Я не хочу не исполнять. Я хочу чтобы все, особенно врачи, думали, а не повторяли как попугаи, то что написано 200 лет назад, не имея своего мнения и не представляя биомеханику стопы (или другого образования). Тупые сидят на верху и командут, что нам делать. Большинству этого и надо - думать то не хотят!
Я извиняюсь за отступление, но я бы хотел услышать лично Ваше мнение (не прикрывайтесь приказами и руководствами - я их так знаю).
Например в Марксе (ортопедическая диагностика) есть иллюстрация (скиаграмма) коленного сустава, где нарусовано как определять подвывих голени кпереди при передней нестабильность (разрыве ПКС). Как можно по ней достоверно точно определить насколько сместилась голень при нагрузке, в сравнении конечно со снимком без нагрузки. Вы пробовали расчертить снимок. У меня есть ответ, а у Вас.
Я ничем не прикрываюсь уважаемый коллега! И, безусловно имею определенную точку зрения по данному вопросу, но, я работаю в государственном ЛПУ, на которое распространяется официальный регламент..., вот мы этот регламент и выполняем.
Конечно, можно обратиться с протестным заявлением..., но это, в Министерство Обороны РФ.
Спорить о том, где ставить точку бессмысленно. Точку конечно же надо ставить, но в первую очередь ЮРИДИЧЕСКУЮ.
Все разъяснения по применению требований статей Расписания болезней указаны в пояснении к ним.
А в так называемом Постановлении Правительства Российской Федерации от 25 февраля 2003 г. N 123 в статье 68 Расписания болезней НЕ указано, о том, что точка ставится в нижне - угловой край ладьевидно - клиновидного сочленения. Это взято из методического пособия. Извиняюсь, но данное пособие (как и любое другое) не является нормативно-правовым актом и никакой юридической силы не имеет. Соответственно ставиться под сомнение право его применения как «приказ», обязательный к исполнению.
Далее ознакомившись с полной версией сего творения института усовершенствования врачей МО РФ (который видимо будет ликвидирован, если уже не ликвидирован), к другому выводу увы не получится придти.
Вопрос можно было бы считать закрытым, если бы не одно НО…
НОВОЕ положение о военно-врачебной экспертизе (проект)
Обращаем внимание на ст.68 РБ
«Пробел» с вершиной треугольника здесь уже исправлен.
(На рентгенограммах путем построения треугольника определяют угол продольного свода стопы. Вершинами треугольника являются: нижняя точка головки Iплюсневой кости; нижняя точка соприкосновения костных поверхностей ладьевидной и клиновидных костей стопы; нижняя точка бугра пяточной кости.)
2. Плоскостопия 2 степени с артрозом 2 стадии как основание для категории годности «В» больше нет.
умеренно выраженные деформации стопы с незначительным болевым синдромом и нарушением статики, при которых можно приспособить для ношения обувь установленного военного образца;
продольное плоскостопие III степени без вальгусной установки пяточной кости и явлений деформирующего артроза в суставах среднего отдела стопы;
деформирующий артроз первого плюснефалангового сустава III стадии;
посттравматическая деформация пяточной кости с уменьшением угла Белера до 10 градусов и наличием артроза подтаранного сустава.)
3. И самое ИНТЕРЕСНОЕ: Куда «делась» высота продольного свода?
(На рентгенограммах путем построения треугольника определяют угол продольного свода стопы. Вершинами треугольника являются: нижняя точка головки Iплюсневой кости; нижняя точка соприкосновения костных поверхностей ладьевидной и клиновидных костей стопы; нижняя точка бугра пяточной кости. В норме угол свода равен 125 – 130 градусам. Плоскостопие I степени: угол продольного внутреннего подошвенного свода 131 – 140 градусов; плоскостопие II степени: угол продольного внутреннего свода 141 – 155 градусов; плоскостопие III степени: угол продольного внутреннего свода больше 155 градусов.)
Что это? Ошибки законодателя или действительно правда?
Спасибо за то, что Вы подняли тему рентгенодиагностики плоскостопия, и выложили на сайт подробные материалы по этому вопросу. Проблема серьезная, но ей, к сожалению, нередко пренебрегают как травматологи-ортопеды, так и рентгенологи (сам я травматолог-ортопед). Однако, по моим личным данным, у лиц до 18 лет (которыми и занимаюсь), продольное плоскостопие - не только наиболее распространенная патология стопы (что не исключает наличия молоткообразных пальцев и пр.), но и 2-е по распространенности среди всех заболеваний ОДС (в перспективе грозящее выйти на 1-е место и обогнать патологию позвоночника). Авторы, которых Вы цитируете, по всей видимости, набирали статистику у лиц старше 18 лет (там несколько другая картина), и/или в ведущих научно-клинических центрах (где тоже иная структура статистики), в то время как большая часть пациентов с плоскостопием наблюдается амбулаторно. Протокол, разработанный Вами, безусловно, хорош, но, с моей точки зрения, больше подходит для научных иссследований, а не для практического использования (ведь обследуется большой поток пациентов, это "конвейер"!).
С искренним к Вам уважением, и еще раз спасибо за поднятую тему
Протокол, разработанный Вами, безусловно, хорош, но, с моей точки зрения, больше подходит для научных иссследований, а не для практического использования (ведь обследуется большой поток пациентов, это "конвейер"!).
Протокол, как штамп, имеется в компе - в CR-системе. Система снабжена лазерным транспортиром и линейкой и у нас на оформление одного протокола более 5-7 минут не затрачивается.
Цитата: 3. И самое ИНТЕРЕСНОЕ: Куда «делась» высота продольного свода?
А что она дает? Сама по себе высота продольного свода стопы особой диагностической ценности не имеет. Имеет значение соотношение высоты продольного свода и длины стопы. Или угол продольного свода.
В том то и дело, что соотношение высоты свода с длиной свода НЕ предусмотрено действующим положением о ВВЭ. А в проекте новой ВВЭ высоты больше нет. Останется только угол. С врачебной точки зрения знать не могу, но юридически не вижу ничего плохого.
Цитата: В том то и дело, что соотношение высоты свода с длиной свода НЕ предусмотрено действующим положением о ВВЭ. А в проекте новой ВВЭ высоты больше нет. Останется только угол. С врачебной точки зрения знать не могу, но юридически не вижу ничего плохого.
Вот и хорошо. Значит, новая ВВЭ устраняет сомнительный диагностический параметр, который врача лишь "сбивает с толка".
Цитата пользователя dokpip: Я хочу чтобы все, особенно врачи, думали, а не повторяли как попугаи, то что написано 200 лет назад
Медицина, конечно, постоянно развивается и не стоит на месте. Однако то, что написано 200 лет назад, не всегда плохо, и нередко до наших дней сохраняет свою актуальность. Особенно это касается клинического обследования опорно-двигательной системы. В отношении обследования стопы лично убедился, сколько полезного можно извлечь именно из старых учебников и методических пособий (50-х, 60-х гг. 20 в.).
Конечно, в работе врача должно быть место творчеству и личной инициативе, однако основу нашей деятельности составляют все-таки регулирующие ее приказы и инструкции. Иначе современную медицину трудно себе представить! А недостатки некоторых инструкций можно, в частности, обсудить на этом сайте. Чем, собственно, мы сейчас и занимаемся.
Синонимы: pes planus, pes planovalgus. Эта деформация стоп заключается в опущении продольного свода стопы, а иногда и поперечного. Причиной плоскостопия служит повышенная масса собственного тела (ожирение), длительное пребывание на ногах, ношение тяжестей (грузчики, кузнецы), слабость мускулатуры, нерациональная обувь (высокий каблук, узкий носок). Симптомы. Опущение сводов стопы, иногда укорочение ахиллова сухожилия (стопа «качалка»), наличие hallux valgus. Передний отдел стопы отведен, медиальная лодыжка резко выстоит под кожей, контуры боковой сглажены. Со временем теряется подвижность в суставах стопы, стопа становится ригидной, в основном за счет «спазма» пронаторов и укорочения их сухожилий. С годами при плоскостопии (без лечения) развиваются артрозные изменения в суставах стопы, появляется боль, нарушение функции. Стопа обычно в средней части расширена, пронирована. Ладьевидная кость рельефно выстоит под кожей. Вертикальная ось пятки образует с осью ахиллова сухожилия угол, открытый в боковую сторону (кнаружи). Походка при плоскостопии нарушается. Пассивная супинация и прыжки болезненны. Рентгенологическипри тяжелых формах плоскостопия видно не только уплощение костных продольного и поперечного сводов, опущение головки III плюсневой кости, но и вертикальное расположение таранной кости, иногда она срастается с пяточной. В суставах стопы артрозные изменения. Лечениев раннем детстве: ношение супинаторов, ЛФК, массаж стоп, голеней, корригирующие гипсовые повязки. В более старшем и у взрослых - хирургическое лечение - восстановление свода стопы с последующим ношением ортопедической обуви или стелек-супинаторов. Прогноз при раннем лечении благоприятный.
Деформация и отклонение I пальца стопы кнаружи (Hallux valgus)
Эта деформация может наблюдаться как при плоскостопии, так и при metatarsus varus. Причиной возникновения служит ношение узкой обуви с высоким каблуком, большая масса, заболевание суставов стопы ревматоидного или подагрического характера, наличие сесамовидной косточки, расположенной вблизи сухожилия короткого сгибателя I пальца, смещение сухожилия мышцы, отводящей большой палец, и недоразвитие приводящей мышцы этого пальца. Симптомы. Боль в области выстоящей головки I плюсневой кости, где обычно располагается воспаленная сумка и кожа. Большой палец отклонен в боковом направлении, в тяжелых случаях он располагается под или над II пальцем, часто наблюдается вросший ноготь. На рентгенограмме отмечается подвывих в I плюсне-фаланговом суставе I пальца стопы, в тяжелых случаях деформация и экзостоз головки I плюсневой кости. Лечение. В начальных стадиях, когда имеется умеренная болезненность и небольшое выстояние головки I пальца, омозолелость кожи в этой области, дальнейшее прогрессирование деформации можно предотвратить ношением правильной обуви с широким носком, каблуком не выше 3- 4 см, ношением супинаторов, массажем, ЛФК. В тяжелых случаях - хирургическое лечение: корригирующая остеотомия в области основания I плюсневой кости, удаление экзостоза, создание свода стопы. Прогноз благоприятный.
Симптомы. Эта деформация характеризуется разгибательной установкой основных фаланг пальцев стопы, наличием сгибательных контрактур в средних и разгибательным или сгибательным положением ногтевых фаланг. Эта деформация в большинстве своем возникает из-за ношения короткой и тесной обуви (чаще у девушек) или обуви с высоким каблуком, из-за которого стопа скользит вниз и вперед. Появляется омозолелость на вершине изгиба фаланг, боль, воспалительные явления. Лечение. Ношение рациональной обуви, использование мягких подушечек, оберегающих фаланги от давления обуви, служит профилактикой заболевания. При тяжелых деформациях - оперативное лечение: устранение контрактур в межфаланговых суставах. Прогноз благоприятный.
Здравствуйте, Валентин Львович! Я молодой рентгенолог ЦРБ, очень благодарен Вам за подробные статьи с иллюстрациями. Загорелся энтузиазмом воплотить полное обследование по плоскостопию, но возникла вот какая трудность. Подскажите, как делать снимки на поперечное плоскостопие, если у нас есть только пластмассовые кассеты? Ведь когда пациент на них встанет всем весом, они просто потрескаются. Как это делается у Вас?
Здравствуйте, Валентин Львович! Я молодой рентгенолог ЦРБ, очень благодарен Вам за подробные статьи с иллюстрациями. Загорелся энтузиазмом воплотить полное обследование по плоскостопию, но возникла вот какая трудность. Подскажите, как делать снимки на поперечное плоскостопие, если у нас есть только пластмассовые кассеты? Ведь когда пациент на них встанет всем весом, они просто потрескаются. Как это делается у Вас?
зачем на кассету вставать всем весом??
Пациент сидит, ноги согнуты в коленных суставах, прижаты к себе, стопы на кассете
Так ведь в расписании болезней вот что указано: "Продольное плоскостопие и молоточкообразная деформация пальцев стопы оцениваются по рентгенограммам, выполненным в боковой проекции в положении стоя с полной статической нагрузкой на исследуемую стопу"
Так ведь в расписании болезней вот что указано: "Продольное плоскостопие и молоточкообразная деформация пальцев стопы оцениваются по рентгенограммам, выполненным в боковой проекции в положении стоя с полной статической нагрузкой на исследуемую стопу"
Так ведь в расписании болезней вот что указано: "Продольное плоскостопие и молоточкообразная деформация пальцев стопы оцениваются по рентгенограммам, выполненным в боковой проекции в положении стоя с полной статической нагрузкой на исследуемую стопу"
Вот так, рисунок А, и ту ногу, которую не исследуешь, вверх поднимаешь.
Так ведь в расписании болезней вот что указано: "Продольное плоскостопие и молоточкообразная деформация пальцев стопы оцениваются по рентгенограммам, выполненным в боковой проекции в положении стоя с полной статической нагрузкой на исследуемую стопу"
Продольное. Вопрос про поперечное.
Всё верно, извините, не ту часть статьи скопировал. Вот: "Поперечное плоскостопие оценивается по рентгенограммам переднего и среднего отделов стопы в прямой проекции, выполненным стоя на двух ногах под нагрузкой веса тела"
Так как его поставить на кассету и не сломать её? Она ж пластмассовая...
Я не хочу не исполнять. Я хочу чтобы все, особенно врачи, думали, а не повторяли как попугаи, то что написано 200 лет назад, не имея своего мнения и не представляя биомеханику стопы (или другого образования). Тупые сидят на верху и командут, что нам делать. Большинству этого и надо - думать то не хотят!
Я извиняюсь за отступление, но я бы хотел услышать лично Ваше мнение (не прикрывайтесь приказами и руководствами - я их так знаю).
Например в Марксе (ортопедическая диагностика) есть иллюстрация (скиаграмма) коленного сустава, где нарусовано как определять подвывих голени кпереди при передней нестабильность (разрыве ПКС). Как можно по ней достоверно точно определить насколько сместилась голень при нагрузке, в сравнении конечно со снимком без нагрузки. Вы пробовали расчертить снимок. У меня есть ответ, а у Вас.
Покажите одну точку. А не где нибудь там, между или приблизительно.
С уважением. Спасибо.
Я ничем не прикрываюсь уважаемый коллега! И, безусловно имею определенную точку зрения по данному вопросу, но, я работаю в государственном ЛПУ, на которое распространяется официальный регламент..., вот мы этот регламент и выполняем.
Конечно, можно обратиться с протестным заявлением..., но это, в Министерство Обороны РФ.
Определенный регламент - не определеный - точки, вернее точку, не поставили!
Я понял, что Вы согласились, но протестовать не хотите! И я не хочу. Там не поймут.
Спасибо.
Из материалов В.В. Ермолаева.
Спорить о том, где ставить точку бессмысленно. Точку конечно же надо ставить, но в первую очередь ЮРИДИЧЕСКУЮ.
Все разъяснения по применению требований статей Расписания болезней указаны в пояснении к ним.
А в так называемом Постановлении Правительства Российской Федерации от 25 февраля 2003 г. N 123 в статье 68 Расписания болезней НЕ указано, о том, что точка ставится в нижне - угловой край ладьевидно - клиновидного сочленения. Это взято из методического пособия. Извиняюсь, но данное пособие (как и любое другое) не является нормативно-правовым актом и никакой юридической силы не имеет. Соответственно ставиться под сомнение право его применения как «приказ», обязательный к исполнению.
Далее ознакомившись с полной версией сего творения института усовершенствования врачей МО РФ (который видимо будет ликвидирован, если уже не ликвидирован), к другому выводу увы не получится придти.
Вопрос можно было бы считать закрытым, если бы не одно НО…
НОВОЕ положение о военно-врачебной экспертизе (проект)
Обращаем внимание на ст.68 РБ
(На рентгенограммах путем построения треугольника определяют угол продольного свода стопы. Вершинами треугольника являются: нижняя точка головки Iплюсневой кости; нижняя точка соприкосновения костных поверхностей ладьевидной и клиновидных костей стопы; нижняя точка бугра пяточной кости.)
2. Плоскостопия 2 степени с артрозом 2 стадии как основание для категории годности «В» больше нет.
(К пункту «в» относятся:
умеренно выраженные деформации стопы с незначительным болевым синдромом и нарушением статики, при которых можно приспособить для ношения обувь установленного военного образца;
продольное плоскостопие III степени без вальгусной установки пяточной кости и явлений деформирующего артроза в суставах среднего отдела стопы;
деформирующий артроз первого плюснефалангового сустава III стадии;
посттравматическая деформация пяточной кости с уменьшением угла Белера до 10 градусов и наличием артроза подтаранного сустава.)
3. И самое ИНТЕРЕСНОЕ: Куда «делась» высота продольного свода?
(На рентгенограммах путем построения треугольника определяют угол продольного свода стопы. Вершинами треугольника являются: нижняя точка головки Iплюсневой кости; нижняя точка соприкосновения костных поверхностей ладьевидной и клиновидных костей стопы; нижняя точка бугра пяточной кости. В норме угол свода равен 125 – 130 градусам. Плоскостопие I степени: угол продольного внутреннего подошвенного свода 131 – 140 градусов; плоскостопие II степени: угол продольного внутреннего свода 141 – 155 градусов; плоскостопие III степени: угол продольного внутреннего свода больше 155 градусов.)
Что это? Ошибки законодателя или действительно правда?
Уважаемый Валентин Львович!
Спасибо за то, что Вы подняли тему рентгенодиагностики плоскостопия, и выложили на сайт подробные материалы по этому вопросу. Проблема серьезная, но ей, к сожалению, нередко пренебрегают как травматологи-ортопеды, так и рентгенологи (сам я травматолог-ортопед). Однако, по моим личным данным, у лиц до 18 лет (которыми и занимаюсь), продольное плоскостопие - не только наиболее распространенная патология стопы (что не исключает наличия молоткообразных пальцев и пр.), но и 2-е по распространенности среди всех заболеваний ОДС (в перспективе грозящее выйти на 1-е место и обогнать патологию позвоночника). Авторы, которых Вы цитируете, по всей видимости, набирали статистику у лиц старше 18 лет (там несколько другая картина), и/или в ведущих научно-клинических центрах (где тоже иная структура статистики), в то время как большая часть пациентов с плоскостопием наблюдается амбулаторно. Протокол, разработанный Вами, безусловно, хорош, но, с моей точки зрения, больше подходит для научных иссследований, а не для практического использования (ведь обследуется большой поток пациентов, это "конвейер"!).
С искренним к Вам уважением, и еще раз спасибо за поднятую тему
Спасибо за теплые слова. Ниже ссылка, возможно, она будет Вам интересна.
http://www.radiomed.ru/publications/rientghienologhichieskiie-aspiekty-voienno-vrachiebnoi-ekspiertizy-shchiekin-vm-katsuba
Протокол, как штамп, имеется в компе - в CR-системе. Система снабжена лазерным транспортиром и линейкой и у нас на оформление одного протокола более 5-7 минут не затрачивается.
Остается только завидовать!
Цитата: 3. И самое ИНТЕРЕСНОЕ: Куда «делась» высота продольного свода?
А что она дает? Сама по себе высота продольного свода стопы особой диагностической ценности не имеет. Имеет значение соотношение высоты продольного свода и длины стопы. Или угол продольного свода.
С уважением
В.Ю.
В том то и дело, что соотношение высоты свода с длиной свода НЕ предусмотрено действующим положением о ВВЭ. А в проекте новой ВВЭ высоты больше нет. Останется только угол. С врачебной точки зрения знать не могу, но юридически не вижу ничего плохого.
Цитата: В том то и дело, что соотношение высоты свода с длиной свода НЕ предусмотрено действующим положением о ВВЭ. А в проекте новой ВВЭ высоты больше нет. Останется только угол. С врачебной точки зрения знать не могу, но юридически не вижу ничего плохого.
Вот и хорошо. Значит, новая ВВЭ устраняет сомнительный диагностический параметр, который врача лишь "сбивает с толка".
Цитата пользователя dokpip: Я хочу чтобы все, особенно врачи, думали, а не повторяли как попугаи, то что написано 200 лет назад
Медицина, конечно, постоянно развивается и не стоит на месте. Однако то, что написано 200 лет назад, не всегда плохо, и нередко до наших дней сохраняет свою актуальность. Особенно это касается клинического обследования опорно-двигательной системы. В отношении обследования стопы лично убедился, сколько полезного можно извлечь именно из старых учебников и методических пособий (50-х, 60-х гг. 20 в.).
Конечно, в работе врача должно быть место творчеству и личной инициативе, однако основу нашей деятельности составляют все-таки регулирующие ее приказы и инструкции. Иначе современную медицину трудно себе представить! А недостатки некоторых инструкций можно, в частности, обсудить на этом сайте. Чем, собственно, мы сейчас и занимаемся.
А, зачем точку ту искать, если есть подвывих?
Плоская стопа
Эта деформация стоп заключается в опущении продольного свода стопы, а иногда и поперечного.
Причиной плоскостопия служит повышенная масса собственного тела (ожирение), длительное пребывание на ногах, ношение тяжестей (грузчики, кузнецы), слабость мускулатуры, нерациональная обувь (высокий каблук, узкий носок).
Симптомы. Опущение сводов стопы, иногда укорочение ахиллова сухожилия (стопа «качалка»), наличие hallux valgus. Передний отдел стопы отведен, медиальная лодыжка резко выстоит под кожей, контуры боковой сглажены. Со временем теряется подвижность в суставах стопы, стопа становится ригидной, в основном за счет «спазма» пронаторов и укорочения их сухожилий. С годами при плоскостопии (без лечения) развиваются артрозные изменения в суставах стопы, появляется боль, нарушение функции. Стопа обычно в средней части расширена, пронирована. Ладьевидная кость рельефно выстоит под кожей. Вертикальная ось пятки образует с осью ахиллова сухожилия угол, открытый в боковую сторону (кнаружи).
Походка при плоскостопии нарушается. Пассивная супинация и прыжки болезненны.
Рентгенологическипри тяжелых формах плоскостопия видно не только уплощение костных продольного и поперечного сводов, опущение головки III плюсневой кости, но и вертикальное расположение таранной кости, иногда она срастается с пяточной. В суставах стопы артрозные изменения.
Лечениев раннем детстве: ношение супинаторов, ЛФК, массаж стоп, голеней, корригирующие гипсовые повязки. В более старшем и у взрослых - хирургическое лечение - восстановление свода стопы с последующим ношением ортопедической обуви или стелек-супинаторов.
Прогноз при раннем лечении благоприятный.
Деформация и отклонение I пальца стопы кнаружи (Hallux valgus)
Симптомы. Боль в области выстоящей головки I плюсневой кости, где обычно располагается воспаленная сумка и кожа. Большой палец отклонен в боковом направлении, в тяжелых случаях он
располагается под или над II пальцем, часто наблюдается вросший ноготь.
На рентгенограмме отмечается подвывих в I плюсне-фаланговом суставе I пальца стопы, в тяжелых случаях деформация и экзостоз головки I плюсневой кости.
Лечение. В начальных стадиях, когда имеется умеренная болезненность и небольшое выстояние головки I пальца, омозолелость кожи в этой области, дальнейшее прогрессирование деформации можно предотвратить ношением правильной обуви с широким носком, каблуком не выше 3- 4 см, ношением супинаторов, массажем, ЛФК. В тяжелых случаях - хирургическое лечение: корригирующая остеотомия в области основания I плюсневой кости, удаление экзостоза, создание свода стопы.
Прогноз благоприятный.
Молоткообразные пальцы
Эта деформация в большинстве своем возникает из-за ношения короткой и тесной обуви (чаще у девушек) или обуви с высоким каблуком, из-за которого стопа скользит вниз и вперед. Появляется омозолелость на вершине изгиба фаланг, боль, воспалительные явления.
Лечение. Ношение рациональной обуви, использование мягких подушечек, оберегающих фаланги от давления обуви, служит профилактикой заболевания. При тяжелых деформациях - оперативное лечение: устранение контрактур в межфаланговых суставах.
Прогноз благоприятный.
Угол Белера и угол Гриссана.
http://www.clinicalimagingscience.org/article.asp?issn=2156-7514;year=2012;volume=2;issue=1;spage=77;epage=77;aulast=Sengodan
Возможно этот монографический источник заполнит некоторые "белые пятна" этой ветки.
Orthopädie und orthopädische Chirurgie. Fuß
http://books.google.ru/books?id=aObMvXxTyDQC&printsec=frontcover&hl=ru#v=onepage&q&f=false
Практическая ортопедия
http://books.google.ru/books?id=aiOCxje2is8C&printsec=frontcover&hl=ru#v=onepage&q&f=false
Хирургия стопы
http://books.google.ru/books?id=sAY2HuKUvpoC&printsec=frontcover&hl=ru#v=onepage&q&f=false
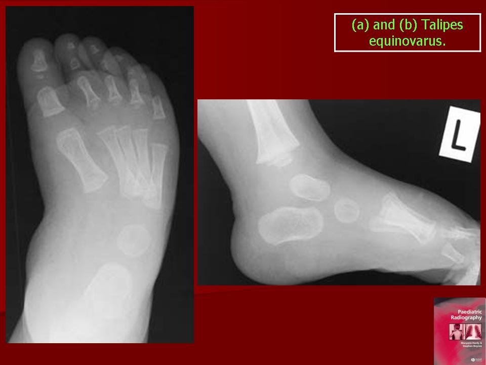
Эквиноварусная стопа
Эквиноварусная стопа
Деформация стоп
Здравствуйте, Валентин Львович! Я молодой рентгенолог ЦРБ, очень благодарен Вам за подробные статьи с иллюстрациями. Загорелся энтузиазмом воплотить полное обследование по плоскостопию, но возникла вот какая трудность. Подскажите, как делать снимки на поперечное плоскостопие, если у нас есть только пластмассовые кассеты? Ведь когда пациент на них встанет всем весом, они просто потрескаются. Как это делается у Вас?
зачем на кассету вставать всем весом??
Пациент сидит, ноги согнуты в коленных суставах, прижаты к себе, стопы на кассете
Так ведь в расписании болезней вот что указано: "Продольное плоскостопие и молоточкообразная деформация пальцев стопы оцениваются по рентгенограммам, выполненным в боковой проекции в положении стоя с полной статической нагрузкой на исследуемую стопу"
Вот так, рисунок А, и ту ногу, которую не исследуешь, вверх поднимаешь.
Всё верно, извините, не ту часть статьи скопировал. Вот: "Поперечное плоскостопие оценивается по рентгенограммам переднего и среднего отделов стопы в прямой проекции, выполненным стоя на двух ногах под нагрузкой веса тела"
Так как его поставить на кассету и не сломать её? Она ж пластмассовая...