КТ брюшной полости

Пол пациента: 
Область исследования: 
Методы исследования: 

Помогите разобраться.Больной 2 мес назад обследован на узи бр.полости  чисто.(м.б. не опытный узист.)Беспокоять боль в правом подреберье, потеря веса нет.Анализы еще не готовы.

Модератор: Как загрузить видео с youtube - см. тут: http://www.radiomed.ru/blogs/lyudmila-grigorevna/chasto-zadavaemye-voprosy-kak-razmestit-vash-material-na-saite-dlya-vrache#comment-121406

Загрузка видео с блогов, клинических наблюдений, там же, где Вы загружали изображения НЕВОЗМОЖНА, не работает загрузка.

  • https://radiomed.ru/sites/default/files/styles/case_slider_image/public/user/17529/2_0.jpg?itok=FX6Bv5QN
  • https://radiomed.ru/sites/default/files/styles/case_slider_image/public/user/17529/3_0.jpg?itok=pRd4k9TK
  • https://radiomed.ru/sites/default/files/styles/case_slider_image/public/user/17529/4_0.jpg?itok=xjbBPmuz
  • https://radiomed.ru/sites/default/files/styles/case_slider_image/public/user/17529/5_0.jpg?itok=u3YEd0lE
  • https://radiomed.ru/sites/default/files/styles/case_slider_image/public/user/17529/6_0.jpg?itok=2RQBAwjw
  • https://radiomed.ru/sites/default/files/styles/case_slider_image/public/user/17529/8_0.jpg?itok=ofzHskUg
  • https://radiomed.ru/sites/default/files/styles/case_slider_image/public/user/17529/9_0.jpg?itok=kJIIIc8d
  • https://radiomed.ru/sites/default/files/styles/case_slider_image/public/user/17529/10_0.jpg?itok=TWTrfdfZ
  • https://radiomed.ru/sites/default/files/styles/case_slider_image/public/user/17529/11_0.jpg?itok=c3lweD3N
  • https://radiomed.ru/sites/default/files/styles/case_slider_image/public/user/17529/12_0.jpg?itok=b8afn1R2
  • https://radiomed.ru/sites/default/files/styles/case_slider_image/public/user/17529/13_0.jpg?itok=6fHaDgLA
  • https://radiomed.ru/sites/default/files/styles/case_slider_image/public/user/17529/14.jpg?itok=oIu5iKwB
  • https://radiomed.ru/sites/default/files/styles/case_slider_image/public/user/17529/15.jpg?itok=0ePi0t8J
  • https://radiomed.ru/sites/default/files/styles/case_slider_image/public/user/17529/16.jpg?itok=6ck067sG
ID:25468
ЛГ аватар
Не на сайте
Был на сайте: 9 лет 2 недели назад
Зарегистрирован: 06.01.2010 - 12:31
Публикации: 3523

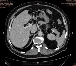
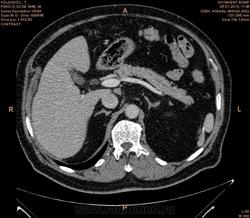
Гиподенсное образование в 8 сегменте, с накоплением по контуру в артериальную фазу, заполнением почти полностью в портальную, и опять гипо- в отсроченную. Пока думается на гемангиому, дифференцировать с гепатоцелюллярным раком, несмотря на отсутствие признаков цирроза. Сложновато  без дайкома.

Судя по времени, отсроченная через 7-8 мин от начала введения контраста (ФИО пациента убирайте, пожалуйста!). На мета, на мой взгляд, не похоже. Подождём, что еще коллеги скажут.

Асель аватар
Не на сайте
Был на сайте: 11 лет 3 месяцев назад
Зарегистрирован: 13.12.2012 - 19:40
Публикации: 81

отср- фаза 7 минута

А. Горюнов аватар
Не на сайте
Был на сайте: 3 месяцев 16 часов назад
Зарегистрирован: 07.10.2012 - 12:12
Публикации: 2744

ЛГ wrote:

 Пока думается на гемангиому, дифференцировать с гепатоцелюллярным раком, несмотря на отсутствие признаков цирроза. 

+1

Анатолий Петрович

ЛГ аватар
Не на сайте
Был на сайте: 9 лет 2 недели назад
Зарегистрирован: 06.01.2010 - 12:31
Публикации: 3523

Повторная просьба: анонимизируйте ФИО пациента на своей рабочей станции перед копированием на флешку, или анонимизируйте дома на программе-просмотровщике.На видео прослеивается интересное расположение петель позвздошной кишки, в правом латеральном кармане, - как при трансцекальной грыже, но нет признаков непроходимости и ущемления.

Oleg Vasilyevich аватар
Не на сайте
Был на сайте: 5 лет 3 месяцев назад
Зарегистрирован: 04.01.2011 - 14:42
Публикации: 60

Вымывание контраста к венозной и равновесной фазам если не путаю более характрено для HCC.
http://www.ajronline.org/content/182/3/643.full?ijkey=010e9a119f2363994c6a630d94a92b0c9a71ec99#top
имеет значение количество и скорость введения контраста
без диком создается впечатление что контраста либо мало было либо низкая скорость