Туберкулёз

тюи аватар
Не на сайте
Был на сайте: 12 лет 10 месяцев назад
Зарегистрирован: 19.02.2013 - 17:58
Публикации: 8

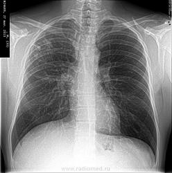
Добрый день.Мужчина 1980 года рожения.Диагноз:Инфильтративный туберкулёз правого лёгкого в фазе распада.Лечение длится 6 месяцев.Я высылаю все снимки ,которые были сделанны во время лечения.меня интересуют вопросы:

1)Какова динамика?

2)Надо ли продолжать лечение ,после сделанного последнего снимка(27/03/2013)?

Буду очень благодарна за ответ.

Nikolas аватар
Не на сайте
Был на сайте: 1 месяц 1 неделя назад
Зарегистрирован: 21.12.2010 - 20:37
Публикации: 4560

Томограммы? Надо смотреть наступило ли заживление полости в легком. 

Сергей Кузьминов аватар
Не на сайте
Был на сайте: 1 год 2 месяцев назад
Зарегистрирован: 06.10.2012 - 15:51
Публикации: 11813

Динамика положительна,но нужны томограммы,хотя бы линейные.Вопрос о прдолжении лечения решает лечащий врач,обычно на таком сроке лечение продолжают.

Нормандия аватар
Не на сайте
Был на сайте: 11 лет 11 месяцев назад
Зарегистрирован: 10.11.2012 - 10:49
Публикации: 81

каковы результаты посевов? Устойчивость? Желательны томограммы. На вскидку-уплотнение и организация, +динамика. Туберкулез такая штука,медлительная)))

И,может, все же прав поэт? Не верится,что это враки. Чем ближе узнаю людей,тем больше нравятся собаки.

тюи аватар
Не на сайте
Был на сайте: 12 лет 10 месяцев назад
Зарегистрирован: 19.02.2013 - 17:58
Публикации: 8

Томограмму делали в начале лечения,после врач не назначал.Устойчивости нет.Посев мокроты в начале лечения БК+-,после 2-х месяце лечения БК-.Больной чувствовал себя хорошо,туберкулёз выявлен при профилактическом осмотре(случайно).Лечение принимал амбулаторно.

Nikolas аватар
Не на сайте
Был на сайте: 1 месяц 1 неделя назад
Зарегистрирован: 21.12.2010 - 20:37
Публикации: 4560

не делают томографический контроль через 6 мес лечения при наличии полости распада в момент выявления?

тюи аватар
Не на сайте
Был на сайте: 12 лет 10 месяцев назад
Зарегистрирован: 19.02.2013 - 17:58
Публикации: 8

Пока ничего об этом не было сказано,через неделю на контроль,может быть направят.А разве,если Бк-,полость распада не закрылась?

brainmodel аватар
Не на сайте
Был на сайте: 4 месяцев 3 недели назад
Зарегистрирован: 18.03.2010 - 22:04
Публикации: 2881

тюи wrote:

...А разве,если Бк-,полость распада не закрылась?

А что же это, как не полость?

Попутный вопрос: я смотрю у Вас Clinomat ItalRay. На каких режимах снимаете флюшки? Довольны ли качеством изображения? В каком формате сохраняются графические файлы (DICOM или JPG)? Есть ли смазанность легочного рисунка ? (кости-то на нем ништяк видны).

Меня лично мой флюорограф не восхищает - зерно картинки, до позвоночника не пробивает, рисунок в легких иногда мазанный, а экспозицию каждый раз вручную не сменишь, а стандартные режимы не корректируются.

Приложения: 
polost.jpg

Verum plus uno esse non potest.

тюи аватар
Не на сайте
Был на сайте: 12 лет 10 месяцев назад
Зарегистрирован: 19.02.2013 - 17:58
Публикации: 8

ОПЯТЬ ,Я К ВАМ УВАЖАЕМЫЕ ВРАЧИ .ФТИЗИАТР ПРЕКРАЩАЕТ ЛЕЧЕНИЕ,НЕ ДЕЛАЯ ТОМОГРАММУ.ЧТО МНЕ ДЕЛАТЬ В ЭТОМ СЛУЧАЕ?

НАДЕЖДА ЮРЬЕВНА аватар
Не на сайте
Был на сайте: 7 лет 1 месяц назад
Зарегистрирован: 30.07.2012 - 13:14
Публикации: 360

Наверное вам надо обратиться на фтизиатрический форум, а не радиологический. Все вопросы о дальнейшем лечении и обследовании  решает лечащий врач.

brainmodel аватар
Не на сайте
Был на сайте: 4 месяцев 3 недели назад
Зарегистрирован: 18.03.2010 - 22:04
Публикации: 2881

тюи wrote:

...ФТИЗИАТР ПРЕКРАЩАЕТ ЛЕЧЕНИЕ,НЕ ДЕЛАЯ ТОМОГРАММУ.ЧТО МНЕ ДЕЛАТЬ В ЭТОМ СЛУЧАЕ?

Вопрос не стоит веденного яйца: сделайте томограммы САМИ, докажите, что рентгенологическая картина не характерна для угасания процесса - и совесь Ваша чиста. Если после всего этого фтизиатр по-прежнему забивает на пациента - это его Гиппократовы и юридические проблемы. ОДНАКО, на вашем месте я бы сообщил проблему начмеду, чтобы иметь "тыл" для своего дальнейшего неучастия в судьбе возможных отрицательных последствий.

Verum plus uno esse non potest.