Пол пациента:
Тип патологии:
Область исследования:
Методы исследования:
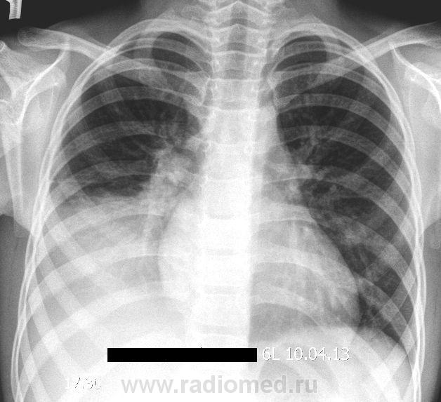
Девочка 6 лет. Болеет 7дней, повышение температуры до 39, кашель. К врачу не обращались, лечились домашними средствами. Вчера появилась боль в правой половине грудной клетки. После выполнения снимка произведена плевральная пункция - получено около 50 мл гемолизированной крови с хлопьями и нитями фибрина.
последние 2 снимка после пункции.
Помогите, пожалуйста, разобраться - какие сегменты поражены, каков процесс?
Заранее благодарен. Ильич.
День добрый!
Хочется отметить что динамики никакой нет.
Объем поражения - нижняя доля правого легкого (инфильтрация (S6-S10) на фоне усиленного легочного рисунка, корень неструктурен) с умеренный уменьшением объема доли.
Хотелось бы знать:
1. делали ли узи плевральной полости до пункции.
2. почему пункция?
3. доп анализы - крови и содержимого, полученного при пункции.
4. промежуток времени между снимками.
1. УЗИ не делали.
2. Поступала в ургентном порядке, снимок оценивал дежурный хирург, подозревал плеврит.
3. Анализы в работе.
4. Промежуток между снимками около 1,5 - 2 часов.
С уважением. Ильич.
Думаю, нижнедолевая пневмония (все сегменты базальной пирамиды). Боковой снимок сильно развернутый получился.
https://www.instagram.com/pediatricradiology/
теперь ясно почему динамики особой нет.
Думаю, что налицо и пневмония (в восьмерке), и выпот. Раз жидкости получили мало - осумкование и ячейки. Про УЗИ - +1, пунктировать в оптимальном месте после разметки.
С уважением,
А чего это просвета бронхов на фоне инфильтрации не видно? Главная междолевка немного втянута к затенению. Не было бы ателектаза (хотя смещения средостения проаво и низведения корня книзу нет). Шестерка интактна. Выпот есть, причем (мне кажется) он преимущественно и дает затенение.
История без снимков. У меня была одна девочка, правда 3 лет. Поступила с приступообразным кашлем. На снимке - чисто, правый корешок широковат и рисунок вокруг сгущен. Через два дня - приступы удушья, цианоз носогубника, температура. На снимке - ателектаз нижней доли со смещением средостения почти на 1\2 вправо. Пока суть да дело (вызов санавиации, постановка капельницы), сделали преднизолон и какой-то бронхолитик, на фоне кашла вместе с обильной мокротой отошел цельной орех-кешью (ела накануне поступления, факт аспирации родителями не акцентирован). Приехала из области через 4 дня здоровенькая.
Это я к чему - из анамнеза с пристрастием бы выудить: чем-нибудь давилась или нет?
Verum plus uno esse non potest.
Я думаю, что затемнение преимущественно, все-таки, дает инфильтрация; выпот, конечно, тоже есть, но не так много. Выраженную консолидацию без видимых просветов бронхов при долевых пневмониях у детей видела не раз на КТ.
https://www.instagram.com/pediatricradiology/
Не видно позитивной воздушной бронхографии. При пневмонии хоть где-то должен быть бронх с воздухом. Выпот, фибринозный. Хотя за ним может быть и инфильтрация прикрыта.
"Обучая других - учишься сам". Н.И.Пирогов
А я уж подумала, что это ателектаз...
имхо:1.Жаль, что перед пункцией не сделали R-грамму в правой боковой проекции. Так, что чисто по скиолгии, по R-грамме в прямой проекции перед пункцией не взял бы на себя смелость утверждать, что имел место выпот в плевральной полости.
2.Если имеет место ателектаз, как предполагают некоторые коллеги, то возникает вопрос, ателектаз чего?(каких сегментов?). Моё мнение, имеет место инфильтрация сегментов базальной пирамиды нижней доли.Данных за ателектаз нет, данные за выпот в плевральной полости сомниельные( в пунктате могли получить кровь).
При всем уважении - лизированную и с фибрином вряд ли.
С уважением,
Всем большое спасибо, коллеги! Динамику выложу по поступлении.
С уважением. Ильич.
Выскажусь за пневмонию