Есть ли отрицательная динамика?

Пол пациента: 
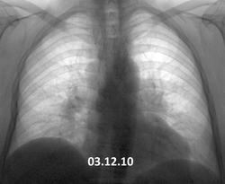
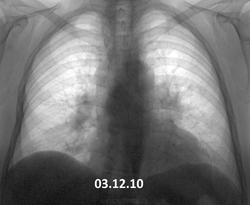
Методы исследования: 

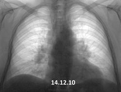
Вот такая динамика. В 2010 г. - в один день вдох-выдох- такая методика у предыдущего флюородоктора. Жалоб нет (кроме сердечных). Согласно КТ ОГК от декабря 2013 - лимфоаденопатия (как говорится - ни вашим, ни нашим). Вроде уже обращено внимание, пациент(ка) это ощутил. Успокоиться?

  • https://radiomed.ru/sites/default/files/styles/case_slider_image/public/user/3055/1966g.r.03.12.10-2.jpg?itok=VJ4BXeyC
  • https://radiomed.ru/sites/default/files/styles/case_slider_image/public/user/3055/1966g.r.14.12.10.jpg?itok=SkHv4EtH
  • https://radiomed.ru/sites/default/files/styles/case_slider_image/public/user/3055/1966g.r.15.01.2014.jpg?itok=MJ27Ddzr
  • https://radiomed.ru/sites/default/files/styles/case_slider_image/public/user/3055/1966g.r.15.01.2014_prav.bok_.jpg?itok=O1F3gBnW
ID:34963
Сольвейг аватар
Не на сайте
Был на сайте: 3 года 5 месяцев назад
Зарегистрирован: 05.02.2013 - 20:25
Публикации: 2239

4 года прошло,неужели не лечили?Саркоидоз,к примеру.

алкс аватар
Не на сайте
Был на сайте: 10 лет 2 недели назад
Зарегистрирован: 24.10.2012 - 22:55
Публикации: 2915

Отрицательная, ЛГМ? Не взирая на вдох-выдох....sad

NIL аватар
NIL
Не на сайте
Был на сайте: 1 день 9 часов назад
Зарегистрирован: 25.11.2013 - 20:50
Публикации: 18203

Мне кажется, такая динамика за 3 года не впечатляет.


"Слушай всех, прислушивайся к немногим, решай сам".©

maker4ik аватар
Не на сайте
Был на сайте: 8 лет 7 месяцев назад
Зарегистрирован: 19.10.2011 - 17:49
Публикации: 2682

Нет особой разницы.

И.Бондаренко аватар
Не на сайте
Был на сайте: 1 день 2 часа назад
Зарегистрирован: 13.09.2011 - 22:55
Публикации: 9206

Картина одинаковая. Увеличение л/узлов средостения и лёгких. Хоть с каким диагнозом наблюдается. Сердечные проблемы здесь ни при чём, они только в ЗАГСе.

Сергей Кузьминов аватар
Не на сайте
Был на сайте: 1 год 1 неделя назад
Зарегистрирован: 06.10.2012 - 15:51
Публикации: 11813

Динамики вроде нет.Похоже на саркоидоз.

Nikolas аватар
Не на сайте
Был на сайте: 1 месяц 3 недели назад
Зарегистрирован: 21.12.2010 - 20:37
Публикации: 4559

Нет. Без томографии не обойтись. Если подтверждается лимфаденопатия, следующий этап - морфологическая верификация. А как по другому? Конечно, надо учитывать местные возможности. 

Алексей Игоревич Чернявский аватар
Не на сайте
Был на сайте: 6 лет 10 месяцев назад
Зарегистрирован: 08.08.2012 - 21:52
Публикации: 786

Есть конечно, тот лимфоузел побольше стал. Диагноз однозначно нужно верифицировать.

"Обучая других - учишься сам". Н.И.Пирогов
 

Катенёв Валентин Львович аватар
Не на сайте
Был на сайте: 7 лет 2 недели назад
Зарегистрирован: 22.03.2008 - 22:15
Публикации: 54876

Nikolas wrote:

Без томографии не обойтись.

+1

pumpan86 аватар
Не на сайте
Был на сайте: 9 лет 11 месяцев назад
Зарегистрирован: 03.01.2012 - 10:49
Публикации: 60

По мне так это 1-2-3 sign при саркоидозе.

Игорь Иванович аватар
Не на сайте
Был на сайте: 3 года 9 месяцев назад
Зарегистрирован: 23.01.2010 - 14:56
Публикации: 3695

С точки зрения идеальной (или хотя бы советской - бесплатной) медицины все нужно делать так, как Вы предлагаете. И я это понимаю. Но в сегодняшней ситуации медицина в 1-ю очередь очень шкурная. И мне нужно в этом случае и зад свой прикрыть (недай бог чего, всех собак повесят), и не особо выпячиваться. В данном случае - внимание обратил, на КТ отправил. Конечно, хотелось бы для опыта знать верификацию, но...

А, ксати, что это за треугольник на боковой?

Приложения: 
1966g.r.15.01.2014_prav.bok_.jpg
Алексей Станиславович аватар
Не на сайте
Был на сайте: 5 лет 10 месяцев назад
Зарегистрирован: 11.08.2012 - 20:33
Публикации: 1903

Скиалогия мягких тканей, как вариант.

С уважением, smiley

Сергей Кузьминов аватар
Не на сайте
Был на сайте: 1 год 1 неделя назад
Зарегистрирован: 06.10.2012 - 15:51
Публикации: 11813

Треугольник-мышца.

Катенёв Валентин Львович аватар
Не на сайте
Был на сайте: 7 лет 2 недели назад
Зарегистрирован: 22.03.2008 - 22:15
Публикации: 54876

Алексей Станиславович wrote:

Скиалогия мягких тканей, как вариант.

+1

КДЭ док аватар
Не на сайте
Был на сайте: 8 лет 5 месяцев назад
Зарегистрирован: 04.11.2013 - 18:41
Публикации: 150

Сергей Кузьминов wrote:

Динамики вроде нет.Похоже на саркоидоз.

+1, и похоже что на гормонах сидит.

Игорь Иванович аватар
Не на сайте
Был на сайте: 3 года 9 месяцев назад
Зарегистрирован: 23.01.2010 - 14:56
Публикации: 3695

Сергей Кузьминов wrote:

+1, и похоже что на гормонах сидит.

Я так понял со слов пациентки, что эта проблема ее не тревожит (ну адеенопатия, ну и что?), диагноз не выставлен, лечения нет. Может не пришло время, а может процесс застыл?

Сергей Кузьминов аватар
Не на сайте
Был на сайте: 1 год 1 неделя назад
Зарегистрирован: 06.10.2012 - 15:51
Публикации: 11813

Время покажет.