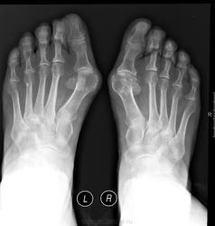
Рентген стоп. Дефект суставной поверхности основной фаланги первого пальца слева

Пол пациента: 
Область исследования: 
Методы исследования: 

Рентген стоп. Дефект суставной поверхности основной фаланги первого пальца слева)) может быть постртравматической природы?

  

ID:36494
ren_gen аватар
Не на сайте
Был на сайте: 11 лет 5 месяцев назад
Зарегистрирован: 30.10.2010 - 19:17
Публикации: 285

какой дефект? нет дефекта, фаланги др на др проецируются...

NIL аватар
NIL
Не на сайте
Был на сайте: 8 часов 54 минуты назад
Зарегистрирован: 25.11.2013 - 20:50
Публикации: 18212

Поддерживаю. Дефекта нет.


"Слушай всех, прислушивайся к немногим, решай сам".©

Дмитрий Волегов аватар
Не на сайте
Был на сайте: 3 года 10 месяцев назад
Зарегистрирован: 22.05.2013 - 00:32
Публикации: 1148

Нет, не дефект. Просто хорошее качество снимков. Отличные снимки, спасибо.

С Уважением, Дмитрий.

Лейман Иван аватар
Не на сайте
Был на сайте: 6 месяцев 5 дней назад
Зарегистрирован: 09.01.2014 - 07:54
Публикации: 1190

Тоже не вижу дефекта

Соломин Виталий Юрьевич аватар
Не на сайте
Был на сайте: 6 лет 3 месяцев назад
Зарегистрирован: 04.04.2012 - 21:47
Публикации: 1096

Но поперечное плоскостопие с hallux valgus имеется.

ChernovOG аватар
Не на сайте
Был на сайте: 5 лет 4 месяцев назад
Зарегистрирован: 08.12.2012 - 16:56
Публикации: 139

Соломин Виталий Юрьевич wrote:

Но поперечное плоскостопие с hallux valgus имеется.

+ Артроз

maker4ik аватар
Не на сайте
Был на сайте: 8 лет 11 месяцев назад
Зарегистрирован: 19.10.2011 - 17:49
Публикации: 2682

Так где дефект-то?

перчик аватар
Не на сайте
Был на сайте: 4 месяцев 3 недели назад
Зарегистрирован: 06.03.2014 - 12:16
Публикации: 721

Да, просто неопытный взгляд что-то пытается лишнее увидеть))

 

Приложения: 
petrova_nina_ivanovna.jpgf_foot_20140331_154351.jpg
NIL аватар
NIL
Не на сайте
Был на сайте: 8 часов 54 минуты назад
Зарегистрирован: 25.11.2013 - 20:50
Публикации: 18212

Скиалогические дела. Основание ногтевой фоланги накладывается на головку основной и получается такой эффект. Пройдитесь по контуру каждой кости и всё станет ясно.


"Слушай всех, прислушивайся к немногим, решай сам".©

maker4ik аватар
Не на сайте
Был на сайте: 8 лет 11 месяцев назад
Зарегистрирован: 19.10.2011 - 17:49
Публикации: 2682

NIL wrote:

Скиалогические дела. Основание ногтевой фоланги накладывается на головку основной и получается такой эффект. Пройдитесь по контуру каждой кости и всё станет ясно.

+1. Суммация теней.

перчик аватар
Не на сайте
Был на сайте: 4 месяцев 3 недели назад
Зарегистрирован: 06.03.2014 - 12:16
Публикации: 721

Спасибо)) теперь увидел...