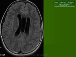
ГМ. Киста прозрачной перегородки. +

Киста прозрачной перегородки.

 

DRY аватар
DRY
Не на сайте
Был на сайте: 3 месяцев 1 неделя назад
Зарегистрирован: 31.10.2011 - 14:56
Публикации: 3

А нельзя ли назвать кисту прозрачной перегородки V-желудочком?

Nela аватар
Не на сайте
Был на сайте: 6 лет 4 месяцев назад
Зарегистрирован: 12.05.2009 - 20:43
Публикации: 1847

Можно.

DRY аватар
DRY
Не на сайте
Был на сайте: 3 месяцев 1 неделя назад
Зарегистрирован: 31.10.2011 - 14:56
Публикации: 3

Дак зачем пугать людей таким "страшным" заключением как " киста прозрачной перегородки" не лучше ли писать вариант развития -открытый V-желудочек?

Катенёв Валентин Львович аватар
Не на сайте
Был на сайте: 7 лет 4 месяцев назад
Зарегистрирован: 22.03.2008 - 22:15
Публикации: 54876

 

Арахноидальная киста, в том числе и киста прозрачной перегородки мозга диагностируется при проведении МРТ. Чтобы представить что представляет собой эта киста нужно рассмотреть строение слоев покрытия головного мозга. Состоит оно из трех слоев - твердой оболочки, паутинной, которую еще называют арахноидальной, и жидкостной, которая непосредственно окружат мозг.

Арахноидальная киста представляет собой заполненную жидкостью полость в арахноидальной оболочке. Происхождение такой кисты бывает первичное и вторичное, причиной которого могут быть:
  • перенесенные заболевания
  • сотрясения мозга
  • воспаление оболочек мозга
  • травмы
  • кровоизлияния.
Прозрачная перегородка представляет собой мозговое вещество, которое состоит из двух очень тонких пластиночек. Разделяет их щелевидная полость, которая располагается между мозолистого тела и передней частью мозга. Собственно, киста прозрачной перегородки мозга - это скопление жидкости между пластинками, о которых мы сейчас упоминали. Киста прозрачной перегородки является одной из разновидностей арахноидальной кисты, которая локализована в строго определенном месте мозга.
Кисту прозрачной перегородки современная медицина не относит к разряду патологических отклонений и считает ее аномалией, не представляющем никакой угрозы для жизни больного вариантом анатомического строения мозга. Конечно-же это относится к случаям врожденной кисты прозрачной перегородки мозга, коротая протекает безсимптомно, жалоб у больного не вызывает и лечения не требует.
Если же киста является результатом перенесенных травм или заболеваний, она может стать причиной:
  • шумов в голове
  • болевых ощущений
  • чувства сдавленности
  • потерей слуха.
 В таком случае необходимо обследование и проведение назначенного врачом лечения, т. к. неконтролируемое разрастание приобретенной кисты может стать причиной нарушений функционирования мозга.
molotokmmm аватар
Не на сайте
Был на сайте: 9 лет 1 месяц назад
Зарегистрирован: 18.07.2012 - 20:07
Публикации: 33

а как по автору эта киста называется? 

nnemo аватар
Не на сайте
Был на сайте: 11 лет 4 месяцев назад
Зарегистрирован: 13.09.2011 - 18:32
Публикации: 561

molotokmmm wrote:

а как по автору эта киста называется? 

полость Vergae

 

...."Киста прозрачной перегородки является одной из разновидностей арахноидальной кисты, которая локализована в строго определенном месте мозга"....

 

P.S. не знал, что эту кисту можно считать арахноидальной... как то сомнительно....