Клинические наблюдения

Опубликуйте свое собственное клиническое наблюдение!
10.02.2017 - 13:36
Есть ли уровень в левой в/ч пазухе? 
19.02.2017 - 16:25
Ребёнок 5 лет упал на горке, ударился лицом, в области носа гематома. Есть ли перелом?
Павло аватар
30.12.2022 - 10:54
Ж 1982 г.р. Боль в области фронтальних пазух. Есть фронтит?
16.07.2013 - 17:45
Пациентка 1939 г рЖалобы на периодические выделения из лев уха, головные боли, головокружение, снижение слуха ))В анамнезе левосторонний хронический средний отит, мезотимпанит с периодич обострением...
06.08.2013 - 17:47
изображение с сайта www.radiomed.ru
Ещё одного "клиента" ЛОР направил
29.07.2013 - 23:14
изображение с сайта www.radiomed.ru
Жалобы на головные боли. Направлен ЛОРом на рентгенографию ППН.
11.01.2012 - 17:55
изображение с сайта www.radiomed.ru
 Жалобы на головные боли. Пациент направлен на рентгенографию ППН.Ваше мнение уважаемые коллеги?
01.09.2010 - 22:12
изображение с сайта www.radiomed.ru
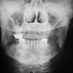
  Добрый вечер! женщине лет 70 чел-лиц хирург назначил рентгенотомографию с функциональными пробами височно-нижнечел.сустава. жалобы на боли в суставе. какие  будут мнения , коллеги...
brainmodel аватар
19.04.2013 - 23:23
изображение с сайта www.radiomed.ru
 Женщина обратилась почти через месяц после неудачного тесного общения с собутыльником. Ох, стоматологи и ругались. Что делать, не знали, слишком дефекты большие, а хирургическое лечение при...
26.09.2010 - 14:50
изображение с сайта www.radiomed.ru
Хочу поделиться двумя находками, случившимися в один день. первые 4 снимка одной пациентки, остальные - другой.
27.01.2022 - 10:36
Определяется затемнение до 1/3 высоты левой верхнечелюстной пазухи. Какая природа затемнения?