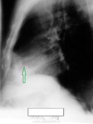
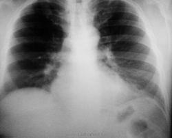
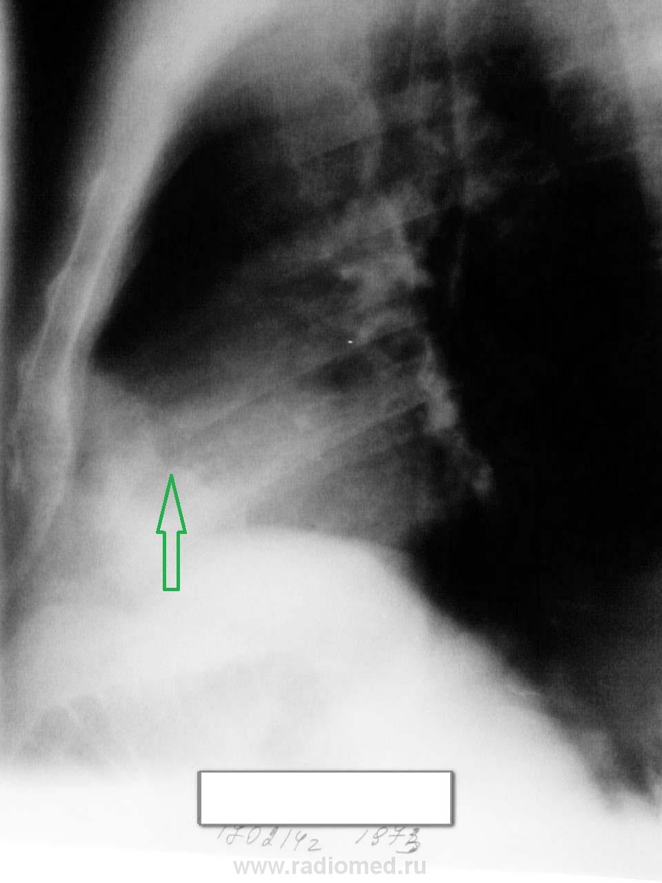
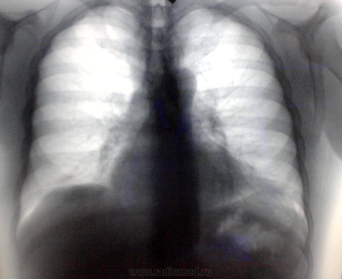
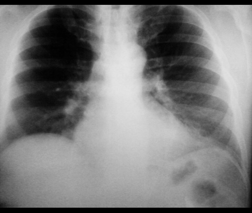
Мужчина 1973 г.р. Гиперстеник. Жалоб не предъявляет. Можно ли расценить затемнение в переднем кардиодиафрагмальном углу слева как абдоминомедиастинальную липому или есть ещё какие-нибудь варианты?( всегда это левый передний кардиодиафрагмальный угол вызывает затруднения!)

Вот снимкм.
"Слушай всех, прислушивайся к немногим, решай сам".©
Как версия - может быть просто слабость диафрагмы и жир без "ома".
С Уважением, Дмитрий.
В заключении ведь "жир" не напишешь. Это надо "упаковать" в приемлимую формулировку.
"Слушай всех, прислушивайся к немногим, решай сам".©
Терпеть не могу эти липомы, так и хочется написать всегда жиииир..)) Потому что клиницисты, увидев "ома" впадают в истерику и посылают к онкологу, онколог в свою очередь посылает еще куда-нибудь, а иногда и обратно к нам для рентгенографии ОГК
а плевральные наслоения в переднем синусе нельзя написать?
Я липоматоз пишу
"Слушай всех, прислушивайся к немногим, решай сам".©
"Без активной лёгочной патологии", как вариант.
У нас как-то все -ОМЫ писали. Когда я, в свое время, перешел на -ОЗ, терапевты вздрогнули и понеслись с вопросами.
Андрей Юрьевич
Спасибо всем за комментарии
"Слушай всех, прислушивайся к немногим, решай сам".©