Диагностическая ФЛГ

Пол пациента: 
Тип патологии: 
Методы исследования: 

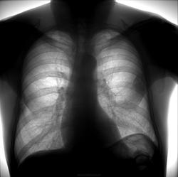
Мужчина 48 лет поступил в клинику с предварительным диагнозом левосторонняя внебольничная нижнедолевая пневмония. Жалобы на общее недомогание в течении 3-4 дней перед госпитализацией, сухой кашель, боли в грудной клетке слева. Объективно субфебриллитет, повышены острофазовые показатели.

  

Томографировать нет возможности. Интересно ваше мнение.

  • https://radiomed.ru/sites/default/files/styles/case_slider_image/public/user/12141/b8bf94f5-0537-4ea2-a515-70e907edea0f.jpg?itok=FglmFe7w
ID:25176
Сан Саныч1 аватар
Не на сайте
Был на сайте: 1 год 3 месяцев назад
Зарегистрирован: 07.06.2010 - 21:17
Публикации: 2114

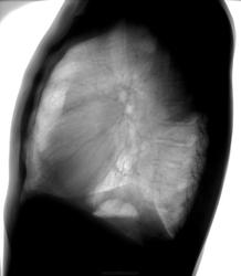
Осумкованый паракостальный плеврит.

Хочешь сделать что-то нормально - сделай это сам!

Gorbovsky аватар
Не на сайте
Был на сайте: 6 лет 4 месяцев назад
Зарегистрирован: 03.08.2011 - 18:05
Публикации: 348

Не смог разобраться в легком это или в плевральной полости, возможно и плеврит. Или все-таки в легком?

Было бы величайшей ошибкой думать (с)

Gorbovsky аватар
Не на сайте
Был на сайте: 6 лет 4 месяцев назад
Зарегистрирован: 03.08.2011 - 18:05
Публикации: 348

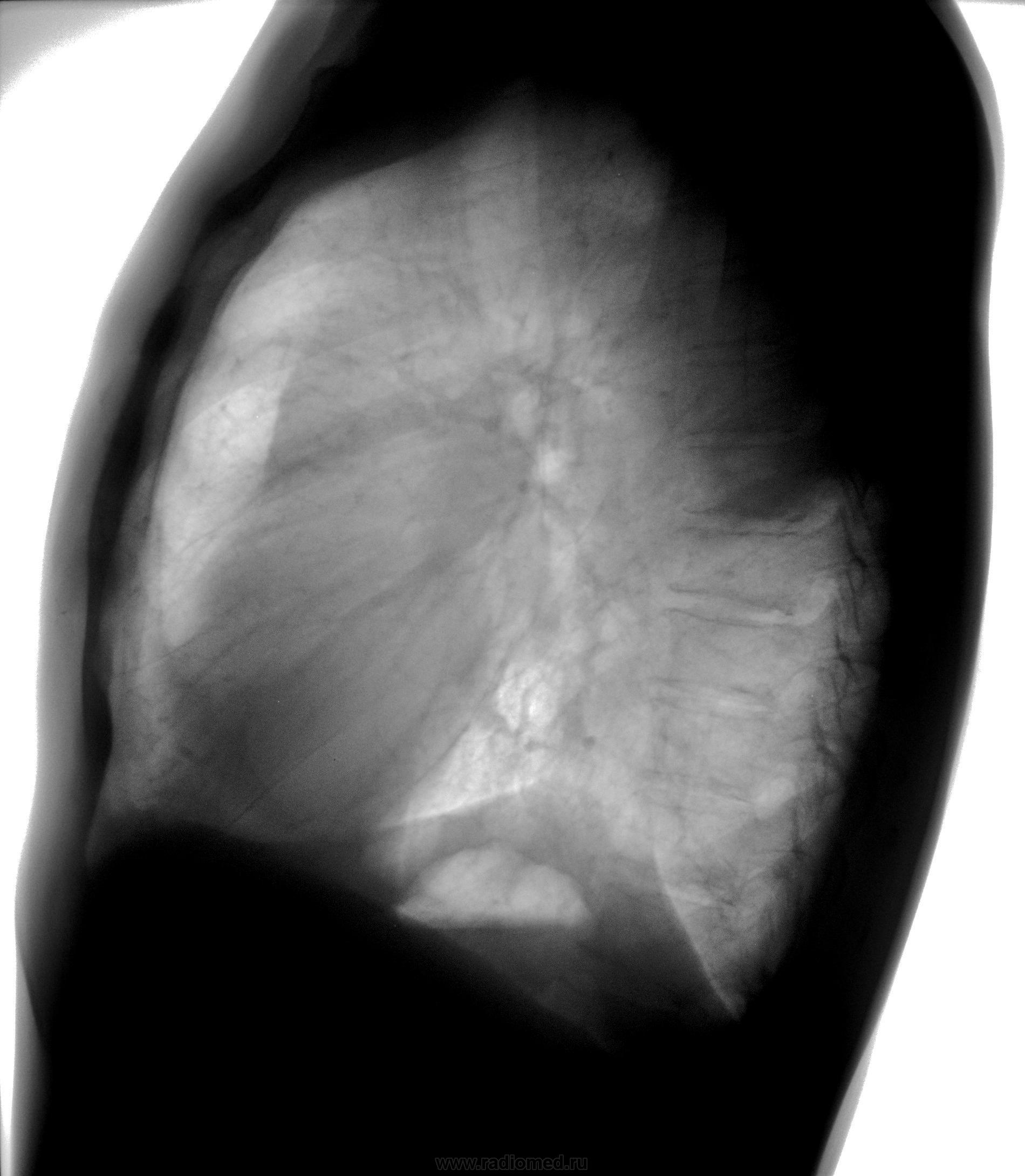
Образование проецируется на шестой сегмент левого легкого

Было бы величайшей ошибкой думать (с)

Mihail63 аватар
Не на сайте
Был на сайте: 9 лет 3 месяцев назад
Зарегистрирован: 20.11.2012 - 10:31
Публикации: 154

справа имеется подобная тень.только не такая четкая, так же дополнительная тень в области левой верхушки

helenmar аватар
Не на сайте
Был на сайте: 8 лет 9 месяцев назад
Зарегистрирован: 23.03.2008 - 12:27
Публикации: 291

Предлагаю в дифряд мезотелиому.

Делай, что должно, и будь, что будет.

алкс аватар
Не на сайте
Был на сайте: 10 лет 4 месяцев назад
Зарегистрирован: 24.10.2012 - 22:55
Публикации: 2915

Mihail63 wrote:

справа имеется подобная тень.только не такая четкая, так же дополнительная тень в области левой верхушки

Справа костные мозоли и соответствующие изменения плевры.

алкс аватар
Не на сайте
Был на сайте: 10 лет 4 месяцев назад
Зарегистрирован: 24.10.2012 - 22:55
Публикации: 2915

Mihail63 wrote:

справа имеется подобная тень.только не такая четкая, так же дополнительная тень в области левой верхушки

Справа костные мозоли и соответствующие изменения плевры. Возможно такое же слева. Спросить о травмах.

И.Бондаренко аватар
Не на сайте
Был на сайте: 1 день 17 часов назад
Зарегистрирован: 13.09.2011 - 22:55
Публикации: 9210

Если диагностическая ФЛЮ, значит есть отделение и есть аппарат на 3 раб. места. Возьмите и проведите скопию, выведите, снимите, а потом описывайте. Может плеврит, может мезотелиома, может и периферический. Дополнительно анамнез, клиника и анализы.

Gorbovsky аватар
Не на сайте
Был на сайте: 6 лет 4 месяцев назад
Зарегистрирован: 03.08.2011 - 18:05
Публикации: 348

К сожалению, аппарат уже месяц как стоит поломанный, дообследовать нет возможности

Было бы величайшей ошибкой думать (с)

vasyablack аватар
Не на сайте
Был на сайте: 12 лет 4 месяцев назад
Зарегистрирован: 22.03.2012 - 23:38
Публикации: 53

На теле образований нет?

Катенёв Валентин Львович аватар
Не на сайте
Был на сайте: 7 лет 4 месяцев назад
Зарегистрирован: 22.03.2008 - 22:15
Публикации: 54876

Gorbovsky wrote:

К сожалению, аппарат уже месяц как стоит поломанный, дообследовать нет возможности

И, куда подался пациент?