молодая девушка 27 лет

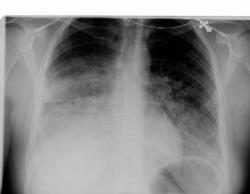
Поступила с жалобами на сердцебиение, кашель с пенистой мокротой,одышку. На Д учете не сотоит.

  • https://radiomed.ru/sites/default/files/styles/case_slider_image/public/user/18473/novaya_papka00002_0.jpg?itok=QJ2TOzKV
  • https://radiomed.ru/sites/default/files/styles/case_slider_image/public/user/18473/novaya_papka00003.jpg?itok=2zehbce6
ID:48310
медсанчасть регион 12 аватар
Не на сайте
Был на сайте: 11 лет 3 месяцев назад
Зарегистрирован: 11.06.2013 - 10:46
Публикации: 136

снимки от 09.07 10.07 12.07 соответственно

Almo аватар
Не на сайте
Был на сайте: 13 часов 55 минут назад
Зарегистрирован: 28.09.2008 - 18:50
Публикации: 8288

А R-грамм в боковых проециях нет? Интенсивное затенениев нижних полях с 2-сторон , более выраженное справа. Резковыраженная положительная динамика за сутки с 9.07. по 10.07., а на моммент 12.07. практически норма. Имеем дело с острым процессом, скорее всего с отёком лёгких, который разрешился на фоне проведённой терапии.Пока такая версия.

Сергей Кузьминов аватар
Не на сайте
Был на сайте: 1 год 2 месяцев назад
Зарегистрирован: 06.10.2012 - 15:51
Публикации: 11813

Соглашусь,пожалуй с отёком.Интересна будет клиника.

И.Бондаренко аватар
Не на сайте
Был на сайте: 2 дня 22 часа назад
Зарегистрирован: 13.09.2011 - 22:55
Публикации: 9208

Альвеолярный отёк лёгких. Какая причина привела к нему?

evgenyxray аватар
Не на сайте
Был на сайте: 3 года 9 месяцев назад
Зарегистрирован: 14.07.2013 - 07:15
Публикации: 68

И.Бондаренко wrote:

Альвеолярный отёк лёгких. Какая причина привела к нему?

Дюже интересно, тем более в таком возрасте. 

Gorbovsky аватар
Не на сайте
Был на сайте: 6 лет 3 месяцев назад
Зарегистрирован: 03.08.2011 - 18:05
Публикации: 348

ТС, а нарушение ритма сердца на ЭКГ было в момент поступления? Или другие изменения?

Было бы величайшей ошибкой думать (с)

Катенёв Валентин Львович аватар
Не на сайте
Был на сайте: 7 лет 3 месяцев назад
Зарегистрирован: 22.03.2008 - 22:15
Публикации: 54876

Боковая где?

медсанчасть регион 12 аватар
Не на сайте
Был на сайте: 11 лет 3 месяцев назад
Зарегистрирован: 11.06.2013 - 10:46
Публикации: 136

Нам представился случай показать и отразить динамику отека легких у молодой больной с пароксизмом наджелудочковой тахикардии ЧСС до 200 в 1 мин.медикаментозно купированний.Синдр.WPW.На Д учете не состоит.

Almo аватар
Не на сайте
Был на сайте: 13 часов 55 минут назад
Зарегистрирован: 28.09.2008 - 18:50
Публикации: 8288

Можете ли вы объяснить,чем обусловлено, то что  при отёке лёгких в данном случае, имеет место неодинаковое по интенсивности поражение правого и левого лёгких?

maker4ik аватар
Не на сайте
Был на сайте: 8 лет 9 месяцев назад
Зарегистрирован: 19.10.2011 - 17:49
Публикации: 2682

Almo wrote:

Может ли вы объяснить,чем обусловлено, то что  при отёке лёгких в данном случае, имеет место неодинаковое по интенсивности поражение правого и левого лёгких?

Может, лежала на боку?

Almo аватар
Не на сайте
Был на сайте: 13 часов 55 минут назад
Зарегистрирован: 28.09.2008 - 18:50
Публикации: 8288

Может, лежала на боку?

------------------------------------------------------------------------------------------------------------------------------------------------------------------------------------------------

Скорее всего вы правы, вероято сказалось то , что справа гидростатическеое давление из-за положения тела, в сосудах было выше чем слева, по этой причине такая ассиметрия по интенсивности проявлений отёка. Но, это только версия ( иного объясения, я просто не могу представить).Может быть кто-то сможет объяснить это явление по другому.

Сергей Кузьминов аватар
Не на сайте
Был на сайте: 1 год 2 месяцев назад
Зарегистрирован: 06.10.2012 - 15:51
Публикации: 11813

Объяснить трудно,но отек часто несимметричен.

ЕЕЮ аватар
Не на сайте
Был на сайте: 2 года 4 месяцев назад
Зарегистрирован: 26.08.2013 - 11:22
Публикации: 410

Какие вы все молодцы, а я бы подумала и описала 2хстороннюю пневмонию. Мой опыт работы 4мес, только прошла ПП. Очень интересно читать коментарии и смотреть снимки.

Вася Разумная аватар
Не на сайте
Был на сайте: 4 месяцев 1 неделя назад
Зарегистрирован: 06.12.2012 - 22:09
Публикации: 571

Может причина синдрома wpw-порок? рекомендовала бы ЭхоКГ.

медсанчасть регион 12 аватар
Не на сайте
Был на сайте: 11 лет 3 месяцев назад
Зарегистрирован: 11.06.2013 - 10:46
Публикации: 136

ЭхоКГ сделана,порока нет.

арти аватар
Не на сайте
Был на сайте: 12 лет 3 месяцев назад
Зарегистрирован: 26.02.2012 - 11:23
Публикации: 490

Ну так наверное какое нибудь оперативное вмешательство, а может аборт 

Nikolas аватар
Не на сайте
Был на сайте: 1 месяц 2 недели назад
Зарегистрирован: 21.12.2010 - 20:37
Публикации: 4560

Спасибо!

Almo аватар
Не на сайте
Был на сайте: 13 часов 55 минут назад
Зарегистрирован: 28.09.2008 - 18:50
Публикации: 8288
Наблюдение отличное

Спасибо! +1.