Пол пациента:
Тип патологии:
Область исследования:
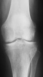
Женщина 75 лет. Жалуется на эпизоды острой боли в передне-внутреннем отделе левого коленного сустава при ходьбе, сопровождающиеся последующими болями в течение 1-3 дней.
Что скажете?
Сразу скажу, что следующим этапом было выполнение исследования МРТ, которое я представлю позднее.
Итак, было выполнено исследование МРТ, которое показало асептический некроз медиального мыщелка бедренной кости и медиального мыщелка большеберцовой кости Также имеются дегенеративные изменения в заднем роге медиального мениска. Передняя и задняя крестообразные связки не повреждены.
Предварительно. Окончательно будет позднее.
Имеет место частичное окостенение (на фоне суставной щели) латерально связочно-сумочных компонентов (по С.А. Рейнбергу), но по всей видимости - локальные окостенения латерального мениска. Создается впечатление, что головка м/берцовой кости, как "контрразведка" закрывает зону остеопороза (локального), о нем также свидетельствует локальная "подчеркнутость" на данном месте "кортикала".
И так, что вижу.
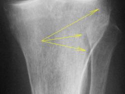
1. По всей видимости, необходимо иметь в виду феморо-пателлярный артроз. Конечно, мы не можем оценить ширину суставной щели в феморо-пателлярном суставе, так как боковой снимок сделан не в строгой боковой проекции и суставная щель, как таковая, не дифференцируется. Но можно заподозрить наличие субхондрального склероза - помечен красными стрелками и мелкие субхондральные кистовидные (точечные) просветления - желтые стрелки.
2.Оценивая ширину суставной щели необходимо отметить её неравномерность по ширине - некоторое расширение в латеральных отделах-красные стрелки, по сравнению с медиальными отделами желтые стрелки. Почему расширение латерально, а не сужение медиально? Медиально конгруентность суставных поверхностей сохранена, латерально - конгруентность нарушена - некоторая клиновидность. В области латерального мыщелка б/берцовой кости "намечается" субхондральный склероз - зеленые стрелки.
На фоне суставной щели латерально определяются локальные уплотнения - красные стрелки - локальные обызвествления сумочно-связочных компонентов сустава (по С.А. Рейнбергу), но по всей видимости, это локальные отложения солей Са в "травмированном" мениске, что может свидетельствовать о функцинальной несостоятельности последнего. Точечное уплотнение дифференцируется и медиально - синяя стрелка.
3.Оценивая межмыщелковые возвышения, можно констатировать, что латеральное межмыщелковое возвышение, "кажется несколько больше" (по сравнению с медиальным). Определяется "заострение" и "деформация" вершины латерального межмыщелкового возвышения за счет локального окостенения связки - сиреневая стрелка, что косвенным образом свидетельствует о функциональной несостоятельности этой связки.
4. При анализе проксимального эпи-метафиза б/берцовой кости, локальные участки остеопороза, отмеченные стрелками, связаны, по всей видимости, именно с функциональной недостаточностью мениска и связки, а также с наличием феморо-пателлярного артроза, что функционально выразилось в "недогрузе" латеральных отделов коленного сустава, (возможно даже из-за болевого синдрома, не исключается "подсознательная разгрузка"), и переносе "нагрузки на медиальные отделы.
Вот такое мнение "рутинного" рентгенолога.
Уважаемый Валентин Львович всё отлично отметил, я бы хотел добавить, что контуры субхондральной пластинки медиального отдела больше берцовой кости не чёткие, несколько даже волнистые, скорее всего значительные изменения мениска, как следствие болевые ощущения. Ждём МРТ
.
"Знаешь, у некоторых врачей есть комплекс мессии — им необходимо спасать мир. А у тебя комплекс Рубика — тебе необходимо решать головоломки."
Да проведение анализа между данными разных методов лучевого исследования - это школа и весьма серьёзная.
Артроз, он и есть артроз
Зри в корень!
Е, Магонов:
"Итак, было выполнено исследование МРТ, которое показало асептический некроз медиального мыщелка бедренной кости и медиального мыщелка большеберцовой кости".
Очень интересное и неоднозначное наблюдение.
1. Зона асептического некроза сразу в двух костях - медиальный мыщелок б/берцовой кости и медиальный мыщелок бедренной кости, фактически, контактные суставные поверхности двух костей. По всей видимости, такая сочетанная патология, именно в двух костях, на контактных поверхностях не описана даже в литературе, по крайней мере - я не нашел.
2. Хотелось-бы узнать, какая стадия асептического некроза "вынесена" для каждой кости отдельно или она "одна" для обеих костей?
3. Хотелось-бы узнать у коллег, которые занимаются МРТ, КТ, с учетом представленных изображений, с какими патологическими процессами должно, или возможно проводить дифференциальную диагностику, именно при таком поражении (контактных суставных поверхностей).
4. Необходимо, одназначно признать (я не имею в виду конкретно "остеохондропатию"), что в данном случае исследование коленного сустава методом МРТ по сравнению с классической рентгенографией, позволило обнаружить определенные патологические изменения в костной ткани.
Валентин Львович!
Признаться, я и сам удивился несоответствию рентгенологической картины тому, что мы увидели на МРТ (относительно костных структур).
По поводу асептического некроза сразу двух костей -это лишь мое предположение, т.к. я сам встречался, в том числе, в литературе с асептическим некрозом только одной кости, как правило, мыщелка бедренной кости. Но как же тогда объяснить субхондральные изменения и отек большеберцовой кости?
Добрый админ
Зри в корень!
Здравствуйте Евгений Петрович!
Объяснение "остеохондротатии" на контактных поверхностях двух костей надо отыскать обязательно, так как структура патологических участков отличается друг от друга, и если предположить, что - это один процесс, тогда возникают вопросы, где "началось" ранее и почему, и почему в другом месте - позднее. А если окажется, что - это не "один процесс", а разные процессы, пусть даже по давности, тонда тоже вопрос почему?
Конечно, можно предположить, что повреждающий фактор (альтерация) действовал, как показано стрелками, т.е. первопричиной все-таки была какая-то травма (надо объяснить контактность поражения). А можт быть это не остеохондропатия?
А может быть, в данном случае другой генез" К примеру - бактериальный.
Да тут еще, и "отек большеберцовой кости", совсем направляет мысли в другую сторону.
С точки зрения рентгенолога традиционной ориентации, на рентгенограммах коленного сустава из существенных изменений стоит отметить частичное обызвествление обоих менисков (больше латерального) и субхондрально расположенный линзообразной формы участок то ли остеопороза, то ли остеолиза (лучше виден в задней проекции). Артроза у старушки конечно нет!
Глядя на магниторезонансные томограммы, вижу: гвоздь проблемы именно во внутреннем мыщелке бедра. Но, чтобы интерпретировать и, по возможности объяснить картину нам отсталым, нужен иной опыт и знания. Надо звать магниторадиологов.
Неоднозначно всё
кроме упомянутых измемений, также отмечается повышение МР-сигнала в заднем рожке медиального мениска - трещина?
да, это было отмечено автором. только сейчас заметил
...
Представленные изменения стоит расценивать как результат хронической травматизации мыщелка , вследствие частичной дислокации медиального мениска. Дифференцировать между спонтанным остеонекрозом мыщелка (что чаще встречается в пожилом возрасте) и рассекающим остеохондритом. В любой литературе по МРТ коленного сустава эта патология описана достаточно подробно. Вот у питерских авторов точно описана.
Мне встречались , даже пару раз некрозы медиальных мыщелков обоих костей , в этом случае как правило мениск за пределами суставных поверхностей.
Странно что на рентгене всего этого не видно. А сколько времени прошло м/д рентгеном и МРТ?
имею не очень большой опыт в ортопедии.., но не думаю что это следует называть некрозом... во всяком случая про большеберцовую кость.
просто выраженный отек костного мозга на фоне травмы мыщелков
а можно аксиальный срез с мениском?
есть ли в анамнезе острая травма? поскольку в коленках после менискэктомии таких изменений не видел.
рентгенологические проявления должны наступить позже...
после менискэктомии , таких изменений я тоже не видела. А если имеется дислокация мениска, его дегенерация , артроз и тп -встречалось. Загадка. Может кто-то из присутствующих прояснит ситуацию ...
Может дело в повреждении гиалинового хряща суставной поверхности , а не в мениске вовсе. Хрящ истончается, повреждается от нагрузки, а потом и кость....
но все равно такой выраженный отек мыщелка бедренной кости видел только после острой травмы, которое не исключается наличием хронического махрового процесса....