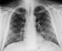
на представленных снимках то же написал бы Хронический бронхит. Обострение?
Вот какой вопрос... Прошу помочь как начинающему рентгенологу! :-)
На рентгенографию ОГК, направляется поток пациентов с единственной бумажечкой в которой указано "Исключить пневмонию", при чём как взрослых так и детей... без амбулаторной карты, (без жалоб, анамнеза, статуса и предварительного диагноза, не говоря уже о данных архива, перенесённых заболеваний и травм груд клетки и так далее), возникла напряженная ситуация с терапевтами и педиатрами... Пытаюсь доказать, что всё выше указанное необходимо для вынесения адекватного Заключения, но на меня смотрят как на инопланетянина, говорят что всегда так работали... Пытался, в особых случаях, сам слушать, щупать, нюхать, опрашивать но тогда ничего неуспеваю... Причём рентгенографию ОГК назначают , только в одной проекции, спросил - почему? ответ - Не хотим облучать лишний раз! Хотя сами в направлении пишут "Исключить пневмонию" большинству больных , болячки которых не имеют отношения к брохо-лёгочной системе... с детьми такая же история... "лечат картинку а не человека"
Как мне обоснованно доказать свою правоту? Есть ли четкие критерии для ретгеноологии при ДЗ пневмония, потому что при каждом бронхите "фоткаем", отказать нет возможности...
Один раз написал человеку с "застойными лёгкими и декомпенсированным сердцем" по одному снимочку, что "Пневмония не исключена" и обосновал, что из-за отсутствия таких то и таких то данных, при наличия затемнения инфильтративного характера и т.д. и т.п. Началась маленькая локальная война!
мне кажется это неправильно, ведь есть диагностический минимум который должны назначать терапевты/педиатры...
вот представьте, после первичного приёма ребёнку делают прямой снимок, а сразу заключение отдать нет возможности (мало рентгенологов, совмещают), рентгенолог пишет, что например -в нижних отделах справа не исключена пневмония, назначает правый бок, на следующий день мамаша тягает больного ребёнка по морозцу опять в больницу, опять очередь... что бы сделать боковой... нужно ли это? зачем так мучать человечка? может целесообразней сразу сделать в нужных проекциях, а уж о дообследовании рентгенолог сам решит... что нужно сделать...
Хр. бронхит это не наше заключение. Есть усиление лёгочного рисунка обоих лёгких. В правом верхние сегмегты, есть очаговые тени слабой интенсивности. Я бы написал пневмонию. Очень характерно для вирусной.
спасибо! А все же- есть пневмония или нет? Больной завтра прийдет на прием, нужно определиться с окончательным диагнозом.
То ли пропустил, то ли недопонял. У Вас есть его архив? Или анамнез с потвержденным диагнозом? Как бы это не наше писать острый или хронический бронхит.
Хр. бронхит это не наше заключение. Есть усиление лёгочного рисунка обоих лёгких. В правом верхние сегмегты, есть очаговые тени слабой интенсивности. Я бы написал пневмонию. Очень характерно для вирусной.
Характерно как для бронхопневмонии, так и для Твс.) Сейчас больного дообследуем по полной!)
Мне кажется это все тенеи сосудов. Хронический бронхит рентгенологически это туфта, пишем для облегчения жизни клиницистам и потому что так привыкли все. Вопрос с направлениями "для исключения пневмонии" на бумажках надо отрезать раз и навсегда. Врачи обязаны предоставить первичную медицинскую документацию (амбулаторную карту или карту стационарного больного), в которой четко должно присутсвовать обоснование, цель и диагноз для проведения рентгена. Ну или те же пункты в направлении на худой конец. Это четко регламентировано приказами. Какими в России я не знаю) Без этого всего можете запросто отказывать, сделав свою запись с обоснованием отказа.
на представленных снимках то же написал бы Хронический бронхит. Обострение?
Вот какой вопрос... Прошу помочь как начинающему рентгенологу! :-)
На рентгенографию ОГК, направляется поток пациентов с единственной бумажечкой в которой указано "Исключить пневмонию", при чём как взрослых так и детей... без амбулаторной карты, (без жалоб, анамнеза, статуса и предварительного диагноза, не говоря уже о данных архива, перенесённых заболеваний и травм груд клетки и так далее), возникла напряженная ситуация с терапевтами и педиатрами...
Пытаюсь доказать, что всё выше указанное необходимо для вынесения адекватного Заключения, но на меня смотрят как на инопланетянина, говорят что всегда так работали... Пытался, в особых случаях, сам слушать, щупать, нюхать, опрашивать но тогда ничего неуспеваю...
Причём рентгенографию ОГК назначают , только в одной проекции, спросил - почему? ответ - Не хотим облучать лишний раз! Хотя сами в направлении пишут "Исключить пневмонию" большинству больных , болячки которых не имеют отношения к брохо-лёгочной системе... с детьми такая же история... "лечат картинку а не человека"
Как мне обоснованно доказать свою правоту? Есть ли четкие критерии для ретгеноологии при ДЗ пневмония, потому что при каждом бронхите "фоткаем", отказать нет возможности...
Один раз написал человеку с "застойными лёгкими и декомпенсированным сердцем" по одному снимочку, что "Пневмония не исключена" и обосновал, что из-за отсутствия таких то и таких то данных, при наличия затемнения инфильтративного характера и т.д. и т.п. Началась маленькая локальная война!
спасибо! А все же- есть пневмония или нет? Больной завтра прийдет на прием, нужно определиться с окончательным диагнозом.
У нас обычно рентгенолог решает нужна ли боковая проекция. А пневмонию пишут для "обоснованности" направления.
мне кажется это неправильно, ведь есть диагностический минимум который должны назначать терапевты/педиатры...
вот представьте, после первичного приёма ребёнку делают прямой снимок, а сразу заключение отдать нет возможности (мало рентгенологов, совмещают), рентгенолог пишет, что например -в нижних отделах справа не исключена пневмония, назначает правый бок, на следующий день мамаша тягает больного ребёнка по морозцу опять в больницу, опять очередь... что бы сделать боковой... нужно ли это? зачем так мучать человечка? может целесообразней сразу сделать в нужных проекциях, а уж о дообследовании рентгенолог сам решит... что нужно сделать...
Хр. бронхит это не наше заключение. Есть усиление лёгочного рисунка обоих лёгких. В правом верхние сегмегты, есть очаговые тени слабой интенсивности. Я бы написал пневмонию. Очень характерно для вирусной.
Пневмонии не вижу.
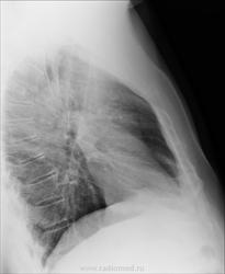
здесь. См рисунок.
Ёлка, привет!) с Наступающим профессиональным праздником)) Классный ник, оч.нравится.

Норма.
"Предоставляя весь смысл и совершенство в распоряжение одного только Бога, вы избавляете себя от бездны хлопот." Джон Уитборн.
Тоже бы написал усиление и обогащение легочного рисунка. И порекомендовал бы R-контроль.
Это просто обогащенный рисунок, суммированный с ребрами. С другой стороны точно такой же.
То ли пропустил, то ли недопонял. У Вас есть его архив? Или анамнез с потвержденным диагнозом? Как бы это не наше писать острый или хронический бронхит.
Спасибо!)
Характерно как для бронхопневмонии, так и для Твс.) Сейчас больного дообследуем по полной!)
--------------
"Просто, по видимости, не видеть логики в очевидных вещах - это тоже одно из свойств некоторых умов, наряду с грустными думами о свойствах ума других." © Vega 08/10/2011
Мне кажется это все тенеи сосудов. Хронический бронхит рентгенологически это туфта, пишем для облегчения жизни клиницистам и потому что так привыкли все. Вопрос с направлениями "для исключения пневмонии" на бумажках надо отрезать раз и навсегда. Врачи обязаны предоставить первичную медицинскую документацию (амбулаторную карту или карту стационарного больного), в которой четко должно присутсвовать обоснование, цель и диагноз для проведения рентгена. Ну или те же пункты в направлении на худой конец. Это четко регламентировано приказами. Какими в России я не знаю) Без этого всего можете запросто отказывать, сделав свою запись с обоснованием отказа.
"Обучая других - учишься сам". Н.И.Пирогов
Всем большое спасибо!