Состояние после травмы голени?

Пол пациента: 
Тип патологии: 
Область исследования: 
Методы исследования: 

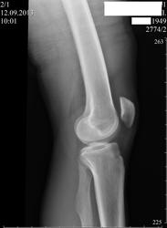
Пациент 64 года. Направлен ревматологом. Жалобы на боли в коленном суставе при ходьбе к концу дня.Ухудшение 3-й день, после перегрузки.DS.Остеоартроз коленного сустава, стадия O-I .

 
 


  • https://radiomed.ru/sites/default/files/styles/case_slider_image/public/user/406/posle_pereloma..jpg?itok=JyVgHkSc
  • https://radiomed.ru/sites/default/files/styles/case_slider_image/public/user/406/ekozostoz.3.jpg?itok=yGNQ_i2e
  • https://radiomed.ru/sites/default/files/styles/case_slider_image/public/user/406/ekzostoz4.jpg?itok=h-CoVwgk
ID:31779
Almo аватар
Не на сайте
Был на сайте: 8 часов 14 минут назад
Зарегистрирован: 28.09.2008 - 18:50
Публикации: 8289

Вызывает вопросы малоберцовая кость. Что это? Состояние после перелома?

Любовь С. аватар
Не на сайте
Был на сайте: 9 лет 8 месяцев назад
Зарегистрирован: 23.12.2010 - 01:58
Публикации: 2324

Нормальный гребень.

"Предоставляя весь смысл и совершенство в распоряжение одного только Бога, вы избавляете себя от бездны хлопот." Джон Уитборн.

Almo аватар
Не на сайте
Был на сайте: 8 часов 14 минут назад
Зарегистрирован: 28.09.2008 - 18:50
Публикации: 8289

А углообразная деформация малоберцовой кости? то же вариант нормы?

maker4ik аватар
Не на сайте
Был на сайте: 8 лет 9 месяцев назад
Зарегистрирован: 19.10.2011 - 17:49
Публикации: 2682

Старый сросшийся перелом верхней трети диафиза малоберцовой кости. ДОА не вижу.

Almo аватар
Не на сайте
Был на сайте: 8 часов 14 минут назад
Зарегистрирован: 28.09.2008 - 18:50
Публикации: 8289

Момент травмы голени не помнит.Хотя теоретически могла быть в детстве или опроная функция не страдала, мог срастись без лечения.

stovbav аватар
Не на сайте
Был на сайте: 2 года 5 месяцев назад
Зарегистрирован: 20.12.2009 - 17:28
Публикации: 7066

Almo wrote:

А углообразная деформация малоберцовой кости? то же вариант нормы?

А это, случаем, не луковичный периостит...как то в прямой проекции близко к тому, хотя боковая...

А вот ДОА и не пахнет, как по мне.

Almo аватар
Не на сайте
Был на сайте: 8 часов 14 минут назад
Зарегистрирован: 28.09.2008 - 18:50
Публикации: 8289

Виктор Григорьевич, у меня то же были сомнения в плане, не периостит ли это?  Допустим, что это периостит, а за счёт чего тогда углообразная деформация  малоберцовой кости?

stovbav аватар
Не на сайте
Был на сайте: 2 года 5 месяцев назад
Зарегистрирован: 20.12.2009 - 17:28
Публикации: 7066

Almo wrote:

Виктор Григорьевич, у меня то же были сомнения в плане, не периостит ли это?  Допустим, что это периостит, а за счёт чего тогда углообразная деформация  малоберцовой кости?

Да, но структура в этом самом деформированом участке весьма "стремная".

tatyana аватар
Не на сайте
Был на сайте: 4 года 4 месяцев назад
Зарегистрирован: 24.06.2009 - 08:33
Публикации: 2090

экзостоз на широком основании. нет периостита

"самоуверенность дилетантов - предмет зависти профессионалов"

Almo аватар
Не на сайте
Был на сайте: 8 часов 14 минут назад
Зарегистрирован: 28.09.2008 - 18:50
Публикации: 8289

Коллеги, огромное спасибо за помощь! Татьяна, какова должна быть тактика ведения пациента с экзостозом-консультация онколога или ортопеда?

Almo аватар
Не на сайте
Был на сайте: 8 часов 14 минут назад
Зарегистрирован: 28.09.2008 - 18:50
Публикации: 8289

Добавлены архивные снимки. Такое впечатление, что за год отсутствует существенная динамика.

tatyana аватар
Не на сайте
Был на сайте: 4 года 4 месяцев назад
Зарегистрирован: 24.06.2009 - 08:33
Публикации: 2090

Если клинически не беспокоит (по виду - не должно) - ничего не надо делать, наблюдайте дальше

"самоуверенность дилетантов - предмет зависти профессионалов"

Almo аватар
Не на сайте
Был на сайте: 8 часов 14 минут назад
Зарегистрирован: 28.09.2008 - 18:50
Публикации: 8289

наблюдайте дальше

--------------------------------------------------------------------------------------------------------------------------------------

Татьяна, что вы имеете ввиду, говоря наблюдайте дальше? Контрольные R- граммы? с какой частотой это делать- 1 раз в год?

tatyana аватар
Не на сайте
Был на сайте: 4 года 4 месяцев назад
Зарегистрирован: 24.06.2009 - 08:33
Публикации: 2090

да

"самоуверенность дилетантов - предмет зависти профессионалов"

Almo аватар
Не на сайте
Был на сайте: 8 часов 14 минут назад
Зарегистрирован: 28.09.2008 - 18:50
Публикации: 8289

Спасибо! Будем иметь ввиду (доведу ваш рекомедации и до клинициста!)