Синдром. Поланда синдром (Poland syndrome). +

Поланда синдром (Poland syndrome)

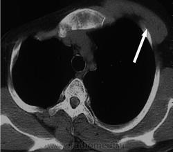
Синдром Поланда (СП) представляет собой комплекс пороков, включающий отсутствие большой и малой грудной мышц, синдактилию, брахидактилию, ателию (отсутствие соска молочной железы) и/или амастию (отсутствие самой молочной железы), деформацию или отсутствие нескольких ребер, отсутствие волос в подмышечной впадине и снижение толщины подкожно-жирового слоя. Отдельные компоненты этого синдрома впервые были описаны Lallemand LM (1826) и Frorier R (1839). Однако назван он по имени английского студента-медика Alfred Poland, который в 1841 году опубликовал частичное описание данной деформации. Полную характеристику синдрома в литературе впервые опубликовал Thompson J в 1895 году.

 

 

Катенёв Валентин Львович аватар
Не на сайте
Был на сайте: 7 лет 4 месяцев назад
Зарегистрирован: 22.03.2008 - 22:15
Публикации: 54876

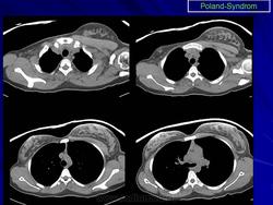
Поланда синдром (Poland syndrome)

Приложения: 
1.p.slayd68_0.jpg2.p.slayd70_0.jpg3.p.slayd63.jpg4.p.slayd64.jpg5.p.slayd83.jpg6.p.slayd84.jpg7.p.slayd86.jpg8.p.slayd88_0.jpg9.p.slayd90.jpg10.p.slayd82.jpg
Катенёв Валентин Львович аватар
Не на сайте
Был на сайте: 7 лет 4 месяцев назад
Зарегистрирован: 22.03.2008 - 22:15
Публикации: 54876

Поланда синдром (Poland syndrome)

Приложения: 
f9.mediumpolsha_sindrom.giff10.mediumpolsha_sindrom.gif
Катенёв Валентин Львович аватар
Не на сайте
Был на сайте: 7 лет 4 месяцев назад
Зарегистрирован: 22.03.2008 - 22:15
Публикации: 54876
Катенёв Валентин Львович аватар
Не на сайте
Был на сайте: 7 лет 4 месяцев назад
Зарегистрирован: 22.03.2008 - 22:15
Публикации: 54876
Катенёв Валентин Львович аватар
Не на сайте
Был на сайте: 7 лет 4 месяцев назад
Зарегистрирован: 22.03.2008 - 22:15
Публикации: 54876

Продолжение.

Приложения: 
1uuslayd110.jpg
Катенёв Валентин Львович аватар
Не на сайте
Был на сайте: 7 лет 4 месяцев назад
Зарегистрирован: 22.03.2008 - 22:15
Публикации: 54876

Интересно, а двусторонний Поланд бывает?

Евгений Алексеевич аватар
Не на сайте
Был на сайте: 5 лет 3 месяцев назад
Зарегистрирован: 28.06.2013 - 16:23
Публикации: 4122

Катенёв Валентин Львович wrote:

Интересно, а двусторонний Поланд бывает?

Однозначно, да! https://www.ncbi.nlm.nih.gov/pubmed/24630765

http://www.sciencedirect.com/science/article/pii/S0003497514002264

Слева есть изображения, но регаться нужно, чтоб лицезреть((((

Приложения: 
poland.jpg
Катенёв Валентин Львович аватар
Не на сайте
Был на сайте: 7 лет 4 месяцев назад
Зарегистрирован: 22.03.2008 - 22:15
Публикации: 54876

Да, я тоже в одном из журналов на это наткнулся.

Вот кстати ещё.

 

Приложения: 
11.gr3dvustoronnemu_polshi.jpg
Евгений Алексеевич аватар
Не на сайте
Был на сайте: 5 лет 3 месяцев назад
Зарегистрирован: 28.06.2013 - 16:23
Публикации: 4122

А где МСКТ Ваше показательное?))) У меня на буржуйском сайте есть))) а на Вашем?

Катенёв Валентин Львович аватар
Не на сайте
Был на сайте: 7 лет 4 месяцев назад
Зарегистрирован: 22.03.2008 - 22:15
Публикации: 54876

Для кейса набирал что было интересно, и не только это...

Евгений Алексеевич аватар
Не на сайте
Был на сайте: 5 лет 3 месяцев назад
Зарегистрирован: 28.06.2013 - 16:23
Публикации: 4122

Катенёв Валентин Львович wrote:

Для кейса набирал что было интересно, и не только это...

ой как глянуть уже интересно?)))

Евгений Алексеевич аватар
Не на сайте
Был на сайте: 5 лет 3 месяцев назад
Зарегистрирован: 28.06.2013 - 16:23
Публикации: 4122

Катенёв Валентин Львович wrote:

Продолжение.

Слева нет тени большой грудной мышцы и это 100-пудово Поланд?

Катенёв Валентин Львович аватар
Не на сайте
Был на сайте: 7 лет 4 месяцев назад
Зарегистрирован: 22.03.2008 - 22:15
Публикации: 54876
Катенёв Валентин Львович аватар
Не на сайте
Был на сайте: 7 лет 4 месяцев назад
Зарегистрирован: 22.03.2008 - 22:15
Публикации: 54876