ОГК. Аномалии и варианты развития. Кистозная гипоплазия легкого. Врожденная долевая эмфизема. Легочная секвестрация +

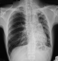
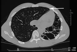
Кистозная гипоплазия легкого (врожденный поликистоз) - порок развития, при котором терминальные отделы бронхиального дерева на уровне субсегментарных бронхов или бронхиол представляют собой расширение кистообразной формы различных размеров. Кисты выстланы кубовидным или цилиндрическим эпителием. Эта патология больше относится к гипоплазиям. Морфологически выделяют три основных типа аномалии.

Тип I - единичные или множественные кисты диаметром более 2 см, выстланные мерцательным псевдослоистым цилиндрическим эпителием. Между кистами могут располагаться тканевые элементы, напоминающие нормальные альвеолы.

Из архива AFIP

 

Тип II - множественные небольшие кисты менее 1 см в диаметре, выстланные мерцательным (от кубовидного до цилиндрического) эпителием. Между этими кистами могут находиться респираторные бронхиолы и растянутые альвеолы, в то время как слизистые клетки и хрящ отсутствуют. При данном варианте отмечается высокая частота сочетанных врожденных аномалий.

Из архива AFIP

Тип III - обширное поражение обычно некистозного характера и вызывающее, как правило, смещение средостения. Бронхиолоподобные образования с цилиндрическим кубовидным эпителием разделены тканевыми структурами, имею­щими размеры альвеол и выстланными немерцательным кубовидным эпителием. При этом варианте прогноз обычно неблагоприятный

Из архива AFIP

Типы II и III чаще всего проявляются респираторным дистрессом в периоде новорожденности и, как правило, сочетаются с другими тяжелыми врожденными аномалиями, в то время как тип I может протекать бессимптомно, аналогично мультикистозному поражению.

Из архива AFIP

 

 Кистозная гипоплазия является наиболее частой и имеющей наибольшее практическое значение врожденной аномалией легкого или его части. Под кистозной гипоплазией понимают порок развития легкого или его части, обусловленный антенатальным недоразвитием легочной паренхимы, сосудов и бронхиального дерева и формированием полостей дистальнее субсегментарных бронхов. При этом считают, что нет необходимости проводить разграничение между понятием «кистозная гипоплазия» и «поликистоз», так как оба термина выражают по сути дела однозначные нарушения развития бронхиальных и альвеолярных структур легкого.

Поликистоз возникает в результате нарушения развития легких на 2-3-м месяце эмбриогенеза. В этом случае речь идет о нарушении развития мелких бронхов, что соответствует IV степени недоразвития легких по классификации, предложенной Monaldi.

Поликистоз легких (кистозная гипоплазия) составляет 60-80% от всех пороков развития. В пользу врожденного генеза поликистоза свидетельствует его частое сочетание с другими пороками развития, чаще всего диафрагмальной грыжей, пороками развития костной системы, мочеполовых органов, сердца, центральной нервной системы, пищеварительного тракта.

Морфологически поликистоз легких характеризуется признаками остановки развития бронхолегочного аппарата с образованием множественных кист, размеры которых значительно (до 10-20 раз) превышают диаметр неизмененных бронхов аналогичных генераций. В стенках кист обнаруживаются недифференцированные хрящевые, мышечные и соединительнотканные элементы. Объем респираторной части легкого уменьшен, легочная ткань имеет различную степень дифференцировки.

Предложено различать две основные формы гипоплазии легкого - простую и кистозную. Характеристика первой, более редкой, приведена выше. При кистозной гипоплазии наряду с уменьшением объема легкого обнаруживались недоразвитые кистозные расширения бронхов и легочных сосудов (широкое распространение получил термин «поликистоз»).

Убедительным доказательством врожденного происхождения кистозных изменений в легочной ткани является обнаружение соответствующих изменений у мертворожденных плодов и детей, умерших в ранние сроки после рождения.

Морфогенез. Внутрилегочные кистозные образования формируются из утолщенных концов бронхопульмональных почек вследствие остановки их дальнейшего развития. При развитии легкого происходит выпадение промежуточных генераций между крупными и мелкими бронхами с трансформацией последних в кисты, сообщающиеся непосредственно с крупными бронхами.

Чаще всего кистозные изменения наблюдаются в верхней доле правого легкого или же поражают все левое легкое. Измененная доля или легкое, как правило, уменьшены и плотны на ощупь. Плевральные сращения над измененной частью легкого в большинстве случаев отсутствуют или слабо выражены. На срезах на фоне местами нормальной, местами безвоздушной легочной ткани макроскопически видны множественные тонкостенные полости диаметром от 0,5 до 2 см, с гладкой беловатой внутренней поверхностью.

Клинические проявления. Первые признаки врожденной аномалии могут появляться как вскоре после рождения, так и в последующие годы жизни. Приблизительно у 10% больных заболевание долгое время протекает бессимптомно. Клиническая картина поликистоза легких обусловлена наслоением инфекции. Инфицирование кист приводит к формированию хронического воспалительного процесса в бронхолегочной системе.

Первые клинические признаки болезни появляются обычно в детском возрасте. Чаще заболевание регистрируется у мальчиков.

У детей инфицированный поликистоз легких протекает, как правило, с частыми вспышками воспалительного процесса, нередко наблюдается непрерывно рецидивирующее течение воспаления. Дети, страдающие кистозной гипоплазией легких, обычно отстают в физическом развитии. С большим постоянством наблюдается утолщение ногтевых фаланг пальцев. У многих больных наблюдаются деформации грудной клетки. Чаще всего при этом отмечается выбухание в области грудины, западение на стороне локализации порока.

Длительность анамнезак моменту установления диагноза составляет 5-10 лет, но состояние больных остается относительно удовлетворительным. Начало заболевания больные или их родители нередко связывают с пневмонией или другими острыми респираторными инфекциями. У части больных начало заболевания представляется стертым, те или иные симптомы появляются и нарастают исподволь.

Жалобы. Один из основных и постоянных симптомов инфицированного поликистоза легких - влажный кашель. Мокрота, как правило, гнойная, отходит в значительном количестве. Иногда наблюдается кровохарканье. Количество мокроты увеличивается в периоды обострений, когда отмечаются также общее недомогание и температурная реакция, обычно субфебрильная. Обильная мокрота с неприятным запахом выделяется при поражении, осложненном вторичными бронхоэктазами. Заболевание вначале расценивается врачами как затяжная пневмония, а в остальных случаях как бронхоэктатическая болезнь, хронический абсцесс легкого. Иногда возникает подозрение на туберкулез.

На клиническое течение кистозной гипоплазии существенное влияние оказывает активность вторичной инфекции, развивающейся в кистозно-измененных бронхах. Одышка в ранние сроки наблюдается лишь при распространенных двусторонних формах кистозной гипоплазии или же при длительном течении заболевания, сопровождающегося распространением хронического инфекционного процесса. У половины больных при значительной физической нагрузке и исключительно редко в покое.

Различают четыре формы кистозной гипоплазии: бессимптомную, легкую, средней тяжести и тяжелую.

Бессимптомные формы обычно выявляются случайно при проверочной флюорографии или при рентгенологическом исследовании. В анамнезе у так называемых бессимптомных больных иногда удается выявить беспричинный кашель в осенне-зимний период, которому они не придают значения, а также умеренное снижение толерантности к физическим нагрузкам.

Легкое течение обычно характеризуется поздним появлением жалоб и отделением в небольшом количестве (до 50 мл в сутки) слизистой или слизисто-гнойной мокроты. Обострения инфекционного процесса бывают редкими, нетяжелыми и непродолжительными, а ремиссии, напротив, длительными и практически бессимптомными. Состояние больных в течение многих лет остается стабильным.

Средней тяжести - суточное количество мокроты может составлять от 50 до 150 мл. Обострения отмечаются один раз в 6-12 мес. длятся несколько недель, сопровождаются временной утратой трудоспособности. Отмечается одышка при физической нагрузке. В периоды ремиссий сохраняется стертая симптоматика неспецифического воспалительного процесса легких. Заболевание имеет склонность к постепенному прогрессированию.

Тяжелая форма. Нагноительный процесс носит почти постоянный характер, ремиссии либо отсутствуют, либо менее продолжительны, чем обострения. Количество мокроты увеличивается до 200 мл в сутки и более. Мокрота гнойная, иногда гнилостная, с неприятным запахом, связанным с присоединением анаэробной неклостридиальной микрофлоры. Отмечается одышка при незначительных физических усилиях или даже в покое.

В зависимости от вторичных изменений в ранее здоровых участках легкого следует различать две группы больных:

1-я - кроме кистозных образований, связанных с гипоплазией, других изменений в бронхах не выявляется (так называемые чистые формы);

2-я - с выраженным деформирующим бронхитом или вторичными бронхоэктазиями в других сегментах легкого.

Бессимптомное течение кистозной гипоплазии наблюдается у первой группы. Тяжелое и средней тяжести течение заболевания встречается у больных с вторичными изменениями в ранее здоровых сегментах. В первой группе дыхательная недостаточность встречается менее чем у 1/3 больных - I степени (реже II степени). У больных с вторичными изменениями дыхательная недостаточность наблюдается вдвое чаще, обычно достигая II-III степени.

Объективные симптомы кистозной гипоплазии легких в большинстве случаев малохарактерны. При тяжелом течении болезни наблюдаются бледность или землисто-желтоватый цвет лица, цианоз губ и слизистых оболочек, снижение массы тела, характерные утолщения ногтевых фаланг с деформацией ногтей (симптом барабанных палочек, симптом часовых стекол). При гипоплазии всего легкого, развивающейся чаще слева, обнаруживаются уменьшение соответствующей половины грудной клетки и отставание ее при дыхательных экскурсиях.

Физикальные данные. Исследование грудной клетки дает относительно мало данных для диагноза. В области кистозных изменений иногда отмечается притупление перкуторного звука.

Для поликистоза легких характерна богатая аускультативная симптоматика. При наличии крупных полостей дыхание имеет амфорический характер. Прослушивается множество звучных разнокалиберных влажных хрипов, которые описывают как «барабанную дробь». При обострении воспалительного процесса определяется оральная крепитация. Хрипы различного калибра, как влажные, так и сухие, определяются главным образом в периоды обострений. В случае присоединения вторичного нагноительного процесса в бронхах нижерасположенных долей физикальные данные при исследовании этих отделов аналогичны таковым при бронхоэктатической болезни.

Рентгенодиагностика. Играет ведущую роль. Рентгенологические признаки кистозной гипоплазии можно разделить на три группы:

  1. свидетельствующие о существовании множественных полостных образований в легких;
  2. отражающие уменьшение органа или его части в объеме;
  3. указывающие на наличие хронического воспалительного процесса в нижерасположенных участках бронхиального дерева.

К первой группе признаков относится наличие в области аномалии характерного ячеистого легочного рисунка, являющегося отражением множественных тонкостенных воздушных полостей. Наиболее часто ячеистый рисунок при кистозной гипоплазии наблюдается в области верхней доли правого легкого или же занимает все левое легкое.

Об уменьшении объема недоразвитой части легкого можно судить по смещению междолевой границы (в случае долевой гипоплазии) для средостения в сторону поражения, что более характерно для гипоплазии легкого, хотя может наблюдаться и при поражении доли.

Признаки третьей группы (пневмосклероз в зоне основного поражения или в соседних отделах легких, воспалительная инфильтрация в окружности кист, плевральные сращения, перибронхиальные и периваскулярные изменения) наблюдаются у относительно небольшой части наиболее тяжело больных с длительно и неблагоприятно протекающим нагноительным процессом и характерны скорее для приобретенной патологии, чем для кистозной гипоплазии легких.

Ячеистый рисунок отмечается практически у всех больных кистозной гипоплазией легких. Таким образом, на основании обзорных рентгенограмм можно лишь заподозрить наличие кистозной гипоплазии легкого, главным образом при наличии ячеистого легочного рисунка, разумеется, с учетом соответствующих клинических данных.

Томографическоеисследование позволяет получить более четкое представление о наличии в легком множественных тонкостенных полостей. Дифференциально-диагностическое значение этого метода ограничено.

Бронхография. Для уточнения диагноза всем больным показана двусторонняя бронхография.Бронхографическая картина кистозной гипоплазии характерна. Крупные бронхи в зоне определенного по обзорным рентгенограммам ячеистого легочного рисунка вплоть до субсегментарных ветвей в большинстве случаев имеют нормальный вид, но обычно несколько сближены. Дистальнее их в зоне поражения выявляются множественные, наслаивающиеся одна на другую тонкостенные полости различного диаметра, частично или целиком заполненные контрастным веществом.

У каждого третьего больного кисты контрастируются неравномерно и не во всей области ячеистого легочного рисунка. Кисты в нижних отделах приобретают шарообразную форму, в верхних долях обнаруживаются четкообразные расширения бронхов. Однако при последующем изучении удаленного во время операции легкого обнаруживаются идентичные кистозные изменения во всех его отделах. При хорошем заполнении всех полостей, бронхиальное дерево пораженного легкого напоминает украшенную шарами новогоднюю елку.

Ангиопульмонография. К часто встречающимся ангиографическим признакам кистозной гипоплазии относится истончение ветвей легочной артерии, наблюдающееся почти у всех больных. Равномерное истончение легочных вен, следует отнести к характерным признакам кистозной гипоплазии легких.

Бронхоскопия. Выявляются повышенная дыхательная подвижность мембранозной части бронхов и в большей или меньшей степени выраженный экспираторный коллапс, а также признаки катарального, реже гнойного, эндобронхита, наиболее значительные в зоне пораженной части легкого.

Функция внешнего дыхания. Жизненная ёмкость лёгких и показатели бронхиальной проходимости (объём форсированного выдоха, максимальная вентиляция лёгких и их отношение к жизненной ёмкости лёгких) оказываются сниженными и притом в большей степени, чем при приобретенных бронхоэктазиях. В наибольшей степени бронхиальная проходимость оказывается нарушенной при исследовании ее с помощью плетизмографии всего тела.

Ряд данных указывает, что даже у больных с небольшим объемом поражения и минимальными изменениями в бронхиальном дереве обструктивные нарушения были весьма значительными. Это дает основание предположить, что в основе обструктивного синдрома при кистозной гипоплазии лежит неполноценность развития всего бронхиального дерева, проявляющаяся гипотонической дискинезией и ведущая к экспираторному коллапсу бронхов. Диффузионная ёмкость лёгких нарушается при кистозной гипоплазии в меньшей степени, чем у больных приобретенными хроническими нагноительными заболеваниями легких (бронхоэктазии).

Дифференциальную диагностику кистозной гипоплазии легких следует проводить с приобретенными мешотчатыми (кистевидными) бронхоэктазиями.

Случайное обнаружение бессимптомных кистозных изменений в легких при рентгенологическом исследовании практически всегда свидетельствует о кистозной гипоплазии.

В целом благоприятное течение инфекционно-нагноительного процесса, длительные ремиссии и относительно доброкачественно протекающие обострения при наличии выраженных полостных изменений в легком более характерны для кистозной гипоплазии, чем для хронического нагноительного процесса приобретенного характера.

Достоверная связь начала заболевания с той или иной конкретной причиной (например, с пневмонией детского возраста, туберкулезным процессом, аспирацией инородного тела и т. д.) всегда свидетельствует в пользу приобретенного заболевания.

Множественные рентгенологически определяемые тонкостенные кистозные расширения бронхов, особенно при их локализации в верхних долях, чаще бывают проявлением кистозной гипоплазии.

Существенными доводами в пользу кистозной гипоплазии легкого являются сочетание множественных кистозных изменений в легком с необычным ветвлением бронхиального дерева или легочных сосудов, истончение последних, определяемое ангиографически, а также наличие у больного врожденных аномалий других органов и систем.

Совокупная оценка позволяет судить об истинном характере процесса. Окончательная верификация диагноза во многих случаях возможна лишь после тщательного патоморфологического исследования легочной ткани, удаленной во время операции.

Важными морфологическими признаками врожденного характера заболевания являются тонкостенность кистозных расширений бронхов, наличие их на различных генерациях бронхиального дерева, полное отсутствие хрящевых пластинок в стенках кистозных образований, мозаичность изменений, характеризующаяся наличием наряду с кистозноизмененными нормально развитых бронхиальных ветвей, отсутствие или слабая выраженность воспалительных и пневмосклеротических изменений в сохранившемся респираторном отделе легочной ткани.

Дифференциальная диагностика кистозной гипоплазии и так называемого сотового легкого, представляющего собой конечный этап развития некоторых диссеминированных процессов. Для сотового легкого в отличие от кистозной гипоплазии характерны отсутствие клиники хронического нагноительного процесса в легких, неуклонное прогрессирование процесса с развитием тяжелой дыхательной недостаточности, диффузность тяжистых и очаговых изменений в легочной ткани с ячеистой деформацией легочного рисунка (в первую очередь в нижних отделах), отсутствие ячеистой деформации на рентгенограммах, выполненных до начала или в начале заболевания, выраженность рестриктивных нарушений вентиляции в отсутствие или при слабой выраженности обструктивных.

Множественные полостные образования в легком при буллезной эмфиземе обычно не дают на рентгенограммах отчетливо выраженного ячеистого рисунка и чаще всего проявляются повышением прозрачности легочной ткани в том или ином отделе легкого, ослаблением легочного рисунка. Обычно буллезная эмфизема является следствием диффузной эмфиземы легких и сопровождается общим увеличением объема легких, низким стоянием диафрагмы и другими рентгенологическими и функциональными признаками, совершенно не характерными для гипоплазии (повышение остаточной ёмкости лёгких за счет увеличения остаточного обьёма лёгких и т. д.).

Дифференциальная диагностика кистозной гипоплазии и туберкулеза, а также хронического абсцесса легкого в большинстве случаев не вызывает затруднений.

Катенёв Валентин Львович аватар
Не на сайте
Был на сайте: 7 лет 4 месяцев назад
Зарегистрирован: 22.03.2008 - 22:15
Публикации: 54876

 

Врожденная долевая эмфизема

Этот порок развития характеризуется растяжением части легкого (чаще одной доли). Для его обозначения употребляют термины "врожденная долевая эмфизема", "локализованная эмфизема", "обструктивная эмфизема", "гипертрофическая эмфизема". Наиболее часто поражение затрагивает верхнюю или среднюю долю. Врожденная долевая эмфизема нижней доли легких встречается крайне редко. Впервые клиническую картину заболевания описал Robertson и James в 1951 году. Истинные причины порока остаются невыясненными. Однако некоторые авторы связывают его возникновение с аплазией хрящевых элементов бронхов, гипоплазией эластических волокон, гипоплазией гладких мышц терминальных и респираторных бронхиол и другими нарушениями в структурных единицах легочной ткани. Эти факторы создают предпосылки для возникновения клапанного механизма, способствующего чрезмерному вздутию соответствующей части легкого и развитию дыхательных нарушений. Врожденная долевая эмфизема встречается примерно у одного ребенка на 100 000 родившихся.

Клинические проявления обусловлены наличием и выраженностью симптомов дыхательной и сердечно-сосудистой недостаточности. В патогенезе дыхательной недостаточности играют роль следующие факторы: выключение из дыхательной функции большого объема легочной ткани (отсутствие дыхательной функции в порочно развитом отделе легкого и коллабирование нормально сформированных отделов в результате сдавления их чрезмерно растянутыми отделами порочного легкого), а также значительным процентом шунтирования крови в коллабированной части легкого.

Повышение внутригрудного давления и смещение средостения, нередко встречающиеся при этом пороке развития, являются другим патогенетическим механизмом, обусловливающим сердечно-сосудистые нарушения у таких больных.

При декомпенсированной форме порок проявляет себя с рождения. С первых дней жизни отмечаются общий цианоз, одышка, дыхательная асимметрия (отставание в акте дыхания вздутой половины грудной клетки), беспокойство ребенка, частый сухой кашель, приступы асфиксии при кормлении. Могут отмечаться потери сознания и гипоксические судороги. В недиагностированных случаях один из асфиксических приступов может привести к остановке сердца и летальному исходу. При отсутствии хирургического лечения больные редко живут более 2-3 месяцев.

Субкомпенсированная форма. Симптомы появляются в первые недели или к концу периода новорожденности. Динамика нарастания симптомов не имеет такой катастрофической картины, как при декомпенсированной форме. Постоянным симптомом является одышка. Приступы асфиксии отмечаются значительно реже, они менее продолжительны, чаще сопровождаются локальным цианозом, кашлем и самостоятельно купируются. В редких случаях заболевание прогрессирует и переходит в декомпенсированную форму. Обычно с возрастом симптомы становятся несколько менее выраженными, однако дети склонны к частым воспалительным заболеваниям легких, при этом состояние их резко ухудшается и быстро выявляются признаки декомпенсации.

При компенсированной форме врожденной долевой эмфиземы перечисленные симптомы могут быть крайне слабо выраженными, непостоянными, заметными лишь опытному клиницисту. Нередко только возникновение воспалительных изменений в порочном отделе легкого или коллабирование в других отделах является поводом для рентгенологического обследования, которое позволяет поставить точный диагноз.

Из архива AFIP

Приложения: 
f41.largevrozhdennaya_dolevaya_emfizema.jpgf42.largevrozhdennaya_dolevaya_emfizema.jpgf43.largevrozhdennaya_dolevaya_emfizema.jpgf44.largevrozhdennaya_dolevaya_emfizema.jpgf45.largevrozhdennaya_dolevaya_emfizema.jpgf9.large_.11._lob..jpgf10.large_._12._lob..jpg1.41.vrozhdennaya_emfizema_lobar.jpg1.42.vrozhdennaya_emfizema_lobar.jpg1.43..vrozhdennaya_emfizema_lobar.jpg
Катенёв Валентин Львович аватар
Не на сайте
Был на сайте: 7 лет 4 месяцев назад
Зарегистрирован: 22.03.2008 - 22:15
Публикации: 54876

 

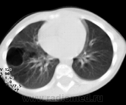
Термин легочная секвестрация был предложен Pryce в 1947г Под секвестрацией легкого принято понимать порок развития, при котором добавочная гипоплазированная, иногда сообщающаяся с бронхиальным деревом основного легкого доля имеет автономное кровоснабжение аномальной артерией, отходящей от аорты или ее ветвей. Венозный дренаж такого участка, как правило, осуществляется в систему малого круга и гораздо реже в систему верхней полой вены. Гипоплазированная часть легкого с аномальным кровоснабжением может представлять собой единичную кисту или поликистозное образование, расположенное вне ткани основного легкого и имеющего свой собственный плевральный листок или расположенной внутри легочной ткани, что дает основание выделять внелегочную и внутрилегочную секвестрацию.

Наиболее частая локализация порока - нижнемедиальные отделы легких. В литературе имеются сообщения о локализации секвестрированного участка легкого в брюшной полости.

Признаки патологии возникают при инфицировании и присоединении воспалительного процесса в порочном и прилежащих нормальных отделах легкого. При этом наличие тех или иных симптомов обусловлено не только степенью воспалительных изменений, но и вариантом секвестрации: наличие гипоплазии простой или кистозной, наличие или отсутствие сообщения секвестрированного участка с общей бронхиальной системой, внелегочной или внутрилегочной локализацией порочного участка.

Так, при отсутствии сообщения с бронхом и явлений воспаления порок в виде участка затемнения большей или меньшей интенсивности в тех или иных отделах легких может быть обнаружен случайно - при рентгенологическом исследовании, выполненном по другим показаниям. Присоединение воспалительного процесса сопровождается соответствующими симптомами: повышением температуры, физикальными данными, характерными для лобарной пневмонии или локализованными бронхоэктазами.

Диагностика секвестрации легкого трудна, так как клинические и рентгенологические симптомы других заболеваний и пороков развития (поликистоз и бронхоэктазия, солитарная киста и абсцесс легкого и др.) - весьма сходны. Лишь выявление аномального сосуда, тень которого может быть иногда обнаружена при компьютерной томографии и в большинстве случаев при аортографии, позволяет поставить диагноз до операции.

Из архива AFIP

Приложения: 
f46.largelegochnoy_sekvestracii..jpgf47.largelegochnoy_sekvestracii..jpgf48.largelegochnoy_sekvestracii..jpgf49.largelegochnoy_sekvestracii..jpgf50.largelegochnoy_sekvestracii..jpg
Катенёв Валентин Львович аватар
Не на сайте
Был на сайте: 7 лет 4 месяцев назад
Зарегистрирован: 22.03.2008 - 22:15
Публикации: 54876

Легочная секвестрация.

Приложения: 
1.s.slayd246.jpg2.s.slayd237.jpg3.s.slayd238.jpg4.s.slayd239.jpg5.s.slayd240.jpg6.s.slayd241.jpg7.s.slayd242.jpg8.s.slayd243.jpg9.s.slayd244.jpg10.s.slayd245.jpg11.s.slayd236.jpg
Катенёв Валентин Львович аватар
Не на сайте
Был на сайте: 7 лет 4 месяцев назад
Зарегистрирован: 22.03.2008 - 22:15
Публикации: 54876

 

Секвестрация легкого

На компьютерных томограммах в заднемедиальном отделе нижней доли левого легкого виден участок повышенной воздушности, легочный рисунок в нем деформирован, не прослеживаются просветы сегментарных бронхов, нет дренирующего бронха.
"Секвестрированный" участок в заднемедиальном отделе нижней доли левого легкого кровоснабжается аномальной артерией, отходящей от аорты.

 

Приложения: 
1.s.slayd48.jpg2.s.slayd49.jpg3.s.slayd50.jpg4.s.slayd51.jpg
Любовь С. аватар
Не на сайте
Был на сайте: 9 лет 9 месяцев назад
Зарегистрирован: 23.12.2010 - 01:58
Публикации: 2324

Классификации. Терминология.

 

Варианты и аномалии развития легких (В.И. Стручков, 1998) 
• Терминология: норма, варианты нормы, аномалия развития, порок развития, уродство органа
• Аномалия развития - врожденные дефекты обычно не проявляются клинически и не влияют на функцию органа
• Порок развития - разновидность аномалии, при которой имеют место не только анатомические изменения органа, но и нарушение его функции
• Врожденные пороки развития - это стойкие морфологические изменения органа или организма, выходящие за пределы вариаций их строения и возникающие внутриутробно в результате нарушений развития зародыша, плода или иногда после рождения ребенка как следствие нарушения дальнейшего формирования органов
*********************
Классификация аномалий развития бронхолегочной системы (Н.В.Путов, Ю.Н.Левашов, 1984)
1.Пороки, связанные с недоразвитием легкого в целом или его элементов
• Агенезия легкого
• Аплазия легкого
• Гипоплазия легкого
• Трахеобронхомегалия
• Врожденная долевая (лобарная) эмфизема
2.Пороки, связанные с неправильным строением органа
• добавочная доля v. azygos
• зеркальное легкое
• обратное расположение легких
• трахеальный бронх и др.
3.Пороки, связанные с наличием избыточных дисэмбриогенетических формирований
• секвестрация легкого
• киста легкого
/Руководство по пульмонологии/ Под ред. Н.В. Путова– Л: Медицина, 1984
**********************
Congenital lung malformation (CLMs)
- гетерогенная группа врожденных мальформаций, связанных с аномалиями легочной паренхимы и вариантами аномального кровоснабжения и дренажа легочных вен
• Whole lung malformation (dysmorphic lung)
1 Lung agenesis-hypoplasia complex (agenesis, aplasia and hypoplasia of the lung)
2 Hypogenetic lung syndrome (lobar agenesis and aplasia)
3 Congenital pulmonary venolobar syndrome
4 Horseshoe lung
5 Accessory diaphragm
6 Anomalous unilateral single pulmonary vein
• Focal pulmonary malformation
1 Congenital bronchial atresia
2 Bronchogenic cysts
3 Cystic adenomatoid malformation
4 Pulmonary sequestration
J.M. Mata, J. Caceres “The dismorphic lung: imagimg findings”- Eur.Radiol.6, 403-414(1996)
**********************
 
Терминология

 

• Агенезия - отсутствие легкого вместе с главным бронхом (при отсутствии бифуркации трахеи)
• Аплазия - отсутствие ткани легкого при наличии рудиментарного главного бронха
• Гипоплазия - имеются главный и долевые бронхи, которые оканчиваются функционально несовершенным рудиментом (отсутствие мелких бронхиальных разветвлений), легочная ткань недоразвита
• Клиническая картина
- Rg-находка (м.б. развитие воспалительного процесса)
- отставание в физ. развитии, деформация грудной клетки на стороне поражения, «барабанные палочки»
- дыхательная недостаточность +/-
***********************
Кистозные поражения легких у детей
Нередко Rg-картина сходна с проявлениями воспалительного процесса ( в т.ч. туберкулезной этиологии)
• Секвестрации легких
• Бронхогенные кисты
• Врожденные кистозные аденоматоидные мальформации
• Бронхиальная атрезия
• Интерстициальная эмфизема
• Кистозные мезенхимальные опухоли (плевропульмональная бластома)
• Другие кистозные поражения
- Кистозные бронхоэктазы
- Полости деструкции
- Пневматоцеле
- Посттравматические или постинфарктные кисты – бронхогенные кисты
********************
Кистозная аденоматоидная мальформация тип I
• Кисты диаметром 2 – 10 см , выстланные мерцательным псевдослоистым цилиндрическим эпителием
• Между кистами могут располагаться тканевые элементы, напоминающие нормальные альвеолы
• Кисты связаны с бронхиальным деревом пораженной доли легкого
Кистозная аденоматоидная мальформация тип II
• Кисты связаны с бронхиальным деревом и содержат воздух
• Высокая частота сочетанных врожденных аномалий (в 40% при экстралобарной секвестрации)
•Множественные небольшие кисты менее 1-2 см в диаметре, выстланные мерцательным эпителием
•Между кистами могут находиться респираторные бронхиолы и растянутые альвеолы
Кистозная аденоматоидная мальформация III типа
• Обширное поражение некистозного характера
• «Бронхиолоподобные образования с кубовидным цилиндрическим эпителием разделены тканевыми структурами, имеющими размеры альвеол»
• Прогноз обычно неблагоприятный
********************
Бронхолегочные секвестрации
- участки нефункционирующей легочной ткани, не связаны с ТБД, снабжаются артериальной кровью из большого круга кровообращения
• Экстралобарная секвестрация
- кисты должны происходить из бронхов
- аберрантный сосуд отходит от аорты или ее ветвей
- патологический участок окружен собственным плевральным покровом
• Интралобарная секвестрация
- аберрантный сосуд отходит от аорты или ее ветвей
- секвестр. участок не имеет своего плеврального листка
- связи с окружающей легочной тканью через нормальные бронхи, артерии и вены нет
Необходимо выполнение КТ-ангиографии или МРА
********************
Бронхиальная атрезия
- в результате облитерации проксимального отдела сегментарного бронха (верхней доли), реже –долевой или субсегментарный бронх
• локальное вздутие пораженного сегмента
• бронхи дистальнее стеноза наполняются слизью - формируется бронхоцеле (мукоцеле)
• у новорожденных – вид кисты, заполненной жидкостью
• «воздушные ловушки» в результате гиперинфляции вокруг расширенных бронхов
• малочисленность сосудов в зоне поражения
• клинически – чаще бессимптомны
********************
Врожденная лобарная эмфизема
• Характеризуется прогрессирующим вздутием доли, иногда – 2 долей
• В результате клапанного механизма на уровне бронхов
• 42,2% - левая верхняя доля, 35,3% - правая средняя доля, 20,7% - правая верхняя доля; по 0,9% - в каждом нижней доле
• Деструкции альвеолярных стенок не происходит
• В 50% –55% - причина неизвестна (у этих пациентов были обнаружены участки бронхомаляции или стеноза бронхиальных хрящей)
• Может быть связана с другими аномалиями (СС системы -12%-14%)
• Майерс описал три клин. типа: Iт. – кл.проявл. в младен. возрасте; IIт. – у детей более старш возраста; IIIт. – случайная находка, асимптомно.
• Респираторный дистресс - наиболее распространенный симптом
• Диагноз - рентгенография и КТ гр.полости
Karnak I, Senocak ME, Ciftci AO, Büyükpamkçu N. Congenital lobar emphysema: diagnosis and therapeutic considerations. J Pediatr Surg 1999

"Предоставляя весь смысл и совершенство в распоряжение одного только Бога, вы избавляете себя от бездны хлопот." Джон Уитборн.

Катенёв Валентин Львович аватар
Не на сайте
Был на сайте: 7 лет 4 месяцев назад
Зарегистрирован: 22.03.2008 - 22:15
Публикации: 54876

Легочная секвестрация.

Приложения: 
1._kolledzh..jpg1.1._sekvestraciya..gif2.2._sekvestraciya..gif3.3._sekvestraciya..gif4.4.sekvestraciya..gif1.111.legochnaya_sekvestraciya.jpg2.112.legochnaya_sekvestraciya.jpg
Катенёв Валентин Львович аватар
Не на сайте
Был на сайте: 7 лет 4 месяцев назад
Зарегистрирован: 22.03.2008 - 22:15
Публикации: 54876

 

Секвестрация легкого представляет собой порок развития, характеризующийся тем, что часть легочной ткани, обычно аномально развитой и представляющей собой кисту или группу кист, оказывается отделенной от нормальных анатомо-физиологических связей (бронхи, легочные артерии) и васкуляризуется артериями большого круга кровообращения отходящими от аорты. Масса нефункционирующей эмбриональной или кистозной ткани, не имеющей связи с функционирующими дыхательными путями и снабжаемой кровью из большого круга кровообращения, носит название секвестра. Несмотря на то, что в большинстве случаев секвестры не сообщаются с функционирующими воздухоносными путями, это не является правилом. Как внутри-, так и внедолевые секвестры образуются по одному и тому же патоэм-бриологическому механизму как рудименты дивертикула пищевода. Внутри секвестра может быть обнаружена ткань желудка или поджелудочной железы. Тератогенный период этого сложного порока относится к ранней эмбриональной фазе. Преимущественное признание имеет теория, согласно которой пороку развития сосуда предшествует появление аберрантной артерии. Через этот сосуд отшнуровываются и фиксируются единичные или множественные зародыши развивающегося бронхиального дерева. Частота секвестрации легкого среди хронических неспецифических заболеваний легких (ХНЗЛ), по данным различных авторов, варьирует от 0,8 до 2% .

Различают 2 формы легочной секвестрации:

- внутридолевую секвестрацию (киста или кисты легкого с аномальным кровоснабжением);

- кистозную гипоплазию с аортальным кровообращением, при которой аномально развитый участок располагается внутри функционирующей доли легкого;

- внедолевую секвестрацию (добавочное легкое, или доля, с аномальным кровоснабжением) с формированием добавочного недоразвитого органа (киста или группа кист) вне нормально функционирующего легкого и васкуляризацией первого артерией или артериями большого круга.

Внутридолевая секвестрация - изменения чаще всего локализуются в заднемедиальном отделе нижней доли левого (реже правого, легкого), представляют собой кисту или группу кист бронхогенного типа, выстланных изнутри цилиндрическим или многорядным плоским эпителием, первично не сообщаются с бронхиальным деревом и заполнены слизистой жидкостью. К ним подходит артериальный сосуд, начинающийся чаще всего на боковой поверхности нисходящего отдела грудной аорты и проходящий в толще легочной связки. Венозный отток из аномально развитой зоны осуществляется через легочные вены. В кисте (или кистах) рано или поздно начинается нагноение. Нет различий в частоте этой патологии в обоих легких.

Клинические проявления. Возникают только после развития нагноительного процесса в кистозной полости (полостях). Начинается с умеренной лихорадки, а после прорыва содержимого кисты в бронх появляются обильная слизисто-гнойная мокрота, иногда кровохарканье.

Протекает с периодическими вялыми обострениями и ремиссиями инфекционного процесса.

По клиническим и рентгенологическим признакам различают 3 формы легочной секвестрации: 1) бронхоэктатическую, при которой после повторных воспалений и расплавления пограничной легочной ткани вторично возникает сообщение с бронхиальным деревом; 2) псевдотуморозную, характеризующуюся бедностью симптоматики; 3) форму, принимающую характер абсцесса или эмпиемы, при которой вследствии инфекции в области секвестра возникает гнойное воспаление легкого или эмпиема плевры.

Принципиально можно предположить секвестрацию при этиологически недостаточной четкой инфильтрации легкого, особенно нижних его долей. Для постановки диагноза имеют значение данные бронхографии. Заполнения сепарированного сегмента не происходит.

Физикальная картина. Физикальное исследование обычно малоинформативно. Иногда удается определить влажные разнокалиберные хрипы в задненижних отделах одного из легких.

Рентгенологическое исследование. В медиально-базальном отделе одной из нижних долей определяется киста или группа кист с горизонтальным уровнем жидкости или без такового. В окружности кист в период обострения может выявляться умеренная инфильтрация легочной ткани. Иногда же в этом отделе легкого определяется неправильной формы затенение, на фоне которого при томографическом исследовании можно выявить полость.

Бронхография. Обнаруживаются малоизмененные бронхи нижней доли соответствующего легкого, оттесненные и сближенные имеющимся объемным образованием. Полость кисты редко заполняется контрастным веществом. Обнаружение кисты или группы кист в нижнемедиальном отделе одного из легких всегда должно служить поводом к тому, чтобы заподозрить внутридолевую секвестрацию. Аномальный артериальный сосуд в ряде случаев удается выявить на хорошо выполненных томограммах в задней проекции. Диагноз окончательно подтверждается с помощью аортографии по Сельдингеру или селективного контрастирования аномальной артерии.

Лечение. Наиболее важны результаты ангиографического исследования, особенно при подготовке к операциям на легких. В качестве операционных осложнений описаны смертельные кровотечения. Легочная секвестрация требует хирургического лечения. Хирургическое вмешательство, проведенное в ранние сроки, часто сводится к клиновидной резекции секвестрированного участка. Она показана и в бессимптомных случаях, так как в секвестре развивается рецидивирующее воспаление с известными осложнениями.

При внедолевой секвестрации аномальный участок легочной ткани появляется вне нормально развитого органа и может располагаться в плевральной полости, в брюшной полости или на шее. Рудиментарное легкое (доля) имеет небольшие размеры и аномальное артериальное кровоснабжение за счет сосуда, отходящего от аорты или от другой крупной артерии большого круга. Его строение также чаще бывает кистозным, обычно не имеющим сообщения с воздухоносными путями.

Внедолевая секвестрация ничем не проявляется и обнаруживается случайно во время операций или при патологоанатомическом исследовании. Редко возникает инфекционный процесс. Диагностика разработана недостаточно. При сообщении полостей недоразвитого легкого с воздухоносными путями распознаванию способствует бронхологическое исследование. Показаны также аортография, поиски и селективное контрастирование аномальной артерии.

Описано одновременное существование интра- и экстрадолевой секвестрации. Общая частота интрадолевой секвестрации среди пороков развития легкого составляет. Внутридолевая секвестрация редко наблюдается в детском возрасте.

Легочная секвестрация может сочетаться с другими пороками развития. Описаны гипоплазии почек, открытое средостение, воронкообразная грудная клетка, легочные кисты, врожденные аномалии сердца, пищеводно-бронхиальные свищи, диафрагмальные грыжи, аномалии позвоночника и тазобедренного сустава. 

Приложения: 
11._sekv..jpg12._sekv..jpg13.sekv_..jpg14.sekv_..jpg15.sekv_..jpg
Катенёв Валентин Львович аватар
Не на сайте
Был на сайте: 7 лет 4 месяцев назад
Зарегистрирован: 22.03.2008 - 22:15
Публикации: 54876

 

Внутрилегочная секвестрация
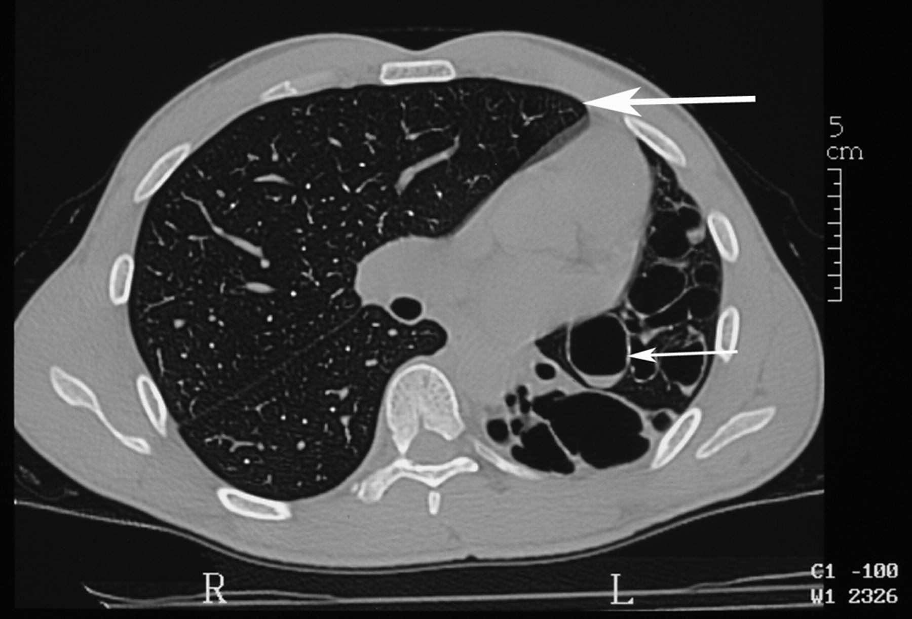
Внутрилегочная секвестрация - порок развития, при котором часть легкого, отделившаяся на ранних стадиях эмбриогенеза от основного органа, развивается самостоятельно и имеет отдельное кровоснабжение из аорты или ее ветвей. Секвестрированная легочная ткань, как правило, кистозно изменяется и даже может сообщаться с бронхами основного легкого. В этом случае содержимое кист инфицируется и заболевание приобретает клинические и рентгенологические признаки нагноившихся кист легкого. Большинство авторов, описывающих этот порок развития, выделяют внутридолевую и внедолевую форму легочной секвестрации (Исаков Ю.Ф. с соавт.,1978; Сазонов А.М. с соавт.,1981). При первой патологически сформировавшийся участок легкого не окружен плевральным листком, тогда как при второй он имеет собственную плевру и является, по существу, добавочной долей легкого. Наиболее частая локализация легочной секвестрации - медиально-базальные отделы нижней доли правого легкого, хотя изредка встречаются и другие варианты.
Главным отличительным признаком секвестрации легкого является дополнительный крупный сосуд, отходящий от аорты и разветвляющийся в секвестрированной легочной ткани (рис. 5). Этот сосуд можно выявить при аортографии, томографии и при КТ. Иногда в виде случайной находки его обнаруживают во время операции.

gzl05a.jpg
Рис. 5a Секвестрация легкого. Виден кистозно измененный участок в области S10 нижней доли левого легкого
gzl05b.jpg
Рис. 5b Аортограмма того же больного. Видны дополнительные сосуды, отходящие к легкому от брюшного отдела аорты 
Катенёв Валентин Львович аватар
Не на сайте
Был на сайте: 7 лет 4 месяцев назад
Зарегистрирован: 22.03.2008 - 22:15
Публикации: 54876

Легочная секвестрация.

Приложения: 
1.leg_.slayd44.jpg
Катенёв Валентин Львович аватар
Не на сайте
Был на сайте: 7 лет 4 месяцев назад
Зарегистрирован: 22.03.2008 - 22:15
Публикации: 54876

Лёгочная секвестрация.  Автор: Бодров Юрий Дмитриевич

Катенёв Валентин Львович аватар
Не на сайте
Был на сайте: 7 лет 4 месяцев назад
Зарегистрирован: 22.03.2008 - 22:15
Публикации: 54876

С Радиопедии.

Недоразвитие правого лёгкого.

 

Приложения: 
000.8fd38e667af48ab3a688522b17c732_jumbonedorazvitie_pravogo_legkogo.jpg1.00.f748a6376a5dd10b10540fbe86af51_big_gallerynedorazvitie_pravogo_legkogo.jpg2.00.66f943a55fe7c733b4e9f32618e616_big_gallerynedorazvitie_pravogo_legkogo.jpg3.00.5c6b4c3c24367874063403ba64ebb7_big_gallerynedorazvitie_pravogo_legkogo.jpg
В.И. аватар
Не на сайте
Был на сайте: 5 месяцев 2 недели назад
Зарегистрирован: 22.09.2015 - 17:55
Публикации: 2321

Спасибо.

Катенёв Валентин Львович аватар
Не на сайте
Был на сайте: 7 лет 4 месяцев назад
Зарегистрирован: 22.03.2008 - 22:15
Публикации: 54876

Спасибо на добром слове.

Елена Комес. аватар
Не на сайте
Был на сайте: 7 лет 2 месяцев назад
Зарегистрирован: 19.05.2017 - 16:56
Публикации: 162

Супер!!!! Спасибо. Больше и не скажешь.

Катенёв Валентин Львович аватар
Не на сайте
Был на сайте: 7 лет 4 месяцев назад
Зарегистрирован: 22.03.2008 - 22:15
Публикации: 54876

И, Вам спасибо на добром слове.