КТ гортани, где левый грушевидный синус?

Истратова Ольга аватар
Не на сайте
Был на сайте: 10 лет 4 месяцев назад
Зарегистрирован: 17.05.2010 - 14:08
Публикации: 7

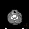
Уважаемые коллеги, помогите пожалуйста. Проводилось обследование МСКТ гортани, пациентка 40 лет, жалобы на осиплость голоса в течение последней недели, при физикальном осмотре ЛОР врачом - голосовые связки умеренно гиперемированы, по задней стенке глотки "ручеек подсохшего гнойного экссудата". Пальпируется лимфоузел справа, плотный. Слева так же пальпируется, но мягкой консистенции. КТ проводилось в 2 спирали на свободном дыхании и фонации "иииииии", контраст не вводился - категорический отказ. По КТ - изменения правой гайморовой пазухи (утолщенная слизистая), и визуализация левого грушевидного синуса - определяется маленьким пузырьком воздуха, без достоверной связи с полостью глотки, связки - без особенностей, + группа лимфоузлов; на фонации - связки в неполном смыкании (до 3 мм), но думаю - здесь неадекватное выполнение команды, практически симметричны (слева минимально отклонена, и то если придираться), грушевидный синус слева так и не расправился (к сожалению картинок на фонации пока нет, рабочая станция занята(((). Достоверно признаков объемного процесса - не вижу. Исследование проводим редко, опыт к сожалению мизерный, подскажите - возможно аномалия развития? или все-таки выставлять neo под вопросом и к онкологу? Спасибо огромное.

Image preview  Image previewImage previewImage previewImage previewImage previewImage preview

 

Image previewImage previewImage previewImage preview

 

 

 

 

 

 

 

 

 

Истратова Ольга аватар
Не на сайте
Был на сайте: 10 лет 4 месяцев назад
Зарегистрирован: 17.05.2010 - 14:08
Публикации: 7

Вроде прикрепила, благодарю за любую помощь.

Приложения: 
ax_3mm.jpgax2_3mm.jpgax3_3mm.jpgax4_3mm.jpgax5_3mm.jpgax6_3mm.jpgax7_3mm.jpg3.jpgbatch_2.jpglevo.jpgpravo.jpg
Любовь С. аватар
Не на сайте
Был на сайте: 9 лет 10 месяцев назад
Зарегистрирован: 23.12.2010 - 01:58
Публикации: 2324

Если ЛОР-врач направил на КТ гортани с подозрением на онкологию, то смысла делать без контраста нет. Пациент имеет право отказаться, врач-рентгенолог - тоже, мотивируя низкой информативностью. Можно перенаправить на МРТ, туда, где персонал владеет МРТ шеи.

Облитерация левого грушевидного синуса, возможно, воспалительного генеза. Четко образования не видно.

"Предоставляя весь смысл и совершенство в распоряжение одного только Бога, вы избавляете себя от бездны хлопот." Джон Уитборн.

Истратова Ольга аватар
Не на сайте
Был на сайте: 10 лет 4 месяцев назад
Зарегистрирован: 17.05.2010 - 14:08
Публикации: 7

Огромное спасибо!!! прекрасно понимаю, что без контраста информативность низкая, но пациентка делала "по желанию", к сожалению мнение врача-рентгенолога при оплате исследования не особенно учитывается(( ЛОР-врач смотрел уже после исследования (в одной организации работаем, вот и зацепила посмотреть и исследование и пациентку). Спасибо еще раз большое. 

koriatus аватар
Не на сайте
Был на сайте: 3 года 4 месяцев назад
Зарегистрирован: 14.06.2010 - 01:49
Публикации: 452

К сожалению, у нас в России  почему-то КТ гортани часто  делается до  осмотра ЛОР-врача и без контрастирования.

Это делать ни в коем случае нельзя. Небольшие образования слизистой оболочеки по КТ не видны, также адекватно оценить функциональные изменения по КТ сложно. Напишите, что ничего нету - потом ЛОР будет ориентироваться на ваше заключение - и будет пропуск опухоли. Цель выполнения КТ - не установление первичной опухоли (если это не подсвязочный отдел) - тут диагноз должен ставится ЛОР-врачем и биопсийно. Цель КТ - установить распространность опухоли и уровни пораженных лимфоузлов (от этого зависит тактика лечения). 

 Поэому  правильная тактика выполнения только после ЛОРа. Причем должно быть не просто направление от него  - а протокол исследования! (что и где видит ЛОР-врач).

 Обязательно контраст. Если не хотят вводить - то лучше вообще исследование не делать. Отказываемся и все. Я своим пациентам говорю - если хотите - идите делайте в другой частный центр. Мы или делаем как надо, или не делаем вообще. 

Есть хорошая книга по опухлям головы и шеи. Автор кажется Hermanns . Там про все очень хорошо описано. Если хотите - выложу. 

Андрей Юрьевич аватар
Не на сайте
Был на сайте: 3 месяцев 11 часов назад
Зарегистрирован: 16.11.2008 - 22:16
Публикации: 18101

koriatus wrote:
...Есть хорошая книга по опухлям головы и шеи. Автор кажется Hermanns . Там про все очень хорошо описано. Если хотите - выложу.

Очень хочу.

Андрей Юрьевич

koriatus аватар
Не на сайте
Был на сайте: 3 года 4 месяцев назад
Зарегистрирован: 14.06.2010 - 01:49
Публикации: 452
koriatus аватар
Не на сайте
Был на сайте: 3 года 4 месяцев назад
Зарегистрирован: 14.06.2010 - 01:49
Публикации: 452

И, кстати, если задача смотреть грушевидные синусы - то тогда надо исследование  при маневре Вальсальвы, а не при фонации.

И по поводу маневров: в настоящее время делаю это довльно редко (в основном маневр Вальсальвы использую если по нативу не очень понравится расправление грушевидных синусов.

Из книги по вышеприведенной ссылке:

"Dynamic maneuvers are mainly helpful in showing superficial tumor spread, while the purpose of imag- ing is describing deep tumor extent. Also, abnormal mobility of the vocal cord is more accurately seen during clinical examination than on dynamic imaging studies. Therefore, the added value of acquiring images during a dynamic maneuver in staging head and neck neoplasms is, on average, limited. "

Dima аватар
Не на сайте
Был на сайте: 7 лет 6 месяцев назад
Зарегистрирован: 05.08.2012 - 17:39
Публикации: 2467

koriatus wrote:

http://yadi.sk/d/-AkkEuqKFQVn2

Спасибо!

Терпимость - это когда прощают чужие ошибки; такт - когда не замечают их. (Артур Шницлер)

Андрей Юрьевич аватар
Не на сайте
Был на сайте: 3 месяцев 11 часов назад
Зарегистрирован: 16.11.2008 - 22:16
Публикации: 18101

koriatus wrote:

http://yadi.sk/d/-AkkEuqKFQVn2


Спасибо!

Андрей Юрьевич

koriatus аватар
Не на сайте
Был на сайте: 3 года 4 месяцев назад
Зарегистрирован: 14.06.2010 - 01:49
Публикации: 452

Это 2-е издание книги (2012 года). Думаю в настоящее время это одна из лучши книг по данной теме. Кто часто  сталкивается с опухолями шеи или пазух а также постоперационными/постлучевыми изменениями после лечения  - эта книга обязательна к прочтению. Прежде чем садится писать шею - настоятельно рекомендую ее прочитать (чтобы понимать наши возможности, что мы должны писать а что не должны, в каких случаях что мы можем рекомендовать, какая тактика обследования пациентов после лучевой терапии).

Многие не любят смотреть шею и это понятно: довольно сложная анатомия+патологические изменения могут быть  очень "на тоненького". Для подтягивания анатомии рекомендую серию DIAGNOSTIC IMAGING по анатомии. (там отлично объяснено где какие пространства). Закрепить материал можно по анатомическому атласу (http://www.imaios.com/ru) - только там нужно купить доступ к атласу (в районе 50-70 долларов кажется)- в разделе про шею все пространства на кажом скане обведены разными цветами+ указано в каких местах расположены все группы лимфоузлов, и не на 2-3 картинках, а на каждом срезе.

Войти Зарегистрироваться