Клинические наблюдения

Опубликуйте свое собственное клиническое наблюдение!
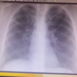
14.10.2025 - 19:31
Добрый день. Подскажите пожалуйста, в верхних отделах правого легкого линейная тень. что это может быть : фиброзные изменения или дисковидный ателектаз. ? Спасибо 
urievich аватар
11.10.2025 - 07:39
Добрый день, остеохондропатия медиальных мыщелков бедренных костей (Болезнь Кёнига)?
09.10.2025 - 12:18
Здравствуйте,мужчина 1964 года рождения из жалоб припухлость и боль в голеностопном суставе,травмы не было в анамнезе рак предстательной железы ,подскажите,пожалуйста, в малоберцоаой кости кисты ,в...
08.10.2025 - 11:24
Дано ребенок 1 год 7 месяцев. Болеет уже 3 дня. Силтный кашель, плохосбиваемая температура до 39.3, за день может подниматься 6 раз. Сильный кашель, изначально с мокротой, плачет.  Есть...
Павло аватар
06.10.2025 - 14:31
Человек 45 лет. ничего не беспокоит. Профилактически сделан снимок. Какая патология каково ваше мнение?
27.09.2025 - 19:22
Поставили диагноз Перелом наружной ладышки с допустимым удовлетворительным фрагментов но есть сомнения в нем. Ребенку 10 лет. Подвернул ногу.  в гипсе обязательно ходить? Спасибо 
24.09.2025 - 16:48
Коллеги, здравствуйте. Женщина, 78 лет. Жалобы на боли в левой стопе. Смущает нижняя треть тела 4-й плюсневой кости. В прямой проекции выглядит как раздутый литический участок, в косой - как...
18.09.2025 - 16:28
Здравствуйте! Более 3х дней болит в груди, справа. По моим ощущениям боль в правом легком, обычно ранее такая боль возникала во время пневмонии.  Температуры нет, беспокоит боль и ощущение того...
15.09.2025 - 23:42
Здравствуйте, пациент 78 лет. 2 мес назад, падение на руку, в травму не обращался. Сейчас есть сгибательная контрактура в ЛС и пронация предплечья, кисть провисшая, пальцы самостоятельно не...
urievich аватар
15.09.2025 - 15:09
Добрый день, справа уменьшение объёма S3, инфильтрация,   подозрение на ЗНО бронха?
12.09.2025 - 12:00
Здравствуйте, проходили флюораграфию, в первом описании очаговый туберкулез, кальцинаты.Через 4 часа новое описание без патологии. Прошли кт органов грудной полости -без патологий. Смущает округлое...
NIL аватар
NIL
28.08.2025 - 20:35
Мужчина  66 лет. Ищут стриктуру уретры. Уважаемые коллеги, как бы Вы расценили представленную картину?