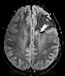
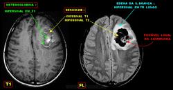
ГМ. Кавернома 1. +

Кавернома.

Отдел патологии, школа медицинских наук.
Государственного Университета Кампинас (UNICAMP).
Кампинас, Сан-Паулу, Бразилия.

Катенёв Валентин Львович аватар
Не на сайте
Был на сайте: 7 лет 4 месяцев назад
Зарегистрирован: 22.03.2008 - 22:15
Публикации: 54876

Внутрижелудочковая кавернома.

Приложения: 
1.kav_.slayd151.jpg2.kav_.slayd152.jpg3.kav_.slayd153.jpg4.kav_.slayd154.jpg5.kav_.slayd155.jpg
Катенёв Валентин Львович аватар
Не на сайте
Был на сайте: 7 лет 4 месяцев назад
Зарегистрирован: 22.03.2008 - 22:15
Публикации: 54876

Продолжение.

Приложения: 
111019-3205.jpg111019-3206.jpg111019-3208.jpg111019-3209.jpg111019-3210.jpg111019-3213.jpg111019-3214.jpgdsch30070.jpgdsch30071.jpg