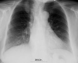
Ну, не знаю, первая мысль- а не косы( косицы) это тень справа парамедиастинально? В 2009году тень пучка волос была меньше, а в боковых проекциях его не видно. Сомнения развеет R-скопия лёгких. Второй вариант, возможно это какие-то плевральные изменения.
Я бы сказала, что рак это. В 2008-маленький очажок - а во что превратился!
Никогда бы не сказал.
Но, женщина пришла "лично Вам спасибо сказать" и принесла кучу выписок( ни одного снимка!). Прооперирована, лобэктомия, БАР. Пришла на контроль после операции.
Не косы точно. Тень в центральной зоне S1. М.б. и рак и ТБС. Динамика прослеживалась еще в 2009г. Еще тогда надо было дообследовать. ТМГ, аналиэы, что еще?
Великое преймущество врача заключается в том, что он не обязан следовать собственным советам. ( А. Кристи)
Спасибо, за окончательный диагноз! Но, мы же рентгенологи... , давайте попытаемся доказательно разобраться, можно ли было по представленнным снимкам, предположить эту нозологию или это находиться за пределами возможностей нашего метода? Коллега, не могли бы вы представить протокол операции, послеоперационный диагноз и результаты патологоанатомического изучения удалённого участка лёгкого?
Спасибо, за окончательный диагноз! Но, мы же рентгенологи... , давайте попытаемся доказательно разобраться, можно ли было по представленнным снимкам, предположить эту нозологию или это находиться за пределами возможностей нашего метода? Коллега, не могли бы вы представить протокол операции, послеоперационный диагноз и результаты патологоанатомического изучения удалённого участка лёгкого?
Все было не совсем так хорошо и безмятежно как я Вам представил. Человека "гоняли" от ОПТД к ООД, дважды. Два! КТ!. И только после гистологии-БАР! Протоколы операции и т. д. сразу не сообразил отснять (полуклиника! Напор людей).
Хммм для туберкулеза не думаю что характерная картина. С учетом того что аорта склерозирована и сглажена талия сердца и видно что это человек в возрасте старше 30 лет то я бы стал искать сначала рачок вместо ТБС
Автору: не спешите выкладвать окончательную верификацию, не лишайте народ возможности умственной разминки, столь любимой Николасом.
Насчет случая давайтей разбираться. Имеется прогрессирование между 2008 и 2009 г. - это видно. Причем старый фиброзный очаг есть в 1 м.р. справа и петрификаты слева, а теневая картина нарастает в проекции 1 ребра справа. На боковой проекции патология видна предположительно. Сама тень в последнем наблюдении формируется по типу инфильтрата с нечеткими контурами, преимущественно перибронхиально, "соосно" верхнедолевому бронхо-сосудистому пучку. При этом видны просветы бронхов, входящих в инфильтрат.
Я не люблю, когда в постах пост-фактум пишут "я так и думал", но в данном случае включить рак в S1 правого легкого в диффдиагноз следовало обязательно.
"в данном случае включить рак в S1 правого легкого в диффдиагноз следовало обязательно."
Заключение звучало так:" Рентгенпризнаки обострения ТВС в S1справа. Не исключено новообразование. Консультация фтизиатра." ( Я сильно думал только за ТВС и высказывал это устно). Претензии ко мне от фтизиатров ("мы так с ней из-за Вас(!) намучались, а Вы ошиблись(!?)".
Вот я и тему так обозначил: "Правильно ли ?", сделал рентгенолог, направив в ПТД? Не писал конс.онколога?
На мой взгляд, тактически правильно. Туберкулез более опасен для окружающих, и специалисты-торакальщики, какими являются фтизиатры, лучше разберутся (ну, или должны бы). Кроме того, скажи пациенту: "У вас рак", он может по принципу страуса долго никуда не ехать. А с туберкулезом почему-то быстро добираются.
Это все конечно верно но все же порой надо выяснять и разговаривать с больным. А так ошибаются все и в первую очередь мы люди. Ну может знаем чуть больше и немного другие. Но все же люди :-)
Претензии фтизиатров ("мы так с ней из-за Вас(!) намучались, а Вы ошиблись(!?)".
Ни фига себе, у них нет своего рентгенолога? Или они не предполагают о сущесвтовании дифференциального ряда? Или они сами снимки смотреть не умеют?
Я обычно "консультацию фтизиатра" от "консультации онколога" не отделяю, потому что примерно в 50% случаев начинается обоюдное пинание пациента от туберкулеза к онкологии и обратно, и включать себя звеном в этой дурацкой цепочке мне не хочется. При этом диф.ряд обозначаю весь с акцентом на мои рентгенологические предпочтения.
Из сказаннного можно предположить, что по представленным снимкам, аргументированно вынести заключение о БАР не представлялось возможны, НО ретоспективно проведя анализ, можно было предположить, что имели дело с БАР ( профессор Власов П.В.( к сожалению, ныне покойный), говорил, что если на R-грамме лёгких изменения ни на что не похожи- думай о БАР).
Заключение звучало так:" Рентгенпризнаки обострения ТВС в S1справа. Не исключено новообразование. Консультация фтизиатра."
Вот я и тему так обозначил: "Правильно ли ?", сделал рентгенолог, направив в ПТД? Не писал конс.онколога?
Как-то слово "обострение" тут плоховато звучит. Это же не язва и не хронический холецистит. Реактивация ну или прогрессирование подошло бы лучше. Хотя и признаков сего здесь тоже не было. Свежих ("мягких") очагов не появилось, отсевов тоже не было, реакции плевры и выпотов аналогично. Даже если был туберкульоз в анамнезе, данная скиалогическая динамика, как по мне, не вписывается в тубпроцес. Имея на руках все снимки стоило в первую очередь подумать про рак. Рентгенолога особо винить не стоит. Как говорил один старый академик-фтизиатр - туберкульоз и рак в первых сегментах часто ходят под руку.
Заключение звучало так:" Рентгенпризнаки обострения ТВС в S1справа. Не исключено новообразование. Консультация фтизиатра."
Вот я и тему так обозначил: "Правильно ли ?", сделал рентгенолог, направив в ПТД? Не писал конс.онколога?
Как-то слово "обострение" тут плоховато звучит. Это же не язва и не хронический холецистит. Реактивация ну или прогрессирование подошло бы лучше. Хотя и признаков сего здесь тоже не было. Свежих ("мягких") очагов не появилось, отсевов тоже не было, реакции плевры и выпотов аналогично. Даже если был туберкульоз в анамнезе, данная скиалогическая динамика, как по мне, не вписывается в тубпроцес. Имея на руках все снимки стоило в первую очередь подумать про рак. Рентгенолога особо винить не стоит. Как говорил один старый академик-фтизиатр - туберкульоз и рак в первых сегментах часто ходят под руку.
Спасибо, за "особо винить не стоит". Когда идет поток и надо решать быстро, думаю ,что главное - "предотвращение распространения инфекционного заболевания ...( это про ООИ)" Но этот принцип - искл. инфекцию, "а девушки потом" вбит в меня навсегда, онкоболезнь не заразна, и может подождать. М.б. я и не прав...
Все бывает. Не ошибается только тот, кто не работает. Я недавно пропустил медиастинальную форму центрального рака на фоне плеврита з затеками куда только возможно. На секции все умняком, как такое можно пропустить. А на снимок смотрят, ой, а что это такое. А вот замаскировано.
Другого качества нет, снято в спешке на телефон. Снимок "ушел" на експертизу. Документальных данных верификации тоже еще не передали. Поступал больной с правосторонней пневмонией. Экзитус на третий день. Вот как-то так. Это все, что есть...
Ну, не знаю, первая мысль- а не косы( косицы) это тень справа парамедиастинально? В 2009году тень пучка волос была меньше, а в боковых проекциях его не видно. Сомнения развеет R-скопия лёгких. Второй вариант, возможно это какие-то плевральные изменения.
Выпуклый наружный контур, нет ли изменений в добавочной доле в виде карнификации.
Я бы сказала, что рак это. В 2008-маленький очажок - а во что превратился!
Никогда бы не сказал.
Но, женщина пришла "лично Вам спасибо сказать" и принесла кучу выписок( ни одного снимка!). Прооперирована, лобэктомия, БАР. Пришла на контроль после операции.
Не косы точно. Тень в центральной зоне S1. М.б. и рак и ТБС. Динамика прослеживалась еще в 2009г. Еще тогда надо было дообследовать. ТМГ, аналиэы, что еще?
Великое преймущество врача заключается в том, что он не обязан следовать собственным советам. ( А. Кристи)
Пока настукивал текст появился новый пост. Понятно. Но что за мазня в прикорневой зоне справа?
Великое преймущество врача заключается в том, что он не обязан следовать собственным советам. ( А. Кристи)
Так и я бы ни за что!
Это в 2009 можно заподозрить. А в 2008 - только задним числом можно предположить на сильно увеличенном снимке.
Спасибо за поучительную демонстрацию!
Прооперирована, лобэктомия, БАР.
----------------------------------------------------------------------------------------------------------------------------------------------------------------------
Спасибо, за окончательный диагноз! Но, мы же рентгенологи... , давайте попытаемся доказательно разобраться, можно ли было по представленнным снимкам, предположить эту нозологию или это находиться за пределами возможностей нашего метода? Коллега, не могли бы вы представить протокол операции, послеоперационный диагноз и результаты патологоанатомического изучения удалённого участка лёгкого?
на боковой рентгенограмме от 2012 г. тень, которая так хорошо видна на прямой. Заранее благодарю.
Все было не совсем так хорошо и безмятежно как я Вам представил. Человека "гоняли" от ОПТД к ООД, дважды. Два! КТ!. И только после гистологии-БАР! Протоколы операции и т. д. сразу не сообразил отснять (полуклиника! Напор людей).
Хммм для туберкулеза не думаю что характерная картина. С учетом того что аорта склерозирована и сглажена талия сердца и видно что это человек в возрасте старше 30 лет то я бы стал искать сначала рачок вместо ТБС
Автору: не спешите выкладвать окончательную верификацию, не лишайте народ возможности умственной разминки, столь любимой Николасом.
Насчет случая давайтей разбираться. Имеется прогрессирование между 2008 и 2009 г. - это видно. Причем старый фиброзный очаг есть в 1 м.р. справа и петрификаты слева, а теневая картина нарастает в проекции 1 ребра справа. На боковой проекции патология видна предположительно. Сама тень в последнем наблюдении формируется по типу инфильтрата с нечеткими контурами, преимущественно перибронхиально, "соосно" верхнедолевому бронхо-сосудистому пучку. При этом видны просветы бронхов, входящих в инфильтрат.
Я не люблю, когда в постах пост-фактум пишут "я так и думал", но в данном случае включить рак в S1 правого легкого в диффдиагноз следовало обязательно.
Verum plus uno esse non potest.
"в данном случае включить рак в S1 правого легкого в диффдиагноз следовало обязательно."
Заключение звучало так:" Рентгенпризнаки обострения ТВС в S1справа. Не исключено новообразование. Консультация фтизиатра." ( Я сильно думал только за ТВС и высказывал это устно). Претензии ко мне от фтизиатров ("мы так с ней из-за Вас(!) намучались, а Вы ошиблись(!?)".
Вот я и тему так обозначил: "Правильно ли ?", сделал рентгенолог, направив в ПТД? Не писал конс.онколога?
На мой взгляд, тактически правильно. Туберкулез более опасен для окружающих, и специалисты-торакальщики, какими являются фтизиатры, лучше разберутся (ну, или должны бы). Кроме того, скажи пациенту: "У вас рак", он может по принципу страуса долго никуда не ехать. А с туберкулезом почему-то быстро добираются.
С уважением,
Это все конечно верно но все же порой надо выяснять и разговаривать с больным. А так ошибаются все и в первую очередь мы люди. Ну может знаем чуть больше и немного другие. Но все же люди :-)
Я обычно "консультацию фтизиатра" от "консультации онколога" не отделяю, потому что примерно в 50% случаев начинается обоюдное пинание пациента от туберкулеза к онкологии и обратно, и включать себя звеном в этой дурацкой цепочке мне не хочется. При этом диф.ряд обозначаю весь с акцентом на мои рентгенологические предпочтения.
Verum plus uno esse non potest.
А где оперировали?
А гистологию в каком учреждении делали?
У Вас, по всей видимости, все фтизиатры только "женщины - блондинки"?
алекс писал: Человека "гоняли" от ОПТД к ООД, дважды. Два! КТ!. И только после гистологии-БАР
---------------------------------------------------------------------------------------------------------------------------------------------------------------------
Из сказаннного можно предположить, что по представленным снимкам, аргументированно вынести заключение о БАР не представлялось возможны, НО ретоспективно проведя анализ, можно было предположить, что имели дело с БАР ( профессор Власов П.В.( к сожалению, ныне покойный), говорил, что если на R-грамме лёгких изменения ни на что не похожи- думай о БАР).
Как-то слово "обострение" тут плоховато звучит. Это же не язва и не хронический холецистит. Реактивация ну или прогрессирование подошло бы лучше. Хотя и признаков сего здесь тоже не было. Свежих ("мягких") очагов не появилось, отсевов тоже не было, реакции плевры и выпотов аналогично. Даже если был туберкульоз в анамнезе, данная скиалогическая динамика, как по мне, не вписывается в тубпроцес. Имея на руках все снимки стоило в первую очередь подумать про рак. Рентгенолога особо винить не стоит. Как говорил один старый академик-фтизиатр - туберкульоз и рак в первых сегментах часто ходят под руку.
"Обучая других - учишься сам". Н.И.Пирогов
Спасибо
, за "особо винить не стоит". Когда идет поток и надо решать быстро, думаю ,что главное - "предотвращение распространения инфекционного заболевания ...( это про ООИ)" Но этот принцип - искл. инфекцию, "а девушки потом" вбит в меня навсегда, онкоболезнь не заразна, и может подождать. М.б. я и не прав...
Все бывает. Не ошибается только тот, кто не работает. Я недавно пропустил медиастинальную форму центрального рака на фоне плеврита з затеками куда только возможно. На секции все умняком, как такое можно пропустить. А на снимок смотрят, ой, а что это такое. А вот замаскировано.
"Обучая других - учишься сам". Н.И.Пирогов
Покажите народу "пропуск". Будет многим полезно.
Другого качества нет, снято в спешке на телефон. Снимок "ушел" на експертизу. Документальных данных верификации тоже еще не передали. Поступал больной с правосторонней пневмонией. Экзитус на третий день. Вот как-то так. Это все, что есть...
"Обучая других - учишься сам". Н.И.Пирогов