Пол пациента:
Тип патологии:
Область исследования:
Методы исследования:
- https://radiomed.ru/sites/default/files/styles/case_slider_image/public/user/12/2.dscn1683a.jpg?itok=jttoEXul
- https://radiomed.ru/sites/default/files/styles/case_slider_image/public/user/12/3.dscn1684.jpg?itok=NrieO3pL
- https://radiomed.ru/sites/default/files/styles/case_slider_image/public/user/12/4.dscn1684ab.jpg?itok=UvZVYzco
ID:28860
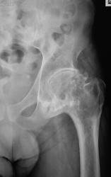
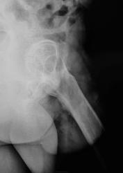
Исход Легг-кальве- пертеса в виде деф. артроза 3.
Что только природа не выдумывает. На что жалуется?
+1 за 3ю степень! У человека нога изуродована, а степень артроза влияет на группу инвалидности. Ну и как он будет с такой ногой работать?
Думаю, что если в описании и заключении упомянуть анкилоз (какой-нибудь), это не будет противоречить класификации артроза, но поможет в инвалидности)))).
С уважением,
Солидарен. Инвалидность надо давать. Упомянуть анкилоз не сложно. Например"анкилоз? - клиника?". Все-таки судьба человека решается.
None are more hopelessly enslaved than those who falsely believe they are free
Конечно все может быть. Но данных (документальных), что болел Легг-Кальве Пертеса нет.
Жалуется на боли в тазобедренном суставе.
+1.
Да, за артроз 3 стадии, и даже за 2 стадии, на мой взгляд, данных нет.
Но ведь артроз ставится (как диагноз), когда есть изменения в суставе..., а остальные "уродства" имеют отношение... - к уродствам.
О группе речь не идет, речь идет о протезировании.
Анкилоз чего?
Протезирование точно нужно. Пусть оперируется.
Да, действительно похоже на мой случай!
с кистовидной перестройкой. Анкилоз не вижу.
Прийди к Себе
Никто и не сказал, что он (анкилоз) есть. Но намекнуть на него с определенной целью - почему нет? Ведь не за горами, а ходить уже сложно...
С уважением,
Конечно, пациент боли ощущает, но бегает как лось, сам видел (хороший друг нашего стоматолога).
а не могут ли это быть последствия старого межвертельного перелома?
Травмы не было
Валентин Львович, уж не томите, скажите народу правду, как мне.
Молодец лось))) Буду в пример приводить его, как кто станет ныть - вотона фото, дивись!
В.Л., что тут уже, какие хитрости упрятаны в случае? Я так с начала самого узрел просветление всего левого края снимка, но свел это на технические моменты. Расскажите и про это, пжлст))
None are more hopelessly enslaved than those who falsely believe they are free
Хитростей нет. Есть простой дебилизм.
Пациент ранее был обследован МРТ, со слов пациента - виллезонодулярный синовит. Конечно понятно, что тут, не один синовит. Обследование было в платной клинике (три кабинетика приема) и на очень дорогом МРТ.
Просветление, и хорошое действительно есть, это не технические моменты, остеопороз и в тазовой кости не хилый, да и на мониторе было видно перестройку структуры. Я про себя, не распространяясь, так, просто так подумал, как "чашку" крепить будут?
Цемента GHV тут надо очень много. И всё-равно может получиться не "как лучше, а как всегда")). CMW - цемент тут не годится, расколется. А бесцементные конструкции ставить вообще никак нельзя. В общем, я бы подписку взял с пациента об отказе от любых претензий - только тогда протез.
None are more hopelessly enslaved than those who falsely believe they are free