Прошу помощи в определении патологии

Пол пациента: 
Тип патологии: 

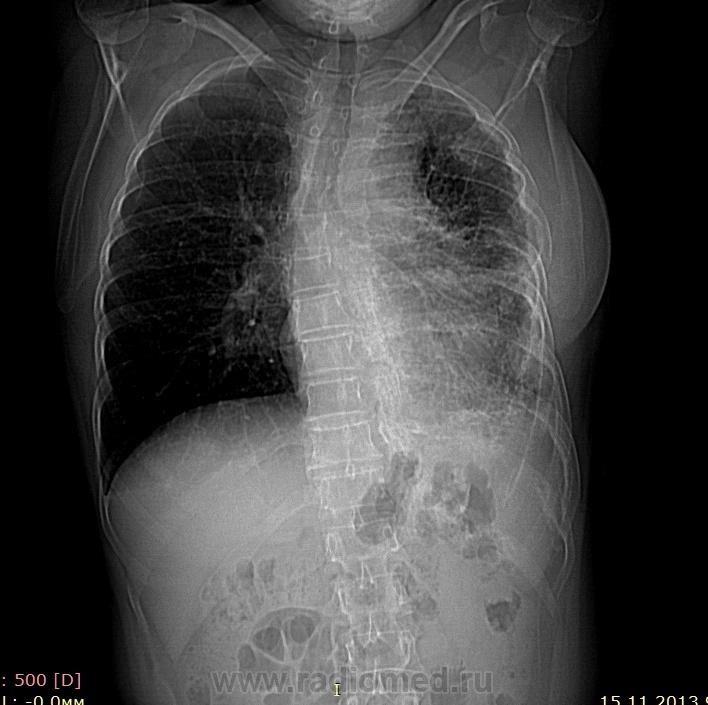
Пациентка 60лет, жалобы на одышку, боли в грудной клетке, слабость( по поведению в кабинете никто слабости не увидел) Из другого района( архива нет), КТ ГМ, легких, шейного отдела позвоночника по "рекомендации платно профессора такого-то". Болеет длительное время( не знаю скоко), обследовалась на ТБ много раз, не выявлено. На онко - " пунктировали, но онкологии не выявили" Т.е. и фтизиатры и онкологи  сказали нет, " а мне болит". 

Вот после консультации назначено КТ " черепа, грудной клетки, шейного отдела позвоночника, ОБП".  За голову и позвоночник - в пределах возраста, ОБП на понедельник. А вот легкие непонятны, прошу помочь, может кто сталкивался? Описать-то, описал" как описант", по типу "оссифицирующее диспластическое заболевание легочной и медиастинальной плевры, перикарда, фиброзных оболочек печени и брюшной полости." М.б. кто-то уже видел?

 

 

 

 

 

 

Дайкомы: Ссылка для скачивания файла:
http://www.fayloobmennik.net/3355952

  • https://radiomed.ru/sites/default/files/styles/case_slider_image/public/user/17212/2_11.jpg?itok=C8r-RsOY
  • https://radiomed.ru/sites/default/files/styles/case_slider_image/public/user/17212/3_3.jpg?itok=udBi8QJq
  • https://radiomed.ru/sites/default/files/styles/case_slider_image/public/user/17212/4_3.jpg?itok=fmYDAhr9
  • https://radiomed.ru/sites/default/files/styles/case_slider_image/public/user/17212/5_2.jpg?itok=BrpG2Wux
  • https://radiomed.ru/sites/default/files/styles/case_slider_image/public/user/17212/6_1.jpg?itok=5Is245_c
  • https://radiomed.ru/sites/default/files/styles/case_slider_image/public/user/17212/7_0.jpg?itok=K6TJbPxT
  • https://radiomed.ru/sites/default/files/styles/case_slider_image/public/user/17212/8_0.jpg?itok=6-0mF5Lo
  • https://radiomed.ru/sites/default/files/styles/case_slider_image/public/user/17212/9_0.jpg?itok=gNTcD3yn
  • https://radiomed.ru/sites/default/files/styles/case_slider_image/public/user/17212/10_0.jpg?itok=iyxO35HV
ID:33399
Андрей Юрьевич аватар
Не на сайте
Был на сайте: 3 дня 19 часов назад
Зарегистрирован: 16.11.2008 - 22:16
Публикации: 18098

Ничего умного не скажу. Написал бы сочетание "панцирного" сердца и "панцирного" легкого, пневмофиброза.  В кальцификации брюшины не уверен. Бронхоскопию делали?

Андрей Юрьевич

алкс аватар
Не на сайте
Был на сайте: 10 лет 2 недели назад
Зарегистрирован: 24.10.2012 - 22:55
Публикации: 2915

Андрей Юрьевич ! А не первичны ли ребра? Не оттуда ли, по типу (м.б.у меня  уже "ум за разум заходит") ФИБРОЗНОЙ  остеодисплазии множественной?

Любовь С. аватар
Не на сайте
Был на сайте: 9 лет 5 месяцев назад
Зарегистрирован: 23.12.2010 - 01:58
Публикации: 2324

Хороший вариант - инкрустация плевры как последствие эпмиемы или гемоторакса. Плохой вариант: остеосаркома

  рис 5 тут:   http://www.ajronline.org/doi/full/10.2214/AJR.11.6927

http://www.ajronline.org/doi/pdf/10.2214/ajr.168.2.9016203

"Предоставляя весь смысл и совершенство в распоряжение одного только Бога, вы избавляете себя от бездны хлопот." Джон Уитборн.

Андрей Юрьевич аватар
Не на сайте
Был на сайте: 3 дня 19 часов назад
Зарегистрирован: 16.11.2008 - 22:16
Публикации: 18098

Не думаю. Вообще не уверен в поражении ребер. Это обызвествленная костальная плевра так вросла (на мой взгляд).

Андрей Юрьевич

федя аватар
Не на сайте
Был на сайте: 11 лет 7 месяцев назад
Зарегистрирован: 25.06.2011 - 20:28
Публикации: 260

по поводу онкологии похоже на симп,том упакованного легкого при мезотелиоме (возможно леченный вариант),а также на леченную лимфому,ну и изменения в ребрах типа 2_ по Людвигу просто поддалкивает на вариант 2 

Андрей Юрьевич аватар
Не на сайте
Был на сайте: 3 дня 19 часов назад
Зарегистрирован: 16.11.2008 - 22:16
Публикации: 18098

С перикардом, похоже, я погорячился, а вот кальцификация плевры с мягкотканным компонентом появилась и справа. А что, остеосаркомы такие бывают?

Андрей Юрьевич

Бородулин М.А. аватар
Не на сайте
Был на сайте: 9 месяцев 1 неделя назад
Зарегистрирован: 17.02.2011 - 01:10
Публикации: 1409

алкс wrote:

Андрей Юрьевич ! А не первичны ли ребра? Не оттуда ли, по типу (м.б.у меня  уже "ум за разум заходит") ФИБРОЗНОЙ  остеодисплазии множественной?

Извините вмешаюсь.

Любовь С. раскрыла причины. Вероятно тщательный сбор анамнеза или анализ истории болезни Вас бы успокоил.  

Подобные вещи хоть редко, но встречаются.

Любовь С. аватар
Не на сайте
Был на сайте: 9 лет 5 месяцев назад
Зарегистрирован: 23.12.2010 - 01:58
Публикации: 2324

Алкс, фиброзная дисплазия тут рядом не пробегала. 

"Предоставляя весь смысл и совершенство в распоряжение одного только Бога, вы избавляете себя от бездны хлопот." Джон Уитборн.

алкс аватар
Не на сайте
Был на сайте: 10 лет 2 недели назад
Зарегистрирован: 24.10.2012 - 22:55
Публикации: 2915

Любовь С. wrote:

Хороший вариант - инкрустация плевры как последствие эпмиемы или гемоторакса. Плохой вариант: остеосаркома

ООО!!!!!! Тут явно плохой!!! Но при пункциях онко нет! Теперь НЕ ВЕРЮ их пункциям по этой больной:  не попали,не нашли,не распознали...

Любовь С.! Весьма признателен за ответ и ссылки .  Это Вам - , спасибо большое

Любовь С. аватар
Не на сайте
Был на сайте: 9 лет 5 месяцев назад
Зарегистрирован: 23.12.2010 - 01:58
Публикации: 2324

Ооооо.... польщена в самые недра!))) Пожалуйста!))

P.S. Пункция детям не игрушка... тут, скорее всего, надо открытую биопсию. В-общем, это траблы онколога.

P.P.S. Чем больше смотрю, тем больше тянет на зло, многоузловое поражение плевры, все участки обызвествлений (наверняка это неправильное название) имеют мягкотканный компонент... Так что хороший вариант отметаю.

Приложения: 
plevra.jpg

"Предоставляя весь смысл и совершенство в распоряжение одного только Бога, вы избавляете себя от бездны хлопот." Джон Уитборн.

алкс аватар
Не на сайте
Был на сайте: 10 лет 2 недели назад
Зарегистрирован: 24.10.2012 - 22:55
Публикации: 2915

Спасибо за помощь! С онкологами теперь можно поговорить будет. А то толкают человека на КТ - дай диагноз! Вот пусть теперь и дают!

Любовь С. аватар
Не на сайте
Был на сайте: 9 лет 5 месяцев назад
Зарегистрирован: 23.12.2010 - 01:58
Публикации: 2324

Коллега посоветовала: универсальный ответ на "Дай диагноз!" Описываете КТ, и после заключения мелкими буквами приписываете: Заключение КТ не является диагнозом и должно интерпретироваться лечащим врачом в соответствии с клинико-лабораторными данными. Еще лучше вбить сие изречение в нижний колонтитул протокола.

"Предоставляя весь смысл и совершенство в распоряжение одного только Бога, вы избавляете себя от бездны хлопот." Джон Уитборн.

Makcimalist аватар
Не на сайте
Был на сайте: 11 лет 8 месяцев назад
Зарегистрирован: 08.05.2010 - 14:28
Публикации: 1994

Любовь С. wrote:

Коллега посоветовала: универсальный ответ на "Дай диагноз!" Описываете КТ, и после заключения мелкими буквами приписываете: Заключение КТ не является диагнозом и должно интерпретироваться лечащим врачом в соответствии с клинико-лабораторными данными. Еще лучше вбить сие изречение в нижний колонтитул протокола.

По-моему, такое заключение уже вбито повсеместно в протокол. Или уже вбивается... Немного букв в тексте и ответственности ещё меньше.)

--------------

"Просто, по видимости, не видеть логики в очевидных вещах - это тоже одно из свойств некоторых умов, наряду с грустными думами о свойствах ума других."  © Vega 08/10/2011

Anilk аватар
Не на сайте
Был на сайте: 11 лет 3 месяцев назад
Зарегистрирован: 16.11.2013 - 15:08
Публикации: 10

Как онкорентгенолог остеосаркому отметаю сразу - ни возраст, ни картина, ни анамнез не подтверждают. Можно думать о мезотелиоме, есть варианты с достаточно доброкачественным течением, для них характерны обызвествления, множественность поражения, в точм числе по перикарду, плевре, брюшине. Однако, судя по деформации грудной клетки - процесс очень длительный, все-таки мезотелиома обычно развивается быстрее. Поствоспалительные изменения? Желательно покопаться в анамнезе, было ли какое-то лечение?

алкс аватар
Не на сайте
Был на сайте: 10 лет 2 недели назад
Зарегистрирован: 24.10.2012 - 22:55
Публикации: 2915

Anilk wrote:

Как онкорентгенолог остеосаркому отметаю сразу - ни возраст, ни картина, ни анамнез не подтверждают. Можно думать о мезотелиоме, есть варианты с достаточно доброкачественным течением, для них характерны обызвествления, множественность поражения, в точм числе по перикарду, плевре, брюшине. Однако, судя по деформации грудной клетки - процесс очень длительный, все-таки мезотелиома обычно развивается быстрее. Поствоспалительные изменения? Желательно покопаться в анамнезе, было ли какое-то лечение?

А мое описание Вас устроило? Покопаемся, посмотрим

Бородулин М.А. аватар
Не на сайте
Был на сайте: 9 месяцев 1 неделя назад
Зарегистрирован: 17.02.2011 - 01:10
Публикации: 1409

Любовь С. wrote:

Ооооо.... польщена в самые недра!))) Пожалуйста!))

P.S. Пункция детям не игрушка... тут, скорее всего, надо открытую биопсию. В-общем, это траблы онколога.

P.P.S. Чем больше смотрю, тем больше тянет на зло, многоузловое поражение плевры, все участки обызвествлений (наверняка это неправильное название) имеют мягкотканный компонент... Так что хороший вариант отметаю.

Хотя Надежда Юрьевна продемонстрировала обратное: http://www.radiomed.ru/cases/metastazy-v-pozvonochnik Ноисключения только подтверждают правило и вероятность Вашего последнего предположения ничтожно мала.

алкс аватар
Не на сайте
Был на сайте: 10 лет 2 недели назад
Зарегистрирован: 24.10.2012 - 22:55
Публикации: 2915

Бородулин М.А. wrote:

Любовь С. wrote:

Ооооо.... польщена в самые недра!))) Пожалуйста!))

P.S. Пункция детям не игрушка... тут, скорее всего, надо открытую биопсию. В-общем, это траблы онколога.

P.P.S. Чем больше смотрю, тем больше тянет на зло, многоузловое поражение плевры, все участки обызвествлений (наверняка это неправильное название) имеют мягкотканный компонент... Так что хороший вариант отметаю.

Хотя Надежда Юрьевна продемонстрировала обратное: http://www.radiomed.ru/cases/metastazy-v-pozvonochnik Ноисключения только подтверждают правило и вероятность Вашего последнего предположения ничтожно мала.

А, мы с Вами, про тот или этот случай? Там явные Мтс, а тут другое.  Покажите хоть один затронутый позвонок. Причем тут Мтс?

Бородулин М.А. аватар
Не на сайте
Был на сайте: 9 месяцев 1 неделя назад
Зарегистрирован: 17.02.2011 - 01:10
Публикации: 1409

алкс wrote:

Бородулин М.А. wrote:

Любовь С. wrote:

Ооооо.... польщена в самые недра!))) Пожалуйста!))

P.S. Пункция детям не игрушка... тут, скорее всего, надо открытую биопсию. В-общем, это траблы онколога.

P.P.S. Чем больше смотрю, тем больше тянет на зло, многоузловое поражение плевры, все участки обызвествлений (наверняка это неправильное название) имеют мягкотканный компонент... Так что хороший вариант отметаю.

Хотя Надежда Юрьевна продемонстрировала обратное: http://www.radiomed.ru/cases/metastazy-v-pozvonochnik Ноисключения только подтверждают правило и вероятность Вашего последнего предположения ничтожно мала.

А, мы с Вами, про тот или этот случай? Там явные Мтс, а тут другое.  Покажите хоть один затронутый позвонок. Причем тут Мтс?

Имелось ввиду положение6 Что чаше встречается, то и есть.

А в представленом наблюдении был продемонстрирова. исключительно редкий источник метастазов в позоночник.

В Вашем случае действительно ни один пзвонок не затронут.  А с точки зрения вероятности имеют место последствия перенесенного нагноительного процесса.

алкс аватар
Не на сайте
Был на сайте: 10 лет 2 недели назад
Зарегистрирован: 24.10.2012 - 22:55
Публикации: 2915

Бородулин М.А. "Имелось ввиду положение6 Что чаше встречается, то и есть.

А в представленом наблюдении был продемонстрирова. исключительно редкий источник метастазов в позоночник."

Я понимаю, что Вы хотели сказать. Источник явных Мт оказался редким, НО ПОНЯТНЫМ. А тут вопрос в том, что НИКТО не сказал, что это ВООБЩЕ такое. Исключительно редкий случай - ЧЕГО?

Сольвейг аватар
Не на сайте
Был на сайте: 3 года 5 месяцев назад
Зарегистрирован: 05.02.2013 - 20:25
Публикации: 2239

Уважаемые коллеги!Боюсь высказать свое мнение,-но складывается впечатление о делах давно минувших дней-больших остаточных изменений п/перенесенного tbc.Не кидайте в меня камнями-я бы не говорила,если бы не видела собственными глазами похожие изменения.

Бородулин М.А. аватар
Не на сайте
Был на сайте: 9 месяцев 1 неделя назад
Зарегистрирован: 17.02.2011 - 01:10
Публикации: 1409

алкс wrote:

Бородулин М.А. "Имелось ввиду положение6 Что чаше встречается, то и есть.

А в представленом наблюдении был продемонстрирова. исключительно редкий источник метастазов в позоночник."

Я понимаю, что Вы хотели сказать. Источник явных Мт оказался редким, НО ПОНЯТНЫМ. А тут вопрос в том, что НИКТО не сказал, что это ВООБЩЕ такое. Исключительно редкий случай - ЧЕГО?

Данные публикации безусловно очень интересны.

http://www.ajronline.org/doi/full/10.2214/AJR.11.6927

http://www.ajronline.org/doi/pdf/10.2214/ajr.168.2.9016203

 

Но все же в вопросе диагностики в Вашем наблюдении  желательно подробные анамнестические данные.

Makcimalist аватар
Не на сайте
Был на сайте: 11 лет 8 месяцев назад
Зарегистрирован: 08.05.2010 - 14:28
Публикации: 1994

Миргалина wrote:
Уважаемые коллеги!Боюсь высказать свое мнение,-но складывается впечатление о делах давно минувших дней-больших остаточных изменений п/перенесенного tbc.Не кидайте в меня камнями-я бы не говорила,если бы не видела собственными глазами похожие изменения.

+

Бородулин М.А. wrote:

Но все же в вопросе диагностики в Вашем наблюдении  желательно подробные анамнестические данные.

(данные, по-видимости, из личного общения с пациенткой?)

= узнаем в ПН...

--------------

"Просто, по видимости, не видеть логики в очевидных вещах - это тоже одно из свойств некоторых умов, наряду с грустными думами о свойствах ума других."  © Vega 08/10/2011

Алексей Игоревич Чернявский аватар
Не на сайте
Был на сайте: 6 лет 10 месяцев назад
Зарегистрирован: 08.08.2012 - 21:52
Публикации: 786

Миргалина wrote:
Уважаемые коллеги!Боюсь высказать свое мнение,-но складывается впечатление о делах давно минувших дней-больших остаточных изменений п/перенесенного tbc.Не кидайте в меня камнями-я бы не говорила,если бы не видела собственными глазами похожие изменения.

+1. Присоединяюсь.

"Обучая других - учишься сам". Н.И.Пирогов
 

stovbav аватар
Не на сайте
Был на сайте: 2 года 2 месяцев назад
Зарегистрирован: 20.12.2009 - 17:28
Публикации: 7066

Любовь С. wrote:

........все участки обызвествлений (наверняка это неправильное название) ......

Все больше и все чаще склоняюсь к употреблению термина "минерализация"....ибо не известью единой...как говорится)))))

Алексей Игоревич Чернявский аватар
Не на сайте
Был на сайте: 6 лет 10 месяцев назад
Зарегистрирован: 08.08.2012 - 21:52
Публикации: 786

Миргалина wrote:
Уважаемые коллеги!Боюсь высказать свое мнение,-но складывается впечатление о делах давно минувших дней-больших остаточных изменений п/перенесенного tbc.Не кидайте в меня камнями-я бы не говорила,если бы не видела собственными глазами похожие изменения.

+1. Присоединяюсь.

"Обучая других - учишься сам". Н.И.Пирогов
 

алкс аватар
Не на сайте
Был на сайте: 10 лет 2 недели назад
Зарегистрирован: 24.10.2012 - 22:55
Публикации: 2915

Makcimalist wrote:

Миргалина wrote:
Уважаемые коллеги!Боюсь высказать свое мнение,-но складывается впечатление о делах давно минувших дней-больших остаточных изменений п/перенесенного tbc.Не кидайте в меня камнями-я бы не говорила,если бы не видела собственными глазами похожие изменения.

+

Бородулин М.А. wrote:

Но все же в вопросе диагностики в Вашем наблюдении  желательно подробные анамнестические данные.

(данные, по-видимости, из личного общения с пациенткой?)

= узнаем в ПН...

ЗАВТРА узнаем.

Popovpavel аватар
Не на сайте
Был на сайте: 7 лет 2 месяцев назад
Зарегистрирован: 08.06.2009 - 00:23
Публикации: 649

Любовь С. wrote:

P.P.S. Чем больше смотрю, тем больше тянет на зло, многоузловое поражение плевры, все участки обызвествлений (наверняка это неправильное название) имеют мягкотканный компонент... Так что хороший вариант отметаю.

Что до меня, то мне незнакомо ни одно злокачественное поражение плевры, сопровождающееся такими массивными обызвествлениями...

По-моему, просто инкрустация как последствия перенесенного плеврита, скорее всего туберкулезного.

Андрей Юрьевич аватар
Не на сайте
Был на сайте: 3 дня 19 часов назад
Зарегистрирован: 16.11.2008 - 22:16
Публикации: 18098

Popovpavel wrote:

Любовь С. wrote:

P.P.S. Чем больше смотрю, тем больше тянет на зло, многоузловое поражение плевры, все участки обызвествлений (наверняка это неправильное название) имеют мягкотканный компонент... Так что хороший вариант отметаю.

Что до меня, то мне незнакомо ни одно злокачественное поражение плевры, сопровождающееся такими массивными обызвествлениями...


Уважаемый коллега, а что вы скажете по случаю 5 из приведенного Любовью источника http://www.ajronline.org/doi/full/10.2214/AJR.11.6927

Андрей Юрьевич

Бородулин М.А. аватар
Не на сайте
Был на сайте: 9 месяцев 1 неделя назад
Зарегистрирован: 17.02.2011 - 01:10
Публикации: 1409

Popovpavel wrote:

Любовь С. wrote:

P.P.S. Чем больше смотрю, тем больше тянет на зло, многоузловое поражение плевры, все участки обызвествлений (наверняка это неправильное название) имеют мягкотканный компонент... Так что хороший вариант отметаю.

Что до меня, то мне незнакомо ни одно злокачественное поражение плевры, сопровождающееся такими массивными обызвествлениями...

По-моему, просто инкрустация как последствия перенесенного плеврита, скорее всего туберкулезного.

Тем не менее Уважаемый Павел Любовь С. доказала, что ее гипотеза имеет право на существование.

Makcimalist аватар
Не на сайте
Был на сайте: 11 лет 8 месяцев назад
Зарегистрирован: 08.05.2010 - 14:28
Публикации: 1994

Popovpavel wrote:

Любовь С. wrote:

P.P.S. Чем больше смотрю, тем больше тянет на зло, многоузловое поражение плевры, все участки обызвествлений (наверняка это неправильное название) имеют мягкотканный компонент... Так что хороший вариант отметаю.

Что до меня, то мне незнакомо ни одно злокачественное поражение плевры, сопровождающееся такими массивными обызвествлениями...

По-моему, просто инкрустация как последствия перенесенного плеврита, скорее всего туберкулезного.

Забыли добавить - "... с таким объёмным уменьшением гемиторакса."

Бородулин М.А. wrote:

Тем не менее Уважаемый Павел Любовь С. доказала, что ее гипотеза имеет право на существование.

Но к данному наблюдению гипотеза не применима.

--------------

"Просто, по видимости, не видеть логики в очевидных вещах - это тоже одно из свойств некоторых умов, наряду с грустными думами о свойствах ума других."  © Vega 08/10/2011

алкс аватар
Не на сайте
Был на сайте: 10 лет 2 недели назад
Зарегистрирован: 24.10.2012 - 22:55
Публикации: 2915

алкс wrote:

Makcimalist wrote:

Миргалина wrote:
Уважаемые коллеги!Боюсь высказать свое мнение,-но складывается впечатление о делах давно минувших дней-больших остаточных изменений п/перенесенного tbc.Не кидайте в меня камнями-я бы не говорила,если бы не видела собственными глазами похожие изменения.

+

Бородулин М.А. wrote:

Но все же в вопросе диагностики в Вашем наблюдении  желательно подробные анамнестические данные.

(данные, по-видимости, из личного общения с пациенткой?)

= узнаем в ПН...

ЗАВТРА узнаем.

Не узнаем. Пациентку уговорили в НИИ, м.б. для нее лучше. Записи КТ были конс. в ОКБ , заинтересовались ученые и т.д. От нас пациентку забрали. Все ,что успел - выложил. По тел. с ОКБ:  Тб - отрицание полное, болезнь "свежая"( 1-1,5года!), убеждение ученых о мезотелиоме, НО экстраоссальную остеосаркому никто не отверг! Еще какие-то лимфосарко. Короче диагноза нет, по КТ ОБП на словах: "вдоль левого мочеточника до м.таза похожая продольная оссификация с частичным нарушением оттока, участки оссификации передней бр. стенки. Оссификация нескольких лимфоузлов  вдоль аорты."  Вроде на биопсию согласилась, но только не в ЦРБ и не ОКБ, а в НИИ.

Сожалею, что пока не могу ответить на вопрос о патологии. Результаты биопсии обязательно сообщу.

Сольвейг аватар
Не на сайте
Был на сайте: 3 года 5 месяцев назад
Зарегистрирован: 05.02.2013 - 20:25
Публикации: 2239

Если все так,-случай уникальный.К слову,tbc уживается и с лимфосаркомой,но озадачила похожая оссификация вдоль мочеточника.Будем ждать результаты.

алкс аватар
Не на сайте
Был на сайте: 10 лет 2 недели назад
Зарегистрирован: 24.10.2012 - 22:55
Публикации: 2915

Миргалина wrote:
Если все так,-случай уникальный.К слову,tbc уживается и с лимфосаркомой,но озадачила похожая оссификация вдоль мочеточника.Будем ждать результаты.

Потому все и всполошились( более 10 звонков от разных чинов за день), и нам остается ждать результата.

Бородулин М.А. аватар
Не на сайте
Был на сайте: 9 месяцев 1 неделя назад
Зарегистрирован: 17.02.2011 - 01:10
Публикации: 1409

Повторю пункт #29 с эпитетом блестяще.

Popovpavel аватар
Не на сайте
Был на сайте: 7 лет 2 месяцев назад
Зарегистрирован: 08.06.2009 - 00:23
Публикации: 649

Бородулин М.А. wrote:

Popovpavel wrote:

Любовь С. wrote:

P.P.S. Чем больше смотрю, тем больше тянет на зло, многоузловое поражение плевры, все участки обызвествлений (наверняка это неправильное название) имеют мягкотканный компонент... Так что хороший вариант отметаю.

Что до меня, то мне незнакомо ни одно злокачественное поражение плевры, сопровождающееся такими массивными обызвествлениями...

По-моему, просто инкрустация как последствия перенесенного плеврита, скорее всего туберкулезного.

Тем не менее Уважаемый Павел Любовь С. доказала, что ее гипотеза имеет право на существование.

Вы знаете, да.

Я только теперь посмотрел DICOM. И я бы сказал, что тут есть некоторые признаки, которые заставляют посомневаться в банальной инкрустации.

Во-первых, создается впечатление о наличии плюс-ткани, извините уж за жаргон.

Во-вторых, изменения в прилежащих отделах легкого трудно объяснить простым фиброзом - скорее тут имеют место "свежие" интерстициальные изменения, напоминающие таковые при лимфогенном карциноматозе.

И версия Любови С. очень интересна! Сам я никогда не сталкивался с остеосаркомой плевры, но чем Бог не шутит...

Так что, пишите и держите в курсе дела!

Popovpavel аватар
Не на сайте
Был на сайте: 7 лет 2 месяцев назад
Зарегистрирован: 08.06.2009 - 00:23
Публикации: 649

Андрей Юрьевич wrote:

Popovpavel wrote:

Любовь С. wrote:

P.P.S. Чем больше смотрю, тем больше тянет на зло, многоузловое поражение плевры, все участки обызвествлений (наверняка это неправильное название) имеют мягкотканный компонент... Так что хороший вариант отметаю.

Что до меня, то мне незнакомо ни одно злокачественное поражение плевры, сопровождающееся такими массивными обызвествлениями...


Уважаемый коллега, а что вы скажете по случаю 5 из приведенного Любовью источника http://www.ajronline.org/doi/full/10.2214/AJR.11.6927

Скажу, что это очень интересно. Я посмотрел DICOM и засомневался в собственном комменте.

алкс аватар
Не на сайте
Был на сайте: 10 лет 2 недели назад
Зарегистрирован: 24.10.2012 - 22:55
Публикации: 2915

Привожу КТ брюшной полости и таза. Обрезанцы реформатов, то ,что смог добыть по просьбе.

Дайкомы то, что переслали через сервер( часть просто натив, часть реформаты):

Ссылка для скачивания файла:
http://www.fayloobmennik.net/3366316

Приложения: 
img-0001-00001.jpgimg-0002-00001.jpgimg-0003-00001.jpgimg-0004-00001.jpgimg-0005-00001.jpgimg-0006-00001.jpgimg-0007-00001.jpgimg-0008-00001.jpgimg-0009-00001.jpg