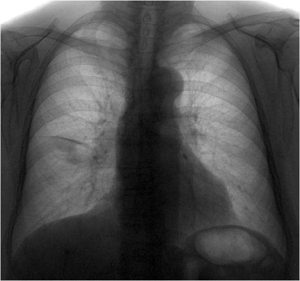
Жалоб у этой женщины 1939 года рождения нет. При плановой ФГ выявлены изменения. Поднят архив за 2009 год (из анамнеза - в 2009 году кашляла около 1,5 мес)
Принесли диск с ФГ на консультацию; вызвал на дообследование и выполнил правый бокой снимок.
Ваше мнение, коллеги?
Периферический рак легкого? МТС в л/у корня.
Красота - гормон карьерного роста!
Смело...но, думаю, не совсем так.....есть несколько патогномоничных тенеобразований
....
Болезни ног: виды, симптомы, причины, профилактика и лечение
Осумкованный плеврит?
Похоже на мальформации... И плеврит...
Начнем , как всегда, с конца.
На боковой рентгенограмме явственное утолщение междолевой плевры в главной и малой междолевых щелях. Возможно наличие некоторого количества выпота - черные стрелки в малой междолевой щели.
Конечно, и на прямом снимке четко определяется "плевральная" компонента - малая междолевая щель и "легочная" компонента, в виде локального снижения прозрачности легочной ткани.
И в довершении, анализируя, первый снимок, где отсутствуют и "плевральная и легочная" компоненты, а присутсвует симптом локального усиления и обогащения легочного рисунка, я предположу локальный воспалительный процесс, возможно даже менее субсегментарного, который имел место быть в средней доле правого лёгкого, возможно, у "теневой развилки" главной и малой междолевых щелей.
Согласен, что в 2009 году имело место субсегментарное воспаление у развилки междолевых щелей, что, в итоге, вылилось в развитие междолевого осумкованого плеврита по ходу горизонтальной междолевой щели (его то как раз и недостает на страницу о плевритах, правда случай, возможно, не столь показателен). Слчучай на контроле. После консультации обл.пульмолнолога будет, я надеюсь, проведен курс лечения...а там посмотрим.
Болезни ног: виды, симптомы, причины, профилактика и лечение
Да нет, случай весьма показательный, ибо, малым количествам осумкованного выпота в "междолевках", не уделяется должного внимания.
Я, такую "мелочевку", стараюсь даже и оттомографировать в боковой проекции.
Изображение я откопировал, помещу в набор.
Почему-то никто ничего не сказал про корень правого легкого. Видны заметные отличия 2009-10.
Красота - гормон карьерного роста!
В чем, на Ваш взгляд отличия? В том. что тело стало более интенсивным? Это эффект сумации тени утолшенного медиального отдела долевых листков плевры. Изменились метрические показатели? Нет. Изменилась структурность? Тоже нет.
Так в ем отличие? Убедите....
Болезни ног: виды, симптомы, причины, профилактика и лечение
Очереднойпример осумкованого междолевого плеврита, на этот раз по косой м\долевой щели справа. Снимки за 2009 год и 2010 год (дедушка занемог, присоединилась клиника пневмонии, был сегодня на контроле, по плевриту наблюдается около 4-х лет с умеренной колебательной динамикой, то чуть больше, то чуть меньше)
Болезни ног: виды, симптомы, причины, профилактика и лечение
Здравствуйте!
Огромное спасибо. Обязательно заберу в набор.
А как на Ваш взгляд - "это" чисто интерлобарный или интерлобарно - базальный?
Болше все таки я склонен считать, что интерлобарно-базально-передний.
Болезни ног: виды, симптомы, причины, профилактика и лечение
Ну и хорошо. Мнения совпали.
Я бы для успокоения души порекомендовал бронхоскопию
Дмитрий
Бронхоскопию, это, чтобы не пропустить рачок?
Порекомендую, но ...думаю, после курса пртивовоспалительной терапии и ФГ контроля, просто слишком давно знаю этого пациента, чтобы сейчас кроме пневмониии и "старого" плеврита думать еще о чем то другом. Пролечим, посмотрим, сделаем выводы...
Болезни ног: виды, симптомы, причины, профилактика и лечение
Ну да.Очень подозрительна клиника-,,колебательная динамика,, Правый купол диафрагмы высоковато расположен.Вообщем мотив понятен
Дмитрий
Знаете, думаю что правый купол дифрагмы в переднем отделе высоковато стоит не из- за увеличения печени. а из за скопления осумкованой жидкости в базаль-переднем отделе. Вот тут УЗИ, кстати, очень бы помогло, ведь оно позволит найти даже небольшие скопления жидкости....и отдиференцировать с увеличеной печенью одновременно
.....его то и сделаем в ближайшие дни при ФГ контроле.
Болезни ног: виды, симптомы, причины, профилактика и лечение
Вспомнились демонстрации МГВиннера,когда через несколько лет похожего наблюдения вдруг совершенно ,,неожиданно,,выявлялся центр t-r
Дмитрий
Спасибо за настороженность, учту обязательно, обсудим с лечащим врачом дальнейшую тактику...
Болезни ног: виды, симптомы, причины, профилактика и лечение
Ну, для "колебательной динамики" (ух термин!), такого осумкования вполне хватит.
Конечно, в литературе есть отдельные сообщения, когда осумкованный плеврит, а порой и "свободный" плеврит (выпот) рассматривается, как парапроцесс при раке, но и длительно текущая пневмония, также может рассматриваться, как парапроцесс при раке лёгкого. Однако, эти нозологии, известны и, как существующие "сами-по себе".
Валентин Львович, я понял направление Ваших стрелок...конечно, случай схож с сегодняшним (касаемо передне базального компонента осумкования), но как часто там просто запаяность синуса и плевральные наслоения...опять же...без прицельного УЗИ не разберемся...
Болезни ног: виды, симптомы, причины, профилактика и лечение
Я полностью согласен. Скорее всего - это шварты и плевральные наслоения, Конечно, такую картину может дать и переднее базальное осумкование, и безусловно, "последнее слово", именно в данной "диагностике" отводится УЗИ и только УЗИ.