Туберкулёз. Мочеполовой туберкулёз. +

 

Туберкулез мочевых органов

Туберкулез органов мочевой системы - одно из наиболее распространенных урологических заболеваний, уступающее по частоте лишь неспецифическим воспалительным процессам, мочекаменной болезни и новообразованиям. В структуре заболеваемости и болезненности данная патология в сочетании с туберкулезом половых органов (урогенитальный туберкулез) занимает первое место среди локализаций внелегочного туберкулеза, составляя 30-43% [Мочалова Т. П. и др., 1973; Камышан И. С, Погребинский В. М., 1987], в структуре инвалидности - второе место после костно-суставного туберкулеза. Одну треть всех нефрэктомий выполняют по поводу туберкулеза; хирургическая активность при туберкулезе мочевых органов вследствие поздней диагностики составляет 60-80% [Шабад А. Л., 1978; Мочалова Т. П., Волович Л. Я., 1983].

Основные причины поздней диагностики туберкулеза мочевых органов - отсутствие настороженности, незнание особенностей его клинического течения и в связи с этим неправильная интерпретация как клинических симптомов, так и результатов лабораторных, рентгенологических и других исследований.

До настоящего времени не существует общепринятой клинической классификации туберкулеза мочевой (мочеполовой) системы. Однако большинство клиницистов при формулировке диагноза учитывают стадию (степень рентгенологической деструкции), фазу, распространенность и активность специфического процесса, бациллярность. К ранним стадиям относят субклинический (инфильтративный, туберкулез почечной паренхимы) и начальный деструктивный (папиллит, небольшие одиночные каверны) нефротуберкулез, к поздним - кавернозный нефротуберкулез, пионефроз.

Этиология, патогенез, патологическая анатомия. Заболевание вызывается микобактериями туберкулеза. Из всех мочевых органов в первую очередь поражаются почки. Гематогенный путь инфицирования (при первичной либо вторичной гематогенной диссеминации) признан основным. Нарушение равновесия в системе взаимоотношений макроорганизм-возбудитель играет важную роль в развитии заболевания. Этому способствуют факторы риска: общие - переохлаждение, голодание, профессиональные вредности, респираторная инфекция, эндокринные заболевания, местные - травматические повреждения органов забрюшинного пространства, сопутствующие урологические заболевания [Камышан И. С, Погребинский В. М., 1987].

Развитие специфического процесса проходит все этапы морфологической эволюции - от гематогенных очагов, окруженных элементами туберкулезной гранулемы с казеозным некрозом в центре, сливающихся в ограниченные инфильтраты (казеомы), локализующиеся главным образом в корковом веществе, до полного разрушения почки и мочевых путей. Возможны различные сочетания экссудативных, альтернативных и продуктивных изменений в тканях этих органов. Важным этапом в развитии специфического поражения почки, во многом определяющим его прогноз, является переход туберкулезного процесса на мочевые пути. Первоначально возникает инфильтрация в подслизистом слое лоханки и мочеточника, затем на слизистой оболочке туберкулезные бугорки изъязвляются и рубцуются. Туберкулез мочевого пузыря всегда является вторичным по отношению к поражению почки и мочеточника; изменения

слизистой оболочки мочевого пузыря аналогичны описанным выше. Репаративные процессы несовершенны, рубцевание специфических туберкулезных очагов приводит к тяжелым посттуберкулезным изменениям в мочевой системе - уретерогидронефротической трансформации и про трестирован и ю неспецифического воспалительного процесса с выраженным нарушением (либо потерей) функции почки.

Клиническая картина. Отсутствие патогномоничных симптомов туберкулеза мочевых органов и сходство его со многими урологическими заболеваниями - характерная особенность данной патологии. Изменчивость и непостоянство отдельных симптомов затрудняют диагностику. Клинические проявления туберкулеза мочевой системы во многом зависят от глубины и распространенности патоморфологических изменений в ее органах, а также от ранее проведенного лечения препаратами широкого спектра действия. При субклинических формах отмечаются явления интоксикации (субфебрильная температура тела, общая слабость, недомогание и т. п.), умеренные боли в поясничной области, отсутствие изменений в моче и отклонений на урограмме. Объективным подтверждением наличия интоксикационного синдрома и данной формы нефротуберкулеза является бациллурия. Начальная минимальная деструкция (не всегда улавливаемая рентгенологически) клинически проявляется гематурией, первоисточником которой является почка; гематурия может быть значительно выраженной, безболезненной, внезапно появляться и исчезать. Она чаще встречается при папиллитах, чем при кавернозных формах нефротуберкулеза [Шабад А. Л., 1978 ]. В клинической практике таких больных наблюдают по поводу так называемой эссенциальной гематурии. Лейкоцитурия (пиурия) при туберкулезе мочевой системы может быть ранним и поздним проявлением заболевания, ее интенсивность (выраженность) зависит от величины и локализации очага воспаления, его сообщения с чашечно-лоханочной системой; при «выключении» очага исчезает лейкоцитурия («ложный» нормальный анализ мочи).

О вовлечении в специфический процесс мочевых путей свидетельствуют приступы почечной колики (нарушение уродинамики) и дизурия (учащенное болезненное мочеиспускание, императивные позывы, недержание мочи и т. п.). Таким больным, у которых уже имеется запущенный туберкулез мочевой системы, обычно устанавливают диагноз мочекислого диатеза (мочекаменная болезнь), цистита. Неудивительно, что в последующем они составляют тяжелый контингент фтизиоурологических больных (двусторонний кавернозный нефротуберкулез, микроцистис, пузырно-мочеточниковый рефлюкс и т. п.). Благодаря применению антибиотиков и химиопрепаратов широкого спектра действия изменились патоморфоз [Струков А. И., Соловьева И. П., 1986] и соответственно клиническая картина заболевания: участились приступы почечной колики (в связи с преобладанием фибропластических процессов), изменился характер дизурии, она стала менее мучительной, а интервалы между актами мочеиспускания доходят до 1,5-3 ч (вследствие более позднего формирования истинно малого мочевого пузыря). При переходе процесса на паранефральную клетчатку возникает паранефрит и образуется свищ в поясничной области.

Особенности клинического течения туберкулеза мочевой системы у детей обусловлены частым сочетанием его с легочным и внелегочным туберкулезом других локализаций у лиц пожилого возраста - наличием тяжелых сопутствующих соматических заболеваний.

К осложнениям туберкулеза мочевой системы относят неспецифический воспалительный процесс, ретенционные изменения, реже нефролитиаз, являющиеся причиной нефрогенной гипертензии и хронической почечной недостаточности с соответствующей клинической симптоматикой (головная боль, головокружение, повышение температуры тела, интоксикационный синдром и т. п.) и приводящие к инвалидизации больных.

Диагностика, дифференциальная диагностика. При диагностике туберкулеза мочевой системы учитывают данные анамнеза (туберкулезного, урологического, соматического) и особенности клинического течения в сопоставлении с результатами комплексного обследования. В диагностике туберкулеза мочевой системы применяют различные методы исследования.

Лабораторные методы. Исследование мочи: общий анализ (протеинурия, лейкоцитурия, эритроцитурия и т. п.); трехстаканная проба, которую проводят с целью выявления источника лейкоцитурий (мочевые, половые органы); при нормальном общем анализе мочи - проба Нечипоренко (на скрытую лейкоцитурию); посев мочи на вторичную флору с определением чувствительности к антибиотикам; бактериоскопическое и бактериологическое исследования мочи. Исследование крови: клинический анализ (лейкоцитоз, увеличение СОЭ, лимфоцитоз и т.п.); биохимические исследования - протеинограмма (диспротеинемия с увеличением содержания глобулинов, особенно <Х2- и у-фракций), сиаловая кислота, гаптоглобин, церулоплазмин, С-реактивный белок (повышение их показателей и появление С-реактивного белка); иммунологические - ППН; реакция непрямой гемагглютинации (РНГА), реакция связывания комплемента (РСК), РПК (повышение титра противотуберкулезных антител); функциональные исследования - проба Зимницкого, проба Реберга с определением клубочковой фильтрации (ее снижение) и содержания креатинина в сыворотке крови (увеличение при почечной недостаточности). Наиболее информативны результаты лабораторных исследований при проведении провокационного теста: определение показателей до и после введения туберкулина под кожу.

Инструментальные методы исследования (цистоскопия, хромоцистоскопия, катетеризация мочеточников, эндовезикальная биопсия) позволяют выявить уменьшение емкости мочевого пузыря, специфические изменения слизистой оболочки - туберкулезные бугорки, язвы, гиперпластические разрастания, буллезный отек, деформацию и зияние устьев мочеточников, проходимость мочеточников и осуществить забор мочи для исследований и определения раздельной функции почек. Бактериологическое исследование гнойного отделяемого, послеоперационного, резекционного, биопсийного материала с одновременным проведением патоморфологических исследований имеют большое значение в диагностике туберкулеза мочевой системы.

Рентгенологические методы исследования: флюорография (рентгенография) легких, обзорная и внутривенная урография в различных модификациях, томография почек, ретроградная пиелография, цистография, уретроцистопростатография, ангиография и др. Обзорный снимок мочевых путей позволяет обнаружить обызвествления в органах мочеполовой и других систем, изменения опорно-двигательного аппарата (туберкулезный спондилит, метастазы при раке почки и т. п.), определить контуры и размеры почек (увеличение или уменьшение, выбухания, втяжения). По внутривенной урограмме оцениваются функциональное состояние почек и анатомические особенности чашечно-лоханочной системы, мочеточников, мочевого пузыря; урография - основной рентгенологический метод исследования. Соответственно форме и стадии нефротуберкулеза могут быть выявлены; при субклиническом нефротуберкулезе - слабое контрастирование чашечно-лоханочной системы, хаотичное расположение чашечек, их деформация, при папиллите («начальном» деструктивном нефротуберкулезе) - неровность, стушеванность, нечеткость контуров чашечки ввиду наличия признака деструкции, при кавернозном туберкулезе - наличие полостей как в корковом, так и в мозговом слое с неровными, фестончатыми краями; при туберкулезном пионефрозе - изображение увеличенной почки с выбухающими неровными контурами, наличием больших полостей распада, нередко сливающихся между собой, резким снижением либо потерей функции (выключение - аутонефрэктомия); при нефросклерозе (вторично-сморщенная почка) - почка небольших размеров.

Начальный признак специфического поражения мочевых путей - расширение чашечно-лоханочной системы и мочеточника (снижение их сократительной способности в результате токсического воздействия, изменения функционального характера). Во всех случаях «неясной» уретерогидронефротической трансформации врач должен предположить наличие туберкулеза мочевой системы. В дальнейшем обнаруживают различные деформации чашечно-лоханочной системы (с уменьшением ее емкости) с явлениями гидрокаликоза; сужения мочеточника с расширением его выше стеноза; натянутость, четкообразную форму мочеточника; симптом подтянутости стенки мочевого пузыря; уменьшение емкости и различные деформации его контуров вплоть до появления двойного контура - симптома «песочных часов». При восходящей или микционной цистографии, урет-роцистопростатографии выявляют пузырно-мочеточниковый рефлюкс, а при последней - сужения уретры и затекание контрастного вещества в полости предстательной железы. Томографию почек применяют для уточнения контуров почки. Ретроградную пиелографию выполняют при неинформативности внутривенной урографии и для выяснения характера выключения туберкулезного очага (сопоставление пиело- и урографических данных). Ангиография позволяет получить представление об ангиоархитектонике пораженной почки, что важно при определении хирургической тактики.

Радиоизотопные методы исследования (ренография, сканирование, сцинтиграфия почек) - вспомогательные, они позволяют оценить функциональную способность почек и анатомические нарушения в мочевой системе. Применение в последнее время урокимографии, урокинематографии, электронно-оптического преобразователя ООП) позволило точнее определить и оценить уродинамику, а использование эхографии, компьютерной томографии - объем и характер полостных образований в почечной паренхиме.

Туберкулез мочевой системы чаще дифференцируют от ее неспецифических воспалительных заболеваний (пиелонефрит, цистит и др.) и новообразований. Особенности клинического течения современного уротуберкулеза, характерные специфические изменения мужских половых органов, рентгенологические изменения, неэффективность ранее проводимой терапии, динамический фактор, результаты комплексного обследования, а главное - положительные результаты бактериологического исследования мочи на ВК позволяют правильно провести дифференциальную диагностику. При онкологической настороженности, помимо указанных выше методов, важную роль играют ангиография, биопсия и определение атипических клеток в моче, в трудных случаях выполняют диагностическую операцию.

Прогноз. Прогноз зависит от стадии заболевания и распространенности поражения органов мочевой системы. В ранних стадиях нефротуберкулеза удается добиться выздоровления почти всех больных. При выраженных деструктивных формах нефротуберкулеза, особенно осложненных поражением мочевых путей, несмотря на выполнение оперативных вмешательств (нередко повторных), более 30% больных остаются стойкими инвалидами.

Профилактика. Профилактика заключается в активном выявлении больных уротуберкулезом в группах повышенного риска. К ним относятся больные с хроническими воспалительными заболеваниями мочевых путей (хронический пиелонефрит, хронический цистит), мочекаменной болезнью; общеинтоксикационным синдромом, пояснично-крестцовым радикулитом неясной этиологии; лица, у которых отмечаются приступы почечной колики, гематурия, гипертензия; работники животноводческих ферм, неблагополучных по туберкулезу крупного рогатого скота. Особое внимание должно быть уделено пациентам, состоящим на учете в противотуберкулезных диспансерах в связи с туберкулезом различных локализаций; лицам, находящимся в контакте с бациллярными больными, а также пациентам, перенесшим ранее туберкулез различных органов или систем при наличии у них жалоб на заболевания органов мочевой системы или патологические изменения осадка мочи. Эффективность этой работы зависит от тесной связи фтизиоуролога противотуберкулезного диспансера с врачами общей лечебной сети и фтизиатрами. Раннее выявление заболевания предусматривает выполнение у данного контингента минимального обследования с обязательным проведением бактериоскопических и бактериологических исследований мочи на ВК, при подозрении на наличие туберкулеза проводят детальное обследование в специализированном стационаре.

Катенёв Валентин Львович аватар
Не на сайте
Был на сайте: 7 лет 3 месяцев назад
Зарегистрирован: 22.03.2008 - 22:15
Публикации: 54876

 

Туберкулез половых органов у мужчин

Больные туберкулезом половых органов составляют 1,5-2,5% урологических больных и 30-50% мужчин с туберкулезом мочевой системы [Резник Б. М., 1972]. Туберкулез наружных половых органов встречается у каждого четвертого или пятого больного с заболеваниями органов мошонки. Согласно результатам вскрытий, туберкулез половой системы обнаруживают примерно у 0,4% умерших и 5-10% мужчин, умерших от туберкулеза. Поражения половой системы у мужчин и женщин встречаются практически с одинаковой частотой, но у мужчин значительно чаще (у 50%) отмечается их сочетание с туберкулезом почек [Резник Б. М., 1972] в связи с анатомическими особенностями мочеполовой системы («мочеполовой перекрест» в задней уретре). Возраст больных колеблется в пределах от 20 до 50 лет, но в последние годы туберкулез половой системы стал чаще наблюдаться у лиц более старшего возраста. У детей данная патология встречается крайне редко. Клинические наблюдения подтверждают большую частоту поражения туберкулезом наружных половых органов, но в настоящее время в связи с усовершенствованием методики и увеличением полноты обследования стали чаще диагностировать туберкулез внутренних половых желез.

Этиология, патогенез, патологическая анатомия. Возбудитель заболевания - микобактерии туберкулеза. Пути их проникновения в половую систему различны, но основным является гематогенный. Экзогенный, лимфатический, контактный (переход с соседних органов) пути распространения инфекции возможны, хотя убедительных клинических данных, подтверждающих это, нет. Особое значение придают уриногенному пути проникновения туберкулезной инфекции из мочевой системы в половую. Развитие туберкулезного процесса определяется свойствами возбудителя, иммунобиологическим состоянием организма, предшествующей терапией, местными факторами риска (травма половых органов, конгестивные состояния, половые излишества, предшествующие заболевания и т. п.). В связи с этим возможно различное сочетание экссудативных, альтеративных и продуктивных тканевых реакций. Гистологическая картина при туберкулезе половых органов принципиально не отличается от таковой при туберкулезе других органов. Для туберкулеза наружных половых органов (придаток яичка, яичко, семявыносящий проток) характерна склонность к гнойному расплавлению и казеозному перерождению возникших туберкулезных фокусов с образованием полостей распада (каверн). Процесс всегда первоначально возникает в придатке, часто локализуясь в хвостовом отделе, яичко и семявыносящий проток поражаются вторично. При преимущественно продуктивных формах туберкулезных эпидидимитов обнаруживают обильное разрастание соединительной ткани (при гистологическом исследовании специфические изменения могут отсутствовать). Туберкулезный процесс во внутренних половых органах (предстательная железа и семенные пузырьки) характеризуется менее выраженной склонностью к экссудативным реакциям ткани, но при этом нередко обнаруживают альтеративные изменения в виде казеозно-кавернозных очагов с элементами фибротизации.

Как отмечалось выше, единой клинической классификации туберкулеза мочеполовой системы не существует, но при формулировке диагноза учитывают локализацию процесса (придаток яичка, яичко, семявыносящий проток, предстательная железа, семенные пузырьки, мочеиспускательный канал, половой член), фазу процесса, бациллярность.

Клиническая картина. Больные туберкулезом половой системы жалуются на боли, изменения наружных половых органов (припухлость, покраснение кожи, наличие свища мошонки или промежности, появление язвы на головке полового члена), дизурию, нарушение половой функции (снижение половой потенции, болезненный оргазм, уменьшение объема эякулята, примесь крови или гноя в сперме, бесплодие). У большинства больных отмечаются тупые боли, локализующиеся в мошонке, промежности, поясничной области, у х1ъ пациентов - острые боли, соответствующие острой форме туберкулезного эпидидимита. Часто больные туберкулезом предстательной железы и семенных пузырьков отмечают ощущение тяжести в заднем проходе, тенезмы и затруднения при дефекации, усиление болей при половых сношениях в момент эякуляции.

При туберкулезе наружных половых органов выделяют две основные клинические формы: 1) острая форма (до 30% больных) характеризуется сильными болями, внезапно появляющейся выраженной припухлостью придатка яичка, покраснением кожи мошонки на фоне высокой температуры тела (38-40 °С), озноба, плохого общего самочувствия и напоминает неспецифический (банальный) эпидидимит, но после исчезновения острых явлений (в течение 5-7 дней) пальпируется очень плотный придаток, что не соответствует динамике течения неспецифического эпидидимита; 2) хронической форме (до 70%) свойственны медленное, вялое начало и течение заболевания с нормальной или субфебрильной температурой тела, незначительные тянущие боли, умеренное покраснение кожи мошонки, а нередко изменения в придатке оказываются случайной находкой при прохождении медицинской комиссии. Придатки яичек плотные, бугристые, неравномерной консистенции, нередко спаяны с кожей мошонки или осложнены свищом, исходящим из придатка. Если острая форма коварна из-за сходства с неспецифическим эпидидимитом, то хроническая - вследствие слабой выраженности симптомов является причиной поздней обращаемости больных к врачу, который в свою очередь не уделяет ему должного внимания. Вместе с тем хроническая форма туберкулезного эпидидимита чаще встречается у больных, у которых имеются поражения тазовых половых желез и органов мочевой системы.

Данные осмотра и пальпации половых органов играют значительную роль при установлении диагноза. Выявляемые при пальпации изменения семявыносящего протока выражаются в его равномерном или «четкообразном» утолщении (патогномоничный признак туберкулеза). Пальцевое ректальное исследование позволяет обнаружить диффузное уплотнение предстательной железы, наличие узлов в ее боковых долях, участки размягчения, соответствующие каверне; семенные пузырьки при пальпации бугристые, болезненные, увеличены в объеме, а мягкая консистенция подтверждает их казеозное перерождение. В большинстве случаев поражения наружных половых органов и тазовых половых желез локализуются на одной стороне.

В последнее время отмечаются следующие особенности течения туберкулеза половой системы у мужчин: заболевание возникает у лиц более старшего возраста; чаще наблюдается острая форма туберкулезного эпидидимита; реже встречаются такие ранее характерные для туберкулеза симптомы, как свищи, бугристость и тотальное поражение придатка яичка, четкообразность семявыносящего протока; ввиду изменившегося патоморфоза клинический диагноз не всегда подтверждается гистологическим заключением (отсутствуют специфические изменения при продуктивных формах эпидидимитов). Осложнением туберкулеза половой системы является бесплодие.

Диагностика» дифференциальная диагностика. Диагностика туберкулеза половых органов у мужчин предусматривает фтизиоурологическую настороженность врача, знание особенностей клинического течения заболевания, учет анамнестических данных и правильную интерпретацию результатов комплексного обследования. Больным туберкулезом половых органов необходимо провести весь комплекс лабораторных, инструментальных, рентгенологических и радиоизотопных исследований, используемых в диагностике туберкулеза мочевой системы, дополнив его клиническим и бактериологическим исследованием эякулята, секрета предстательной железы, гнойного отделяемого свищей, материала, полученного при биопсии и операции, генито- и уретроцистопростатографией. При исследовании эякулята выявляют уменьшение его объема, количества сперматозоидов (вплоть до их исчезновения), снижение их подвижности, увеличение деформированных форм, гемо- и пиоспермию. На генитограммах обнаруживают различные деформации семенных пузырьков, четкообразный семявыносящий проток, затекание контрастного вещества в полости предстательной железы и придатка яичка.

Дифференциальную диагностику чаще приходится проводить с неспецифическими воспалительными и онкологическими заболеваниями половых органов. Обычно при неспецифическом эпидидимите отмечаются гладкая поверхность придатка, четкая граница между ним и яичком, отсутствие спаянности с кожей мошонки, редкое возникновение свищей. Уретрит при туберкулезе встречается редко, что является одним из дифференциально-диагностических признаков. Проведение различных провокационных тестов, в том числе туберкулинового, с последующим исследованием выделений из мочеиспускательного канала, мочи, эякулята, секрета предстательной железы играет важную роль в дифференциальной диагностике. Для гонореи характерны уретрит, поражение головки придатка, положительная реакция Борде-Жангу (реакция связывания комплемента); обнаружение гонококков в моче, эякуляте, секрете предстательной железы, положительные результаты провокации гоновакциной. При сифилисе чаще возникает орхит, придаток яичка остается интактным, редко поражаются предстательная железа и семенные пузырьки. Бруцеллез имеет характерную клиническую картину, осложняется орхитом, придаток яичка и семявыносящий проток не изменены. Нахождение бруцелл в водяночной жидкости и положительные серологические реакции уточняют диагноз.

В дифференциальной диагностике туберкулеза и онкологических заболеваний половых органов учитывают следующие моменты: относительная доброкачественность опухолей придатка яичка (рак встречается редко) и высокая злокачественность опухолей яичка (до 95%). При семиноме яичка отмечаются интактность придатка и семявыносящего протока, отсутствие изменений в предстательной железе. Аденома предстательной железы чаще встречается в пожилом возрасте. При дифференциации с саркомой и раком предстательной железы необходимо учитывать тот факт, что при туберкулезе редко встречается изолированное поражение этого органа. В трудных случаях дифференциальной диагностики опухолей тазовых половых желез могут быть использованы биопсия и вазовези-кулография. При туберкулезе полового члена язвы располагаются вблизи наружного отверстия мочеиспускательного канала, при раке - в области венечной борозды; при туберкулезе отмечается торпидное течение язв с потерей тканей, при раке - новообразование ткани. Решающее значение в уточнении диагноза имеют результаты гистологического исследования материала, полученного при биопсии.

Лечение. При туберкулезе тазовых половых желез ограничиваются проведением специфической консервативной терапии (за исключением редких случаев абсцедирования). При туберкулезе наружных половых органов основным методом лечения остается хирургический, однако применение специфических препаратов позволило снизить хирургическую активность до 50% и повлиять на характер и объем оперативных вмешательств. Виды операций: кавернотомия придатка яичка и яичка, резекция придатка яичка, эпидидимэктомия с резекцией яичка, орхиэктомия, кастрация, ва-зорезекция, операции на семявыносящих путях. Санаторно-курортное лечение проводят в специализированных санаториях для больных туберкулезом мочеполовой системы.

Прогноз, Прогноз в отношении жизни больных туберкулезом половой системы благоприятный. При двустороннем поражении придатков в большинстве случаев отмечается бесплодие. Инвалидизация наступает лишь у больных с тяжелыми формами урогенитального туберкулеза.

Профилактика. Активное выявление больных туберкулезом половой системы проводит фтизиуролог противотуберкулезного диспансера совместно с врачами общей лечебной сети среди лиц из группы повышенного риска, к которым относятся: больные хроническими орхоэпидидимитами, особенно двусторонними, с частыми обострениями, образованием сращений органов мошонки с ее покровами и свищей; больные с хроническими простатитами, особенно при их сочетании с поражением органов мошонки и осложненных импотенцией, бесплодием, образованием камней в предстательной железе; пациенты с Рубцовыми поражениями мочеиспускательного канала нетравматической и негонорейной этиологии; больные с хроническими воспалительными и Рубцовыми процессами в области промежности, осложненными свищами; больные с так называемыми нейрогенными формами импотенции и недержания мочи, у которых не отмечается должного эффекта от длительно проводимого лечения. После консультации фтизиоуролога проводят детальное обследование этих больных в специализированном стационаре.

Катенёв Валентин Львович аватар
Не на сайте
Был на сайте: 7 лет 3 месяцев назад
Зарегистрирован: 22.03.2008 - 22:15
Публикации: 54876

 

Туберкулез половых органов у женщин

В структуре мочеполового туберкулеза поражение женских половых органов составляет в среднем 25% [Колачевская Е. Н., 1975]. Истинную распространенность заболевания установить практически невозможно, поскольку оно часто остается невыявленным. Достаточно сослаться на результаты многочисленных патологоанатомических исследований, при проведении которых был обнаружен генитальный туберкулез, диагностированный при жизни лишь у 10- 25% женщин, а также на весьма частые еще «случайные находки» - выявление заболевания во время операций.

Туберкулез женских половых органов может возникнуть в любом возрасте, но чаще всего начало его связано с периодом диссеминации первичного туберкулеза в детстве или юности. Незамеченный на ранних стадиях развития генитальный туберкулез чаще всего обнаруживают у женщин в возрасте 20-40 лет, которые и составляют основной контингент противотуберкулезных диспансеров.

Клиническая картина. В результате гематогенного и, реже, лимфогенного распространения туберкулезного процесса на внутренние половые органы в первую очередь и наиболее часто (практически у 100% населения) поражаются маточные трубы, что связано с особенностями местной микроциркуляции. Сравнительно быстро наступающая окклюзия яйцеводов приводит к утрате их основных функций и бесплодию. Ввиду анатомической близости к маточным трубам в воспаление вовлекается яичник, однако туберкулезные очаги в этом органе обнаруживают только у 5-15% больных и патологические изменения в нем чаще имеют параспецифический характер. В дальнейшем процесс развивается в нисходящем направлении, распространяясь у 25-40% больных на тело матки. Поражения шейки, влагалища и вульвы в последнее время наблюдаются очень редко и являются признаком запущенности заболевания.

Специалисты признают также и иную возможность развития генитального туберкулеза - путем перехода с брюшины на серозные покровы матки и придатков. При этом проходимость труб может сохраняться довольно долго, до тех пор, пока внутренняя поверхность остается интактной [Мандельштам А. Э., 1964].

В зависимости от патологоанатомических признаков различают продуктивную, инфильтративную, экссудативную, казеозную и рубцово-спаечную формы поражения. Многовариантность специфических изменений во внутренних половых органах, смена фаз туберкулеза при индивидуальных различиях создают предпосылки для большого разнообразия клинических проявлений заболеваний. В связи с этим классификация туберкулеза женских половых органов, необходимая клиницисту в практической деятельности, требует расширенной формулировки диагноза. Она должна содержать информацию о локализации, распространенности, клинической форме, активности и фазе процесса, его осложнениях, бактериовыделении, а также сопутствующих заболеваниях как туберкулезной, так и неспецифической природы.

Острое течение генитального туберкулеза у женщин отмечается очень редко и обычно связано с присоединением вторичной инфекции. Сравнительно нечасто - в среднем у 15-17% больных - наблюдается и подострое течение. У значительного же большинства женщин медленно развивающееся заболевание приобретает затем хронический характер, длительно протекает латентно либо с очень скудными симптомами, что является одной из основных причин запоздалого выявления больных.

Общая тенденция к торпидному течению заболевания объясняет относительно нечастые проявления признаков туберкулезной интоксикации. Не более чем у 25% больных генитальным туберкулезом отмечаются повышение температуры тела, изменения в периферической крови, общая слабость, ночные поты и т. д. Значительная часть больных жалуются на боли в нижних отделах живота, которые имеют постоянный характер, но сравнительно редко бывают интенсивными. Характерно усиление болей в связи с непатогномоничным применением физиотерапевтических процедур. Болевой синдром может быть обусловлен не только текущим процессом, но и посттуберкулезными рубцово-спаечными изменениями в малом тазе, поэтому не всегда является признаком активности туберкулеза.

Наиболее постоянный симптом генитального туберкулеза - бесплодие, диагностируемое более чем у 90% больных. При стертых клинических формах именно бесплодие оказывается основной и нередко единственной причиной обращения женщин к врачу. Естественно, нарушение детородной функции может сопутствовать многим гинекологическим заболеваниям, однако для туберкулеза вследствие частого его развития в довольно раннем возрасте характерно значительное преобладание трубных форм первичного бесплодия над вторичным (соответственно 85-90 и 10-15%).

Нарушения менструальной функции наблюдаются примерно у половины больных генитальным туберкулезом. Если процесс ограничивается поражением придатков, то ритм менструаций и количество выделяющейся крови обычно сохраняются, но чаще, чем в норме, отмечаются ановуляторные циклы и недостаточность лютеиновой фазы. Распространение же туберкулезного процесса на матку может привести к клинически выраженным расстройствам менструальной функции, преимущественно в виде гипоменореи, опсоменое, а в ряде случаев первичной и вторичной аменореи. Такой характер расстройств характерен как для активного, так и для перенесенного туберкулеза матки. Степень выраженности при морфологически активном процессе зависит от обширности поражения слизистой оболочки (очаговый или тотальный эндометрит), а при посттуберкулезных изменениях - от площади эндометрия, подвергшегося рубцеванию (частичная либо полная облитерация полости матки). Склонность к маточным кровотечениям при туберкулезе отмечается редко.

При влагалищном исследовании у больных генитальным туберкулезом обнаруживают в различной степени увеличенные и болезненные придатки, в фазе инфильтрации содержащие плотные нодозные участки, а при наличии экссудата имеющие эластическую консистенцию. При прогрессировании и большой распространенности процесса определяются воспалительные конгломераты придатков и тела матки, спаянных с окружающими органами и тканями. Матка при туберкулезе может иметь нормальные размеры, но чаще, чем обычно, бывает гипопластична, ограничена в движениях и фиксирована в ретрофлексии. Результаты бимануального исследования помогают установить фазу процесса и позволяют условно выделить клинические формы туберкулеза придатков матки с незначительными либо выраженными воспалительными изменениями, что важно для последующего выбора тактики лечения.

Приложения: 
1.zh_.slayd35.jpg2.zh_.slayd36.jpg3.zh_.slayd38.jpg
Катенёв Валентин Львович аватар
Не на сайте
Был на сайте: 7 лет 3 месяцев назад
Зарегистрирован: 22.03.2008 - 22:15
Публикации: 54876

 

Диагностика и дифференциальная диагностика.

Диагностика и дифференциальная диагностика. Несмотря на некоторые особенности, клиническая картина генитального туберкулеза имеет много общего с симптоматикой неспецифического аднексита, что наряду с малосимптомностью специфического воспаления создает большие трудности в распознавании заболевания. В связи с этим диагноз туберкулеза женских половых органов может быть установлен только на основании результатов комплексного целенаправленного обследования.

Прежде всего необходимо тщательно изучить гинекологический и общий анамнез с акцентированием внимания на перенесенных заболеваниях туберкулезной природы и контактах с больными туберкулезом. Среди методов специального обследования наиболее убедительны в диагностическом отношении гистологические и бактериологические исследования.

Легкодоступны биопсии туберкулезные язвы шейки, влагалища и вульвы, однако эти локализации процесса в настоящее время казуистически редки. Придатки могут быть подвергнуты гистологическому исследованию лишь после оперативного вмешательства, но круг показаний к чревосечению, естественно, ограничен. Наиболее широко применяют гистологическое исследование эндометрия, получаемого путем диагностического выскабливания, входящего в отсутствие противопоказаний в число обязательных диагностических мероприятий. Однако и в этом случае информативность метода ограничена тем, что специфические эндометриты выявляют не более чем у 30-40% больных генитальным туберкулезом.

Еще реже диагноз удается подтвердить с помощью бактериологического метода. Высеваемость МТ при генитальном туберкулезе очень низка (в пределах 10%), несмотря на то что для посева могут быть направлены менструальная кровь, соскобы и аспираты из полости матки, выделения и смывы из половых путей, пунктаты из придатковых образований. Это объясняется несовершенством методик получения нужного количества материала, ограниченными возможностями проведения частых и многократных посевов и т. д. Истинное число лиц, выделяющих возбудителей туберкулеза, вероятно, больше, о чем свидетельствуют данные Т. В. Борима (1964) и Е, Н. Колачевской (1983), получивших положительные результаты посевов на МТ соответственно в 33 и 27,4%.

В случае отсутствия гистологического и бактериологического подтверждения диагноз устанавливают по совокупности результатов клинического обследования. Ведущую роль при этом играет рентгенологическое исследование.

Некоторые признаки генитального туберкулеза можно выявить уже на обзорных рентгенограммах малого таза в виде кальцинированных участков и теней казеом. Основную же информацию дает гистеросальпингография (ГСП, при выполнении которой следует использовать только водорастворимые контрастные вещества (верографин или его аналоги). Современный уровень развития рентгеновской техники позволяет широко применять рентгенотелевизионную ГСГ, позволяющую получить наиболее полную информацию и максимально избежать диагностических ошибок, еще столь часто допускаемых при интерпретации рентгенограмм. К очевидным достоинствам телевизионного метода следует отнести возможность визуального контроля за прохождением контрастного вещества, съемки исследуемого объекта в оптимальном ракурсе, дифференциации контрастных теней, имеющих и не имеющих отношения к внутренним половым органам, выявления некоторых нарушений функций маточных труб.

Патогномоничными рентгенологическими признаками заболевания принято считать ригидные, нередко с расширенным просветом маточные трубы, имеющие форму дубинки, курительной трубки, булавы, а иногда в связи со стриктурами, приобретающие вид бус или четок. Дистальные отделы труб могут быть расширены в виде луковицы либо ватного тампона. В более запущенных случаях наблюдается рубцовая деформация полости матки с частичной или полной ее облитерацией, иногда с характерной формой «трилистника» и концевой фаланги пальца. В ряде случаев претерпевает изменения и канал шейки матки, приобретающий веретенообразную либо колбовидную форму с зазубренными контурами.

Приведенные выше характерные признаки формируются в результате длительно существующего, а иногда и закончившегося туберкулезного процесса.

При их выявлении обычно не остается сомнений в специфической этиологии заболевания, хотя и не удается установить активность процесса.

Далеко не всегда, однако, рентгенологическая картина при генитальном туберкулезе соответствует привычным представлениям. Так, например, на ранних стадиях заболевания сохранена проходимость маточных труб и не удается обнаружить четкие патогномоничные признаки заболевания на рентгенограммах. В других случаях атипичные варианты могут быть обусловлены присоединением вторичной инфекции, сочетанием туберкулеза с другими гинекологическими заболеваниями, ранее проведенными курсами лечения бесплодия нераспознанной туберкулезной этиологии с применением гидротубаций, перенесенными оперативными вмешательствами на внутренних половых или соседних органах.

К широко применяемым во фтизиогинекологии диагностическим тестам относится провокационная туберкулиновая проба (ПТП). При оценке ее результатов основное значение придают очаговой реакции, которую определяют путем сравнения гинекологического статуса больной до и через 2 сут после подкожного введения туберкулина. Появление после пробы признаков обострения воспаления расценивают как положительную очаговую реакцию, свидетельствующую об активном туберкулезе. Если изменения выражены нечетко, то реакцию считают сомнительной. Сохранение исходных данных - признак отрицательной реакции. Несмотря на специфичность теста, при ПТП весьма часты сомнительные оценки, а в 30% случаев наблюдаются ложноположительные либо ложноотрицательные результаты. В связи с этим применение ПТП более оправданно при выявлении скрытой активности туберкулеза, установленного по клинико-рентгенологическим показателям, чем при определении этиологии заболевания.

В некоторых сомнительных случаях проводят пробную противотуберкулезную химиотерапию. Обычно используют двойную комбинацию туберкулостатиков на протяжении 2-4 мес. Положительная динамика исходных воспалительных проявлений и общее клиническое улучшение могут служить признаком туберкулеза.

В последние годы арсенал фтизиогинекологических диагностических средств пополнился лапароскопией. К сожалению, спаечный процесс, сопутствующий специфическому воспалению, ограничивает возможности проведения эндоскопических исследований и снижает их информативность. Диагностическую лапаротомию в настоящее время применяют сравнительно редко, главным образом по показаниям, связанным с сопутствующими гинекологическими заболеваниями, которые усложняют распознавание туберкулеза.

Круг заболеваний, от которых следует дифференцировать туберкулез женских половых органов, достаточно широк, но в первую очередь и наиболее часто это касается хронических аднекситов неспецифической и гонорейной этиологии, а также эндометриозов.

Дифференциальную диагностику проводят по совокупности данных анамнеза, результатов клинических наблюдений и специальных диагностических исследований.

Лечение. В настоящее время в лечении туберкулеза женских половых органов преобладает специфическая консервативная химиотерапия, интенсивность и длительность которой определяются клинической формой заболевания, распространенностью и фазой процесса. В комплексе с различными комбинациями туберкулостатиков используют и методы патогенетической терапии, способствующие повышению эффективности лечения.

Хирургическое лечение генитального туберкулеза проводят в среднем 20-30% бальных [Колачевская Е. Н., 1983; ПатрикянИ. Т. и др., 1983] по следующим основным показаниям: неэффективность консервативной терапии в течение 1-2 лет, казеозные формы поражения придатков матки, наличие крупных воспалительных аднекстуморов, сочетание с другими гинекологическими заболеваниями. При выполнении операций молодым женщинам хирург должен стремиться к максимальному уменьшению объема, по возможности производя органосохраняющие вмешательства [Абурел Е. И., Петреску В. Д., 1975].

Прогноз. В отношении клинического излечения прогноз туберкулеза женских половых органов вполне благоприятный. Значительно хуже обстоит дело с реабилитацией детородной функции, так как заболевание диагностируют поздно, когда, как правило, уже имеются практически необратимые анатомо-функциональные изменения в маточных трубах.

Профилактика. Среди мероприятий, выполняемых с целью своевременного выявления больных генитальным туберкулезом, важное место занимают профилактические осмотры. Их проводят фтизиогинеколог противотуберкулезного диспансера совместно с врачами общей лечебной сети для определения групп повышенного риска заболевания туберкулезом. В специализированные учреждения для целенаправленного обследования направляют женщин с трубной формой первичного и, реже, вторичного бесплодия, хроническими аднекситами, не поддающимися традиционному противовоспалительному лечению, а также с менструальными расстройствами, преимущественно по типу гипоменореи, опсоменореи и аменореи.

Осведомленность врачей общей лечебной сети в вопросах клинического течения и диагностики генитального туберкулеза является необходимым условием их участия в активном выявлении заболевания.

Катенёв Валентин Львович аватар
Не на сайте
Был на сайте: 7 лет 3 месяцев назад
Зарегистрирован: 22.03.2008 - 22:15
Публикации: 54876

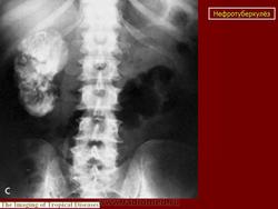
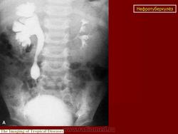
Туберкулёз почки.

Приложения: 
1.uro_.slayd25.jpg2.uro_.slayd26.jpg
Катенёв Валентин Львович аватар
Не на сайте
Был на сайте: 7 лет 3 месяцев назад
Зарегистрирован: 22.03.2008 - 22:15
Публикации: 54876

 

Генитальный туберкулез не является самостоятельным заболеванием. Он возникает как местное проявление общего инфекционного процесса, вызванного туберкулезной палочкой. То есть туберкулез половых органов женщины – это вторичное заболевание. Первичный очаг туберкулеза чаще всего располагается в легких, реже в кишечнике и очень редко в почках, суставах и лимфатических узлах. Инфицирование туберкулезом происходит еще в раннем детстве, когда большинство людей впервые сталкиваются с возбудителем инфекции.

Развитие заболевания в то время, как правило, не происходит, а на месте внедрения микроорганизма (в легких), образуется, как отметина, первичный туберкулезный комплекс. В некоторых случаях, при ослаблении организма и сложившихся, благоприятных для туберкулезной палочки, обстоятельствах происходит занос возбудителя инфекции с током крови или лимфы в другие, в том числе и половые, органы. Проявляется генитальный туберкулез, как правило, в подростковом возрасте. Это связано с тем, что в период полового созревания происходит выраженная перестройка всего организма девушки, в том числе и ее гормонального статуса, приводящие к пробуждению инфекции.

В развитии заболевания большую роль играют различные внешние и внутренние факторы, приводящие к ослаблению защитных функций организма:

  • различные заболевания половой и неполовой сферы;
  • гормональные перестройки во время беременности, родов и лактации;
  • недоразвитие половых органов;
  • неполноценное питание;
  • переохлаждение и перегревание организма;
  • нервное и физическое переутомление.

По локализации воспалительного процесса различают:

  • туберкулез придатков,
  • туберкулез матки,
  • туберкулез шейки матки,
  • туберкулез влагалища,
  • туберкулез вульвы.

Наиболее часто туберкулезная инфекция поражает маточные трубы (до 90%), реже матку (35-40%). Яичники вовлекаются в воспалительный процесс в 17-20% случаев заболевания. Очень редко (1-2%) возникает туберкулез шейки матки, влагалища и вульвы. Такое избирательно частое поражение маточных труб объясняется особенностями их строения (извитость и складчатость слизистой оболочки) и кровообращения (богатая и разветвленная сосудистая сеть).

По особенностям течения туберкулезная генитальная инфекция подразделяется на:

  • хроническую,
  • подострую,
  • острую.

В зависимости от особенностей воспалительного процесса различают следующие стадии туберкулеза половых органов:

  • экссудативную, при которой преобладают процессы образования серозного выпота;
  • продуктивно-пролиферативную, характеризующуюся образованием туберкулезных бугорков;
  • фиброзно-склеротическую, для которой типично образование большого количества спаек и рубцов.

Для всех видов генитального туберкулеза характерно медленное развитие воспалительного процесса, длительное течение с периодами затихания и вспышками инфекции. Еще одной особенностью является склонность к обострению заболевания в весенний и осенний периоды и при неблагоприятных погодных условиях. Большое влияние оказывают чрезмерные физические и психические нагрузки, стрессы.

Редакция Medclub

11.03.2011
Катенёв Валентин Львович аватар
Не на сайте
Был на сайте: 7 лет 3 месяцев назад
Зарегистрирован: 22.03.2008 - 22:15
Публикации: 54876

Туберкулёз яичников и маточных труб.

Приложения: 
a_2721_701tuberkulyoz_yaichnikov_i_matochnyh_trub..jpega_2721_702.jpg
Катенёв Валентин Львович аватар
Не на сайте
Был на сайте: 7 лет 3 месяцев назад
Зарегистрирован: 22.03.2008 - 22:15
Публикации: 54876

Туберкулёз яичника

Приложения: 
a_2721_703tuberkulyoz_yaichnika..gif
Катенёв Валентин Львович аватар
Не на сайте
Был на сайте: 7 лет 3 месяцев назад
Зарегистрирован: 22.03.2008 - 22:15
Публикации: 54876

Продолжение.

Приложения: 
1.tt_.slayd61.jpg2.tt_.slayd62.jpg3.tt_.slayd63.jpg4.tt_.slayd64.jpg