Инвертированная переходно-клеточная папиллома (син.: папиллома Шнейдера, эпителиальная папиллома, сосочковая фиброэпителиома, папиллярный синусит, цилиндроклеточная папиллома, папиллома из респираторного эпителия) — редкая, но характерная для полости носа и его синусов доброкачественная опухоль, составляющая около 0,5 % от находок всех новообразований носа. Она чаще встречается у мужчин, преимущественно на пятом-шестом десятилетии жизни. Обычно односторонняя, эта опухоль бывает одиночной и множественной. Как правило, она возникает на боковой стенке полости носа, а также в околоносовых пазухах: гайморовой полости, решетчатом лабиринте, изредка в лобной и основной пазухах. При сочетанном поражении локализацию первичного узла установить практически невозможно. Из полости носа опухоль может врастать в околоносовую пазуху и наоборот. Пациенты обычно жалуются на заложенность носа, выделения, носовые кровотечения, боль в области лицевого нерва. Иногда в зоне опухолевого роста происходит разрушение костной ткани. Чаше всего страдают стенки гайморовой пазухи. Но опухоль может расти и в других направлениях, разрушая стенку неба, стенки глазницы или кости основания черепа. Рецидивы опухоли могут возникать через 5—10 лет. Примерно у 5% больных инвертированная переходно-клеточная папиллома способна превращаться в рак после долголетнего доброкачественного течения. Метастазы не наблюдаются.
Макроскопически мягкая, со складками, опухоль имеет дольчатое, сосочковое строение, шероховатую поверхность. Цвет ее ткани варьирует от розового до желто-красного. Инвертированная переходно-клеточная папиллома рецидивирует в 75 % случаев, если проведена локальная эксцизия. Для оптимального лечения при локализации опухоли на боковой стенке носовой полости рекомендуется боковая ринотомия и срединная резекция верхней челюсти. Если такая папиллома малигнизируется, то ее клиническое течение становится более агрессивным.
Под микросколом поверхность опухоли неровная из-за множества глубоких щелей и складок. Они покрыты толстым слоем эпителия, напоминаюшего выстилку мочевыводяших путей. В нем можно различить три зоны. Сравнительно узкая базальная зона состоит из мелких и темных клеток. Большинство из них имеют слегка вытянутую форму и своей длинной осью лежат перпендикулярно к слабо развитой базальной мембране. Подлежащая соединительная ткань местами вдается в эпителий, образуя сосочки, богатые капиллярами. Промежуточная зона представлена крупными светлыми клетками, образующими много слоев. Их ядра обладают круглой или слегка неправильной формой, а прилегающий к ядру участок цитоплазмы кажется оптически пустым. Чем ближе к поверхности, тем крупнее и светлее эпителиоциты и тем лучше выявляются межклеточные границы. Наконец, самая узкая и не везде выраженная зона состоит из уплощенных клеток с оксифильной цитоплазмой и гиперхромными ядрами. Кроме того, эпителий папилломы образует множество выростов в подлежащую соединительную ткань. Эпителиальные пласты в некоторых участках опухоли окаймлены призматическим эпителием или имеют в центре просвет, ограниченный призматическими клетками, секретирующими слизь. Микрокисты с небольшим количеством муцина или нейтрофилов могут быть разбросаны по всему неопластическому эпителию. Фигур митоза мало, и они встречаются в базальной зоне опухолевого эпителия. Ядерный полиморфизм наблюдается приблизительно в 10 % случаев. Фиброзная строма может быть отечной, рыхлой, богатой капиллярами и незначительно инфильтрированной лимфоцитами и плазматическими клетками. Иногда встречаются лимфоидные фолликулы. Нормальных желез в строме нет.
При малигнизации, прежде всего, происходит гиперплазия базальных клеток. Они приобретают удлиненную форму, вытесняют выше лежащие клетки и усиленно делятся митозом. Затем в поверхностной зоне появляются очаги дисплазии. Возрастают стратификация (многослойность эпителия), полиморфизм и митотическая активность эпителиоцитов. Когда весь эпителиальный пластзамещается полиморфными и атипичными клетками, речь идет о карциноме in situ. Последняя может иметь веретеноклеточный характер или, при очень резко выраженном полиморфизме и появлении отдельных одноядерных гигантских клеток, бовеноидный характер. Во всех вариантах карциномы in situ базальная мембрана сохраняется на всем протяжении.
Инвертированную переходно-клеточную папиллому нужно дифференцировать от антрального хоанального полипа плоскоклеточного рака и аденокарциномы.
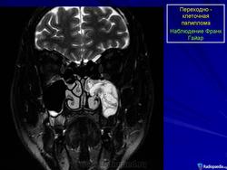
Переходно-клеточная папиллома.
Инвертированная переходно-клеточная папиллома (син.: папиллома Шнейдера, эпителиальная папиллома, сосочковая фиброэпителиома, папиллярный синусит, цилиндроклеточная папиллома, папиллома из респираторного эпителия) — редкая, но характерная для полости носа и его синусов доброкачественная опухоль, составляющая около 0,5 % от находок всех новообразований носа. Она чаще встречается у мужчин, преимущественно на пятом-шестом десятилетии жизни. Обычно односторонняя, эта опухоль бывает одиночной и множественной. Как правило, она возникает на боковой стенке полости носа, а также в околоносовых пазухах: гайморовой полости, решетчатом лабиринте, изредка в лобной и основной пазухах. При сочетанном поражении локализацию первичного узла установить практически невозможно. Из полости носа опухоль может врастать в околоносовую пазуху и наоборот. Пациенты обычно жалуются на заложенность носа, выделения, носовые кровотечения, боль в области лицевого нерва. Иногда в зоне опухолевого роста происходит разрушение костной ткани. Чаше всего страдают стенки гайморовой пазухи. Но опухоль может расти и в других направлениях, разрушая стенку неба, стенки глазницы или кости основания черепа. Рецидивы опухоли могут возникать через 5—10 лет. Примерно у 5% больных инвертированная переходно-клеточная папиллома способна превращаться в рак после долголетнего доброкачественного течения. Метастазы не наблюдаются.
Макроскопически мягкая, со складками, опухоль имеет дольчатое, сосочковое строение, шероховатую поверхность. Цвет ее ткани варьирует от розового до желто-красного. Инвертированная переходно-клеточная папиллома рецидивирует в 75 % случаев, если проведена локальная эксцизия. Для оптимального лечения при локализации опухоли на боковой стенке носовой полости рекомендуется боковая ринотомия и срединная резекция верхней челюсти. Если такая папиллома малигнизируется, то ее клиническое течение становится более агрессивным.
Под микросколом поверхность опухоли неровная из-за множества глубоких щелей и складок. Они покрыты толстым слоем эпителия, напоминаюшего выстилку мочевыводяших путей. В нем можно различить три зоны. Сравнительно узкая базальная зона состоит из мелких и темных клеток. Большинство из них имеют слегка вытянутую форму и своей длинной осью лежат перпендикулярно к слабо развитой базальной мембране. Подлежащая соединительная ткань местами вдается в эпителий, образуя сосочки, богатые капиллярами. Промежуточная зона представлена крупными светлыми клетками, образующими много слоев. Их ядра обладают круглой или слегка неправильной формой, а прилегающий к ядру участок цитоплазмы кажется оптически пустым. Чем ближе к поверхности, тем крупнее и светлее эпителиоциты и тем лучше выявляются межклеточные границы. Наконец, самая узкая и не везде выраженная зона состоит из уплощенных клеток с оксифильной цитоплазмой и гиперхромными ядрами. Кроме того, эпителий папилломы образует множество выростов в подлежащую соединительную ткань. Эпителиальные пласты в некоторых участках опухоли окаймлены призматическим эпителием или имеют в центре просвет, ограниченный призматическими клетками, секретирующими слизь. Микрокисты с небольшим количеством муцина или нейтрофилов могут быть разбросаны по всему неопластическому эпителию. Фигур митоза мало, и они встречаются в базальной зоне опухолевого эпителия. Ядерный полиморфизм наблюдается приблизительно в 10 % случаев. Фиброзная строма может быть отечной, рыхлой, богатой капиллярами и незначительно инфильтрированной лимфоцитами и плазматическими клетками. Иногда встречаются лимфоидные фолликулы. Нормальных желез в строме нет.
При малигнизации, прежде всего, происходит гиперплазия базальных клеток. Они приобретают удлиненную форму, вытесняют выше лежащие клетки и усиленно делятся митозом. Затем в поверхностной зоне появляются очаги дисплазии. Возрастают стратификация (многослойность эпителия), полиморфизм и митотическая активность эпителиоцитов. Когда весь эпителиальный пластзамещается полиморфными и атипичными клетками, речь идет о карциноме in situ. Последняя может иметь веретеноклеточный характер или, при очень резко выраженном полиморфизме и появлении отдельных одноядерных гигантских клеток, бовеноидный характер. Во всех вариантах карциномы in situ базальная мембрана сохраняется на всем протяжении.
Инвертированную переходно-клеточную папиллому нужно дифференцировать от антрального хоанального полипа плоскоклеточного рака и аденокарциномы.