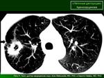
КТ ОГК, прошу помочь с интерпретацией изменений в легких.

Поступил тяжелый мужчина 1957 года рождения, кахексия, брадикардия. На Д-учёте не состоял, пьющий. Что думаете, уважаемые коллеги?

                

   

  • https://radiomed.ru/sites/default/files/styles/case_slider_image/public/user/16789/ma01.jpg?itok=e4_N76Tk
  • https://radiomed.ru/sites/default/files/styles/case_slider_image/public/user/16789/ma02.jpg?itok=vSTz-4tk
  • https://radiomed.ru/sites/default/files/styles/case_slider_image/public/user/16789/ma03.jpg?itok=8c0gODFb
  • https://radiomed.ru/sites/default/files/styles/case_slider_image/public/user/16789/ma04.jpg?itok=qHAPWwBL
  • https://radiomed.ru/sites/default/files/styles/case_slider_image/public/user/16789/ma05.jpg?itok=8xfDt7Q6
  • https://radiomed.ru/sites/default/files/styles/case_slider_image/public/user/16789/ma06.jpg?itok=cY0wOT_s
  • https://radiomed.ru/sites/default/files/styles/case_slider_image/public/user/16789/ma07.jpg?itok=qF-XwPtp
  • https://radiomed.ru/sites/default/files/styles/case_slider_image/public/user/16789/ma08.jpg?itok=x0fZULad
  • https://radiomed.ru/sites/default/files/styles/case_slider_image/public/user/16789/ma09_0.jpg?itok=V2d3c8me
  • https://radiomed.ru/sites/default/files/styles/case_slider_image/public/user/16789/ma10.jpg?itok=fPJRwsCx
  • https://radiomed.ru/sites/default/files/styles/case_slider_image/public/user/16789/ma11.jpg?itok=03p7fINg
  • https://radiomed.ru/sites/default/files/styles/case_slider_image/public/user/16789/ma12.jpg?itok=wa7d7iUg
  • https://radiomed.ru/sites/default/files/styles/case_slider_image/public/user/16789/ma13.jpg?itok=CwPez4Bp
  • https://radiomed.ru/sites/default/files/styles/case_slider_image/public/user/16789/ma14.jpg?itok=ZSeB34in
  • https://radiomed.ru/sites/default/files/styles/case_slider_image/public/user/16789/ma15.jpg?itok=qXDW3uvK
  • https://radiomed.ru/sites/default/files/styles/case_slider_image/public/user/16789/ma16.jpg?itok=UWgJjTB3
  • https://radiomed.ru/sites/default/files/styles/case_slider_image/public/user/16789/ma17.jpg?itok=Y6pVG4AI
  • https://radiomed.ru/sites/default/files/styles/case_slider_image/public/user/16789/ma18.jpg?itok=0o4YXt0O
  • https://radiomed.ru/sites/default/files/styles/case_slider_image/public/user/16789/ma19.jpg?itok=cnQ45BLY
  • https://radiomed.ru/sites/default/files/styles/case_slider_image/public/user/16789/ma20.jpg?itok=Mp0BFPTk
ID:49283
НАДЕЖДА ЮРЬЕВНА аватар
Не на сайте
Был на сайте: 7 лет 3 месяцев назад
Зарегистрирован: 30.07.2012 - 13:14
Публикации: 360

Больной сельский, со слов медработника ФАПа  жена больгоно умерла от ТБ, не состояла на учете, тоже была пьющая. Так может справа мелкая туберкуломка, давшая отсев. Поступил с подозрением на инсульт, если бы не неврологическая симптоматика, навряд ли сам пришел в больницу (с изменениями в легких).

Приложения: 
img-0001-00001.jpgimg-0002-00001.jpgimg-0003-00001.jpgimg-0004-00001.jpgimg-0005-00001.jpg
Vikkur аватар
Не на сайте
Был на сайте: 4 года 11 месяцев назад
Зарегистрирован: 24.09.2009 - 14:34
Публикации: 1749

Когда один нативе трудно что то разобрать)) особенно обычным рентгенологам. Да и без архива...Пока похоже на пневмонию и туберкулому.

Виктор.

И.Бондаренко аватар
Не на сайте
Был на сайте: 1 день 1 час назад
Зарегистрирован: 13.09.2011 - 22:55
Публикации: 9210

Какие показатели плотности образования справа? Проводили ли контрастирование? Хотелось увидеть сканы в другом окне. Изменения интерстициальные, ДД пневмония, ТБЦ, наблюдение.

А. Горюнов аватар
Не на сайте
Был на сайте: 5 месяцев 1 день назад
Зарегистрирован: 07.10.2012 - 12:12
Публикации: 2744

Без изображений во втором  окне (средостенном режиме) можно предполагать   многое. Справа в нижней доле (S10) пневмония. Наличие небольшого количества жидкости в плевральных полостях, больше справа. Признаки "застоя" в задне-базальных отделах обоих легких, на фоне которых предполагаются мелкие очаговые образования. В таких случаях проводиться методика сканирования ОГК на животе для исключения синдрома гравитации и признаков застоя, улучшается визуализация легочного рисунка, исключается или подтверждается наличие очаговых изменений, оценка наличия жидкости в плевральных полостях.  Ждем дальнейших изображений.

Анатолий Петрович

НАДЕЖДА ЮРЬЕВНА аватар
Не на сайте
Был на сайте: 7 лет 3 месяцев назад
Зарегистрирован: 30.07.2012 - 13:14
Публикации: 360

Контрастирование не проводили, больной был  невменяемый (не ориентировался в обстановке). Легкие сделали для исключения онко- кахексия.

Приложения: 
img-0001-00001.jpgimg-0002-00001.jpgimg-0003-00001.jpgimg-0004-00001.jpgimg-0005-00001.jpgimg-0006-00001.jpgimg-0007-00001.jpgimg-0008-00001.jpgimg-0009-00001.jpgimg-0010-00001.jpgimg-0011-00001.jpgimg-0012-00001.jpgimg-0013-00001.jpg
А. Горюнов аватар
Не на сайте
Был на сайте: 5 месяцев 1 день назад
Зарегистрирован: 07.10.2012 - 12:12
Публикации: 2744

По нативным изображениям. ГМ: постишемические изменения с кистообразованием

в передних отделах правой теменной области, гидроцефалия смешанного типа. 

ОГК: туберкулема средней доли (S4) правого легкого, пневмония в нижней доле (S10) правого легкого,  

незначительный гидроторакс справа, коронароатеросклероз, перикардит? 

Анатолий Петрович

Катенёв Валентин Львович аватар
Не на сайте
Был на сайте: 7 лет 4 месяцев назад
Зарегистрирован: 22.03.2008 - 22:15
Публикации: 54876

Vikkur wrote:

 Да и без архива...Пока похоже на пневмонию и туберкулому.

А, "туберкулёма" довольно хреновая, на рачок похожа.

Nela аватар
Не на сайте
Был на сайте: 6 лет 4 месяцев назад
Зарегистрирован: 12.05.2009 - 20:43
Публикации: 1847

Справа в лобной доле изменения вероятно посттравматические. Что с анамнезом? Хотя он может и не признаться или не помнить. Выраженная энцефалопатия. Лакунарные инфаркты в базальных ядрах. Атрофический процесс.

В легких вероятно ТБЦ. Выраженный кальциноз коронарных артерий. Аневризма левого желудочка.

А. Горюнов аватар
Не на сайте
Был на сайте: 5 месяцев 1 день назад
Зарегистрирован: 07.10.2012 - 12:12
Публикации: 2744

Согласен: "туберкулема" некрасивая. При адекватном состоянии пациента в таком случае была бы показана пункционная биопсия.  

Анатолий Петрович

Катенёв Валентин Львович аватар
Не на сайте
Был на сайте: 7 лет 4 месяцев назад
Зарегистрирован: 22.03.2008 - 22:15
Публикации: 54876
НАДЕЖДА ЮРЬЕВНА аватар
Не на сайте
Был на сайте: 7 лет 3 месяцев назад
Зарегистрирован: 30.07.2012 - 13:14
Публикации: 360

Спасибо за комментарии, но я за диссеминациюsad.   Хоть и мало видела на СКТ   тбсных  больных еще, больной тяжелый, как сказала невролог за выходные он  умрет. Но учитывая  внешний вид- кахексию, анамнез- пьет постоянно, что можно и нельзя, результаты анализов еще не знаю, туб контакт. Если даже и помрет, то дианоз не установим точный. Паталогоанатом на учебе (никто его вскрывать и не будет), а заключение нарисовать надо.

Vikkur аватар
Не на сайте
Был на сайте: 4 года 11 месяцев назад
Зарегистрирован: 24.09.2009 - 14:34
Публикации: 1749

Для рачка чевой то плотность великова та - около костной, но это субъективно, гадание т.с

Виктор.

НАДЕЖДА ЮРЬЕВНА аватар
Не на сайте
Был на сайте: 7 лет 3 месяцев назад
Зарегистрирован: 30.07.2012 - 13:14
Публикации: 360

Плотность "раковая"- 10-23 едН ?, в кальцинатики не укладываетсяblush.

Андрей Юрьевич аватар
Не на сайте
Был на сайте: 2 месяцев 2 недели назад
Зарегистрирован: 16.11.2008 - 22:16
Публикации: 18101

НАДЕЖДА ЛИШИНА wrote:

Плотность "раковая"- 10-23 едН ?, в кальцинатики не укладываетсяblush.


Нет ни раковой, ни туберкулезной плотности.

Андрей Юрьевич

Андрей Юрьевич аватар
Не на сайте
Был на сайте: 2 месяцев 2 недели назад
Зарегистрирован: 16.11.2008 - 22:16
Публикации: 18101

НАДЕЖДА ЛИШИНА wrote:
...Спасибо за комментарии, но я за диссеминациюsad.   Хоть и мало видела на СКТ   тбсных  больных еще, больной тяжелый, как сказала невролог за выходные он  умрет. Но учитывая  внешний вид- кахексию, анамнез- пьет постоянно, что можно и нельзя, результаты анализов еще не знаю, туб контакт. Если даже и помрет, то дианоз не установим точный. Паталогоанатом на учебе (никто его вскрывать и не будет), а заключение нарисовать надо...

На представленных изображениях - картина внутрибронхиального распространения какой-то инфекции (центрилобулярные плотности). Это может быть туберкулез (за - наличие первичного узла), это  может быть бронхиолит с пневмонией (за - консолидация справа). Туберкулез можно исключить/подтвердить иммунодиагностикой (напр., Манту). Если пугает термин "бронхиолит" можно остановиться на "диффузной очаговой пневмонии" http://lekmed.ru/info/arhivy/differencialnyi-diagnoz-pnevmonii_9.html

Андрей Юрьевич

НАДЕЖДА ЮРЬЕВНА аватар
Не на сайте
Был на сайте: 7 лет 3 месяцев назад
Зарегистрирован: 30.07.2012 - 13:14
Публикации: 360

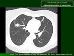
СКТ контроль через 10 дней. Получил курс  в течение 10 дней 2мя а/б в/в. Динамика слабая или нет? "Образование" подрассосалось и что получилось в итоге?

Приложения: 
img-0001-00001.jpgimg-0002-00001.jpgimg-0003-00001.jpgimg-0004-00001.jpgimg-0005-00001.jpgimg-0006-00001.jpgimg-0007-00001.jpgimg-0008-00001.jpgimg-0009-00001.jpgimg-0010-00001.jpgimg-0011-00001.jpgimg-0012-00001.jpgimg-0013-00001.jpgimg-0014-00001.jpgimg-0015-00001.jpgimg-0016-00001.jpg
А. Горюнов аватар
Не на сайте
Был на сайте: 5 месяцев 1 день назад
Зарегистрирован: 07.10.2012 - 12:12
Публикации: 2744

После а/б терапии признаки положительной динамики воспалительного процесса легких. Дальнейший динамический  КТ-контроль (если это возможно, т.к. были плохие прогнозы). 

Анатолий Петрович

НАДЕЖДА ЮРЬЕВНА аватар
Не на сайте
Был на сайте: 7 лет 3 месяцев назад
Зарегистрирован: 30.07.2012 - 13:14
Публикации: 360

Понятно, спасибо. А что с "образованием"- оно заместилось небольшой полостью или что это?

А. Горюнов аватар
Не на сайте
Был на сайте: 5 месяцев 1 день назад
Зарегистрирован: 07.10.2012 - 12:12
Публикации: 2744

Возможно наличие бронхоэктаза с частичным опорожнением содержимого; либо - формирование постпневмонического абсцесса.  Дальнейшая КТ динамика помогла бы разрешить и эту "загадку". 

Анатолий Петрович

алкс аватар
Не на сайте
Был на сайте: 10 лет 4 месяцев назад
Зарегистрирован: 24.10.2012 - 22:55
Публикации: 2915

Андрей Юрьевич wrote:

НАДЕЖДА ЛИШИНА wrote:
...Спасибо за комментарии, но я за диссеминациюsad.   Хоть и мало видела на СКТ   тбсных  больных еще, больной тяжелый, как сказала невролог за выходные он  умрет. Но учитывая  внешний вид- кахексию, анамнез- пьет постоянно, что можно и нельзя, результаты анализов еще не знаю, туб контакт. Если даже и помрет, то дианоз не установим точный. Паталогоанатом на учебе (никто его вскрывать и не будет), а заключение нарисовать надо...

На представленных изображениях - картина внутрибронхиального распространения какой-то инфекции (центрилобулярные плотности). Это может быть туберкулез (за - наличие первичного узла), это  может быть бронхиолит с пневмонией (за - консолидация справа). Туберкулез можно исключить/подтвердить иммунодиагностикой (напр., Манту). Если пугает термин "бронхиолит" можно остановиться на "диффузной очаговой пневмонии" http://lekmed.ru/info/arhivy/differencialnyi-diagnoz-pnevmonii_9.html

Просто и понятно, спасибо за методологическоую интерпретацию.

Андрей Юрьевич аватар
Не на сайте
Был на сайте: 2 месяцев 2 недели назад
Зарегистрирован: 16.11.2008 - 22:16
Публикации: 18101

Итак, пророк из невролога никакой, больной не умер. Картина стала яснее,  туберкулез отошел в сторону, осталась пневмония. А "образование" стало абсцессом. Просто абсцессом, т.к. не знаю, что такое "постпневмонический абсцесс". Судя по представленным изображениям, динамика вполне положительная.

Андрей Юрьевич

НАДЕЖДА ЮРЬЕВНА аватар
Не на сайте
Был на сайте: 7 лет 3 месяцев назад
Зарегистрирован: 30.07.2012 - 13:14
Публикации: 360

Может, в "образовании" появился распад? Нужен ли КТ-контроль и через какое время?

Приложения: 
26.10_i_7.11.jpg
Андрей Юрьевич аватар
Не на сайте
Был на сайте: 2 месяцев 2 недели назад
Зарегистрирован: 16.11.2008 - 22:16
Публикации: 18101

НАДЕЖДА ЛИШИНА wrote:
Может, в "образовании" появился распад?

Конечно распад. А как же еще образуются абсцессы?

Андрей Юрьевич

А. Горюнов аватар
Не на сайте
Был на сайте: 5 месяцев 1 день назад
Зарегистрирован: 07.10.2012 - 12:12
Публикации: 2744

Андрей Юрьевич wrote:

Итак, пророк из невролога никакой, больной не умер. Картина стала яснее,  туберкулез отошел в сторону, осталась пневмония. А "образование" стало абсцессом. Просто абсцессом, т.к. не знаю, что такое "постпневмонический абсцесс". Судя по представленным изображениям, динамика вполне положительная.

 

Классификация абсцессов и гангрены легких.

По патогенезу:

  • постпневмонический;
  • гематогенно-эмболический;
  • аспирационный;
  • травматический;
  • нагноение инфаркта легкого.

Анатолий Петрович

А. Горюнов аватар
Не на сайте
Был на сайте: 5 месяцев 1 день назад
Зарегистрирован: 07.10.2012 - 12:12
Публикации: 2744

НАДЕЖДА ЛИШИНА wrote:

Может, в "образовании" появился распад? Нужен ли КТ-контроль и через какое время?

Наиболее вероятен постпневмонический абсцесс легкого.  Контрольное, именно, КТ-исследование  органов грудной полости через 4-5 недель после курса противовоспалительной терапии. При необходимости, по клиническим показаниям (различные виды осложнений) КТ исследование - на любом этапе лечения пациента. 

Анатолий Петрович

Андрей Юрьевич аватар
Не на сайте
Был на сайте: 2 месяцев 2 недели назад
Зарегистрирован: 16.11.2008 - 22:16
Публикации: 18101

А. Горюнов wrote:

Андрей Юрьевич wrote:

Итак, пророк из невролога никакой, больной не умер. Картина стала яснее,  туберкулез отошел в сторону, осталась пневмония. А "образование" стало абсцессом. Просто абсцессом, т.к. не знаю, что такое "постпневмонический абсцесс". Судя по представленным изображениям, динамика вполне положительная.

Классификация абсцессов и гангрены легких.

По патогенезу:

  • постпневмонический;
  • гематогенно-эмболический;
  • аспирационный;
  • травматический;
  • нагноение инфаркта легкого.


Как Вам будет угодно.

Андрей Юрьевич

А. Горюнов аватар
Не на сайте
Был на сайте: 5 месяцев 1 день назад
Зарегистрирован: 07.10.2012 - 12:12
Публикации: 2744

Андрей Юрьевич wrote:

А. Горюнов wrote:

Андрей Юрьевич wrote:

Итак, пророк из невролога никакой, больной не умер. Картина стала яснее,  туберкулез отошел в сторону, осталась пневмония. А "образование" стало абсцессом. Просто абсцессом, т.к. не знаю, что такое "постпневмонический абсцесс". Судя по представленным изображениям, динамика вполне положительная.

Классификация абсцессов и гангрены легких.

По патогенезу:

  • постпневмонический;
  • гематогенно-эмболический;
  • аспирационный;
  • травматический;
  • нагноение инфаркта легкого.


Как Вам будет угодно.

Ответ некорректен.

Анатолий Петрович

Андрей Юрьевич аватар
Не на сайте
Был на сайте: 2 месяцев 2 недели назад
Зарегистрирован: 16.11.2008 - 22:16
Публикации: 18101

///Как Вам будет угодно. - Ответ некорректен/// А это не ответ, это "мое оценочное суждение" smiley. Вы используете эту никем неутвержденную классификацию, я нет. Вот и все.

Андрей Юрьевич

алкс аватар
Не на сайте
Был на сайте: 10 лет 4 месяцев назад
Зарегистрирован: 24.10.2012 - 22:55
Публикации: 2915

Андрей Юрьевич wrote:

///Как Вам будет угодно. - Ответ некорректен/// А это не ответ, это "мое оценочное суждение" smiley. Вы используете эту никем неутвержденную классификацию, я нет. Вот и все.

Снова прошу " не стреляйте в пианиста- он играет как умеет". У каждого свой опыт и классификация( в уме), другое дело - зто как оно будет выглядеть юридически. Учитывая , что врач- - это наемник- должно быть юридически безупречно. Перефразирую : распад вследствие "распространения какой-то инфекции"( м.б. и туб?)

А. Горюнов аватар
Не на сайте
Был на сайте: 5 месяцев 1 день назад
Зарегистрирован: 07.10.2012 - 12:12
Публикации: 2744

Андрей Юрьевич wrote:

///Как Вам будет угодно. - Ответ некорректен/// А это не ответ, это "мое оценочное суждение" smiley. Вы используете эту никем неутвержденную классификацию, я нет. Вот и все.

Покажите, пожалуйста, используемую Вами, утвержденную классификацию, уважаемый, Коллега.

 

Терминологический словарь

Оценочное суждение - умственный акт, выражающий отношение говорящего к содержанию высказываемой мысли посредством утверждения модальности сказанного и сопряжённый обычно с психологическим состоянием убеждённости или веры. 

Оценочными суждениями, за исключением оскорбления или клеветы, являются высказывания, которые не содержат фактических данных, в частности, критика, оценка действий, а также высказывания, которые не могут быть истолкованы как содержащие фактические данные, учитывая характер использования языковых средств, в частности, употребление гипербол, аллегорий, сатиры. 

Анатолий Петрович

Андрей Юрьевич аватар
Не на сайте
Был на сайте: 2 месяцев 2 недели назад
Зарегистрирован: 16.11.2008 - 22:16
Публикации: 18101

А. Горюнов wrote:
..Покажите, пожалуйста, используемую Вами, утвержденную классификацию, уважаемый, Коллега.

Пожалуйста. Например, МКБ-10:
   ГНОЙНЫЕ И НЕКРОТИЧЕСКИЕ СОСТОЯНИЯ

   НИЖНИХ ДЫХАТЕЛЬНЫХ ПУТЕЙ

   (J85-J86)

  

   J85 Абсцесс легкого и средостения

       J85.0 Гангрена и некроз легкого

       J85.1 Абсцесс легкого с пневмонией

             Исключено: с пневмонией, вызванной уточненным возбудителем

              (J10-J16)

       J85.2 Абсцесс легкого без пневмонии

       J85.3 Абсцесс средостения

Андрей Юрьевич

Катенёв Валентин Львович аватар
Не на сайте
Был на сайте: 7 лет 4 месяцев назад
Зарегистрирован: 22.03.2008 - 22:15
Публикации: 54876

НАДЕЖДА ЛИШИНА wrote:

Может, в "образовании" появился распад? Нужен ли КТ-контроль и через какое время?

Конечно. может, даже если под "образованием" подразумевается рак.

http://www.radiomed.ru/publications/onkologiya-ogk-bronkhioloalveolyarnyi-rak-maski-bronkhioloalveolyarnogo-raka

 

Полостная форма рака.

1.pfr_.slayd5_.jpg
1.pfr_.slayd5_.jpg53.73 кб
1.d.slayd32.jpg
1.d.slayd32.jpg48.96 кб
2.d.slayd33.jpg
2.d.slayd33.jpg60.41 кб
3.d.slayd34.jpg
3.d.slayd34.jpg71.84 кб
6.d.slayd37.jpg
6.d.slayd37.jpg66.75 кб 

 

http://www.radiomed.ru/publications/onkologiya-ogk-perifericheskii-rak-legkogo-alekseeva-tr-pr

 

Хорошая схема, нужная.

rhcharakt.igt_..jpg
rhcharakt.igt_..jpg

13.28 кб 

 

 

Признаки злокачественности.

 

А. Горюнов аватар
Не на сайте
Был на сайте: 5 месяцев 1 день назад
Зарегистрирован: 07.10.2012 - 12:12
Публикации: 2744

 

Пожалуйста. Например, МКБ-10:
   ГНОЙНЫЕ И НЕКРОТИЧЕСКИЕ СОСТОЯНИЯ

   НИЖНИХ ДЫХАТЕЛЬНЫХ ПУТЕЙ

   (J85-J86)

  

   J85 Абсцесс легкого и средостения

       J85.0 Гангрена и некроз легкого

       J85.1 Абсцесс легкого с пневмонией

             Исключено: с пневмонией, вызванной уточненным возбудителем

              (J10-J16)

       J85.2 Абсцесс легкого без пневмонии

       J85.3 Абсцесс средостения

Уважаемый, Андрей Юрьевич! Мною был предположен: постпневмонический абсцесс легкого. В чем противоречие?

Анатолий Петрович

А. Горюнов аватар
Не на сайте
Был на сайте: 5 месяцев 1 день назад
Зарегистрирован: 07.10.2012 - 12:12
Публикации: 2744

[quote=Катенёв Валентин Львович]

Конечно. может, даже если под "образованием" подразумевается рак.

Анатолий Петрович

А. Горюнов аватар
Не на сайте
Был на сайте: 5 месяцев 1 день назад
Зарегистрирован: 07.10.2012 - 12:12
Публикации: 2744

"Образование" с распадом (некрозом) уменьшилось в размерах, что не характерно для C-r. Предполагаю, что все же это абсцесс на фоне полисегментарной пневмонии. Ro, КТ контроль и время сделают свои уточнения. 

Анатолий Петрович

Андрей Юрьевич аватар
Не на сайте
Был на сайте: 2 месяцев 2 недели назад
Зарегистрирован: 16.11.2008 - 22:16
Публикации: 18101

А. Горюнов wrote:

 

Пожалуйста. Например, МКБ-10:
   ГНОЙНЫЕ И НЕКРОТИЧЕСКИЕ СОСТОЯНИЯ

   НИЖНИХ ДЫХАТЕЛЬНЫХ ПУТЕЙ

   (J85-J86)

  

   J85 Абсцесс легкого и средостения

       J85.0 Гангрена и некроз легкого

       J85.1 Абсцесс легкого с пневмонией

             Исключено: с пневмонией, вызванной уточненным возбудителем

              (J10-J16)

       J85.2 Абсцесс легкого без пневмонии

       J85.3 Абсцесс средостения

Уважаемый, Андрей Юрьевич! Мною был предположен: постпневмонический абсцесс легкого. В чем противоречие?


Противоречие между чем и чем?

Андрей Юрьевич

Катенёв Валентин Львович аватар
Не на сайте
Был на сайте: 7 лет 4 месяцев назад
Зарегистрирован: 22.03.2008 - 22:15
Публикации: 54876

А. Горюнов wrote:

"Образование" с распадом (некрозом) уменьшилось в размерах, что не характерно для C-r.

Не факт.

Частенько вокруг "очага" имеет место парапроцесс, который после проведенного неспецифического лечения уменьшается в размерах, а соответственно, делается вывод не в пользу онкологии. Правда потом...

И такие случаи довольно нередки, да и каждый с таким "парадоксом" сталкивался.

А. Горюнов аватар
Не на сайте
Был на сайте: 5 месяцев 1 день назад
Зарегистрирован: 07.10.2012 - 12:12
Публикации: 2744

Возможно... Для этого и контроль.

Анатолий Петрович

А. Горюнов аватар
Не на сайте
Был на сайте: 5 месяцев 1 день назад
Зарегистрирован: 07.10.2012 - 12:12
Публикации: 2744

Андрей Юрьевич wrote:

 Просто абсцессом, т.к. не знаю, что такое "постпневмонический абсцесс".

Вами было сделано мне такое замечание, "оценочное суждение". В МКБ10, которую Вы так любезно представили, есть:  J85.1 Абсцесс легкого с пневмонией (которого Вы не знаете, или не хотите знать?) и J85.2 Абсцесс легкого без пневмонии. 

 

"Противоречие между чем и чем?

Андрей Юрьевич"

Нахожу противоречие в  Вашем "оценочном" суждении.

Анатолий Петрович

Андрей Юрьевич аватар
Не на сайте
Был на сайте: 2 месяцев 2 недели назад
Зарегистрирован: 16.11.2008 - 22:16
Публикации: 18101

А. Горюнов wrote:

Андрей Юрьевич wrote:

 Просто абсцессом, т.к. не знаю, что такое "постпневмонический абсцесс".

Вами было сделано мне такое замечание, "оценочное суждение". В МКБ10, которую Вы так любезно представили, есть:  J85.1 Абсцесс легкого с пневмонией (которого Вы не знаете, или не хотите знать?) и J85.2 Абсцесс легкого без пневмонии. 

 

"Противоречие между чем и чем?

Андрей Юрьевич"

Нахожу противоречие в  Вашем "оценочном" суждении.

 
Т.е.  Вы считаете, что термин "Абсцесс легкого с пневмонией" равен термину "постпневмонический абсцесс"?

Андрей Юрьевич

А. Горюнов аватар
Не на сайте
Был на сайте: 5 месяцев 1 день назад
Зарегистрирован: 07.10.2012 - 12:12
Публикации: 2744

[

[/quote] 
Т.е.  Вы считаете, что термин "Абсцесс легкого с пневмонией" равен термину "постпневмонический абсцесс"?

[/quote]

Да, что патогенез абсцесса - пневмония, а не другие причины:

 

По патогенезу:

  • постпневмонический;
  • гематогенно-эмболический;
  • аспирационный;
  • травматический;
  • нагноение инфаркта легкого.
  • Спокойной ночи.

Анатолий Петрович

Андрей Юрьевич аватар
Не на сайте
Был на сайте: 2 месяцев 2 недели назад
Зарегистрирован: 16.11.2008 - 22:16
Публикации: 18101

А. Горюнов wrote:

Андрей Юрьевич wrote:

Т.е.  Вы считаете, что термин "Абсцесс легкого с пневмонией" равен термину "постпневмонический абсцесс"?

Да, что патогенез абсцесса - пневмония, а не другие причины:


К сожалению, не обладаю подобной широтой мысли. Но это не имеет значения. Ранее, уже написал:

Андрей Юрьевич wrote:
Как Вам будет угодно.

Андрей Юрьевич

А. Горюнов аватар
Не на сайте
Был на сайте: 5 месяцев 1 день назад
Зарегистрирован: 07.10.2012 - 12:12
Публикации: 2744

 

Цитата сообщения пользователя Андрей Юрьевич:

Как Вам будет угодно.

И Вам того же. С Вашим опытом, профессиональными знаниями, знанием иностранных языков, не могли бы Вы поделиться своими статьями, монографиями. Заранее благодарен, А.П.

Анатолий Петрович

Андрей Юрьевич аватар
Не на сайте
Был на сайте: 2 месяцев 2 недели назад
Зарегистрирован: 16.11.2008 - 22:16
Публикации: 18101

Монографий у меня нет ни одной, статьи есть, но не по этой теме, к тому же не хочу раскрывать приватные данные.

Андрей Юрьевич

А. Горюнов аватар
Не на сайте
Был на сайте: 5 месяцев 1 день назад
Зарегистрирован: 07.10.2012 - 12:12
Публикации: 2744

Андрей Юрьевич wrote:

Монографий у меня нет ни одной, статьи есть, но не по этой теме, к тому же не хочу раскрывать приватные данные.

Спасибо за ответ.

Анатолий Петрович