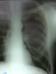
Качество рентгенограммы плохое (с негатоскопа). Дообследование после флюшки - тень слева. Пациента не видел, запросил амбулаторную карту. По карте с 2011 года ни ФЛГ, ни рентгенографии не проходил
Архива нет, только заключение в амбулаторной карте - стандартное клеше - патологии не выявлено.
А это патология? М.б. Королюка посмотреть?
Королюка конечно посмотрел........Книга настольная.
Сделан бок - норма. В 2011 году ножевое ранение грудной клетки - которое пациент лечил дома, без обращения за медицинской помощью. В проекции левой ключицы и в/3 грудной клетки слева грубые келлоидные рубцы.
Костная перемычка между I и II рёбрами. Подозреваете что-то ещё - укладка по Флейшнеру.
"Слушай всех, прислушивайся к немногим, решай сам".©
Подумал сразу о костной пермычке, но смутило то, что на ФЛГ за 2010 год было без патологии.
Еще I межреберье слева, в два раза больше чем справа.
Так почему бы не разместить снимок полностью, что бы была возможность его оценить. И неплохо бы показать архив для сравнения.
"Слушай всех, прислушивайся к немногим, решай сам".©
плохого качества, поэтому не выставил
Архива нет, только заключение в амбулаторной карте - стандартное клеше - патологии не выявлено.
Может за последние три года и травма какая была. Уточнить бы у пациента. Левый бок при дообследовании также бы не помешал.
С Уважением, Дмитрий.
Бок сделаю завтра. А травмы 100% были, консолидированные ребра слева
А это патология? М.б. Королюка посмотреть?
+1. При флюорографии не все пишется.
Андрей Юрьевич
Королюка конечно посмотрел........Книга настольная.
Сделан бок - норма. В 2011 году ножевое ранение грудной клетки - которое пациент лечил дома, без обращения за медицинской помощью. В проекции левой ключицы и в/3 грудной клетки слева грубые келлоидные рубцы.
Всегда хорошо посмотреть сначала пациента без помощи рентгена.
С Уважением, Дмитрий.