Клинические наблюдения

Опубликуйте свое собственное клиническое наблюдение!
сергеев николай аватар
27.01.2025 - 04:37
Женщина 1945 г. Р. Хирург назначил рг графию костей правой голени, лаборант отсняла обе по своей инициативе. Анамнеза нет. Коллеги подскажите пожалуйста,что с правой малоберцовой костью? 
26.01.2025 - 15:55
Добрый день. подскажите пожалуйста, как написать в протоколе про грудину.. просто деформация ..?
22.01.2025 - 11:51
Пациент (70 лет), пришел с жалобами на правую кисть, проблемы беспокоят 2 месяца. В направлении артроз под вопросом. Подвижность в суставах правой кисти ограничена. Явно видно отек мягких тканей,...
Павло аватар
21.01.2025 - 16:05
Лучезапястный сустав Кистообразная перестройка лучевой кости? Женщина 1970 года рождения. Боль В области медиальной поверхности лучевой кости с ирадиацией в предплечье и 1 палец. Каков...
20.01.2025 - 18:56
Коллеги, здравствуйте! Мужчина, 50 лет. Три недели жалуется на боли в шее, надплечьях, правом плечевом суставе. Травм вроде как не было, работает прессовщиком.  Смущает области акромиона....
16.01.2025 - 16:32
Коллеги, здравствуйте! Женщина, 80, боли в коленных суставах. Смущает зона в левой бедренной кости. Склероз и на фоне него овальное просветление. С другой стороны такого нет. Остеоид-остеома? Или...
сергеев николай аватар
26.12.2024 - 05:06
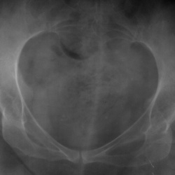
Женщина 1961 г.р. обратилась к терапевту с жалобами на боли в пкоп. Назначили рентгенографию. УЗИ почек месяц тому назад: без особенностей, конкременты не выявлено. Обследование с барием накануне не...
19.12.2024 - 19:55
Мужчина 53г, хирург отправил с образованием в лзс в теч 6 мес. В анамнезе 2г назад травма, но кисть, со слов, после травмы длительно не беспокоила.Затрудняюсь с описанием,  посмотрите,...
19.12.2024 - 13:47
Коллеги, здравствуйте!  Женщина, 65. Первоначально снимали поясничный отдел. Глаз зацепился за кольцевидную тень за крестцом, досняли таз. Та же тень, только анфас в левой подвздошной кости...
16.12.2024 - 14:59
Пациентка 24 года. Жалобы на боли в области коленного сустава. Назначена Rg-графия коленного сустава в 2-х проекциях.
12.12.2024 - 23:41
Мужчина, 1944гр, в феврале 2024 упал на правое плечо, постоянные боли. Сомневаюсь на счет большого бугорка, заднего края суставной впадины лопаточной в плане перелома и суставная поверхность...
10.12.2024 - 20:51
Молодой человек поступил с множественными слепыми осколочными ранениями голени. На рентгенограмме голени смущает внутренний контур кортикальной пластинки средней третий диафиза большеберцовой кости....