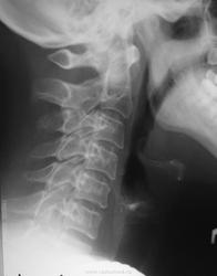
Пол пациента: Женский пол Тип патологии: Врожденная патология Область исследования: Скелетно-мышечная система Методы исследования: Rg Женщина пожилого возраста пришла на снимок ШОП. Сразу заинтересовал второй шейный позвонок. Что может давать такое разрежение костной ткани? https://radiomed.ru/sites/default/files/styles/case_slider_image/public/user/712/sl274633.jpg?itok=8LYUkSO- ID:21360 Чт, 03/05/2012 - 18:15 #1 Nela Не на сайте Был на сайте: 6 лет 3 месяцев назад Зарегистрирован: 12.05.2009 - 20:43 Публикации: 1847 Что-то не вижу я разрежения. Накладываются боковые массы на тело и имитируют "разрежение". А плотность его, если сравнивать в с передним нижним краем С2 и зубовидным отростком, такая же. Чт, 03/05/2012 - 19:02 #2 surgeon23 Не на сайте Был на сайте: 13 лет 9 месяцев назад Зарегистрирован: 25.04.2012 - 17:09 Публикации: 69 Хорошее качество снимков. У пожилой женщины на редкость сохранный позвоночник. перемены - это единственное постоянство, которое нам дано Чт, 03/05/2012 - 19:08 #3 maker4ik Не на сайте Был на сайте: 8 лет 10 месяцев назад Зарегистрирован: 19.10.2011 - 17:49 Публикации: 2682 А где разрежение-то? Стрелочкой тыкните, если не сложно. Чт, 03/05/2012 - 19:17 #4 Глазков Игорь А... Не на сайте Был на сайте: 1 год 1 неделя назад Зарегистрирован: 19.12.2008 - 20:41 Публикации: 1597 Вот и участки разряжения.Приложения: Прийди к Себе Пт, 04/05/2012 - 03:48 #5 Дмитрий86 Не на сайте Был на сайте: 1 год 2 месяцев назад Зарегистрирован: 17.01.2012 - 08:49 Публикации: 285 нормально Пт, 04/05/2012 - 17:50 #6 арти Не на сайте Был на сайте: 12 лет 4 месяцев назад Зарегистрирован: 26.02.2012 - 11:23 Публикации: 490 Для пожилой женщины превосходное состояние шейного отдела Сб, 19/05/2012 - 09:54 #7 maker4ik Не на сайте Был на сайте: 8 лет 10 месяцев назад Зарегистрирован: 19.10.2011 - 17:49 Публикации: 2682 Глазков Игорь Артурович wrote: Вот и участки разряжения. Суммация теней? Пнд, 21/05/2012 - 00:38 #8 Петрович Не на сайте Был на сайте: 7 лет 5 месяцев назад Зарегистрирован: 22.03.2009 - 01:13 Публикации: 3908 Что-то КВО не нравится..., хотя все важные ориентиры черепа срезаны к черту. Неоднозначно всё
Что-то не вижу я разрежения. Накладываются боковые массы на тело и имитируют "разрежение". А плотность его, если сравнивать в с передним нижним краем С2 и зубовидным отростком, такая же.
Хорошее качество снимков.
У пожилой женщины на редкость сохранный позвоночник.
перемены - это единственное постоянство, которое нам дано
А где разрежение-то? Стрелочкой тыкните, если не сложно.
Вот и участки разряжения.
Прийди к Себе
нормально
Для пожилой женщины превосходное состояние шейного отдела
Суммация теней?
Что-то КВО не нравится..., хотя все важные ориентиры черепа срезаны к черту.
Неоднозначно всё