КТ брюшной полости

Пол пациента: 
Область исследования: 
Методы исследования: 

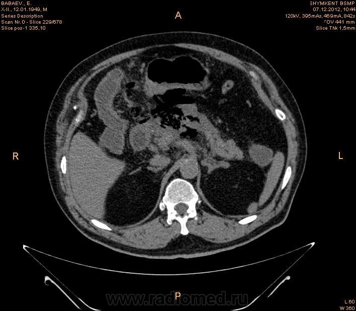
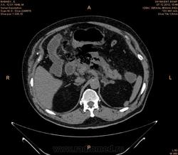
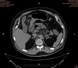
Здравствуйте , коллеги.Помогите пожалуйста разобраться.Больной мужчина 65 лет поступил с диагнозом Хр.панкреатит.Мех.желтуха. Эфгдс : Язва желудка.Хр.панкреатит. КТ - зак : Свободный газ в брюшной полости.Разрыв полого органа.Гиподенсные зоны с плотностью -827 ед.н., 937,0 ед.Н. Я оценила как свободный газ. На операций сказали Жировой панкренкроз. Больной умер.Неужели я ошиблось.

  • https://radiomed.ru/sites/default/files/styles/case_slider_image/public/user/17529/babaev..jpg?itok=1WNgitXk
  • https://radiomed.ru/sites/default/files/styles/case_slider_image/public/user/17529/babai.jpg?itok=KhVi13Hz
  • https://radiomed.ru/sites/default/files/styles/case_slider_image/public/user/17529/babiw.jpg?itok=cfzrGiFM
  • https://radiomed.ru/sites/default/files/styles/case_slider_image/public/user/17529/bake.jpg?itok=R6Gph2ZE
  • https://radiomed.ru/sites/default/files/styles/case_slider_image/public/user/17529/bakeeee.jpg?itok=fJKwjag5
  • https://radiomed.ru/sites/default/files/styles/case_slider_image/public/user/17529/bake_0.jpg?itok=1DZlVGgb
ID:25138
ЛГ аватар
Не на сайте
Был на сайте: 9 лет 3 месяцев назад
Зарегистрирован: 06.01.2010 - 12:31
Публикации: 3523

картинка отсюда: http://eradiology.bidmc.harvard.edu/LearningLab/gastro/subramaniam.pdf

Если Вы имеете в виду гипозоны в проекции поджелудочной железы, то Вы ошиблись. Это редкий вариант панкреонекроза, эмфизематозный (острый некротический панкреатит)

Приложения: 
emfizematoznyy_pankreonekroz.jpg
Асель аватар
Не на сайте
Был на сайте: 11 лет 6 месяцев назад
Зарегистрирован: 13.12.2012 - 19:40
Публикации: 81

Спасибо большое .Я первый раз вижу.

Приложения: 
babbb.jpgbabka.jpg
ЛГ аватар
Не на сайте
Был на сайте: 9 лет 3 месяцев назад
Зарегистрирован: 06.01.2010 - 12:31
Публикации: 3523

Просто даже прикрытая перфорация полого органа выглядит по-другому. А тут впечатление абсцесса п.ж. и его прорыва. Без контраста говорить сложно. Предполагаю, что права). Скорее, абсцесс первичен. Можно ли это назвать эмфизематозным панкреонекрозом - тоже не знаю, наверное... Давайте подождём еще мнений.

алкс аватар
Не на сайте
Был на сайте: 10 лет 5 месяцев назад
Зарегистрирован: 24.10.2012 - 22:55
Публикации: 2915

ЛГ wrote:

картинка отсюда: http://eradiology.bidmc.harvard.edu/LearningLab/gastro/subramaniam.pdf

Если Вы имеете в виду гипозоны в проекции поджелудочной железы, то Вы ошиблись. Это редкий вариант панкреонекроза, эмфизематозный (острый некротический панкреатит)

Не очень редкий. Цитата: "Я оценила как свободный газ."  Как бы не видно "свободного" газа, он чем-то ограничен на всех срезах. Т.е. газовая дегенерация "чего-то", но не полого органа. Видимо в данном случае парапанкреатической клетчатки. При операции это никто из хирургов не видит, т.к. там есть и жидкость и кровь и только нами видимый газ. 

федя аватар
Не на сайте
Был на сайте: 11 лет 11 месяцев назад
Зарегистрирован: 25.06.2011 - 20:28
Публикации: 260

поджелудочная диффузно увеличена ,в области тела определяется гиподенсивный относительно паренхимы поджелудочной железы  участок  с распространением в переднее параренальное пространство,преймущественно слева ,с включениями мелких пузырьков газа(инфицированный панкреонекроз),причем эпицентр имеет связь с вирсунговым протоком (разрыв ) с переходом процесса в брюшную полость.не исключал бы в данном случае и наличие желудочно-кишечного свища ,что может  иметь место  при таких изменениях.а так на первый план эмфизематозный(инфицированный панкреонекроз) острый панкреатит