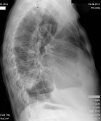
Выпот в плевральной полости справа. Затенение в S10, можно предварительно расценить как узловое образование с распадом ? ( периферический рак с распадом? осложнённый плевральным выпотом MTS). Мало клинико-лабораторных данных. Показано РКТ.
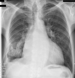
Справа, по-моему мнению, участок хорошего фиброза, возможно, за счет ТЭЛА сегментарных ветвей (старые). Все изменения связаны с сердечными проблемами. В жидкости справа не уверен, кажется плевральные наложения. Но если поставить УЗ датчик все сомнения исчезнут. Корни расширены. Сердце увеличено в размерах. И, вроде, имеется веретенообразное расширение грудной аорты.
Сердце не в норме: увеличение левого предсердия, увеличение правого желудочка, признаки лёгочной гипертензии. Но есть и уменьшение объёма нижней доли правого лёгкого либо её базальных сегментов. При этом воспаление в S9, S10 не исключается, возможно и не банальное, а как проявление инфаркт-пневмонии. Выпота немного: в синусах, над диафрагмой, паракостально. Осумкован и явно не сердечный транссудат.
Клиника нужна и томография нижней доли в боковой проекции.
Хронический бронхолегочный процесс с уменьшением (цирротическим)нижней доли;Справа -плевральная спайка(но лучше уточнить на УЗИ) Компенсаторная эмфизема левого легкого;Ну конечно дилятация левых отделов сердца;Онконастороженность!
Выпот в плевральной полости справа. Затенение в S10, можно предварительно расценить как узловое образование с распадом ? ( периферический рак с распадом? осложнённый плевральным выпотом MTS). Мало клинико-лабораторных данных. Показано РКТ.
А мне показалось, что справа легкое коллабировано.
дела сердечные
Не ограничивайте свою мысль
Живешь пока учишься
Ecrasez l’infame
Справа, по-моему мнению, участок хорошего фиброза, возможно, за счет ТЭЛА сегментарных ветвей (старые). Все изменения связаны с сердечными проблемами. В жидкости справа не уверен, кажется плевральные наложения. Но если поставить УЗ датчик все сомнения исчезнут. Корни расширены. Сердце увеличено в размерах. И, вроде, имеется веретенообразное расширение грудной аорты.
Нужно исключать онкологию, по моему сердце к этим изменениям отношения не имеет
Выскажу "кусочек" мнения.
Справа в плевральной полости есть выпот, он не свеж, он был и ранее. Межреберные промежутки справа, по сравнению с левой стороной сужены?
При таком выпоте не визуализируется главная междолевая щель - нонсенс? Или она превратилась в ту "закорючку", что располагается намного ниже и сзади?
По всей видимости, есть признаки уменьшения нижней доли справа в объёеме - цирротическая трансформация, или что другое?
Сердце не в норме: увеличение левого предсердия, увеличение правого желудочка, признаки лёгочной гипертензии. Но есть и уменьшение объёма нижней доли правого лёгкого либо её базальных сегментов. При этом воспаление в S9, S10 не исключается, возможно и не банальное, а как проявление инфаркт-пневмонии. Выпота немного: в синусах, над диафрагмой, паракостально. Осумкован и явно не сердечный транссудат.
Клиника нужна и томография нижней доли в боковой проекции.
Неоднозначно всё
Хронический бронхолегочный процесс с уменьшением (цирротическим)нижней доли;Справа -плевральная спайка(но лучше уточнить на УЗИ) Компенсаторная эмфизема левого легкого;Ну конечно дилятация левых отделов сердца;Онконастороженность!
Вылегжанина Юлия