Помогите с заключением

случай 1. Ж, 51 год, увеличение надключичных л/у слева (до 4 см), подмышечных слева. Врачи предполагают метастазирование, ищут превичную опухоль. Где кругляк на боковом? я не вижу.. Легочных жалоб нет.

 

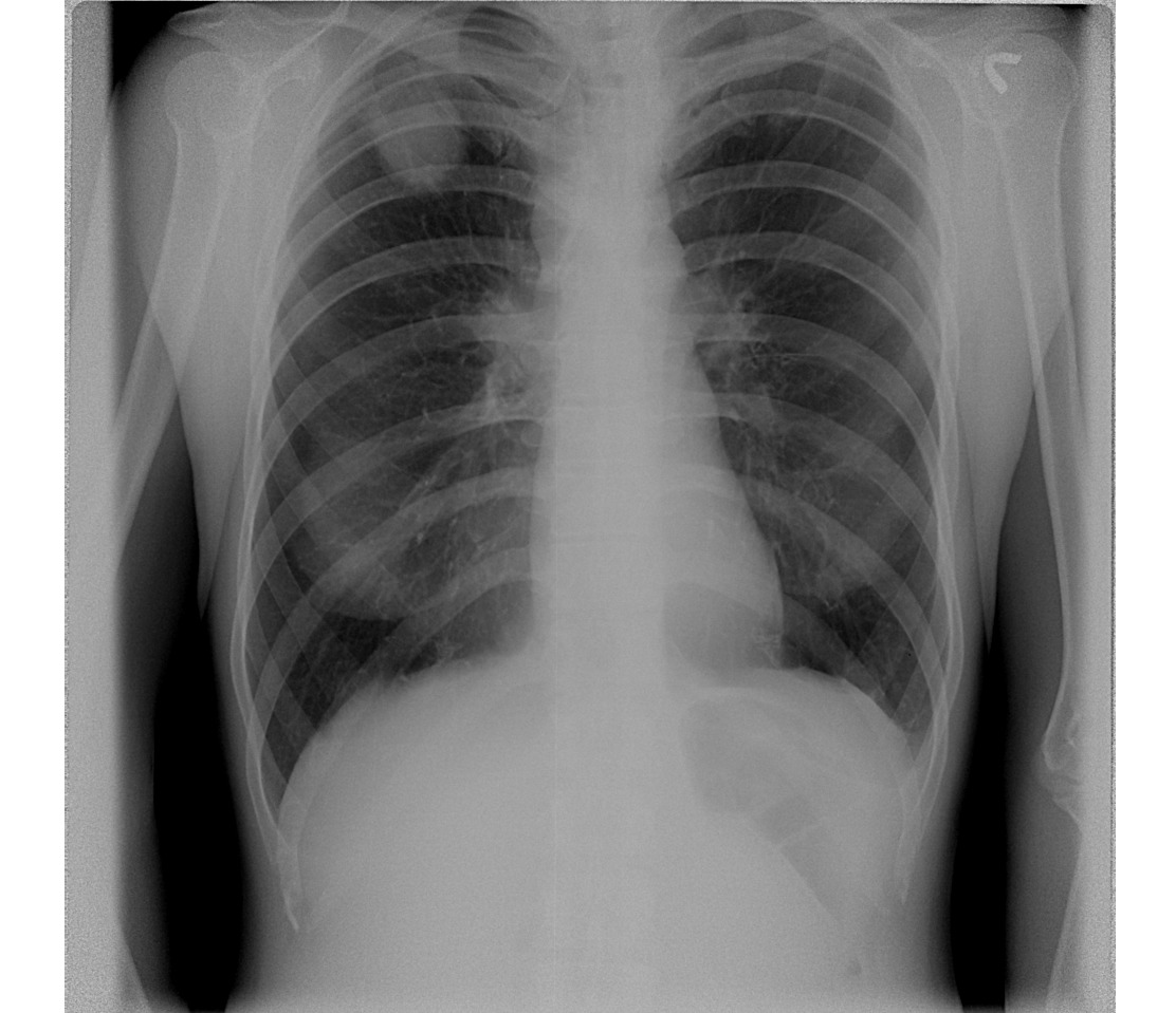
случай 2. М., 58 лет с ДЭ, легочных жалоб нет. Мерещится округла тень у правго корня, сбоку снова не вижу ее. Есть она или нет??

  • https://radiomed.ru/sites/default/files/styles/case_slider_image/public/user/18943/11111111122.jpg?itok=OduMKo-Q
  • https://radiomed.ru/sites/default/files/styles/case_slider_image/public/user/18943/222222222_58.jpg?itok=d36QLFkO
  • https://radiomed.ru/sites/default/files/styles/case_slider_image/public/user/18943/222222222_58_-_kopiya.jpg?itok=x8fpfof1
  • https://radiomed.ru/sites/default/files/styles/case_slider_image/public/user/18943/22222223.jpg?itok=Z4pNfojz
ID:46974
NIL аватар
NIL
Не на сайте
Был на сайте: 1 месяц 3 недели назад
Зарегистрирован: 25.11.2013 - 20:50
Публикации: 18208

По первому случаю, кроме округлой тени справа, вижу группы очаговых теней слева. О туберкулёзе думаю

Приложения: 
111111111_51.jpg11111111122.jpg


"Слушай всех, прислушивайся к немногим, решай сам".©

NIL аватар
NIL
Не на сайте
Был на сайте: 1 месяц 3 недели назад
Зарегистрирован: 25.11.2013 - 20:50
Публикации: 18208

По случаю № 2, ещё до Вашей отметки обратила внимание на округлое образование в правом корне. И сам корень уплотнён. По боковой , сомневаюсь, но может быть это
Стоит выполнить томограмму

Приложения: 
22222223.jpg


"Слушай всех, прислушивайся к немногим, решай сам".©

Сергей Кузьминов аватар
Не на сайте
Был на сайте: 1 год 2 месяцев назад
Зарегистрирован: 06.10.2012 - 15:51
Публикации: 11813

Я их вижу больше,чем нарисовано выше,думаю,метастазы-круглые,ровные,без распада.Во втором случае не померещилось,тень есть.

NIL аватар
NIL
Не на сайте
Был на сайте: 1 месяц 3 недели назад
Зарегистрирован: 25.11.2013 - 20:50
Публикации: 18208

Сергей Кузьминов wrote:

Я их вижу больше,чем нарисовано выше,думаю,метастазы-круглые,ровные,без распада.Во втором случае не померещилось,тень есть.

Но, мне кажется,локализуются эти тени в верхних легочных полях 


"Слушай всех, прислушивайся к немногим, решай сам".©

Сергей Кузьминов аватар
Не на сайте
Был на сайте: 1 год 2 месяцев назад
Зарегистрирован: 06.10.2012 - 15:51
Публикации: 11813

Да,наверху больше.Но локализация-это еще не всё.Кстати,слева и внизу есть,сейчас не могу обрисовать.

НД аватар
Не на сайте
Был на сайте: 9 лет 10 месяцев назад
Зарегистрирован: 25.09.2013 - 21:06
Публикации: 319

Сергей Кузьминов wrote:

Я их вижу больше,чем нарисовано выше,думаю,метастазы-круглые,ровные,без распада.Во втором случае не померещилось,тень есть.

Я думала у метастазов контуры четкие должны быть. А тут нечеткие

Сергей Кузьминов аватар
Не на сайте
Был на сайте: 1 год 2 месяцев назад
Зарегистрирован: 06.10.2012 - 15:51
Публикации: 11813

Могу по первому случаю и заблуждаться.Справа "очень плеврально".

NIL аватар
NIL
Не на сайте
Был на сайте: 1 месяц 3 недели назад
Зарегистрирован: 25.11.2013 - 20:50
Публикации: 18208

Я по поводу Мts очень сомневаюсь. Подождем, что сообщество предложит.


"Слушай всех, прислушивайся к немногим, решай сам".©

Nikolas аватар
Не на сайте
Был на сайте: 1 месяц 1 неделя назад
Зарегистрирован: 21.12.2010 - 20:37
Публикации: 4560

См. рисунок.Наличие увеличенных периферический ЛУ заставляет думать о злокачественной прирое заболевания. Надо сросно делать биопсию ЛУ и ставить диагноз. 

Приложения: 
11111111122.jpg
Mila85 аватар
Не на сайте
Был на сайте: 3 года 3 месяцев назад
Зарегистрирован: 15.03.2012 - 16:59
Публикации: 1790

В первом случае еще деформация промежуточного бронха, наверное за счет лимфаденопатии корня

НД аватар
Не на сайте
Был на сайте: 9 лет 10 месяцев назад
Зарегистрирован: 25.09.2013 - 21:06
Публикации: 319

Nikolas wrote:

См. рисунок.Наличие увеличенных периферический ЛУ заставляет думать о злокачественной прирое заболевания. Надо сросно делать биопсию ЛУ и ставить диагноз. 

На биопсию пусть клиницисты отправляют. А мне заключение написать надо ...

алкс аватар
Не на сайте
Был на сайте: 10 лет 2 месяцев назад
Зарегистрирован: 24.10.2012 - 22:55
Публикации: 2915

Nikolas wrote:

См. рисунок.Наличие увеличенных периферический ЛУ заставляет думать о злокачественной прирое заболевания. Надо сросно делать биопсию ЛУ и ставить диагноз. 

Рис. нет.

М.б. тут.

Приложения: 
111111111221.jpg
NIL аватар
NIL
Не на сайте
Был на сайте: 1 месяц 3 недели назад
Зарегистрирован: 25.11.2013 - 20:50
Публикации: 18208

алкс wrote:

Рис. нет.

М.б. тут.

И я ж тут рисовала. Вопрос ЧТО тут.  Жаль, Миргалина мимо порхнула


"Слушай всех, прислушивайся к немногим, решай сам".©

atexta аватар
Не на сайте
Был на сайте: 3 года 5 дней назад
Зарегистрирован: 08.02.2014 - 18:41
Публикации: 4842

Сергей Кузьминов wrote:

Могу по первому случаю и заблуждаться.Справа "очень плеврально".

Увеличение паратрахеальных, трахеобронхиальных и бронхопульмональных л\у, очаговые тени слева в 1 м\р, крупная тень справа при таких размерах-либо совсем на позвоночнике, либо на плевре

по №2 посмотрела бы скопически

Не нам судить…

JJ аватар
JJ
Не на сайте
Был на сайте: 11 лет 7 месяцев назад
Зарегистрирован: 03.04.2014 - 20:35
Публикации: 102

№1 - множественные мтс легких (первичная может быть в яичниках - надключ. слева, левой молочной железе - подмыш. группа, сами легкие тоже не исключаются), округлая тень в боковой проекции видна в S2. Дополнительно видно расширение тени средостения вправо, возможно за счет внутригрудных лимфоузлов

№2 - лучше посмотреть скопически

atexta аватар
Не на сайте
Был на сайте: 3 года 5 дней назад
Зарегистрирован: 08.02.2014 - 18:41
Публикации: 4842

Коллеги, посмотрите снимки из случая "Динамика 1", представленного Валентином Львовичем, мне кажется картина осумкованного плеврита ну очень похожа

Не нам судить…

Доктор Ре. аватар
Не на сайте
Был на сайте: 10 лет 4 месяцев назад
Зарегистрирован: 15.04.2014 - 16:37
Публикации: 129

По первому снику + 1 за онкологию, для уточнения нужа боипсия