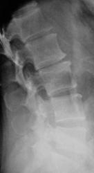
Пол пациента: Женский пол Тип патологии: Другое Область исследования: Скелетно-мышечная система Методы исследования: Rg Боли в пояснице, пациентка направлена на рентгенографию ПОП https://radiomed.ru/sites/default/files/styles/case_slider_image/public/user/12/2.dscn1426a.jpg?itok=e7leiWEL https://radiomed.ru/sites/default/files/styles/case_slider_image/public/user/12/3.dscn1427.jpg?itok=VzSynAjt https://radiomed.ru/sites/default/files/styles/case_slider_image/public/user/12/4.dscn1427a.jpg?itok=6MsG_uLx ID:27772 Чт, 11/04/2013 - 19:54 #1 Алексей Станисл... Не на сайте Был на сайте: 6 лет 3 дня назад Зарегистрирован: 11.08.2012 - 20:33 Публикации: 1903 Даже и боюсь сказать, такие баталии обычно по этому поводу - спондилолиз L4, L5? Не говоря о пресловутом остеохондрозе и "развороте" суставов L3-4, L4-5 во фронтальную плоскость...))) Но раз все молчат... С уважением, Пт, 12/04/2013 - 01:34 #2 Катенёв Валенти... Не на сайте Был на сайте: 7 лет 2 месяцев назад Зарегистрирован: 22.03.2008 - 22:15 Публикации: 54876 Алексей Станиславович wrote: Даже и боюсь сказать, такие баталии обычно по этому поводу А баталий вот и нет..., один Ваш коммент уважаемый коллега, и всё... Пт, 12/04/2013 - 08:35 #3 Алексей Станисл... Не на сайте Был на сайте: 6 лет 3 дня назад Зарегистрирован: 11.08.2012 - 20:33 Публикации: 1903 Не знаю, я столько "красных тряпок" накидал... Неужели все правильно (и больше ничего не видно)? С уважением, Пт, 12/04/2013 - 17:57 #4 Катенёв Валенти... Не на сайте Был на сайте: 7 лет 2 месяцев назад Зарегистрирован: 22.03.2008 - 22:15 Публикации: 54876 Алексей Станиславович wrote: Но раз все молчат... Значит тайну великую хранят...
Даже и боюсь сказать, такие баталии обычно по этому поводу - спондилолиз L4, L5? Не говоря о пресловутом остеохондрозе и "развороте" суставов L3-4, L4-5 во фронтальную плоскость...
))) Но раз все молчат...
С уважением,
А баталий вот и нет..., один Ваш коммент уважаемый коллега, и всё...
Не знаю, я столько "красных тряпок" накидал... Неужели все правильно (и больше ничего не видно)?
С уважением,
Значит тайну великую хранят...