat
Не на сайте
Был на сайте: 12 лет 7 месяцев назад
Зарегистрирован: 19.04.2011 - 19:10
Публикации: 365

Катенёв Валентин Львович wrote:

А. короли тут - мы, пользователи сайта. Вы Катюша, бузусловно - королева, хоть и в цилиндре, хотя в королевской короне, по всей видимости, была бы неотразима, цилиндр часть личика Вашего заслоняет...

я не хочу быть королевой.я хочу наслаждаться своей молодостью и красотой)) потому как это слово ассоциируется у меня со старой "англичанкой")))

stovbav wrote:

А подписи к рисункам пришли из-за бугра

я думала,это Вам так круто трижды повезло))а из-за какого: западного или восточного? если Вы на Украине,то за восточным бугром начинается Россия))

Временно отсутствую на сайте...

Катенёв Валентин Львович аватар
Не на сайте
Был на сайте: 7 лет 1 месяц назад
Зарегистрирован: 22.03.2008 - 22:15
Публикации: 54876

Вы не правы Катюша насчет "королевы". Даже есть песня в рубрике "Русского шансона" - "Танька". Так вот там слова - "Просто королева, да только молодая"...Королевы не сразу становится старыми грымзами, ну, а в нашей лексике - "королева" свидетельствует о ком (чём), но в превосходной степени...

Kat аватар
Kat
Не на сайте
Был на сайте: 12 лет 7 месяцев назад
Зарегистрирован: 19.04.2011 - 19:10
Публикации: 365

Но это же про Таньку!!!))))

 Мне больше нравится:

Катя,Катерина,эх душа!

До чего ж ты, Катя, хороша!

В омут с головою,

Если не с тобою...

ла-ла-ла-ла))))

Временно отсутствую на сайте...

Катенёв Валентин Львович аватар
Не на сайте
Был на сайте: 7 лет 1 месяц назад
Зарегистрирован: 22.03.2008 - 22:15
Публикации: 54876

Сейчас понятно почему в государстве российском "мужуков" поменьшало, то Вы виноваты, ибо те мужики все в омут попрыгали...

stovbav аватар
Не на сайте
Был на сайте: 2 года 2 месяцев назад
Зарегистрирован: 20.12.2009 - 17:28
Публикации: 7066

Kat wrote:

.....это Вам так круто трижды повезло))

....а из-за какого: западного или восточного? если Вы на Украине,то за восточным бугром начинается Россия))

1. В своей личной практике не встречался ни разу.Видел (до этого случая), дважды...фотокопию одного из наблюдений представлял Валентину Львовичу (где то в недрах сайта она есть, у себя не сохранил, увы)...случай доказанный, демонстрировался на кафедре рентгенологии ХМАПО (если мне память не изменяет теней там было несколько, но уж точно не одна).

2.Я - на Украине, в ее центре...Полтава...а снимки из за западного и заокеанского бугра... из американских статей...

Kat аватар
Kat
Не на сайте
Был на сайте: 12 лет 7 месяцев назад
Зарегистрирован: 19.04.2011 - 19:10
Публикации: 365

Остались самые стойкие)) 

Отвлеклись немного и дальше думаем...напрягаемся изо всех сил))

Временно отсутствую на сайте...

Евгений1313 аватар
Не на сайте
Был на сайте: 13 лет 3 недели назад
Зарегистрирован: 15.10.2010 - 19:13
Публикации: 808

Ну разошлись...Ну раздухорились..

Катенёв Валентин Львович аватар
Не на сайте
Был на сайте: 7 лет 1 месяц назад
Зарегистрирован: 22.03.2008 - 22:15
Публикации: 54876

Kat wrote:

Остались самые стойкие)) 

Отвлеклись немного и дальше думаем...напрягаемся изо всех сил))

Не, не отвлеклись. Я, лично, "колоду" мусолю...

Mitkampfer аватар
Не на сайте
Был на сайте: 11 лет 1 месяц назад
Зарегистрирован: 27.07.2010 - 07:43
Публикации: 1454

а паразитарное сразу со счетов сняли?)

Вам не кажется что верхний контур образования правого легкого нечеткий и образован несколькими более мелкими фокусами?

Не ограничивайте свою мысль

Живешь пока учишься

Ecrasez l’infame

Катенёв Валентин Львович аватар
Не на сайте
Был на сайте: 7 лет 1 месяц назад
Зарегистрирован: 22.03.2008 - 22:15
Публикации: 54876

Можно думать только о гидатиде, но, чтобы так гидатида, за указанный срок, подросла, то её нужно было кормить анаболиками...