Что было с костью?

Пол пациента: 
Тип патологии: 
Область исследования: 
Методы исследования: 

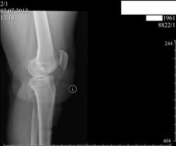
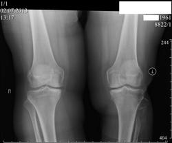
Пациентка 52 лет.Жалобы на боли в коленных суствах, больше справа, ноющие , усиливающиеся при движении. Можно ли не зная анамнеза определиться, что же было с  малоберцовой костью

ева?

  • https://radiomed.ru/sites/default/files/styles/case_slider_image/public/user/406/gryzli2.jpg?itok=yJNdGIdq
  • https://radiomed.ru/sites/default/files/styles/case_slider_image/public/user/406/gryzli3.jpg?itok=sTVocW_6
ID:29772
stovbav аватар
Не на сайте
Был на сайте: 2 года 6 месяцев назад
Зарегистрирован: 20.12.2009 - 17:28
Публикации: 7066

Резекция...почему?...может из за костно-хрящевого экзостоза?))))

арти аватар
Не на сайте
Был на сайте: 12 лет 4 месяцев назад
Зарегистрирован: 26.02.2012 - 11:23
Публикации: 490

А может кусочек кости взяли для каких нибудь нужд.. 

Dima аватар
Не на сайте
Был на сайте: 7 лет 6 месяцев назад
Зарегистрирован: 05.08.2012 - 17:39
Публикации: 2467

Возможно оскольчатый перелом со смещением.

Терпимость - это когда прощают чужие ошибки; такт - когда не замечают их. (Артур Шницлер)

Гриша Хата аватар
Не на сайте
Был на сайте: 10 лет 3 месяцев назад
Зарегистрирован: 09.02.2011 - 20:40
Публикации: 665

Никто в здравом рассудке трансплантат с этой области брать не будет, опасаясь повредить малоберцовый нерв.

Вероятно, она родилась с дефектом верхней трети малоберцовой кости. Такое бывает при амниотических перетяжках. Ничего страшного.

Almo аватар
Не на сайте
Был на сайте: 18 часов 16 минут назад
Зарегистрирован: 28.09.2008 - 18:50
Публикации: 8296

Может быть подождём до 10 комментариев, как это делает Nikolas ?

Андрей Юрьевич аватар
Не на сайте
Был на сайте: 2 месяцев 1 неделя назад
Зарегистрирован: 16.11.2008 - 22:16
Публикации: 18101

Как вариант, несросшийся перелом верхней/3 малоберцовой при переломе н/3 большеберцовой кости.

Андрей Юрьевич

Дмитрий Волегов аватар
Не на сайте
Был на сайте: 3 года 10 месяцев назад
Зарегистрирован: 22.05.2013 - 00:32
Публикации: 1148

прошел через латеральный мыщелок сверху вниз и спереди назад, далее расплавил малоберцовую. К уже перечисленным версиям добавлю версию электротравмы.

С Уважением, Дмитрий.

Любовь С. аватар
Не на сайте
Был на сайте: 9 лет 9 месяцев назад
Зарегистрирован: 23.12.2010 - 01:58
Публикации: 2324

+1 к оперированному экзостозу, и удален не полностью. Возможно, лизис костной ткани после операции.

"Предоставляя весь смысл и совершенство в распоряжение одного только Бога, вы избавляете себя от бездны хлопот." Джон Уитборн.

stovbav аватар
Не на сайте
Был на сайте: 2 года 6 месяцев назад
Зарегистрирован: 20.12.2009 - 17:28
Публикации: 7066

Любовь С. wrote:

+1 к оперированному экзостозу, и удален не полностью. Возможно, лизис костной ткани после операции.

Любовь, спасибо за поддержку моей версии)))

Значит вы тоже увидели небольшой костно-хрящевой экзостоз по задней поверхности бедренной кости?

Almo аватар
Не на сайте
Был на сайте: 18 часов 16 минут назад
Зарегистрирован: 28.09.2008 - 18:50
Публикации: 8296

Операций не было. Была травма голени, с углообразным переломом малоберцовой кости в верхней трети в 2008году (так написано в протоколе R-исследования коленного сустава). Я предполагаю, что сейчас мы видим результат неправильно лечённого перелома малоберцовой кости и не зная анамнеза разобраться в этом, практически не представлятеся возможным.Хотя Dima  и Андрей Юрьевич показали  свою сверхпрницательностьyes! Я то же, пока не прочитал запись в амбулаторной карте, предполагал , что вероятно была какая-то резекция кости.

stovbav аватар
Не на сайте
Был на сайте: 2 года 6 месяцев назад
Зарегистрирован: 20.12.2009 - 17:28
Публикации: 7066

Спасибо за информацию, Александр. 

Так что же все таки по поводу небольшого экзостоза...мне "померещилось"...или он есть?))))

Приложения: 
dthfxjnfjhm.jpg
Любовь С. аватар
Не на сайте
Был на сайте: 9 лет 9 месяцев назад
Зарегистрирован: 23.12.2010 - 01:58
Публикации: 2324

stovbav wrote:

...

Значит вы тоже увидели небольшой костно-хрящевой экзостоз по задней поверхности бедренной кости?

Трактовала, как экзостоз по передней поверхности малой берцовой кости)).

В любом случае, посттравматический остеолиз. Спасибо за дополнения по анамнезу, Александр!

"Предоставляя весь смысл и совершенство в распоряжение одного только Бога, вы избавляете себя от бездны хлопот." Джон Уитборн.

Almo аватар
Не на сайте
Был на сайте: 18 часов 16 минут назад
Зарегистрирован: 28.09.2008 - 18:50
Публикации: 8296

Так что же все таки по поводу небольшого экзостоза...мне "померещилось"...или он есть?))))

---------------------------------------------------------------------------------------------------------------------------------------------------------------

Виктор Григорьевич, мне  кажется, что это ротированная головка малоберцовой кости так получается.

stovbav аватар
Не на сайте
Был на сайте: 2 года 6 месяцев назад
Зарегистрирован: 20.12.2009 - 17:28
Публикации: 7066

Almo wrote:

Так что же все таки по поводу небольшого экзостоза...мне "померещилось"...или он есть?))))

---------------------------------------------------------------------------------------------------------------------------------------------------------------

Виктор Григорьевич, мне  кажется, что это ротированная головка малоберцовой кости так получается.

Александр, я о БЕДРЕННОЙ кости!...бог с ней, с малоберцовой, там теперь уже понятно)))))

Almo аватар
Не на сайте
Был на сайте: 18 часов 16 минут назад
Зарегистрирован: 28.09.2008 - 18:50
Публикации: 8296

Спасибо за дополнения по анамнезу, Александр!

-----------------------------------------------------------------------------------------------------------------------------------------------------------------------

Пожалуста! Правильно собранный анамнез 70% диагноза-так говаривали стрые врачи и это правда!

Almo аватар
Не на сайте
Был на сайте: 18 часов 16 минут назад
Зарегистрирован: 28.09.2008 - 18:50
Публикации: 8296

Никто в здравом рассудке трансплантат с этой области брать не будет, опасаясь повредить малоберцовый нерв.

--------------------------------------------------------------------------------------------------------------------------------------------------------------------------------

yes! Кстати, у пациентки после травмы (автоаварии) развилась нейропатия малоберцового нерва!

Гриша Хата аватар
Не на сайте
Был на сайте: 10 лет 3 месяцев назад
Зарегистрирован: 09.02.2011 - 20:40
Публикации: 665

Малоберцовая кость у человека не несёт осевой нагрузки. С её сращением не бывает проблем при изолированных переломах в верхней трети, даже если их совсем не иммобилизировать. Ну, вспомните хоть один случай несращения. А здесь то ли дефект, то ли атрофический ложный сустав, называйте как хотите. Откуда ему взяться без остеомиелита? Может неврит малоберцового нерва поспособствовал? Но если в карточке так написано, значит правда. Или всё таки был перелом большеберцовой кости в нижней трети, который остался за кадром?

Almo аватар
Не на сайте
Был на сайте: 18 часов 16 минут назад
Зарегистрирован: 28.09.2008 - 18:50
Публикации: 8296

Да, коллега вы правы.Насколко я понял было серьёзное ДТП:   последствием которого явился перелом костей голени( авария была в 2004 году); при чём при описании R-граммы коленного сустава от 2008г.отмечено, что имеет место углообразный перелом верхней трети малоберцовой кости.

Гриша Хата аватар
Не на сайте
Был на сайте: 10 лет 3 месяцев назад
Зарегистрирован: 09.02.2011 - 20:40
Публикации: 665

Спасибо за уточнение, Александр. А то я уже начинал задумываться о разряде молнии, который расплавил малоберцовую кость.

Катенёв Валентин Львович аватар
Не на сайте
Был на сайте: 7 лет 4 месяцев назад
Зарегистрирован: 22.03.2008 - 22:15
Публикации: 54876

Almo wrote:

Да, коллега вы правы.Насколко я понял было серьёзное ДТП:   последствием которого явился перелом костей голени( авария была в 2004 году); при чём при описании R-граммы коленного сустава от 2008г.отмечено, что имеет место углообразный перелом верхней трети малоберцовой кости.

..., а "ларчик", оказывается, просто открывался...