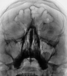
Пол пациента: Мужской пол Тип патологии: Другое Область исследования: Челюстно-лицевая область и шея Методы исследования: Rg Поступает в высшую школу милиции. Направлен на рентгенографию ППН. https://radiomed.ru/sites/default/files/styles/case_slider_image/public/user/12/2.dscn1174a.jpg?itok=_hRRR14D ID:26746 Втр, 05/03/2013 - 18:44 #1 Глазков Игорь А... Не на сайте Был на сайте: 11 месяцев 2 недели назад Зарегистрирован: 19.12.2008 - 20:41 Публикации: 1597 Очень похоже на кистозное образование левой верхне-челюстной пазухи. Прийди к Себе Втр, 05/03/2013 - 19:03 #2 Сергей Кузьминов Не на сайте Был на сайте: 1 год 2 месяцев назад Зарегистрирован: 06.10.2012 - 15:51 Публикации: 11813 Да,киста левой верхнечелюстной пазухи. Втр, 05/03/2013 - 23:15 #3 Наталия Васильевна Не на сайте Был на сайте: 5 лет 11 месяцев назад Зарегистрирован: 25.09.2011 - 09:02 Публикации: 754 Киста-кистой, а что за дырочка в лобной пазухе слева? Наложение теней грануляций? Ср, 06/03/2013 - 11:10 #4 Гаврилов Кирилл... Не на сайте Был на сайте: 8 лет 2 недели назад Зарегистрирован: 03.11.2009 - 21:50 Публикации: 87 Киста левой верхнечелюсной пазухи. Как вариант - локальное истончение стенки левой лобной пазухи (ИМХО) Рентгеновы лучи никогда не ошибаются. Ошибаемся мы, переводя их на свой язык Ср, 06/03/2013 - 19:14 #5 maker4ik Не на сайте Был на сайте: 8 лет 9 месяцев назад Зарегистрирован: 19.10.2011 - 17:49 Публикации: 2682 С такой кистой он еще долго поступать будет. Пнд, 11/03/2013 - 00:33 #6 brainmodel Не на сайте Был на сайте: 4 месяцев 3 недели назад Зарегистрирован: 18.03.2010 - 22:04 Публикации: 2881 Наталия Васильевна wrote: Киста-кистой, а что за дырочка в лобной пазухе слева? .. Бандыцкая пуля пролетела! Скиалогия нормы в лобных. Кистовидная тень в альвеолярной бухте левой гайморовой пазухи. Verum plus uno esse non potest. Пнд, 11/03/2013 - 20:04 #7 Наталия Васильевна Не на сайте Был на сайте: 5 лет 11 месяцев назад Зарегистрирован: 25.09.2011 - 09:02 Публикации: 754 brainmodel wrote: Бандыцкая пуля пролетела! Скиалогия нормы в лобных. Кистовидная тень в альвеолярной бухте левой гайморовой пазухи. [/quote] Ну, вот-еще не поступил, а уже пули свистят! А кисту можно и прооперировать, и пули не страшны, ему же в противогазе бегать не надо.
Очень похоже на кистозное образование левой верхне-челюстной пазухи.
Прийди к Себе
Да,киста левой верхнечелюстной пазухи.
Киста-кистой, а что за дырочка в лобной пазухе слева? Наложение теней грануляций?
Киста левой верхнечелюсной пазухи. Как вариант - локальное истончение стенки левой лобной пазухи (ИМХО)
Рентгеновы лучи никогда не ошибаются. Ошибаемся мы, переводя их на свой язык
С такой кистой он еще долго поступать будет.
Verum plus uno esse non potest.
[/quote]
Ну, вот-еще не поступил, а уже пули свистят! А кисту можно и прооперировать, и пули не страшны, ему же в противогазе бегать не надо.