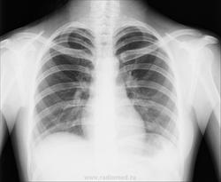
Женщина, 30 лет. Профилактическое обследование. Тени на верхушке справа. Tbs? или тень складки. ID:47186 Чт, 06/03/2014 - 15:54 #1 Сергей Кузьминов Не на сайте Был на сайте: 1 год 1 неделя назад Зарегистрирован: 06.10.2012 - 15:51 Публикации: 11813 Как-то норма. Чт, 06/03/2014 - 17:56 #2 NIL Не на сайте Был на сайте: 18 часов 22 минуты назад Зарегистрирован: 25.11.2013 - 20:50 Публикации: 18205 Норма. "Слушай всех, прислушивайся к немногим, решай сам".© Чт, 06/03/2014 - 18:38 #3 И.Бондаренко Не на сайте Был на сайте: 3 дня 11 часов назад Зарегистрирован: 13.09.2011 - 22:55 Публикации: 9206 Сергей Кузьминов wrote: Как-то норма. +1. Это тень мягких тканей шеи накладывается. Чт, 06/03/2014 - 19:21 #4 Dima Не на сайте Был на сайте: 7 лет 2 месяцев назад Зарегистрирован: 05.08.2012 - 17:39 Публикации: 2467 И.Бондаренко wrote: Сергей Кузьминов wrote: Как-то норма. +1. Это тень мягких тканей шеи накладывается. Грудино-ключично-сосцевидная мышца, по-всей видимости. Терпимость - это когда прощают чужие ошибки; такт - когда не замечают их. (Артур Шницлер) Чт, 06/03/2014 - 20:30 #5 выпускник Не на сайте Был на сайте: 5 лет 4 недели назад Зарегистрирован: 15.08.2012 - 23:11 Публикации: 50 тени, подозрит. на тбц? Чт, 06/03/2014 - 22:17 #6 Андрей Юрьевич Не на сайте Был на сайте: 4 дня 15 часов назад Зарегистрирован: 16.11.2008 - 22:16 Публикации: 18098 По сокрашениям: не tbs, a tbc (от TuBerCulosis). Андрей Юрьевич Чт, 06/03/2014 - 22:35 #7 Дмитрий Волегов Не на сайте Был на сайте: 3 года 6 месяцев назад Зарегистрирован: 22.05.2013 - 00:32 Публикации: 1148 Повернуть бы на скопии ещё немного правым боком вперед и успокоиться. С Уважением, Дмитрий. Чт, 13/03/2014 - 07:46 #8 Лейман Иван Не на сайте Был на сайте: 2 месяцев 2 дня назад Зарегистрирован: 09.01.2014 - 07:54 Публикации: 1190 Да вроде норма. Чт, 13/03/2014 - 08:52 #9 Катенёв Валенти... Не на сайте Был на сайте: 7 лет 2 недели назад Зарегистрирован: 22.03.2008 - 22:15 Публикации: 54876 Ёлка wrote: Tbs? или тень складки. Так если подозрения возникли, так верхушку срезать надо, к примеру, на восьмерке.
Как-то норма.
Норма.
"Слушай всех, прислушивайся к немногим, решай сам".©
+1. Это тень мягких тканей шеи накладывается.
Терпимость - это когда прощают чужие ошибки; такт - когда не замечают их. (Артур Шницлер)
тени, подозрит. на тбц?
По сокрашениям: не tbs, a tbc (от TuBerCulosis).
Андрей Юрьевич
Повернуть бы на скопии ещё немного правым боком вперед и успокоиться.
С Уважением, Дмитрий.
Да вроде норма.
Так если подозрения возникли, так верхушку срезать надо, к примеру, на восьмерке.