Пришла девица-красивица, результат флюорографии попросила.
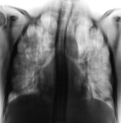
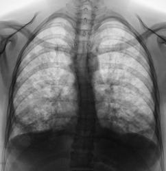
Результат выдали. Первая "флюшка" за апрель 2011 год, вторая - март 2012 год.
Оказалось, что у "девицы-красавицы" на УЗИ выявили кисту правого яичника. Вот она, перед поступлением в гинекологическое отделение, как пишет "книжка", и взяла результат флюорографии для подклейки в историю болезни.
Операция, со слов лечащего врача, прошла успешно, но через 5 дней после операции (пациентка находилась в реанимации) у ней появились сильные боли в пояснице.
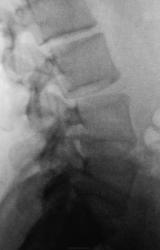
И вот, с обоснованием в истории болезни, пациентку на "носилках" доставили в рентгеновский кабинет для рентгенографии поясничного отдела позвоночника. Исследование было проведено в положении лёжа.
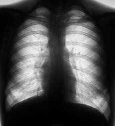
Потом, правда, лечащий доктор попросил, чтобы на всякий случай сделали "снимочек ОГК", так как пациентка подкашливает, да и "температурка" чуть выше 37 градусов.
Ну, сделали "рентгенограммку"...
По лёгким на первое место выставил бы отёк, что дают анализы?
Нет никакой клиники отека, никакой другой клиники. Терапевты ничего не слыщат, два дня тому аускультативно - жесткое дыхание, температура - в среднем 37,2. Кашель, откашливается скудная зеленоватая мокрота. По дренажам отделяемое, которое гинеколог оценивает как обычное.
Основная жалоба пациентки - боли в пояснице.
Сначала подумала, что был подлог. Но позвоночник ее. Это самое подкашливание, по-моему, ТВС, со времени последней ФГ всякое может быть. А вот если ли специфическое поражение почек? Боли в пояснице могут быть не только неврологического характера. Хотя межсуставная часть дужки между 2 и 3 позвонками порозна.
УЗИ почек и мочевого пузыря делали сегодня. Врач УЗИ говорит, что все спокойно.
Вы думаете, что в лёгких ТБС?
Навряд ли это оно судя по отсутствию клиники, но я глянув на снимки тоже в первую очередь подумала о казеозной пневмонии
Эх, доктора Хауса бы сюда. ВИЧа нету? Саркоидоз? Быстро слишком? Фиброзирующий альвеолит? Клиники нет? Черт. Я потерялась. Но это обострение чего-то старого, мне кажется.
Я тоже о казеозной подумал. Но "казеозная" - дама яркая, а туточки - клиника, ну тухлая, серенькая, скромненькая, на уровне "нулика".
На хрена нам Хаус?
(Haus - по - немецки - дом). Загнулся бы Хаус в наших условиях...
ВИЧ у пациентки не зарегистрирован, хотя дама молодая, довольно соблазнительная, прекрасных форм...
А, почему обострение старого? На флюшках что узрели?
Скажите, пожалуйста, какой вид анестезии был при оперативном вмешательстве?
Анатолий Петрович
Вначале подумал пневмония (аспирационная). Не знаем, какие делали манипуляции в реанимации. Может быть и септическая пневмония, в том случае если был гнойный источник в месте операции. Клиники пневмониии может не наблюдаться из-за возможного получения НПВС по поводу болей в пояснице. Что касается казеозной бронхолобулярной пневмонии, то здесть клиника всегда выраженная и НПВС мало на что влияет. Дело за клиницистами, которые получив ренгенологические данные должны выставить диагноз по результатам комплексного исследования. Не следует забывать и о лекарственном поражении легких.
Как то видела подобную картину в легких у мужчины 40ка лет. Оказалась миеломная болезнь. Мужик здоровый, сильный сгорел за 2 недели. Жалоб в начале заболевания был минимум- умеренные боли в спине, а картина в ллегких была очень похожа на эту. Я еще тогда поразилась несоответствию такой катастрофе в легких и абсолютно здоровому внешнему виду...
Затруднясь сейчас, но завтра узнаю.
"Гнойного источника" враде не было. Анальгетиков (по поводу позвоночника) не назначали, решили, что сначала надо сделать рентгенографию поясничного отдела.
Да, Вы правы коллега по поводу клиники классической казеозной пневмонии, ведел не много пациентов с этой нозологией, но видел..., клиника для казеозной, в данном случае, совсем не характерная.
По поводу клиницистов - клиницисты в тупике, по последнему анализу крови - значительный лейкоцотоз, СОЭ - 45.
Лейкоцитоз, высокое СОЭ; приходится думать о воспалительном процессе. Если была эпидуральная анестезия, то боли в поясничной области можно было бы объяснить наличием эпидурита. Изменения в легких: тоже подумал о многоликом саркоидозе... Хотя, не исключается и атипичная пневмония.
Анатолий Петрович
Боли в пояснице весьма объяснимы ступенчатой комбинацией ретролистезов поясничных позвонков.
А не может это быть респираторный дистресс-синдром взрослых? Что там с сатурацией?
Меня, что смущает? Не томограммы, нет, меня сильно смущает "обзорная"...
И те изменения в легких, которые не позволяют разглядеть не только "корни лёгких", но и саму "сердечную тень", интересно почему?
Кстати да, где сердце
Пусть назначат антибиотики. Ранние признаки спондилодисцита невозможно разглядеть доже на таких приличных спондилограммах. Смущают диски Д11-Д12 и Л5-S1. Нужно уточнить локализацию болей в пояснице. Так как МРТ и КТ недоступны, можно попробовать линейные томограммы, но лучше недели через 2-3, тогда станет виднее. А пока назначить антибиотики.
В лёгких застой и гиповентиляция. Пусть занимается дыхательной гимнастикой на фоне техже антибиотиков. Когда получится вдохнуть поглубже, сделаете контроль. А клиницистам передайте, пусть не отчаиваются и назначат антибиотики.
Да, где?
А, может быть "отсутствие тени" сердца и корней имеет какое-либо диагностическое значение?
Странные у вас клиницисты. Помоему обычная пневмония, очаговая с тенденцией к слиянию очагов в нижних долях. Количество их нарастает по направлению книзу. Лечить антибиотиками. С контролем. Сколиоз большой, сердце развернулось, прикорневая инфильтрация. возможно есть ателектатический компонент. Но имхо нету.
P.S. нам говорили сегодня, что для довольно серьезных случаев берегут фторхинолоны, типа антибиотики резерва.
Не ограничивайте свою мысль
Живешь пока учишься
Ecrasez l’infame
Резко усилен лёгочный рисунок в верхних, средних и нижних полях с обеих сторон, обогащён за счёт очаговоподобных теней без чётких контуров. Корни лёгких расширены, малоструктурны. Дуги соr нечёткие за счёт суперпозиции изменённого лёгочного рисунка. Анамнез.
Отёк лёгких?
Оказалось, что у "девицы-красавицы" на УЗИ выявили кисту правого яичника. Вот она, перед поступлением в гинекологическое отделение, как пишет "книжка", и взяла результат флюорографии для подклейки в историю болезни.
Операция, со слов лечащего врача, прошла успешно, но через 5 дней после операции (пациентка находилась в реанимации) у ней появились сильные боли в пояснице.
Раньше ничем не болела, жалоб не предъявляла.
Боли в пояснице связывает с тяжелой работой.
Клинических данных, в настоящее время, за отёк нет.
ИМХО: с учётом всей информации больше похоже на пневмонию ( в принципе, синдром внутилёгочной диссеминации). Проводить дифдиагностику с
-респиратоным дисстресс-синдромом
-гирперреактивным пневмонитом
-диссеминированным туберкулёзом лёгких, т.к. последее ФЛО исследование лёгких от 12.03.2012г, за это время много могло чего произойти( хотя верхушки не задеты)
-лёгочной формой саркоидоза.
Мне думается так:
1. Искать аллергический компанент с легоным проявлением
2. Пневмония
3. Отек легких
4. Все ровно пригласить фтизиатора
А фтизиатра для чего приглашать?
И еще мне показалось, что у нее прогрессирует сколиоз.
Чтобы перестраховаться, вдруг молниеностная форма. Это лишь предупреждение, больше для прокурора.
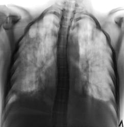
Флюшка делалась, когда пациентка была здоровенькая в ортоположении.
Рентгенограмма и томограммы произведены были в положении лежа, и поза у пациентки вынужденная, она действительно не может лежать на спине, болевой синдром, лежа на спине действительно очень сильный. По всей видимости, "прогрессирование сколиоза", больше вызвано анталгической позой.
Самая молниеносная форма, там где нужен фтизиатр - это казеозная пневмония (или милиарный?). Вам кажется, что в этом случае "это" имеет место быть?
Ну если "для прокурора", то прокуроров не хватит с учетом возможных перестраховок.
для сугреву)
Не ограничивайте свою мысль
Живешь пока учишься
Ecrasez l’infame
Так и без "сугреву" довольно жарко, девица то весьма молодая..., а если летальный исход, так быть пожару в самом прямом смысле.
мне импонирует версия альвеолита.
http://alcala.ru/medicinskaya/slovar-A/101524.shtml
Избаловали Вы их красивыми томограммами, боковыми рентгеногаммами. Они и не хотят напрягаться. Одна надежда на рентгенолога. Эх, меня там нет сейчас!
Хорошая версия, очень хорошая версия, НО на томограммах, по всей видимости, распад уже виден.
Так клиники характерной для альвеолита нет.
настораживает и даже очень. Тяжеленные операции делают в этой области у пациентов и в реанимацию не все попадают. Сутки не более и в палату. Что-то тут не так.
Вы не правы коллега! Вы всегда рядом!
...., а если предположить, что пациентка оказалась ВИЧ-инфицированной?
Точно. Не понятно: почему спина болит, что с дужкой L3, почему раздутый кишечник весь в малом тазу...
"самоуверенность дилетантов - предмет зависти профессионалов"
Вот нашел чуть похожее...
Диссеминированные поражения легких, учитывая их разнообразную этиологию, поражения внутренних структур легких, как правило, не связанных с трахеобронхиальным деревом и плевральной полостью, представляют собой одну из наиболее сложных диагностических задач в пульмонологии.
Ведущим инструментальным методом диагностики является рентгенография органов грудной клетки в двух проекциях, проводимая в динамике. Для установления природы заболевания необходима тщательная оценка величины выявленных очагов затемнения, их однотипности или полиморфной равномерности и симметрии рассеивания, преимущественной локализации, сочетания с другими патологическими изменениями (увеличение внутригрудных лимфатических узлов, наличие утолщений плевры или свободной жидкости в плевральной полости, эмфизема, изменение контуров сердца и состояния сосудов). Необходим тщательный анализ доступного рентгенологического архива больного, особенное ориентировочное диагностическое значение. Так, для милиарного туберкулеза легких характерна двусторонняя тотальная мелкоочаговая мономорфная диссеминация, нередко трудно отличимая от усиленного и деформированного легочного рисунка; для подострого диссеминированного туберкулеза — средне - и крупноочаговая диссеминация с наибольшей густотой в верхних и прикорневых отделах легких и тенденцией к слиянию очагов (рис. 2). В последнем случае рентгенологические симптомы заболевания получили образное название картины по типу "снежной бури". Хронический диссеминированный туберкулез легких отличается полиморфной диссеминацией, для которой характерно наличие более старых и интенсивных очагов в верхних отделах легких, а относительно молодых очагов средней и малой интенсивности без четких контуров — в средних (рис. 3). На этом фоне часто образуются полости распада.
Рис. 2. Рентгенограмма больного Н., 35 лет, в прямой проекции. Определяются крупные полиморфные очаговые затемнения без четких контуров с тенденцией к слиянию, преимущественно в прикорневой области, средних и верхних легочных полях — картина "снежной бури". Подострый диссеминированный туберкулез легких
Рентгенологическая картина септических поражений легких и ракового лимфангоита отличается диссеминацией с локализацией преимущественно в средних и нижних отделах легких. При этом для сепсиса характерна картина диссеминации по типу "снежной бури" (рис. 4), а для ракового лимфангоита — мелкая мономорфная диссеминация. Метастатическое поражение легких проявляется наличием достаточно больших, четко очерченных округлых теней, преимущественно в базальных и средних отделах легких, которые лучше всего кровоснабжаются. При этом нередко встречаются также одиночные метастатические узлы в легких.
Рис. 3. Рентгенограмма больного С., 43 лет, в прямой проекции. В обоих легких, преимущественно в верхних и средних легочных полях, определяются полиморфные очаговые затемнения различной интенсивности с тенденцией к слиянию. В верхних долях формируется несколько полостей распада. Хронический диссеминированный туберкулез легких
Рис. 4. Рентгенограмма больного К., 26 лет, в прямой проекции. В обоих легких определяются полиморфные мелко- и среднеочаговые затемнения, преимущественно в средних и нижних легочных полях, больше слева. Стрептококковый сепсис
Рис. 5. Рентгенограмма больной Г., 55 лет, в прямой проекции. Определяется тотальная двусторонняя мелкоочаговая диссеминация с некоторым преобладанием в базальных отделах. Идиопатический фиброзирующий альвеолит
Интерстициальные заболевания легких имеют свои характерные рентгенологические изменения. Так, идиопатический фиброзирующий альвеолит вначале проявляется усилением и деформацией легочного рисунка, затем определяется двусторонняя мелкоочаговая диссеминация, преимущественно в средних и базальных отделах легких (рис. 5).
С течением времени очаги затемнения становятся более крупными, некоторые из них сливаются, образуя инфильтраты (рис. 6). В дальнейшем на фоне грубых фиброзных и пневмосклеротических изменений появляются кистоподобные просветления диаметром от 0,5 см до 2 см. Такая рентгенологическая картина заболевания, напоминающая пчелиные соты, получила образное название "сотового легкого" (рис. 7).
Рис. 6. Рентгенограмма больного В., 56 лет, в прямой проекции. Определяются полиморфные инфильтративные затемнения, преимущественно в базальных отделах легких, больше справа. Высокое стояние обоих куполов диафрагмы. Идиопатический фиброзирующий альвеолит
Рис. 7. Рентгенограмма больного Ч., 61 года, в прямой проекции. Двусторонняя мелкоочаговая диссеминация с просветлениями внутри очагов на фоне пневмосклеротических и фиброзных изменений — картина сотового легкого. Идиопатический фиброзирующий альвеолит
Вот ещё нашел
Казеозная пневмония – это специфическая пневмония, характеризующаяся нарастающими казеозно-некротическими изменениями и тяжелым, быстро прогрессирующим, нередко с летальным исходом течением.
В структуре заболеваемости туберкулезом органов дыхания составляет около 0,5 %.
Патогенез. Возникновению этой тяжелой формы туберкулеза способствует резкое снижение иммунитета (недоедание, алкоголизм, наркомания, ВИЧ/СПИД и др.), высокая вирулентность и бурное размножение микобактерий, выраженная эндогенная интоксикация, приводящая к апоптозу – гибели иммунокомпетентных клеток, главным образом лимфоцитов, что в свою очередь, обусловливает еще более выраженный иммунодефицит.
Патологическая анатомия. Казеозная пневмония имеет большую протяженность – больше доли до субтотальной. Доминирует экссудативно-некротическая реакция с быстрым гнойным расплавлением, образованием множества острых полостей без наклонности к отграничению; при слиянии которых образуются гигантские полости. В стенках полостей скопления МБТ и стафилококков.
Клиника. Казеозной пневмонией обычно болеют социально дезадаптированные люди (бомжи, алкоголики, наркоманы, одинокие). Подавляющее большинство составляют мужчины.
Заболевание начинается остро с ярко выраженных симптомов интоксикации: температура повышена до 39-40ОС, нередко имеет гектический характер с профузными потами, выраженная слабость, отсутствие аппетита, быстрое похудение; у ¼ больных отмечается оглушенность, спутанность сознания, неадекватность поведения, психомоторное возбуждение. Беспокоит кашель с мокротой, количество которой может доходить до 200-250 мл и более, у части больных может выделяться большое количество зловонной мокроты. Одышка в покое, на поздних стадиях у некоторых больных доходящая до удушья. У некоторых больных наблюдается профузный понос. Состояние больных тяжелое, может быть адинамия, пассивное положение в постели. Исхудание до кахексии. Над пораженными отделами легких притупление перкуторного звука до тупости, ослабленное дыхание с бронхиальным оттенком, позже множество разнокалиберных звучных хрипов. Пульс резко учащен, слабого наполнения. АД низкое, имеется склонность к коллапсу, нарушению микроциркуляции, ДВС-синдрому. Могут быть отеки на ногах. Могут быть оболочечные симптомы.
Рентгенологически - обширная инфильтрация обычно в верхних и средних отделах обоих легких до субтотального поражения, множество полостей разного диаметра до гигантских, обсеменение в нижних отделах по типу "снежной бури".
Казеозная пневмония. Передне-задняя рентгенограмма органов грудной клетки
В мокроте обилие МБТ, могут быть обнаружены эластические волокна. Иногда в первые 2-3 недели заболевания МБТ не обнаруживаются.
В анализе крови вначале изменения могут быть небольшими, затем становятся выраженными: анемия, анизоцитоз, пойкилоцитоз; лейкоцитоз (11 - 15·109/л) со сдвигом влево до 20-25 % палочкоядерных и появления молодых форм нейтрофилов; нередко отмечается токсическая зернистость нейтрофилов; у всех больных наблюдается лимфопения; СОЭ увеличена до 30 - 60 мм/час.
-------------
Карциноматоз(метастатический рак по типу карциноматоза). Первичная локализация опухоли чаще всего: бронх, почки, поджелудочная, молочная железа, матка. Оттуда клетки опухоли распространяются лимфогенным, гематогенным путем. Характеризуется общим тяжелым состоянием больных, болезнь быстро прогрессирует. Жалобы – боль в грудной клетке, одышка, цианоз, сухой кашель, кровохарканье, нарастающая слабость. Наблюдаются истощение, адинамия при нормальной или субфебрильной температуре. Проба Манту отрицательная или слабо положительная. Если развивается плеврит жидкость серозно-геморрагического характера.
Рентгенологически: в средних и нижних отделах (верхушки чистые) определяются мелкие милиарные, средние и большие очаги. Очаги часто круглой формы, разной величины, с четкими контурами (рис.10).
рис.10. Метастатический карциноматоз
Вчера пациентка была переведена в инфекционное отделение
Ответ на вопрос.
Наркоз был эндотрахеальным.
Сепсис + септическая пневмония.
Хочешь сделать что-то нормально - сделай это сам!
Сепсис + септическая пневмония.
-----------------------------------------------------------------------------------------------------------------------------------------------------------------
Скиологическая картина с учётом анамнеза заболевания укладывются в это- клиника не укладывется, т.к. при сесписе+септической пневмонии пациента была бы тяжелая по состоянию, с лихорадкой 39-40 градусов.
Не обязательно. Ее же лечат)))))))))))
Остроту процесса могли "задавить".
Мы же не знаем, зачем ее в реанимации 5 дней держали?
У меня в практике был пациент, лежал в терапии по поводу лихорадки неясного генеза. Неделю лечили ХЗ что, пока на обз ОГК не нашли картину, подобную представленной ТС. В итоге на КТ абсцесс почки, септическая пневмония и т.п. При этом мужик САМОСТОЯТЕЛЬНО неделю ходил на все консультации и обследования.
Хочешь сделать что-то нормально - сделай это сам!
Всё таки 37,2 градуса ( у данной пациентки) это ещё не лихорадка (как в вашем случае). Но надо сейчас думать, как потвердить или исключить вашу версию... Во всяком случае, она имеет право быть в диф.диагностическом ряду, с ней надо работать...
Случай сложный, но из всего озвученного и остроты процесса инфекция keit всего подходит, только клиника не подходит. Будем верить, что будет хэппи энд.