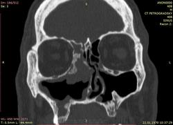
Инвертированная папиллома?

Мужчина 53 лет, много лет назад оперировали на носу, "удаляли полипы".

 

Очень похоже на инвертированную папиллому - редкое полиповидное доброкачественное новообразование. Интересно, что костные разрастания внутри опухоли (древовидный гиперостоз) указывают на источник ее роста - в нашем случае из латеральной стенки решетчатой пазухи http://www.ajnr.org/content/28/4/618.long

DICOM тута 

  • https://radiomed.ru/sites/default/files/styles/case_slider_image/public/user/1116/img-0002-00001_1.jpg?itok=E461gJq5
  • https://radiomed.ru/sites/default/files/styles/case_slider_image/public/user/1116/img-0003-00001_2.jpg?itok=ivIti2Vk
  • https://radiomed.ru/sites/default/files/styles/case_slider_image/public/user/1116/img-0004-00001_1.jpg?itok=nY_AgkZk
  • https://radiomed.ru/sites/default/files/styles/case_slider_image/public/user/1116/img-0005-00001_2.jpg?itok=-yp7KX6v
  • https://radiomed.ru/sites/default/files/styles/case_slider_image/public/user/1116/img-0006-00001_1.jpg?itok=HzpQYbcw
  • https://radiomed.ru/sites/default/files/styles/case_slider_image/public/user/1116/img-0007-00001_0.jpg?itok=y6ZUpf8F
  • https://radiomed.ru/sites/default/files/styles/case_slider_image/public/user/1116/img-0008-00001_0.jpg?itok=x31hx-Q9
  • https://radiomed.ru/sites/default/files/styles/case_slider_image/public/user/1116/img-0009-00001_0.jpg?itok=L3VC111d
  • https://radiomed.ru/sites/default/files/styles/case_slider_image/public/user/1116/img-0010-00001_0.jpg?itok=EuvA36bV
  • https://radiomed.ru/sites/default/files/styles/case_slider_image/public/user/1116/img-0011-00001_0.jpg?itok=s6jiSCi3
  • https://radiomed.ru/sites/default/files/styles/case_slider_image/public/user/1116/img-0012-00001_0.jpg?itok=FZUcQRgv
  • https://radiomed.ru/sites/default/files/styles/case_slider_image/public/user/1116/img-0013-00001_0.jpg?itok=o3GPBuQC
  • https://radiomed.ru/sites/default/files/styles/case_slider_image/public/user/1116/img-0014-00001_0.jpg?itok=EL7J0m_g
  • https://radiomed.ru/sites/default/files/styles/case_slider_image/public/user/1116/img-0015-00001_0.jpg?itok=7pCFt-Ug
  • https://radiomed.ru/sites/default/files/styles/case_slider_image/public/user/1116/img-0016-00001_0.jpg?itok=NxERjmuo
  • https://radiomed.ru/sites/default/files/styles/case_slider_image/public/user/1116/img-0017-00001_0.jpg?itok=zvQ6gFGe
  • https://radiomed.ru/sites/default/files/styles/case_slider_image/public/user/1116/img-0018-00001_0.jpg?itok=PvS9nb4A
  • https://radiomed.ru/sites/default/files/styles/case_slider_image/public/user/1116/img-0019-00001_0.jpg?itok=gGhWvIyc
  • https://radiomed.ru/sites/default/files/styles/case_slider_image/public/user/1116/img-0020-00001_0.jpg?itok=3NMrtflq
ID:48479
vadim losevichev аватар
Не на сайте
Был на сайте: 7 лет 4 месяцев назад
Зарегистрирован: 27.01.2013 - 09:45
Публикации: 679

Очень похоже на зло.

Non progrĕdi est regrĕdi.

Popovpavel аватар
Не на сайте
Был на сайте: 7 лет 5 месяцев назад
Зарегистрирован: 08.06.2009 - 00:23
Публикации: 649

Чем именно похоже на зло?

vadim losevichev аватар
Не на сайте
Был на сайте: 7 лет 4 месяцев назад
Зарегистрирован: 27.01.2013 - 09:45
Публикации: 679

Лезет во все стороны. Контрастнуть бы.

Non progrĕdi est regrĕdi.

vadim losevichev аватар
Не на сайте
Был на сайте: 7 лет 4 месяцев назад
Зарегистрирован: 27.01.2013 - 09:45
Публикации: 679

В нашей больничке такое смотрят с контрастом.

Non progrĕdi est regrĕdi.

Popovpavel аватар
Не на сайте
Был на сайте: 7 лет 5 месяцев назад
Зарегистрирован: 08.06.2009 - 00:23
Публикации: 649

Разве доброкачественное образование не может лезть во все стороны? И что нам даст контраст в этом случае? Границы опухоли и так видны совершенно четко.

Dima аватар
Не на сайте
Был на сайте: 7 лет 5 месяцев назад
Зарегистрирован: 05.08.2012 - 17:39
Публикации: 2467

Очень интересное наблюдение... На зло действительно похоже. А в глазницу правую пролезает? 

Терпимость - это когда прощают чужие ошибки; такт - когда не замечают их. (Артур Шницлер)

Андрей Юрьевич аватар
Не на сайте
Был на сайте: 1 месяц 1 неделя назад
Зарегистрирован: 16.11.2008 - 22:16
Публикации: 18101

Наверное, коллега, похоже на инверированную папилому. Вы же готовились, литературу изучали. Мы-то с наскока. Только неясно, зачем загонять себя в узкие рамки гистологического диагноза. Можно же написать, вероятно.... А гистологически пусть гистологи ставят. Объект для взятия материала доступен.

Андрей Юрьевич

Popovpavel аватар
Не на сайте
Был на сайте: 7 лет 5 месяцев назад
Зарегистрирован: 08.06.2009 - 00:23
Публикации: 649

Андрей Юрьевич wrote:

Наверное, коллега, похоже на инверированную папилому. Вы же готовились, литературу изучали. Мы-то с наскока. Только неясно, зачем загонять себя в узкие рамки гистологического диагноза. Можно же написать, вероятно.... А гистологически пусть гистологи ставят. Объект для взятия материала доступен.

Ну я так и написал, предположительно. Естественно, окончательное заключение по гистологии делают гистологи. С другой стороны, если мы видим довольно яркие признаки, то почему бы не предположить, и не нацелить тех же гистологов и клиницистов на нужную тактику.

Popovpavel аватар
Не на сайте
Был на сайте: 7 лет 5 месяцев назад
Зарегистрирован: 08.06.2009 - 00:23
Публикации: 649

Dima wrote:

Очень интересное наблюдение... На зло действительно похоже. А в глазницу правую пролезает? 

Я не заметил, кажется, нет.

koriatus аватар
Не на сайте
Был на сайте: 3 года 2 месяцев назад
Зарегистрирован: 14.06.2010 - 01:49
Публикации: 452

 Было бы с 2-х сторон - был бы полипоз, а так как с одной стороны - то очень большая вероятность инвертированной папилломы. Сказать есть или нет зло сможет только гистология. Инвертированные папилломы имеют свойство перерождаються. Но вероятность этого низкая.

А вообще, тут самое важное описание анатомических предоперационных особенностей. Не люблю пазухи - тяжело их изза этого описывать :(

Alisa аватар
Не на сайте
Был на сайте: 8 лет 11 месяцев назад
Зарегистрирован: 24.06.2014 - 18:30
Публикации: 30

koriatus wrote:

 Было бы с 2-х сторон - был бы полипоз, а так как с одной стороны - то очень большая вероятность инвертированной папилломы. Сказать есть или нет зло сможет только гистология. Инвертированные папилломы имеют свойство перерождаються. Но вероятность этого низкая.

А вообще, тут самое важное описание анатомических предоперационных особенностей. Не люблю пазухи - тяжело их изза этого описывать :(

Добрый вечер , как Вы считаете а на полип это не похоже?

Я сама занимаюсь КТ , но на конусно-лучевом аппарате . Опыт пока небольшой . И поэтому все наблюдения вадны для практики.