Клинические наблюдения

Опубликуйте свое собственное клиническое наблюдение!
12.12.2025 - 08:33
Добрый день. подскажите пожалуйста. рентген огк. очаговая тень в прикорневом отделе справа. Что это может быть ?
04.12.2025 - 14:14
Пациент 41год, проходил проверочное исследование лёгких. Жалобы на кашель со слизистой мокротой, слабость, потливость , сухость во рту. Страдает сахарным диабетом со множественными осложнениями.Двое...
21.11.2025 - 22:59
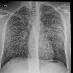
Мужчина 40 лет. Диагностическая  флюорография. Пришел на контроль, был поставлен диагноз 01.11.25 пневмония с\д, справа, в другой клинике. Смущает тень, которая видна только на задней проекции,...
21.11.2025 - 10:35
Рентгенография придаточных пазух носа с целью выявления степени аденоидов. Ребенку 2,7 лет. Имеет редкую особенность черепно-ключичный дизостоз. Остается  открытым родничок. Во...
19.11.2025 - 22:43
Пациента 70 лет. Две недели назад была температура , перенесла на ногах , что на снимке? 
13.11.2025 - 08:38
Добрый день. Подскажите пожалуйста как описать тяжи в левом легком? Что это может быть ? из анамнеза - только известно что есть крупный шрам под левой грудью 
11.11.2025 - 15:19
Множественная миелома? Гистиоцитоз? Гиперпаратериоидная остеодистрофия?
06.11.2025 - 16:17
Пациент 63 года. Жалобы на слабость, кашель с мокротой.
03.11.2025 - 21:56
Острый верхнечелюстной синусит, КТ после ~1 месяца лечения(курс антибиотиков + сосудосуживающие(неделя), а также топические интраназальные стероиды + промывания солевым раствором +...
Махамбетчин Мурат Максутович аватар
24.10.2025 - 10:59
Ж. 64 г, клиника межреберной невралгии, на КТ инфильтрация в S2 справа плотность 9HU, температуры, кашля нет. На что больше похоже?
15.10.2025 - 15:25
Женнщина 60 лет. Диагностическая флюорография. Состояние после аллопластики диафрагмы (ГПОД) в конце сентября. Диафрагма слева приподнята, жидкость в прямой проекции видна, а на боковой -  нет....
14.10.2025 - 19:31
Добрый день. Подскажите пожалуйста, в верхних отделах правого легкого линейная тень. что это может быть : фиброзные изменения или дисковидный ателектаз. ? Спасибо