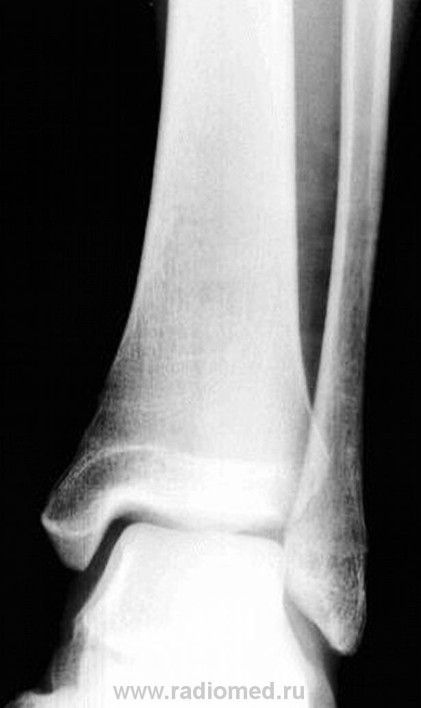
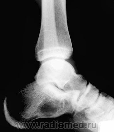
жалобы на незначительные боли в области левой пятки. несколко меяцев назад была травма,после которой полявиась припухлость в области пятки.К врачу не обращался. После мед осмотра в школе направлен на рентгенографию.
Какие будут мысли,уважаемые коллеги?






Навскидку - костная киста.
Спасибо за быстрый ответ. Я тоже о ней подумала.Но радом еще мелкие полостюшки.
А как на счет малоберцовой кости ? Не было ли тут небольшого переломчика?
киста пяточной кости и вальгусная деформация голеностопного сустава
"самоуверенность дилетантов - предмет зависти профессионалов"
1- псевдокиста пяточной кости, данная локализация характерная, но клинику она обычно не даёт а если и дает то редко, я уже выкладывал случай:
2-остеомиелит, возможно посттравматический;
3- менее вероятно доброкачестванная новообразование;
"Знаешь, у некоторых врачей есть комплекс мессии — им необходимо спасать мир. А у тебя комплекс Рубика — тебе необходимо решать головоломки."
ну вот, опять Валентин Львович опередил...
"самоуверенность дилетантов - предмет зависти профессионалов"
Вы все друг друга опередили
"Знаешь, у некоторых врачей есть комплекс мессии — им необходимо спасать мир. А у тебя комплекс Рубика — тебе необходимо решать головоломки."
"самоуверенность дилетантов - предмет зависти профессионалов"
По поводу вальгусной деформации, а не в укладке ли дело?
Вам виднее, у Вас снимки делали. Впрочем, это легко проверить
"самоуверенность дилетантов - предмет зависти профессионалов"
Сейчас постараемся обработать изображения.
а это снимок справа
Уважаемая Людмила Александровна!
Мы довольно часто встречаемся с такой патологией - костная киста, при проведении экспертизы годности к военной службе, при рентгенометрии "продольного плоскостопия", и довольно часто это патологическое состояние бывает с одной стороны.
Спасибо за мудрые ответыН
у так что, мальчику можно порадоваться, он для службы в армии не пригоден?
Я бы за него порадовался когда ему сделают аутопластику этой кисты.
"Знаешь, у некоторых врачей есть комплекс мессии — им необходимо спасать мир. А у тебя комплекс Рубика — тебе необходимо решать головоломки."
Как это не странно, но киста не является основанием для освобождения от военной службы, о ней даже не упоминается в статье 68.
Валентин Львович, Вы совершенно правы. Костная киста не является основанием для применения статей Постановления 123. Оперативное лечение - отсрочка - повторная ВВК - служба в силовых структурах.
dok
Ну, а если, откажется от операции, то все одно пойдет "на общих основаниях".
А как же риск патологического перелома? Разве это нельзя учесть?
"Знаешь, у некоторых врачей есть комплекс мессии — им необходимо спасать мир. А у тебя комплекс Рубика — тебе необходимо решать головоломки."
А это, уважаемые коллега, как это не покажется странным, не учитывается.
А. ведь не такая уж редкая патология...