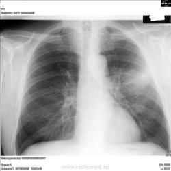
imcho:Я не вижу где затенение расположено в боковой проекции? Это точно R-грамма того же пациента? Конуры затенения нечёткие-это инфильтрат, вероятно пневмонического характера. Возможно температуры нет, потому что он перенёс её на ногах, а сейчас мы видим рентгенологический "хвост" пневмонии.
Лихорадки нет. Абсцедирующая в фазе инфильтрата отпадает. Интересна разница скиалогии по проекциям: в прямой - размытый инфильтрат с чем-то овальным в центре, в боковой - эдакий дендрит с усами. Ждем томки.
Контроль через 7 дней АБТ,без бокового и томограмм.Появилась субфебрильная лихорадка.Терапевт отправил к фтизиатру.Жду мнений по динамике.Продолжение следует.Про даты-прямой в пятницу,боковой в понедельник.Больной тот же,не перепутано.
для назначения АБТ? Состояние удовлетворительное, температуры нет. Какая я же это пневмония при таком распространении процесса? Да, лихорадка иногда отсутствует, но это отмечается иногда у ослабленных (дряхлых) пациентов 75 лет и старше. Пневмония это не просто воспаление какого-то участка легочной ткани. Это заболевание всего организма. Поэтому оно должно проявляться целым рядом общих симптомов, которые известны становятся судентам 3 курса мединститута. Если у больного их нет, это не пневмония и тогда больному показано не скоропалительное лечение, а углубленное оследование. Ваш рисунок через 7 дней на сайте не виден. Придется переставить вновь.
Добавлю клинических данных: к момениу контроля в ОАК лейкоциты14,5тыс.,температура37,5.Алкоголем злоупотребляет запоями.Формула крови без сдвигов,анемии нет.АБТ и консультации назначал терапевт,а не я.Кто ичто может сказать по динамике?
В динамике уменьшение размеров затенения и появление очерченности контуров (?) Несколько непонятно...Такое впечатление, что имеет место пневмония с положительной динамикой в сочетании с чем-то.Для начала взял бы пациента за экран и в условиях полипозционного исследования попытался разобраться с субстратом патологии (или если есть возможность КТ лёгких) . Неполохо было бы поднять ФЛО архив, может быть что-то в этом месте было и раньше. Ну, а пока можно предложить следующий дифференциально-диагностический ряд:
Сразу извиняюсь за зеркальный бок(он правый не могу перевернуть) и за отсутствие томограмм.Снимки сделаны еще через 7дней.К фтизиатру он сходил,сделана РМ,завтра придет ко мне,хочу дообследовать(в ПТД рентгген не работает).Склоняюсь кмеждолевому плевриту сположительной динамикой.А мнения Ваши?
В аксиллярном субсегменте инфильтрация, более интенсивная в центре. Что то, кажется, "круглит". Выскажусь в пользу периферического
рака. Очень хочется ТГ. Надеюсь будут выставлены.Ждем продолжения.
шепчет мне внутренний голос.
Какой-то перисциссурит, что ли слева.
imcho:Я не вижу где затенение расположено в боковой проекции? Это точно R-грамма того же пациента? Конуры затенения нечёткие-это инфильтрат, вероятно пневмонического характера. Возможно температуры нет, потому что он перенёс её на ногах, а сейчас мы видим рентгенологический "хвост" пневмонии.
Лихорадки нет. Абсцедирующая в фазе инфильтрата отпадает. Интересна разница скиалогии по проекциям: в прямой - размытый инфильтрат с чем-то овальным в центре, в боковой - эдакий дендрит с усами. Ждем томки.
Verum plus uno esse non potest.
Как-то такое же впечатление.
С уважением,
Нужно резать прям с центра и смотреть,ну а лучше через 1-3 месяца динамику,если уже пролечен и выписан.Для себя...
Природа дает достаточно, чтобы удовлетворить естественные потребности
на Ro-граммах разная дата - это дата снимков или может быть дата конвертирования? номера исследований разные.
Если в динамике- тогда за эозинофильную инфильтрацию
для назначения АБТ? Состояние удовлетворительное, температуры нет. Какая я же это пневмония при таком распространении процесса? Да, лихорадка иногда отсутствует, но это отмечается иногда у ослабленных (дряхлых) пациентов 75 лет и старше. Пневмония это не просто воспаление какого-то участка легочной ткани. Это заболевание всего организма. Поэтому оно должно проявляться целым рядом общих симптомов, которые известны становятся судентам 3 курса мединститута. Если у больного их нет, это не пневмония и тогда больному показано не скоропалительное лечение, а углубленное оследование. Ваш рисунок через 7 дней на сайте не виден. Придется переставить вновь.
А мне субъективно "круглит" в верхнем средостении, особенно справа....
в верхнем средостении можно было увидеть на боковой рентгенограмме. Но оно не видно.
Переставляю.
Добавлю клинических данных: к момениу контроля в ОАК лейкоциты14,5тыс.,температура37,5.Алкоголем злоупотребляет запоями.Формула крови без сдвигов,анемии нет.АБТ и консультации назначал терапевт,а не я.Кто ичто может сказать по динамике?
В динамике уменьшение размеров затенения и появление очерченности контуров (?) Несколько непонятно...Такое впечатление, что имеет место пневмония с положительной динамикой в сочетании с чем-то.Для начала взял бы пациента за экран и в условиях полипозционного исследования попытался разобраться с субстратом патологии (или если есть возможность КТ лёгких) . Неполохо было бы поднять ФЛО архив, может быть что-то в этом месте было и раньше. Ну, а пока можно предложить следующий дифференциально-диагностический ряд:
1.Тромбоэмболия лёгочной артерии осложнённая пневмонией.
2.Периферический рак в сочетании с пневмонией с локализацией в S3.
3.Пневмония в сочетании с ограниченным пневмофиброзом.
4.Междолевой плеврит
Кажется классический инф.ТВС
Кажется классический инф.ТВС
---------------------------------------------------------------------------------------------------------------------------------------------------------
На основании каких признаков вы пришли к такому выводу?
А что ж бочок-то не сделали? Разночтения-то по нему. Или в "загашнике" с томограммами?
С уважением,
Сразу извиняюсь за зеркальный бок(он правый не могу перевернуть) и за отсутствие томограмм.Снимки сделаны еще через 7дней.К фтизиатру он сходил,сделана РМ,завтра придет ко мне,хочу дообследовать(в ПТД рентгген не работает).Склоняюсь кмеждолевому плевриту сположительной динамикой.А мнения Ваши?
0
Спасибо.Ваше мнение очень ценно для меня.
ищите рак.