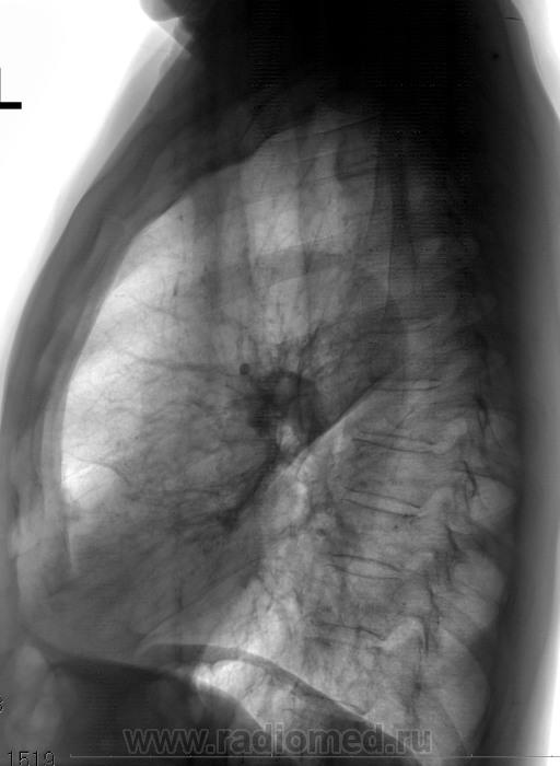
Был направлен с подозрением на пневмонию

Пол пациента: 
Тип патологии: 
Методы исследования: 

Был направлен с подозрением на пневмонию

  • https://radiomed.ru/sites/default/files/styles/case_slider_image/public/user/12/2.201404180085.jpg?itok=bfnwJAcO
  • https://radiomed.ru/sites/default/files/styles/case_slider_image/public/user/12/3.201404180086.jpg?itok=zuIovRPA
ID:37534
atexta аватар
Не на сайте
Был на сайте: 3 года 4 недели назад
Зарегистрирован: 08.02.2014 - 18:41
Публикации: 4842

Пока пневмония в верхней доле, перисциссурит

Не нам судить…

largooowinch аватар
Не на сайте
Был на сайте: 10 лет 2 месяцев назад
Зарегистрирован: 29.10.2013 - 22:07
Публикации: 65

atexta wrote:

Пока пневмония в верхней доле, перисциссурит

+1

Сергей Кузьминов аватар
Не на сайте
Был на сайте: 1 год 3 месяцев назад
Зарегистрирован: 06.10.2012 - 15:51
Публикации: 11813

atexta wrote:

Пока пневмония в верхней доле, перисциссурит

+2.Пока.

Сольвейг аватар
Не на сайте
Был на сайте: 3 года 8 месяцев назад
Зарегистрирован: 05.02.2013 - 20:25
Публикации: 2239

С обеих сторон тут дела всякие. Придется ждать контроль. Может, томками порадуют. Валентин Львович любит на оба легких сразу. Тут-по делу будут . Ждем-с.

NIL аватар
NIL
Не на сайте
Был на сайте: 2 недели 20 часов назад
Зарегистрирован: 25.11.2013 - 20:50
Публикации: 18209

Справа - фиброзно, костозоно. Старые дела.Основная проблема сейчас слева.Пневмонию лечить надо.


"Слушай всех, прислушивайся к немногим, решай сам".©

Катенёв Валентин Львович аватар
Не на сайте
Был на сайте: 7 лет 3 месяцев назад
Зарегистрирован: 22.03.2008 - 22:15
Публикации: 54876

Миргалина wrote:
Может, томками порадуют.

"Томок" не делали.

Сольвейг аватар
Не на сайте
Был на сайте: 3 года 8 месяцев назад
Зарегистрирован: 05.02.2013 - 20:25
Публикации: 2239

Катенёв Валентин Львович wrote:

Миргалина wrote:
Может, томками порадуют.

"Томок" не делали.

Ждем динамику тогда

Сергей Кузьминов аватар
Не на сайте
Был на сайте: 1 год 3 месяцев назад
Зарегистрирован: 06.10.2012 - 15:51
Публикации: 11813

С нетерпением ждём,чем "пневмония" кончится.

Дмитрий Волегов аватар
Не на сайте
Был на сайте: 3 года 9 месяцев назад
Зарегистрирован: 22.05.2013 - 00:32
Публикации: 1148

Красный может оказаться вовсе не головкой корня (как-то его больно "латералит" от центра), желтый может оказаться обструктивным пневмонитом язычкового сегмента, зеленый - не просто пневмонитом S2 c перициссуритом, но и с костальным выпотом. Полисегментарность изменений и их сближенность к центру, к корню наводят на мысль о центральном онко. (Да и просвет левого главного бронха на боковом снимке чем-то прикрыт).

Приложения: 
opasnyy_perekrestok.jpg

С Уважением, Дмитрий.

Катенёв Валентин Львович аватар
Не на сайте
Был на сайте: 7 лет 3 месяцев назад
Зарегистрирован: 22.03.2008 - 22:15
Публикации: 54876

Сергей Кузьминов wrote:

С нетерпением ждём,чем "пневмония" кончится.

Сегодня пациента дадут на контроль...

Катенёв Валентин Львович аватар
Не на сайте
Был на сайте: 7 лет 3 месяцев назад
Зарегистрирован: 22.03.2008 - 22:15
Публикации: 54876

Контроль после противовспалительного лечения.

Приложения: 
1.201405010019.jpg2.201405010020.jpg
NIL аватар
NIL
Не на сайте
Был на сайте: 2 недели 20 часов назад
Зарегистрирован: 25.11.2013 - 20:50
Публикации: 18209

В S 2 динамика положительная, а вот язычковые сегменты настораживают ( эндобронхиальное образование ?). Резать будете или есть возможность бронхаскопию выполнить? Впрочем, пациент хроник. Можно с архива начать.


"Слушай всех, прислушивайся к немногим, решай сам".©

atexta аватар
Не на сайте
Был на сайте: 3 года 4 недели назад
Зарегистрирован: 08.02.2014 - 18:41
Публикации: 4842

Может еще полечить, времени мало пошло, динамика-то есть

Не нам судить…

NIL аватар
NIL
Не на сайте
Был на сайте: 2 недели 20 часов назад
Зарегистрирован: 25.11.2013 - 20:50
Публикации: 18209

atexta wrote:

Может еще полечить, времени мало пошло, динамика-то есть

Динамика положительная в двойке, а в язычках, считаю, отрицательная. Можно, кончено, и полечить. Но и  разбираться с причиной гиповентиляции  надо. 


"Слушай всех, прислушивайся к немногим, решай сам".©

Катенёв Валентин Львович аватар
Не на сайте
Был на сайте: 7 лет 3 месяцев назад
Зарегистрирован: 22.03.2008 - 22:15
Публикации: 54876

NIL wrote:

есть возможность бронхаскопию выполнить?

Бронхоскопию, в нашем богоугодном заведении не делают.

NIL аватар
NIL
Не на сайте
Был на сайте: 2 недели 20 часов назад
Зарегистрирован: 25.11.2013 - 20:50
Публикации: 18209

Катенёв Валентин Львович wrote:

Бронхоскопию, в нашем богоугодном заведении не делают.

А архивчик имеется? Будет ли продолжение истории? 


"Слушай всех, прислушивайся к немногим, решай сам".©

Катенёв Валентин Львович аватар
Не на сайте
Был на сайте: 7 лет 3 месяцев назад
Зарегистрирован: 22.03.2008 - 22:15
Публикации: 54876

Архивчика нет.

Продолжение будет, контроль будет.